医影在线

标题: CT24038:男性,58岁。主因咳嗽带血性CT检查。 [打印本页]

作者: fanshl    时间: 2010-1-8 15:20
标题: CT24038:男性,58岁。主因咳嗽带血性CT检查。




































[本贴已被 翁志蓬 于 2010-1-9 11:26:02 修改过]

作者: zhengfaming    时间: 2010-1-8 16:12
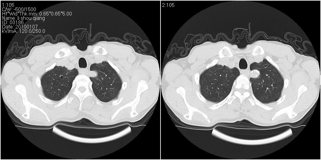
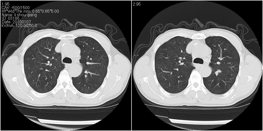
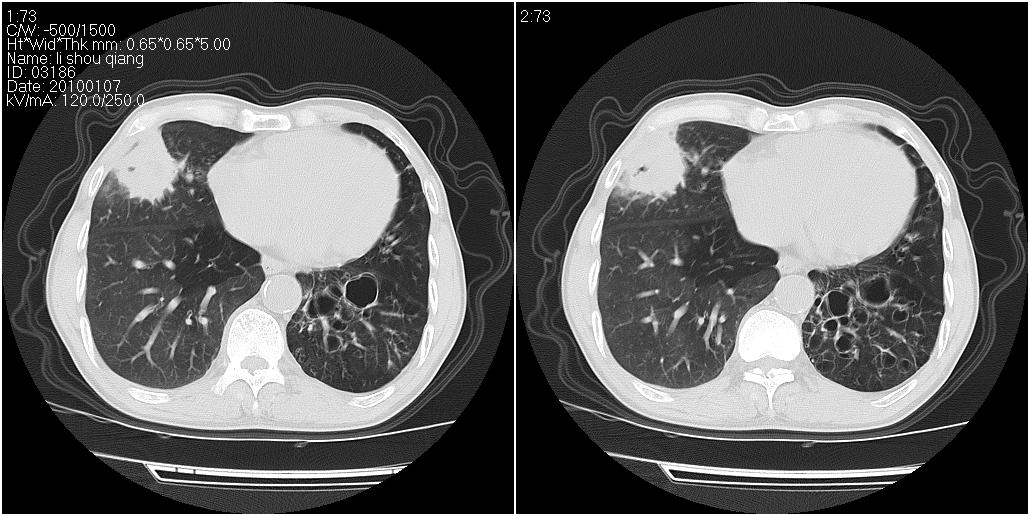
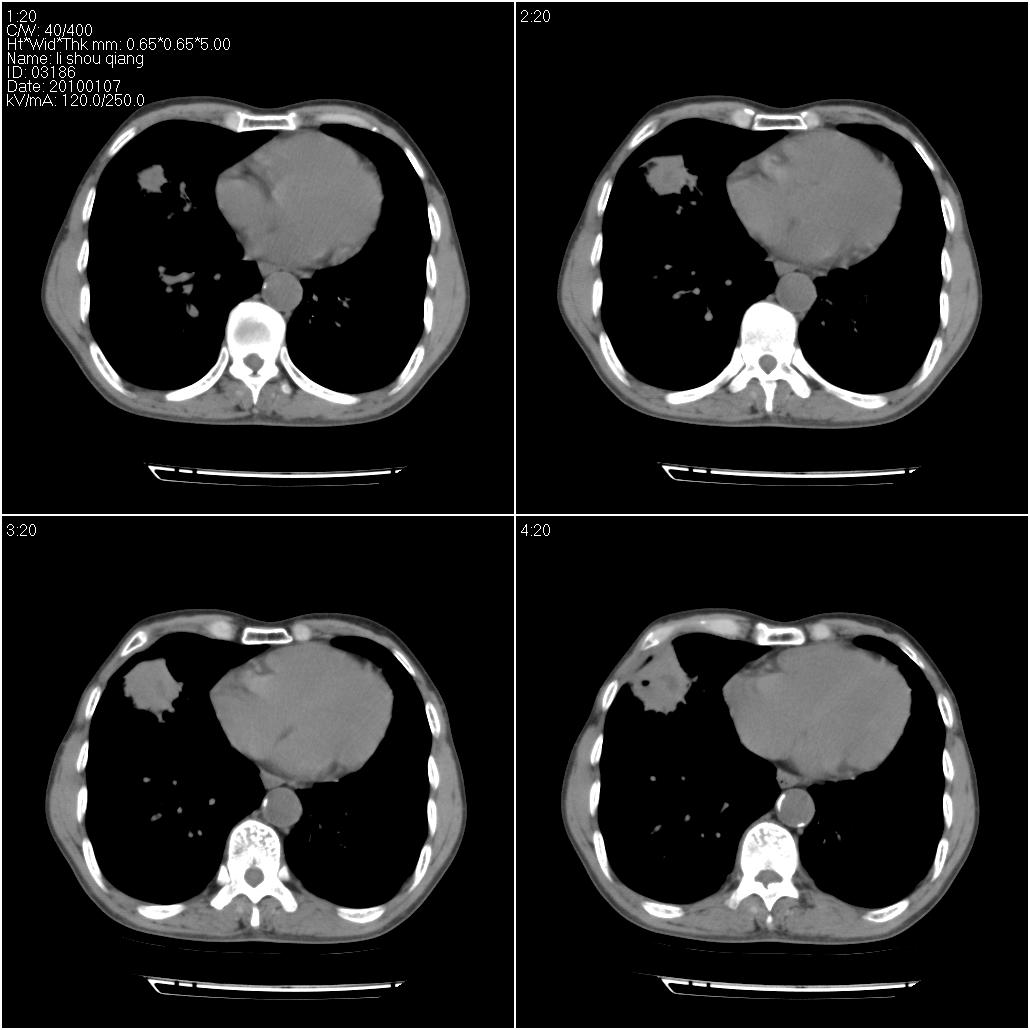
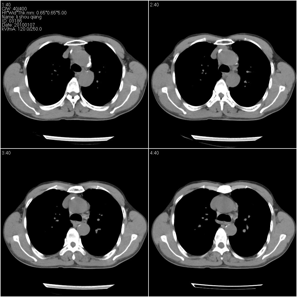
