医影在线

标题: CT24032:男65岁,咳嗽,吸烟20余年,无发热,咳痰 [打印本页]

作者: yangjyan    时间: 2010-1-8 02:37
标题: CT24032:男65岁,咳嗽,吸烟20余年,无发热,咳痰
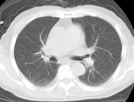
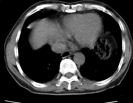
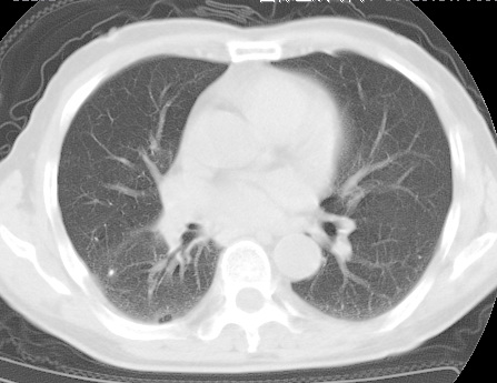
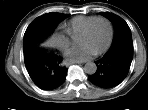
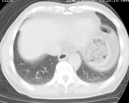
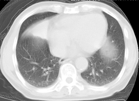
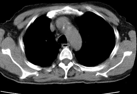
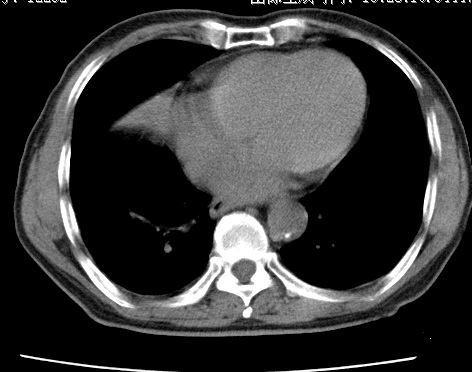
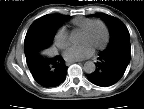
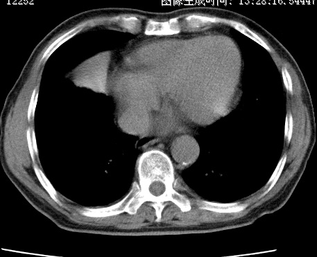
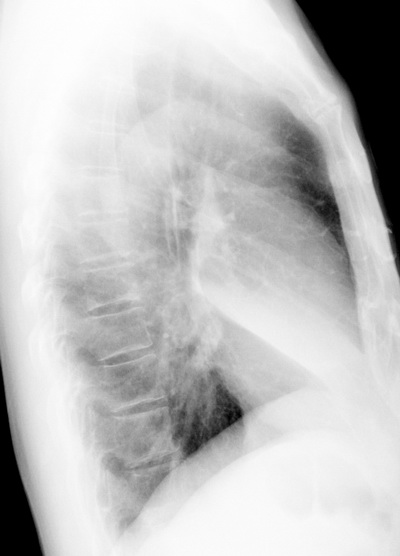
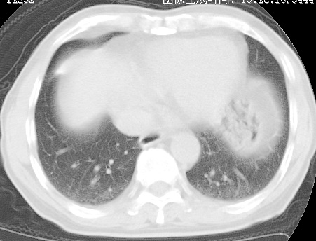
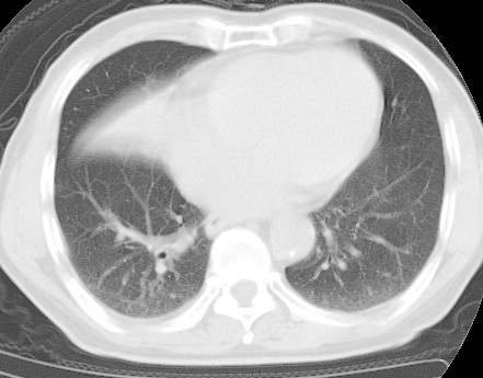
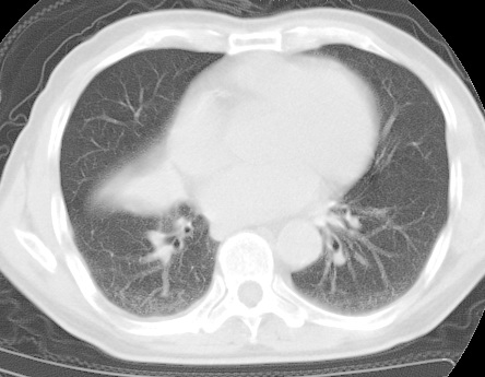
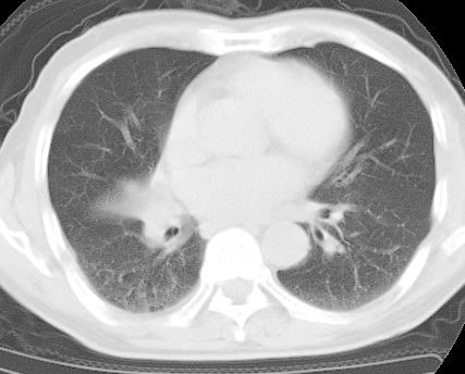
考虑右肺中叶不张,请大家发表意见



































