医影在线
标题: CT24024:男,74岁。体检超声发现肝内多发占位性病变四天。 [打印本页]
作者: yjlxg2005 时间: 2010-1-7 21:15
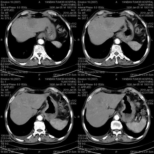
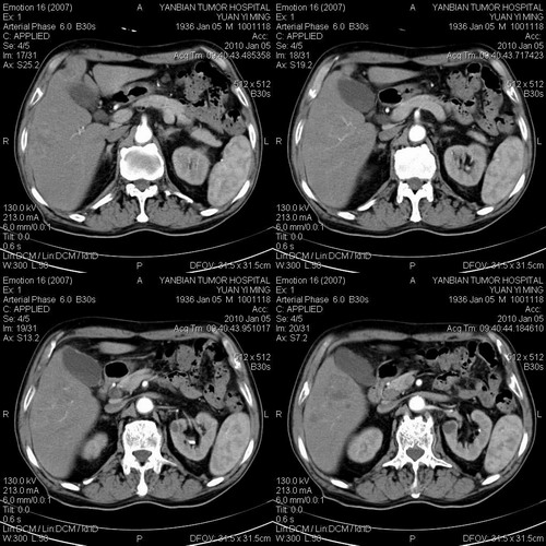
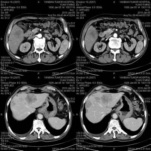
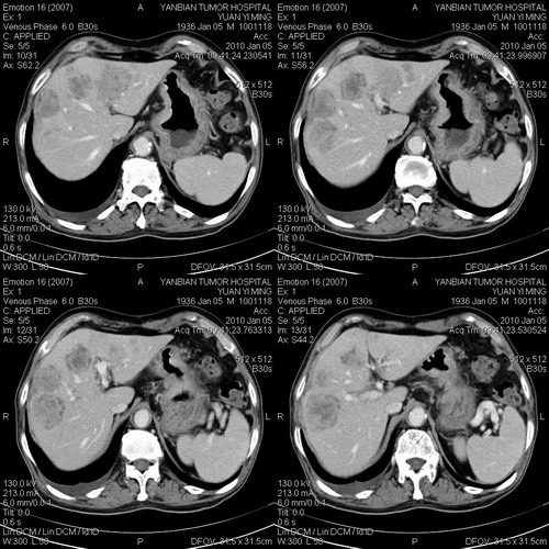
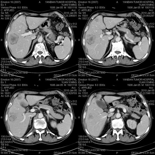
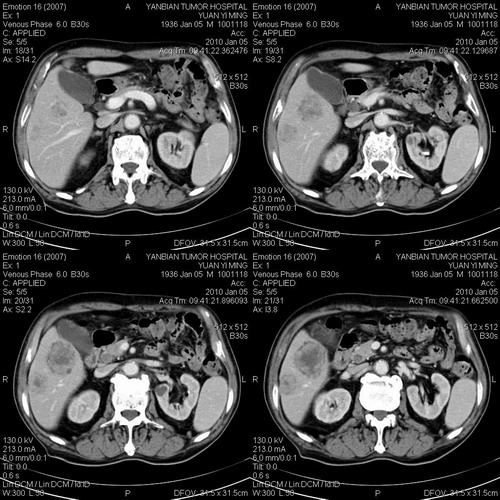
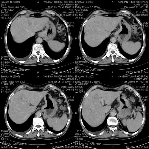
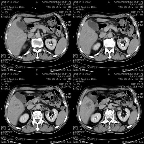
标题: CT24024:男,74岁。体检超声发现肝内多发占位性病变四天。










[本贴已被 yjlxg2005 于 2010-1-7 13:36:57 修改过]
[本贴已被 翁志蓬 于 2010-1-7 20:01:15 修改过]
作者: 午火药王 时间: 2010-1-7 21:55
肝癌肝内转移,胃壁增厚,胃癌不能排除
作者: shibing 时间: 2010-1-7 22:36
肝癌
作者: linyiming 时间: 2010-1-7 22:54
考虑肝多发血瘤可能,未除转移瘤。
作者: dyqct 时间: 2010-1-7 23:03
建议查afp。考虑多发结节型肝癌。
作者: 同 时间: 2010-1-7 23:26
考虑多发结节性肝癌。
作者: muzi888 时间: 2010-1-8 00:02
考虑多发结节性肝癌。
支持!
作者: zxl51642 时间: 2010-1-8 01:24
标题: 回复:男,74岁。体检超声发现肝内多发占位性病变四天。
以下是引用linyiming在2010-1-7 14:54:00的发言:[br]考虑肝多发血瘤可能,未除转移瘤。
并肝肾囊肿。
作者: 随光逐影 时间: 2010-1-8 04:00
1)考虑肝脏恶性肿瘤(转移瘤?)。2)肝外胆管轻度扩张。3)左肾小囊肿。
作者: 黑白光影 时间: 2010-1-8 04:25
标题: 回复:ct24024:男,74岁。体检超声发现肝内多发占位性病变
以下是引用随光逐影在2010-1-7 20:00:00的发言:[br]1)考虑肝脏恶性肿瘤(转移瘤?)。2)肝外胆管轻度扩张。3)左肾小囊肿。
作者: yuhongjun 时间: 2010-1-8 14:34
考虑多发结节性肝癌。
作者: LIAOQIANG 时间: 2010-1-8 23:36
考虑转移瘤。
作者: dr.yang 时间: 2013-4-2 16:01
考虑肝脏恶性肿瘤(转移瘤?)。2)肝外胆管轻度扩张。3)左肾小囊肿。
| 欢迎光临 医影在线 (http://bbs.radida.com/bbs/) |
Powered by Discuz! X3.2 |