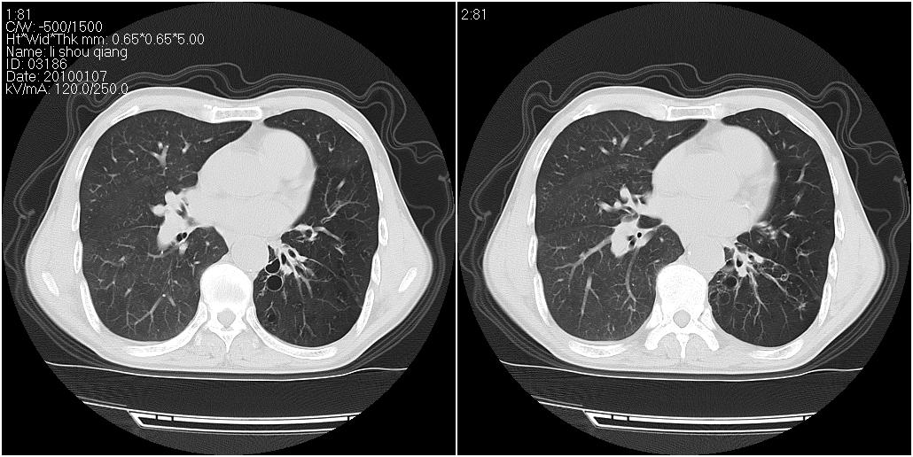
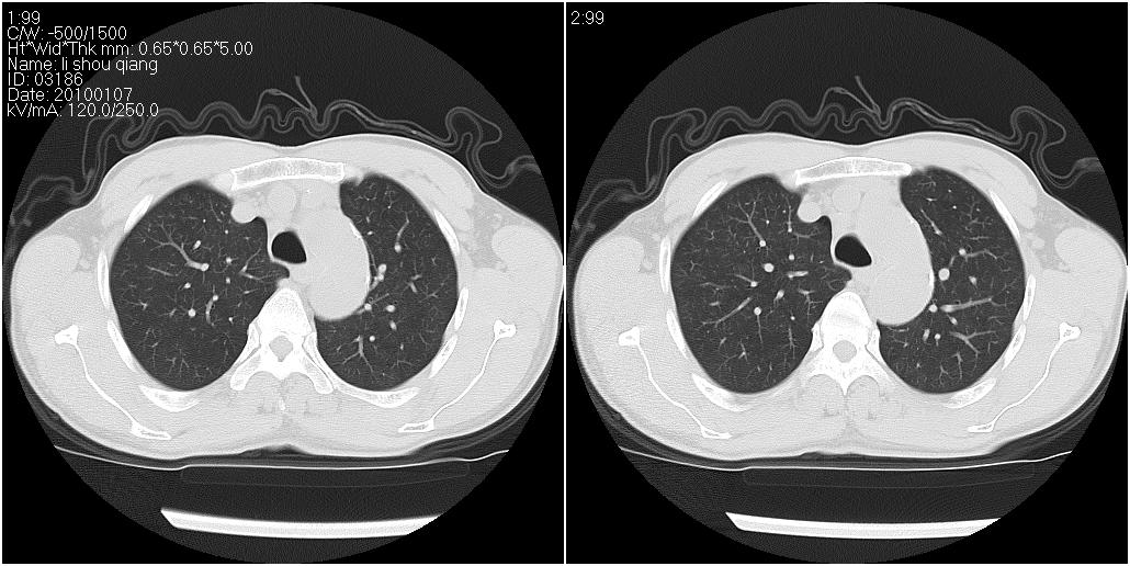
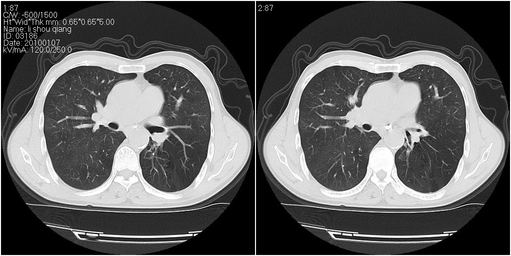
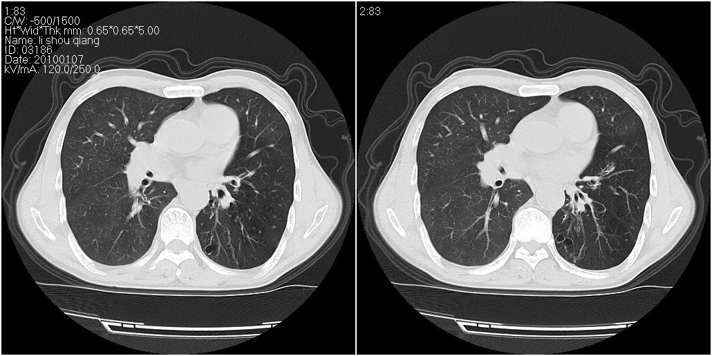
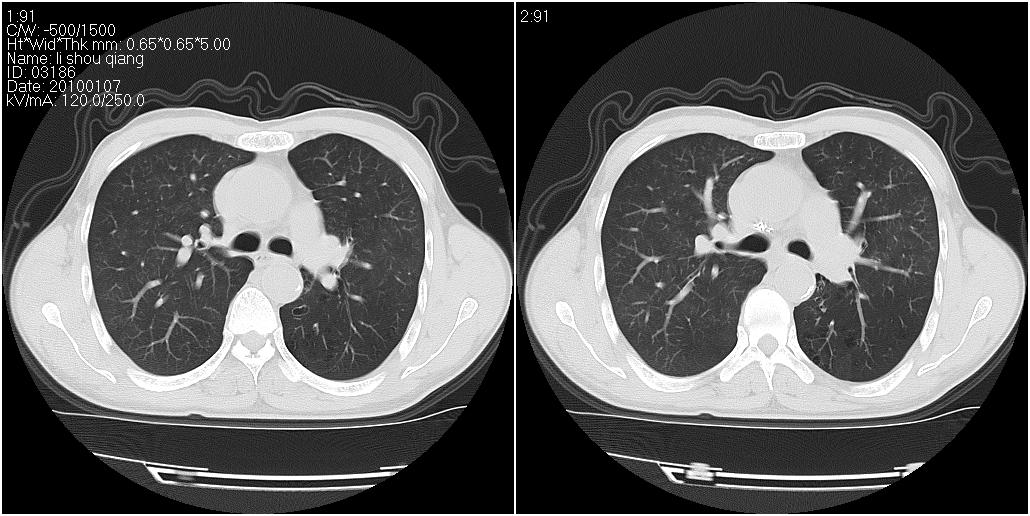
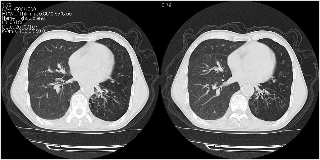
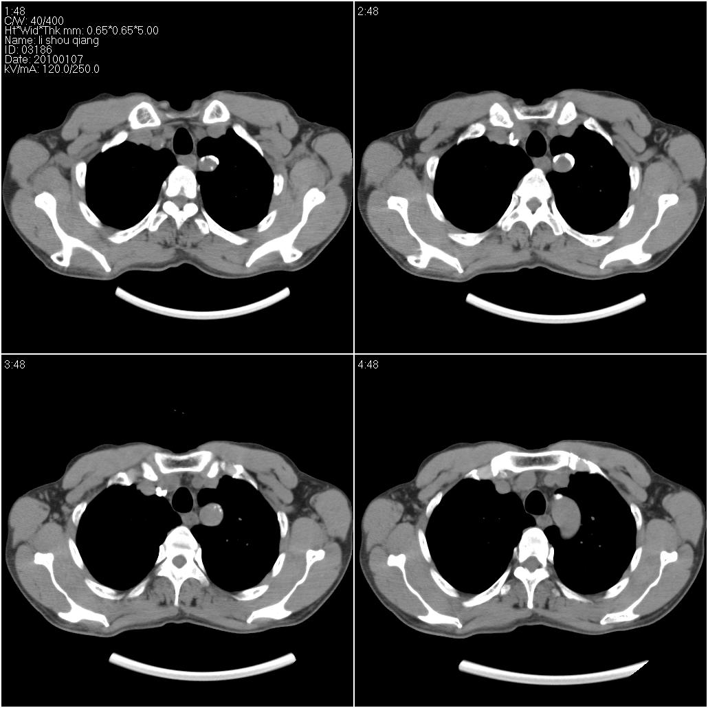
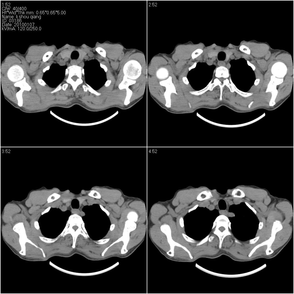
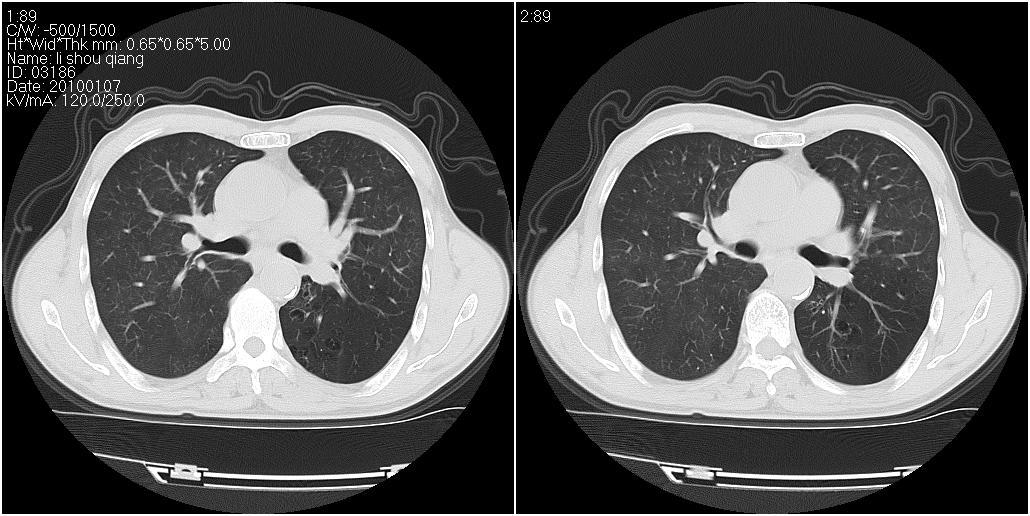
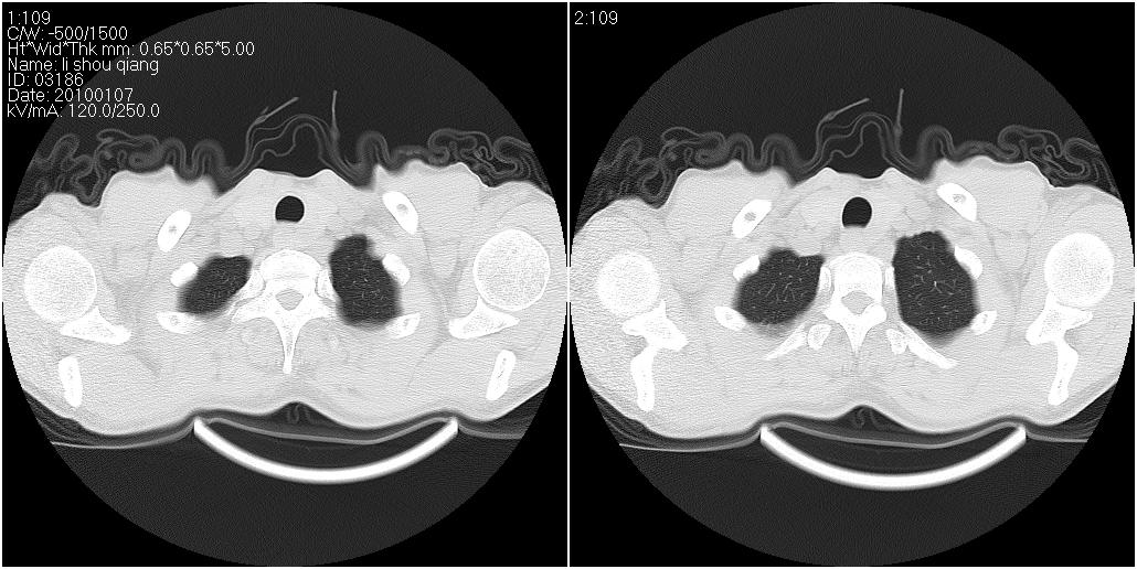
