医影在线

标题: CT24034:怀孕3个月时(2009-3至4月间),自述突感左侧前后胸 [打印本页]

作者: hpzyydl    时间: 2010-1-8 02:59
标题: CT24034:怀孕3个月时(2009-3至4月间),自述突感左侧前后胸
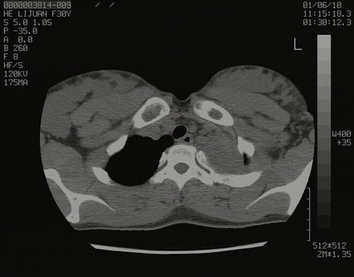
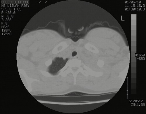
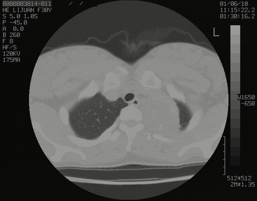
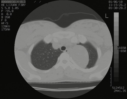
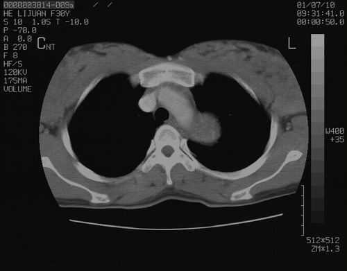
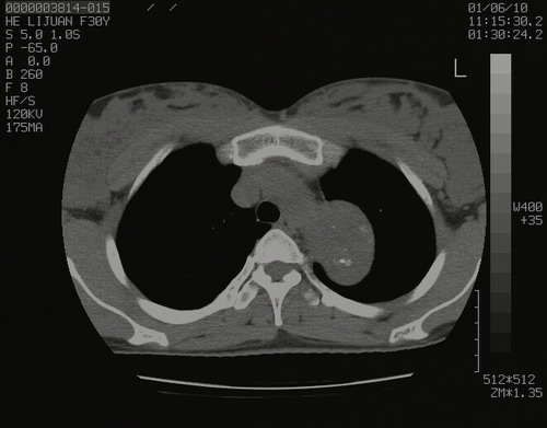
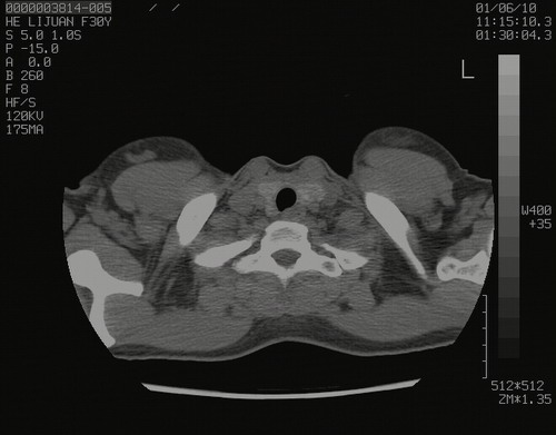
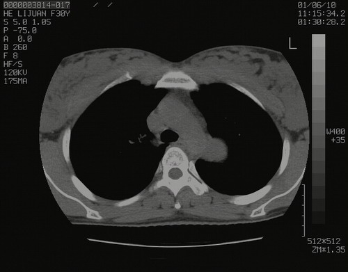
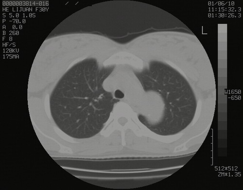
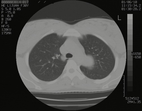
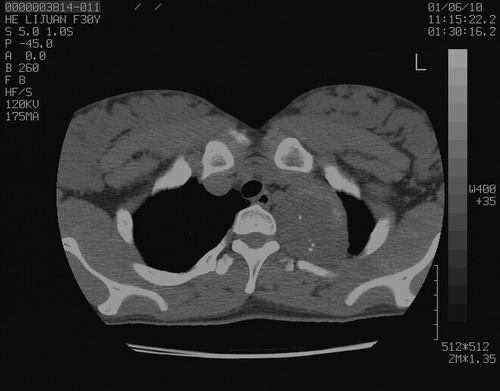
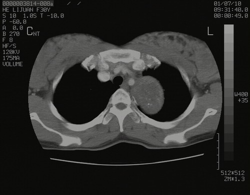