[本贴已被 翁志蓬 于 2010-1-7 21:08:17 修改过]

作者: 731208    时间: 2010-1-8 03:24
右肺中叶不张、肺门轮廓增大,占位不除外;建议增强,必要时支气管镜详查。
作者: 听海观潮20    时间: 2010-1-8 03:29
右肺中叶不张,中叶支气管开口不清,建议支气管镜检查。
作者: dyqct    时间: 2010-1-8 03:55
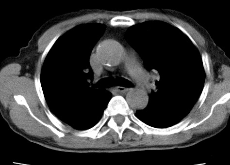
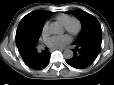
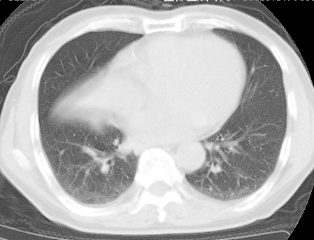
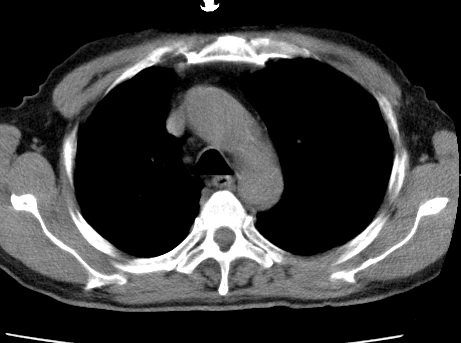
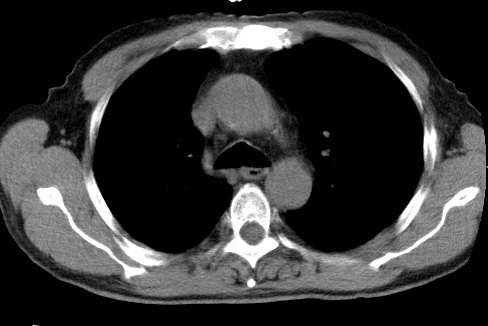
中叶肺不张是没问题的,但为什么不在肺门区加薄扫呢?要查原因。
作者: 37度    时间: 2010-1-8 04:04
建薄看支气管哦。
作者: 老爱克斯    时间: 2010-1-8 04:12
右肺中叶支气管闭塞,中叶肺不张,右侧肺门见肿块影。中心型肺癌的可能大。建议支气管镜检查。
作者: zxl51642    时间: 2010-1-8 04:17
标题: 回复:男65岁,咳嗽,吸烟20余年,无发热,咳痰
以下是引用听海观潮2008在2010-1-7 19:29:00的发言:[br]右肺中叶不张,中叶支气管开口不清,建议支气管镜检查。