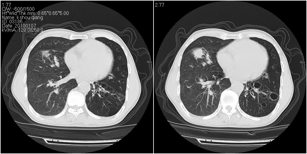
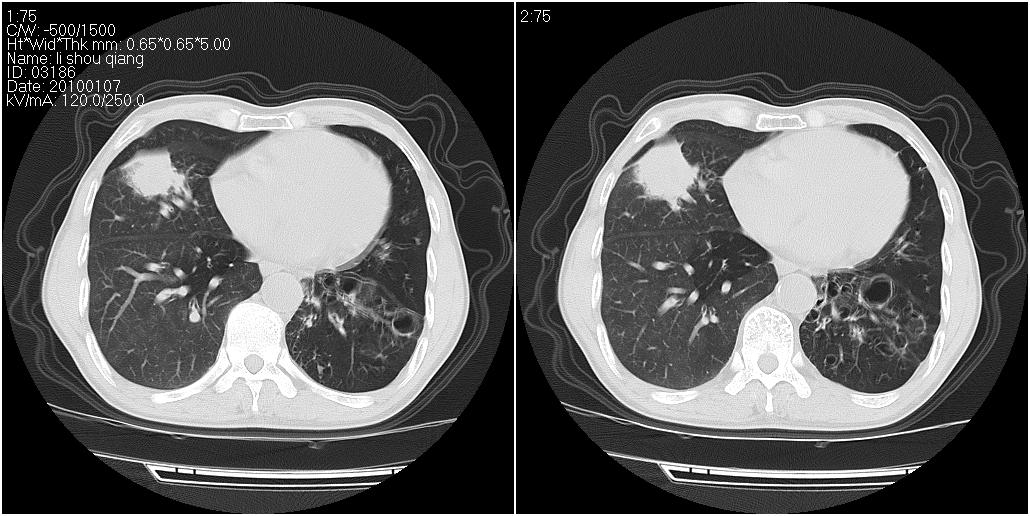
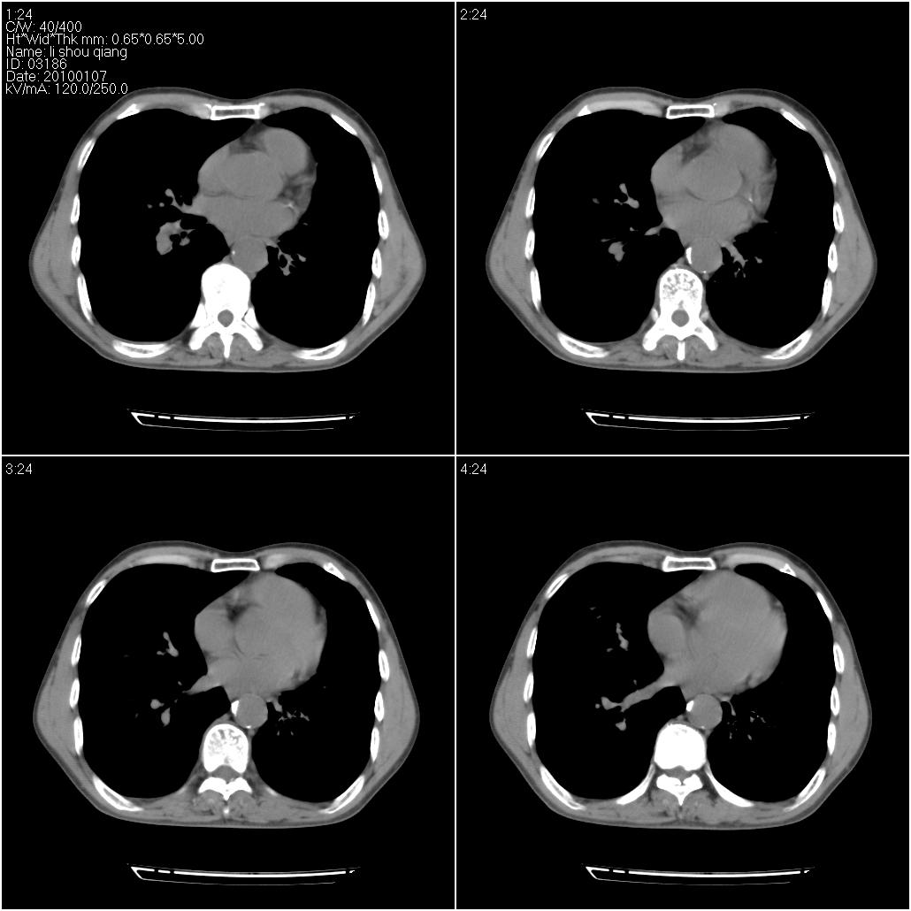
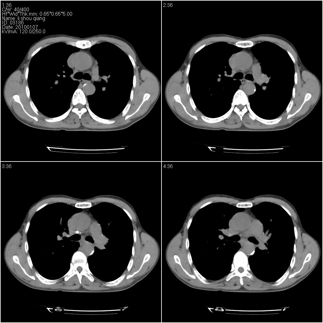
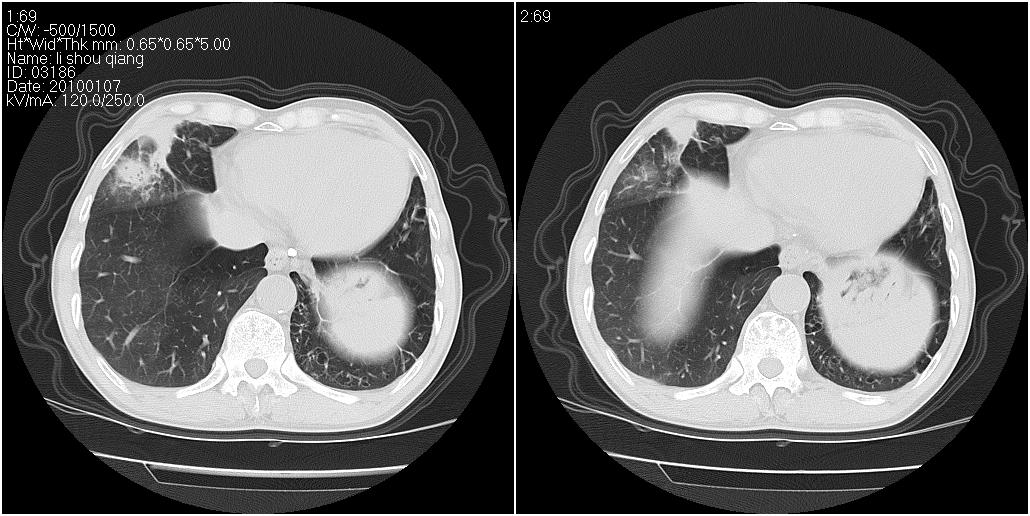
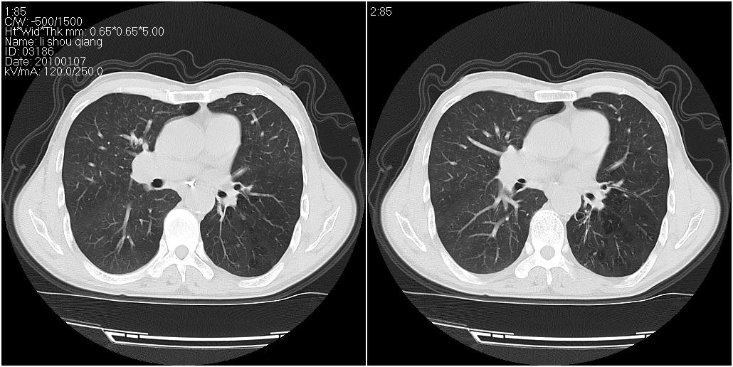
右肺中叶外侧段见一不规则的软组织肿块,边缘可见毛刺,并见厚壁空洞,与胸膜分界欠清。另左下肺见多个小囊状扩张区
1右肺周围型肺癌并空洞形成
2左肺下叶支扩可能性大,不除外肺囊肿
作者: hhhhhh6    时间: 2010-1-8 16:15
标题: 回复:男性,58岁。主因咳嗽带血性ct检查。
不道是不是沙发怕怕
1右肺中叶肺脓肿不除外其他病变
