医影在线

标题: CT23764B:男 40 肺部CT [打印本页]

作者: xianrenqiu-cy    时间: 2010-1-7 21:34
标题: CT23764B:男 40 肺部CT
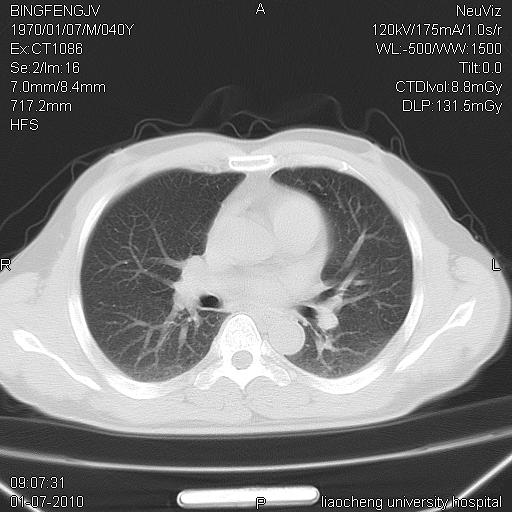
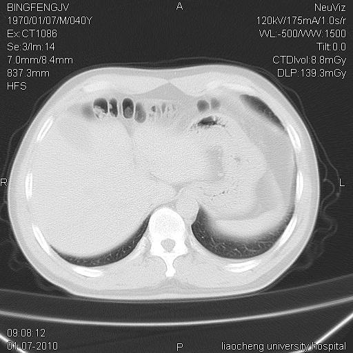
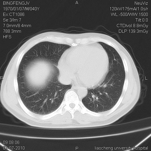
【治疗前ct片:http://www.radida.com/bbs/forum.php?mod=viewthread&tid=61323】
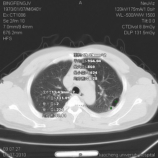
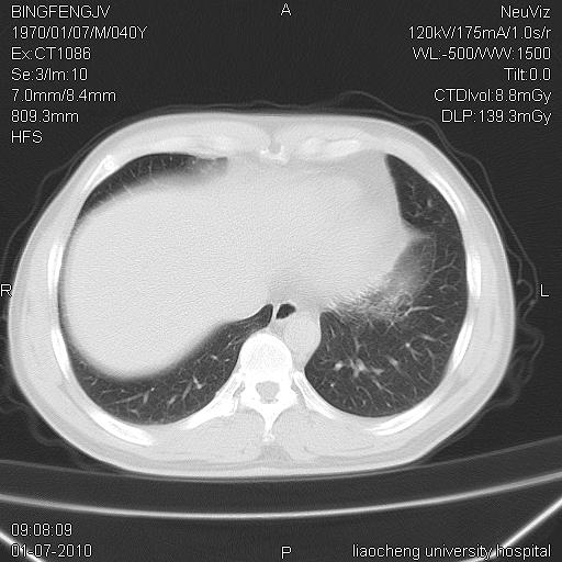
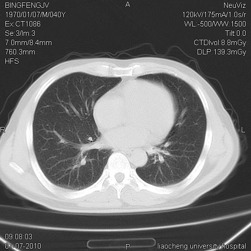
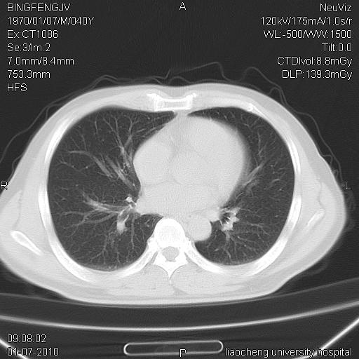
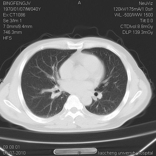
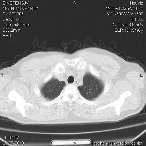
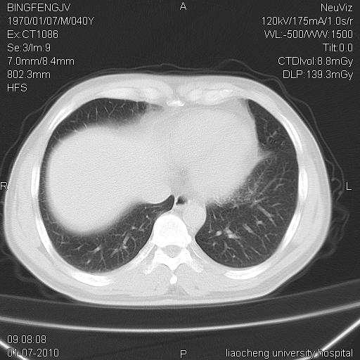
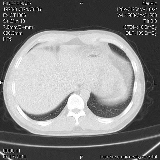
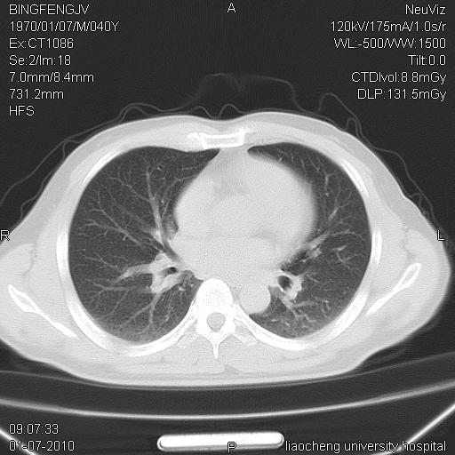
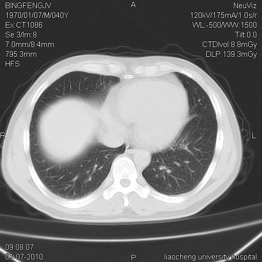
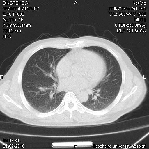
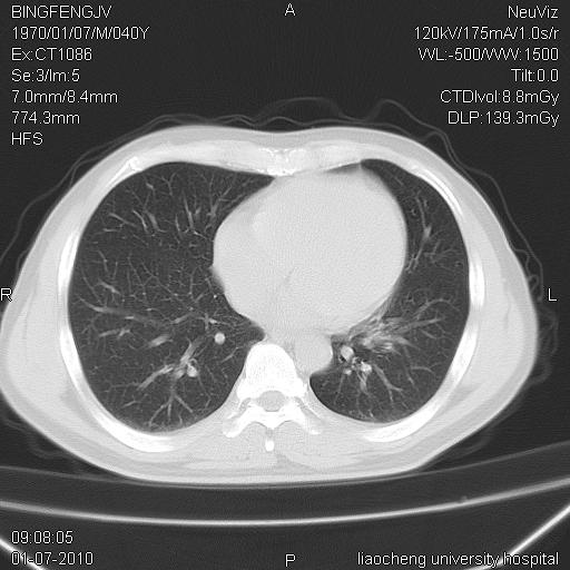
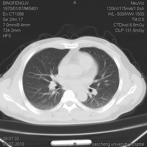
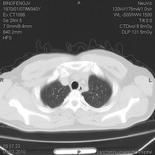
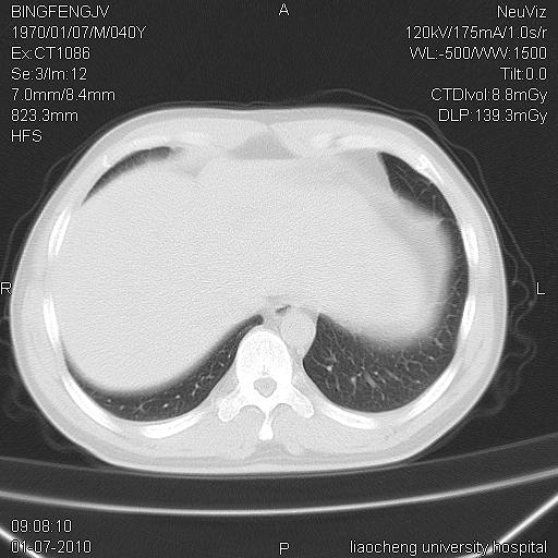
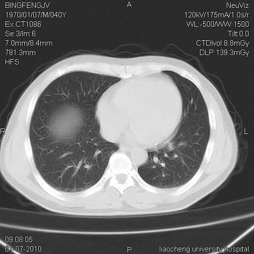
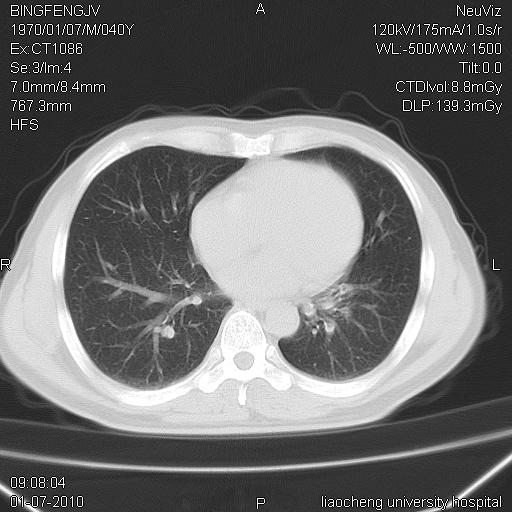
治疗2周后































