









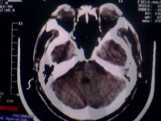
以下是引用随光逐影在2010-1-7 14:49:00的发言:[br]1)结合病史,考虑多发性脑转移瘤可能性大;建议行ct增强扫描检查。2)大脑镰下疝。3)脑积水。
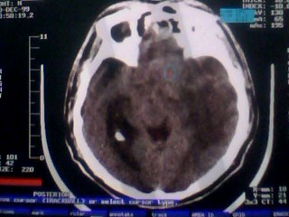
以下是引用随光逐影在2010-1-7 14:49:00的发言:[br]1)结合病史,考虑多发性脑转移瘤可能性大;建议行ct增强扫描检查。2)大脑镰下疝。3)脑积水。
以下是引用随光逐影在2010-1-7 14:49:00的发言:[br]1)结合病史,考虑多发性脑转移瘤可能性大;建议行ct增强扫描检查。2)大脑镰下疝。3)脑积水。
| 欢迎光临 医影在线 (http://bbs.radida.com/bbs/) | Powered by Discuz! X3.2 |