2右肺下叶局限性肺气肿
3右侧胸膜增厚
4左肺下叶支扩(囊状)
各位接着说,我错了没事,你没对了就行
作者: dyqct    时间: 2010-1-8 16:35
右肺中叶外侧段见一不规则的软组织肿块,边缘可见毛刺,并见厚壁空洞,与胸膜分界欠清。另左下肺见多个小囊状扩张区
1、右肺中叶周围型肺癌并空洞形成。
2、左肺下叶支扩可能性大。
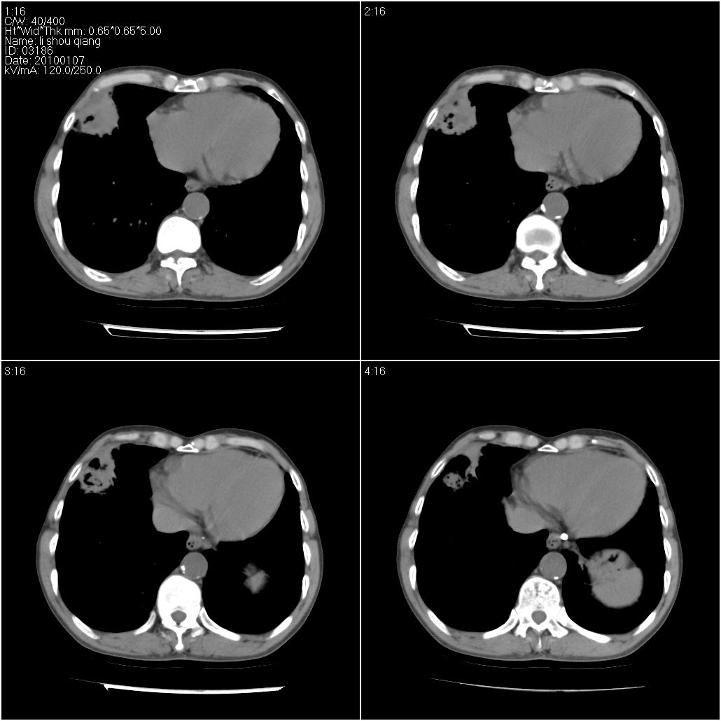
3、建议增强除外主动脉弓息室样动脉瘤。
作者: 道哥    时间: 2010-1-8 16:38
1右肺周围型肺癌并空洞形成
2左肺下叶支扩可能性大
作者: 卜一    时间: 2010-1-8 16:55
右肺周围型肺癌并空洞形成!支持!建议积极消炎后复查待出外支扩合并感染!
作者: 破釜沉舟    时间: 2010-1-8 17:14
支持道哥。
作者: zxl51642    时间: 2010-1-8 17:16