[本贴已被 翁志蓬 于 2010-1-7 20:06:08 修改过]

作者: shibing    时间: 2010-1-7 22:45
炎症性病灶,继发性改变。
作者: 随光逐影    时间: 2010-1-7 22:54
考虑左肺上叶近胸膜下炎症并肺气囊形成。
作者: dyqct    时间: 2010-1-7 23:04
标题: 回复:男 40 肺部ct
以下是引用随光逐影在2010-1-7 14:54:00的发言:[br]考虑左肺上叶近胸膜下炎症并肺气囊形成。

支持!
作者: 同    时间: 2010-1-7 23:27
标题: 回复:男 40 肺部ct
以下是引用随光逐影在2010-1-7 14:54:00的发言:[br]考虑左肺上叶近胸膜下炎症并肺气囊形成。

作者: muzi888    时间: 2010-1-8 00:00
以下是引用随光逐影在2010-1-7 14:54:00的发言:
考虑左肺上叶近胸膜下炎症并肺气囊形成。
作者: zxl51642    时间: 2010-1-8 01:01
以下是引用随光逐影在2010-1-7 14:54:00的发言:
考虑左肺上叶近胸膜下炎症并肺气囊形成。
支持!
作者: sdzyy    时间: 2010-1-8 01:55
标题: 回复:男 40 肺部ct
以下是引用随光逐影在2010-1-7 14:54:00的发言:[br]考虑左肺上叶近胸膜下炎症并肺气囊形成。

作者: 黑白光影    时间: 2010-1-8 04:49
标题: 回复:ct23764b:男 40 肺部ct
以下是引用随光逐影在2010-1-7 14:54:00的发言:[br]考虑左肺上叶近胸膜下炎症并肺气囊形成。

作者: zsl6918    时间: 2010-1-8 04:53
炎症,大部吸收。
作者: yuhongjun    时间: 2010-1-8 14:30
考虑左肺上叶近胸膜下炎症并肺气囊形成。
作者: dr.yang    时间: 2013-4-2 11:27
考虑左肺上叶近胸膜下炎症并肺气囊形成。
支持!




欢迎光临 医影在线 (http://bbs.radida.com/bbs/) Powered by Discuz! X3.2