医影在线

标题: CT24035:肝内占位 [打印本页]

作者: 听海观潮20    时间: 2010-1-8 03:03
标题: CT24035:肝内占位
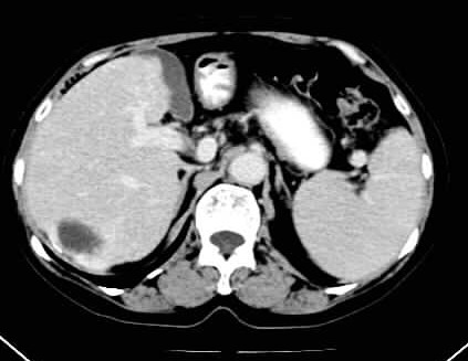
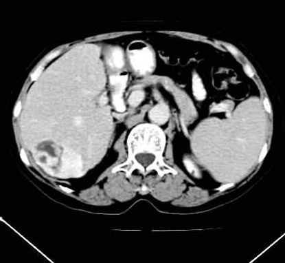
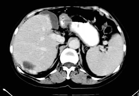
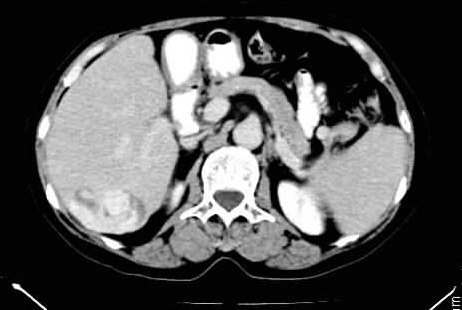
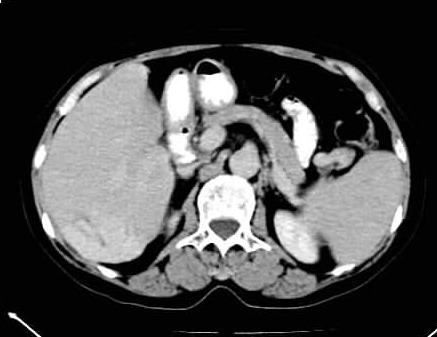
【版主注:请提供患者性别、年龄、临床症状体征等资料】











[本贴已被 翁志蓬 于 2010-1-7 21:14:30 修改过]

作者: 沉默是金    时间: 2010-1-8 03:25
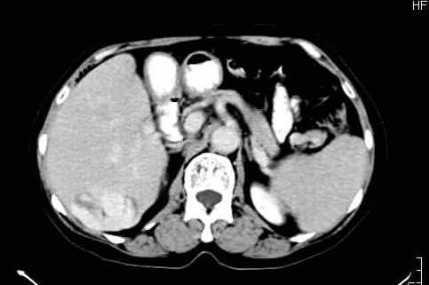
血管瘤
作者: 37度    时间: 2010-1-8 03:25
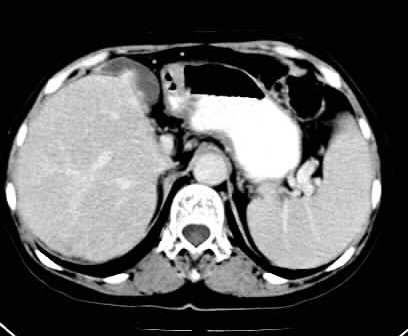
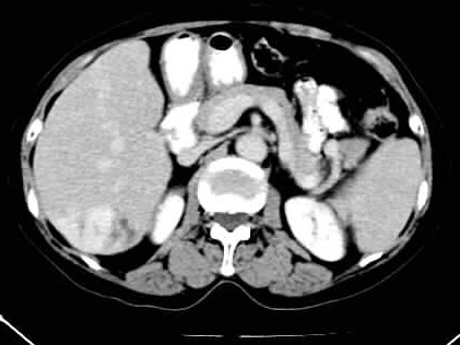
右叶后段血管瘤,层面少,看不见左叶,脾大。
作者: 731208    时间: 2010-1-8 03:39
血管瘤、肝左叶缺如、脾稍大。
作者: 科室第一人    时间: 2010-1-8 03:57
肝右叶血管瘤脾大
作者: dyqct    时间: 2010-1-8 04:02
右叶后段血管瘤,脾大。
作者: liuyue    时间: 2010-1-8 04:19
肝右叶血管瘤;肝左叶缺如;脾大。
作者: yangyudong333    时间: 2010-1-8 04:20
右叶后段血管瘤,脾大。
作者: zxl51642    时间: 2010-1-8 04:30
肝右叶血管瘤、脾大
作者: 随光逐影    时间: 2010-1-8 04:48
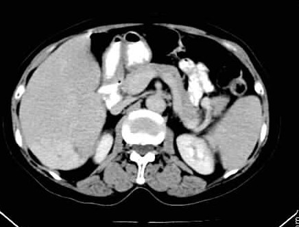
1)肝右叶后段血管瘤。2)脾大。
作者: zjzjr    时间: 2010-1-8 04:53
右叶后段血管瘤,脾大。
作者: 影象小泰斗    时间: 2010-1-8 04:55
肝右叶后段血管瘤
作者: zsl6918    时间: 2010-1-8 04:56
支持血管瘤改变
作者: 卜一    时间: 2010-1-8 05:12
右叶后段血管瘤!
作者: 黑白光影    时间: 2010-1-8 05:20
支持大家。
作者: xihan    时间: 2010-1-8 05:35
肝右叶血管瘤;肝左叶缺如
作者: zgjldq    时间: 2010-1-8 05:57
肝右叶后段血管瘤、肝左叶缺如、脾大
作者: yangyang2000    时间: 2010-1-8 05:57
血管瘤
作者: chenaide    时间: 2010-1-8 06:09
支持海绵状血管瘤。
作者: kh    时间: 2010-1-8 06:38
支持血管瘤
作者: 吴医师    时间: 2010-1-8 08:13
肝右叶血管瘤、脾大
作者: linyiming    时间: 2010-1-8 10:12
肝右叶后段血管瘤
作者: yuhongjun    时间: 2010-1-8 13:54
右叶后段血管瘤,脾大。
作者: hhhhhh6    时间: 2010-1-8 16:29
标题: 回复:ct24035:肝内占位
以下是引用zxl51642在2010-1-7 20:30:00的发言:[br]肝右叶血管瘤、脾大

作者: xrw    时间: 2010-1-8 16:58
血管瘤。
作者: shibing    时间: 2010-1-8 18:01
右叶后段血管瘤,脾大
作者: 网易博    时间: 2010-1-8 18:02
肝右叶后段血管瘤、肝左叶缺如、脾大
作者: sunbin    时间: 2010-1-8 18:50
肝右叶后段低密度块影,增强后造影剂逐渐向病灶充填,支持肝血管瘤。
作者: 2008boyBOY    时间: 2010-1-8 18:59
肝右后叶下段血管瘤,脾大。
作者: 深泽交通    时间: 2010-1-8 19:14
支持血管瘤
作者: LIAOQIANG    时间: 2010-1-8 23:00
考虑肝右叶后段血管瘤。




欢迎光临 医影在线 (http://bbs.radida.com/bbs/) Powered by Discuz! X3.2