肺癌>tb>脓肿,左肺支扩,主动脉迂曲钙化。建议穿刺。
作者: zjzjr    时间: 2010-1-8 17:27
1、右肺中叶周围型肺癌并空洞形成。
2、左肺下叶支扩可能性大。
作者: shibing    时间: 2010-1-8 18:20
右肺中叶周围型肺癌(腺癌)并非空洞而是空泡症
作者: 网易博    时间: 2010-1-8 18:39
1右肺周围型肺癌
2左肺下叶支扩
作者: 深泽交通    时间: 2010-1-8 19:05
考虑右中叶肺泡癌
作者: songyi    时间: 2010-1-8 19:25
1、右肺中叶周围型肺癌并空洞形成。
2、左肺下叶支扩。
作者: sunbin    时间: 2010-1-8 19:49
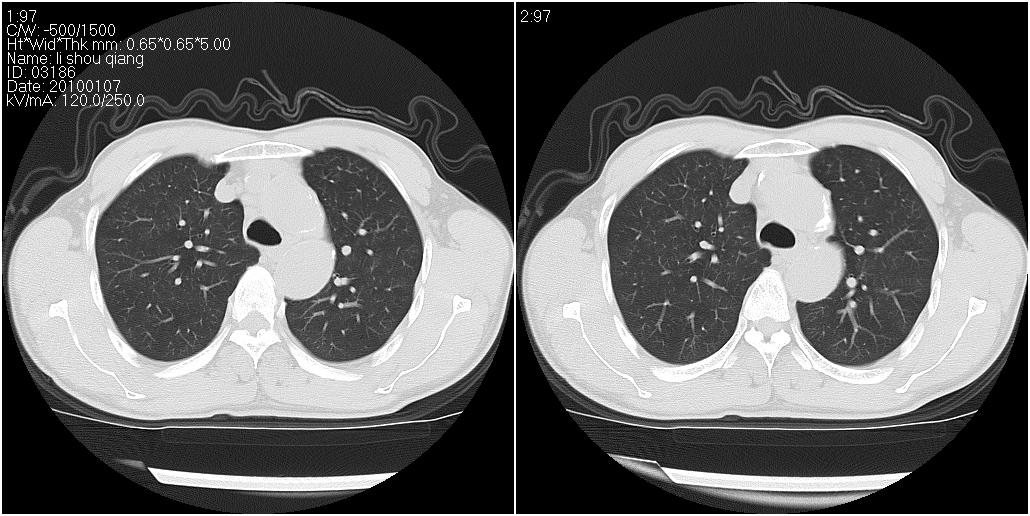
