医影在线
标题: CT24027:椎体密度不均,请会诊!! [打印本页]
作者: jcw123 时间: 2010-1-7 23:43
标题: CT24027:椎体密度不均,请会诊!!
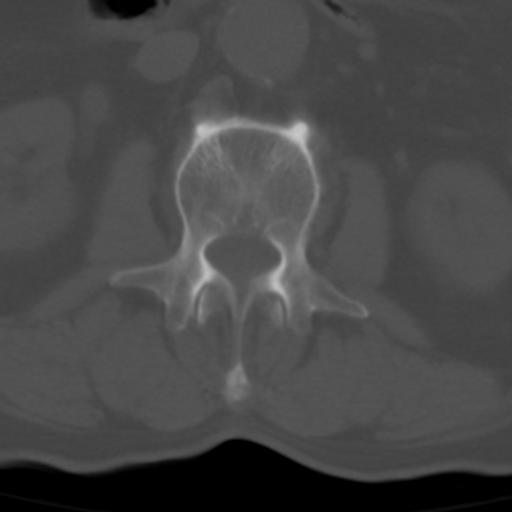
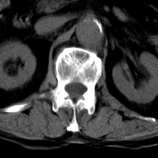
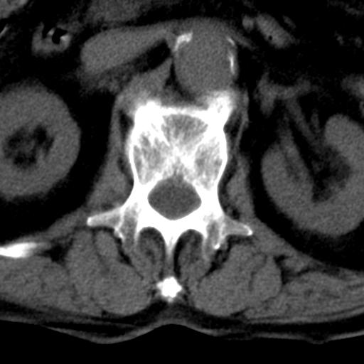
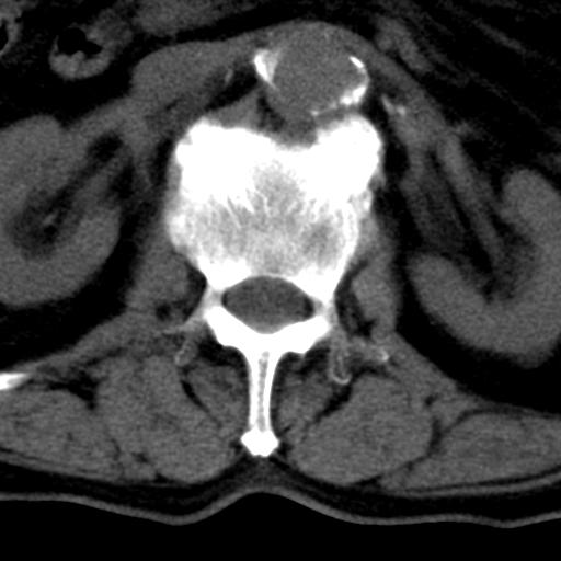
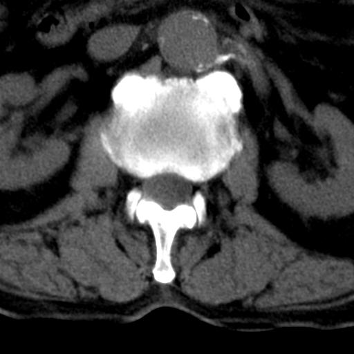
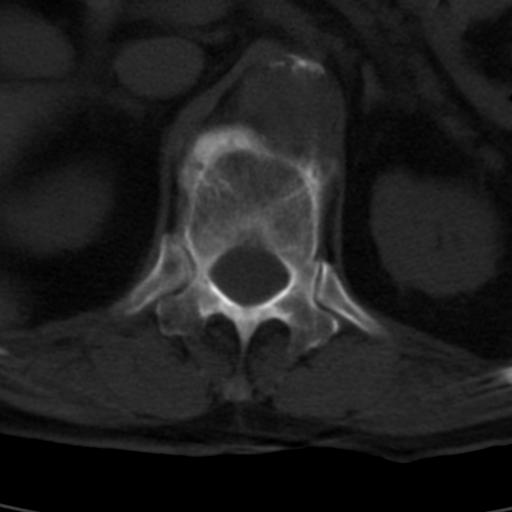
男性 82 主动脉夹层 请大家看看椎体是什么改变啊




















[本贴已被 jcw123 于 2010-1-7 15:45:47 修改过]
[本贴已被 翁志蓬 于 2010-1-7 20:47:45 修改过]
作者: 卜一 时间: 2010-1-7 23:54
椎体退变!
作者: 37度 时间: 2010-1-8 00:07
标题: 回复:椎体密度不均,请会诊!!
以下是引用卜一在2010-1-7 15:54:00的发言:[br]椎体退变!
作者: 一见如故 时间: 2010-1-8 00:33
骨纤
作者: lizhiguang 时间: 2010-1-8 00:39
腰椎退变
作者: zxl51642 时间: 2010-1-8 00:52
腰椎退变
作者: 水过无痕 时间: 2010-1-8 01:07
腰椎退行性变,明显的骨赘形成,所指低密度灶为正常松质骨。
作者: sdzyy 时间: 2010-1-8 01:11
腰椎退变
作者: 湘江一滴 时间: 2010-1-8 01:17
退变、骨质疏松
作者: 随光逐影 时间: 2010-1-8 04:15
腰椎退行性改变。
作者: zjzjr 时间: 2010-1-8 04:34
腰椎退变
作者: 百年合好 时间: 2010-1-8 05:05
腰椎退变!无骨破坏。
作者: zsl6918 时间: 2010-1-8 05:07
增生退变
作者: 黑白光影 时间: 2010-1-8 05:24
腰椎退变
作者: zgjldq 时间: 2010-1-8 06:06
腰椎退变
作者: yuhongjun 时间: 2010-1-8 14:16
腰椎退变
作者: LIAOQIANG 时间: 2010-1-8 23:30
椎体退变
作者: 叶盟 时间: 2010-3-6 05:09
感觉就是个单纯退变~!
作者: pzj 时间: 2010-3-6 05:46
腰椎退行性变,明显的骨赘形成,所指低密度灶为正常松质骨。
| 欢迎光临 医影在线 (http://bbs.radida.com/bbs/) |
Powered by Discuz! X3.2 |