作者: lizhiguang    时间: 2010-1-8 04:22
中叶肺不张
作者: liuyue    时间: 2010-1-8 04:28
右中叶体积明显缩小,且其支气管未显示,先考虑:中心型肺癌班右中叶肺不张。
建议:支气管镜检查。
(有病变的地方应该薄层扫描,方便于诊断)
作者: yangyudong333    时间: 2010-1-8 04:29
右肺中叶不张,中叶支气管开口不清,建议支气管镜检查。
作者: 随光逐影    时间: 2010-1-8 04:41
考虑右肺中叶中央型肺癌并右肺中叶肺不张;建议:行纤支镜检查。
作者: 影象小泰斗    时间: 2010-1-8 04:46
右肺中叶不张、肺门轮廓增大;建议支气管镜.
作者: 百年合好    时间: 2010-1-8 04:52
考虑右肺中叶中央型肺癌并右肺中叶肺不张;建议:行纤支镜检查。
作者: zsl6918    时间: 2010-1-8 04:55
考虑良性肺不张
作者: zjzjr    时间: 2010-1-8 05:05
右肺中叶支气管闭塞,中叶肺不张,右侧肺门见肿块影。中心型肺癌的可能大。建议支气管镜检查。
作者: 卜一    时间: 2010-1-8 05:06
建议支气管镜检查。
作者: 黑白光影    时间: 2010-1-8 05:34
右肺中叶支气管闭塞,中叶肺不张,右侧肺门见肿块影。中心型肺癌的可能大。建议支气管镜检查。
作者: xihan    时间: 2010-1-8 06:17
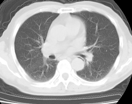
中叶肺不张,肺门区加薄扫.
作者: chenaide    时间: 2010-1-8 06:27
右肺门旁类圆形肿块影,右肺中叶不张,建议纤支镜检查。
作者: kh    时间: 2010-1-8 06:49
右肺中叶支气管狭窄,中叶不张,建议纤支镜检
作者: 影像孺子牛    时间: 2010-1-8 06:53
右肺中叶肺不张,不排外右肺中叶中央型肺癌;建议行纤支镜检查。
作者: ahtlx    时间: 2010-1-8 06:55
中央型肺癌并不张
作者: 吴医师    时间: 2010-1-8 08:00
以下是引用听海观潮2008在2010-1-7 19:29:00的发言:
右肺中叶不张,中叶支气管开口不清,建议支气管镜检查。
作者: 韦伟    时间: 2010-1-8 08:32
右肺中叶支气管闭塞,中叶肺不张,右侧肺门见肿块影。中心型肺癌的可能大。建议支气管镜检查。
作者: 513ytb    时间: 2010-1-8 09:06
右肺中叶不张,中叶支气管开口不清,建议支气管镜检查。
作者: yuhongjun    时间: 2010-1-8 14:00
右中叶体积明显缩小,且其支气管未显示,先考虑:中心型肺癌班右中叶肺不张。
建议:支气管镜检查。
作者: hhhhhh6    时间: 2010-1-8 17:10
1右肺门旁类圆形肿块影,右肺中叶不张,建议纤支镜检查
2右侧胸膜增厚,右侧叶间胸膜区钙化
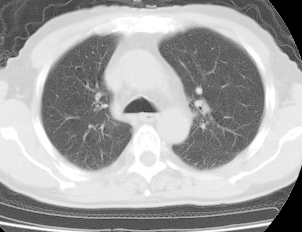
3右肺下叶小囊状透亮影考虑肺气肿
作者: 网易博    时间: 2010-1-8 17:49
右肺中叶内侧段肺不张,有必要支气管镜检查。
作者: shibing    时间: 2010-1-8 17:51
建议支气管镜检查助诊。
作者: LIAOQIANG    时间: 2010-1-8 23:10
建议支气管镜检查除外肺癌。
作者: 龙在野    时间: 2010-1-8 23:16
支持4楼
作者: shuiyuan    时间: 2010-1-9 04:59
右肺中叶不张,中叶支气管开口不清,建议支气管镜检查。
作者: dr.yang    时间: 2013-4-2 16:05
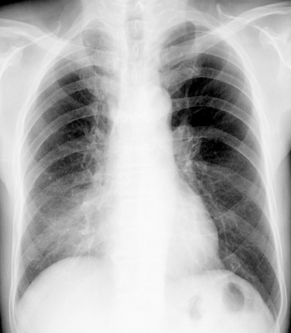
平片就可以诊断右肺中叶不张,做CT就是要找原因!中叶支气管开口不清,建议支气管镜检查。




欢迎光临 医影在线 (http://bbs.radida.com/bbs/) Powered by Discuz! X3.2