右肺中叶外侧段可见团块影,外形不规则,内见空泡征。左下肺见蜂窝状低密度透亮影,部分层面主动脉旁瘤样突出。考虑右肺中叶外围型肺癌可能性大,左下肺支气管扩张,主动脉弓瘤样突出。
作者: 吴医师    时间: 2010-1-8 20:06
考虑右肺癌可能性大,左下肺支气管扩张,主动脉弓瘤样突出?建议增强
作者: 37度    时间: 2010-1-8 20:44
1、右肺中叶周围型肺癌并空洞形成。
2、左肺下叶支扩可能性大。
作者: xihan    时间: 2010-1-8 21:00
周围型肺癌并空洞形成
作者: 513ytb    时间: 2010-1-8 21:32
炎性假瘤,右肺中叶周围型肺癌(腺癌)并非空洞而是空泡症。
作者: LIAOQIANG    时间: 2010-1-8 22:42
1、右肺中叶病灶内不规则气体影、低密度影,且与胸膜接触面宽,病灶边缘模糊。考虑右肺中叶感染并有脓肿形成。建议抗炎治疗后复查。2、左下叶支气管扩张症。
作者: yangyudong333    时间: 2010-1-8 22:47
1右肺周围型肺癌并空洞形成
2左肺下叶支扩可能性大
作者: 同    时间: 2010-1-9 00:09
右肺中叶周围型肺癌并空洞形成。
作者: 随光逐影    时间: 2010-1-9 00:11
1)考虑右肺中叶周围型肺癌并癌性空洞形成。2)左肺下叶支气管扩张可能性大。
作者: 黄沙满天    时间: 2010-1-9 00:36
肺癌+支扩
作者: shuiyuan    时间: 2010-1-9 03:02
1、右肺中叶病灶周围有炎性反应,所以考虑感染病灶,建议增强扫描进一步鉴别 2、左肺支扩
作者: yxwsd    时间: 2010-1-9 04:01
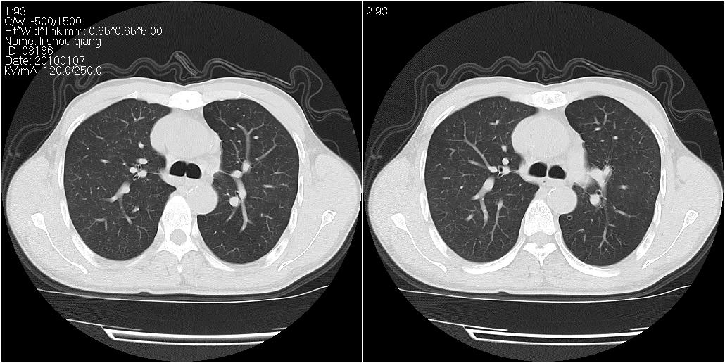
右肺中叶外侧段见一不规则的软组织肿块,边缘可见毛刺,并见厚壁空洞,与胸膜分界欠清。另左下肺见多个小囊状扩张区
1、右肺中叶周围型肺癌(内空泡)。
2、左肺下叶支扩,不除外合并肺囊肿。
3、建议冠状位重建除外主动脉弓息室样动脉瘤。
作者: 进修医生    时间: 2010-1-9 04:20
肺癌,支扩,支持
作者: wansheng    时间: 2010-1-9 04:27
1右肺周围型肺癌并空洞形成
2左肺下叶支扩可能性大
作者: zsl6918    时间: 2010-1-9 04:45
病还不少。血管先天变异。支扩并感染。右肺可能合并霉菌感染或结核。
作者: 黑白光影    时间: 2010-1-9 05:27
支持1)考虑右肺中叶周围型肺癌并癌性空洞形成。2)左肺下叶支气管扩张可能性大。
作者: dr.yang    时间: 2013-4-2 16:52
1、右肺中叶周围型肺癌并空洞形成。
2、左肺下叶支扩可能性大。




欢迎光临 医影在线 (http://bbs.radida.com/bbs/) Powered by Discuz! X3.2