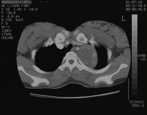
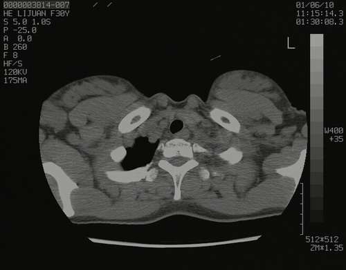
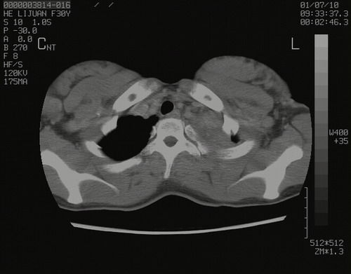
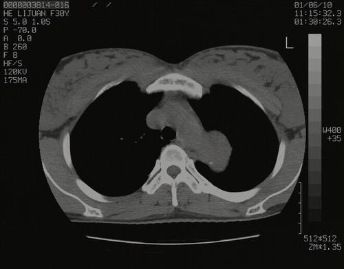
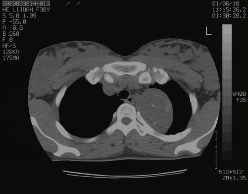
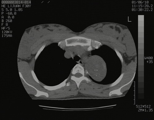
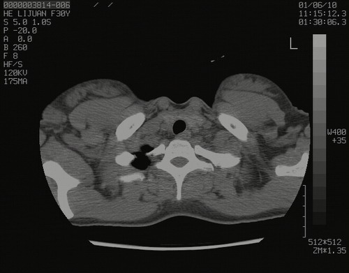
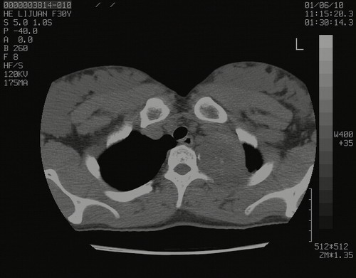
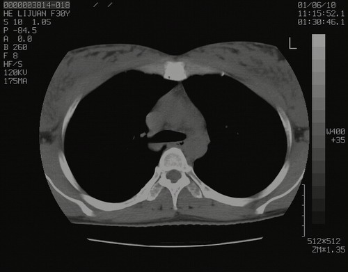
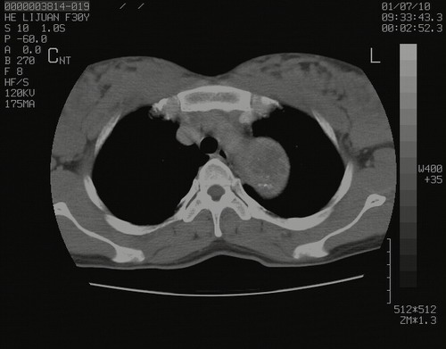
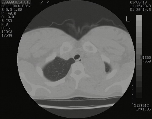
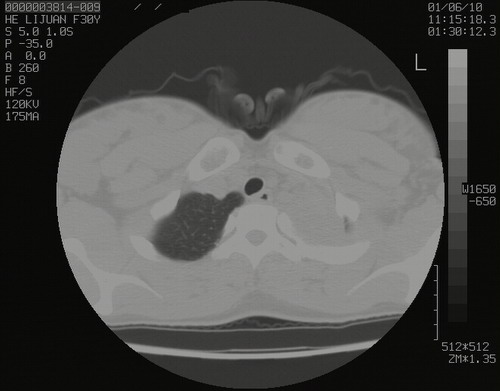
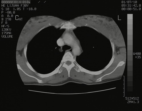
怀孕3个月时(2009-3至4月间),自述突感左侧前后胸疼痛1天,以前胸明显,随后偶感闷痛,余未见异







































[本贴已被 翁志蓬 于 2010-1-7 21:11:51 修改过]

作者: 37度    时间: 2010-1-8 03:15
考虑还是来源肺,上沟瘤?
作者: 听海观潮20    时间: 2010-1-8 03:47
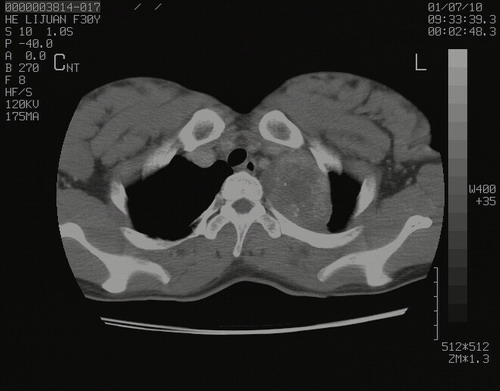
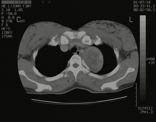
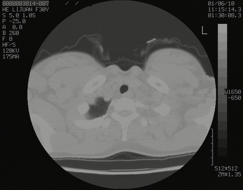
左肺尖脊柱旁沟肿块,境界清楚,边缘光滑,密度不均,内有多发点片状钙化,考虑良性肿瘤,骨软骨瘤或神经源性肿瘤可能,肺错构瘤不除外。
作者: 科室第一人    时间: 2010-1-8 04:00
上纵膈肿瘤,畸胎瘤可能
作者: dyqct    时间: 2010-1-8 04:01
考虑左后上纵隔神经纤维瘤可能性大,建议查血及肿瘤标记物除外肺上沟瘤。
作者: liuyue    时间: 2010-1-8 04:18
支持3楼。
作者: yangyudong333    时间: 2010-1-8 04:23
考虑神经源性肿瘤或畸胎瘤
作者: zxl51642    时间: 2010-1-8 04:28
定位肺外纵膈内,定性良性。
考虑:神经源性病变,神经鞘瘤可能性大;
鉴别:纵膈胸膜孤立性纤维瘤、castleman's、畸胎瘤、血管瘤、滑膜肉瘤。
作者: 随光逐影    时间: 2010-1-8 04:47
考虑左上纵隔神经源性肿瘤。
作者: zjzjr    时间: 2010-1-8 04:57
考虑周围神经源性肿瘤
作者: zsl6918    时间: 2010-1-8 05:04
不知ct值多少,感觉病灶有中度强化改变,巨淋巴结增生症应该考虑。
作者: 卜一    时间: 2010-1-8 05:10
考虑左上纵隔神经源性肿瘤。  
  
支持!
作者: 黑白光影    时间: 2010-1-8 05:27
考虑周围神经源性肿瘤
作者: xihan    时间: 2010-1-8 05:31
上纵膈肿瘤,畸胎瘤可能
作者: zgjldq    时间: 2010-1-8 05:56
考虑神经源性肿瘤或畸胎瘤
作者: 456picture    时间: 2010-1-8 06:00
标题: 回复:ct24034:怀孕3个月时(2009-3至4月间),自述突感左侧
以下是引用随光逐影在2010-1-7 20:47:00的发言:[br]考虑左上纵隔神经源性肿瘤。

作者: yangyang2000    时间: 2010-1-8 06:00
考虑左上纵隔神经源性肿瘤
作者: chenaide    时间: 2010-1-8 06:17
左后上纵隔见一类圆形肿块影,外侧边界清,密度不均匀,内可见点状钙化影,增强呈不均匀强化,考虑神经源性肿瘤可能。期待病理结果。
作者: kh    时间: 2010-1-8 06:40
自持畸胎瘤
作者: ahtlx    时间: 2010-1-8 06:49
神经源性肿瘤可能大
作者: 吴医师    时间: 2010-1-8 08:10
考虑神经源性肿瘤或畸胎瘤
作者: 韦伟    时间: 2010-1-8 08:20
考虑神经源性肿瘤
作者: 513ytb    时间: 2010-1-8 09:02
考虑神经源性肿瘤或畸胎瘤
作者: yuhongjun    时间: 2010-1-8 14:03
考虑左上纵隔神经源性肿瘤。
作者: hhhhhh6    时间: 2010-1-8 16:32
标题: 回复:ct24034:怀孕3个月时(2009-3至4月间),自述突感左侧
以下是引用chenaide在2010-1-7 22:17:00的发言:[br]左后上纵隔见一类圆形肿块影,外侧边界清,密度不均匀,内可见点状钙化影,增强呈不均匀强化,考虑神经源性肿瘤可能。期待病理结果。

作者: 网易博    时间: 2010-1-8 17:57
考虑左后上纵隔神经源性肿瘤
作者: shibing    时间: 2010-1-8 17:59
考虑左后上纵隔神经纤维瘤可能性大,建议查血及肿瘤标记物除外肺上沟瘤。
作者: LIAOQIANG    时间: 2010-1-8 23:03
考虑巨淋巴结增生症,不除外神经源性肿瘤。
作者: 龙在野    时间: 2010-1-8 23:12
支持3楼
作者: shuiyuan    时间: 2010-1-9 05:49
考虑左上纵隔神经源性肿瘤。
作者: dr.yang    时间: 2013-4-2 16:28
考虑周围神经源性肿瘤




欢迎光临 医影在线 (http://bbs.radida.com/bbs/) Powered by Discuz! X3.2