医影在线

标题: CT24039:请会诊,女70岁,彩超考虑胆囊结石 [打印本页]

作者: lixiaohong8983    时间: 2010-1-8 17:35
标题: CT24039:请会诊,女70岁,彩超考虑胆囊结石

































[本贴已被 翁志蓬 于 2010-1-9 11:27:38 修改过]

作者: shibing    时间: 2010-1-8 18:28
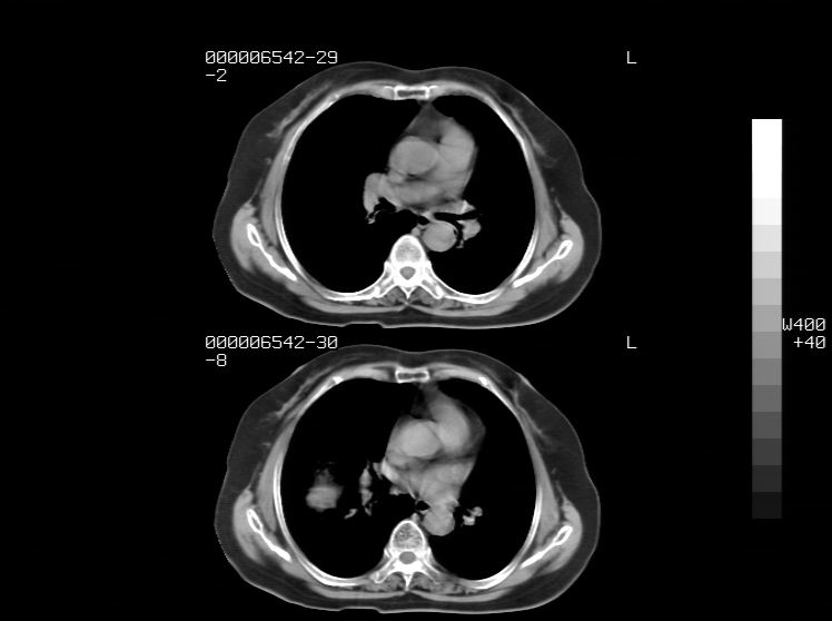
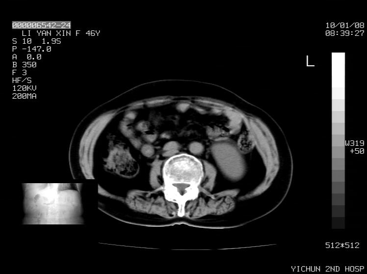
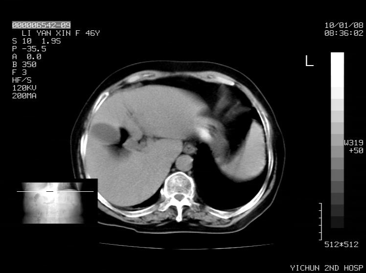
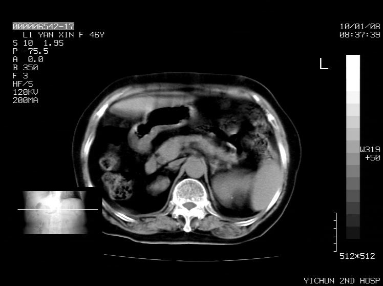
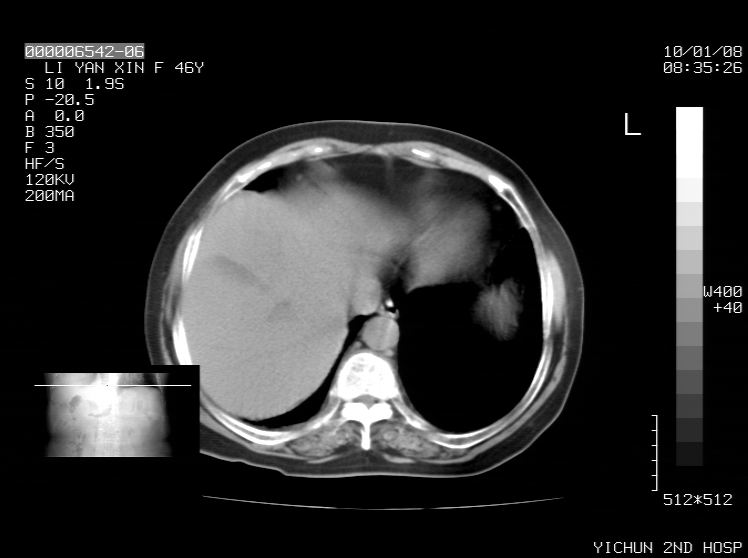
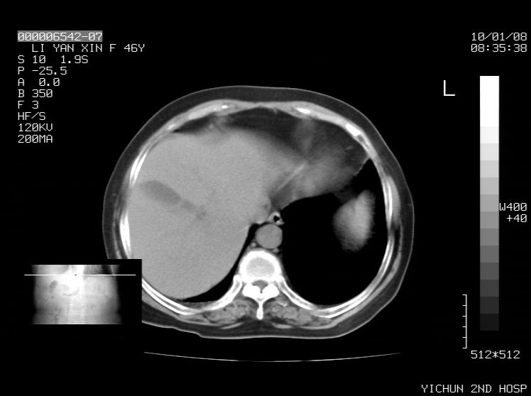
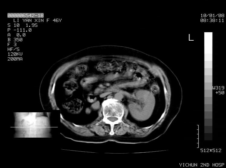
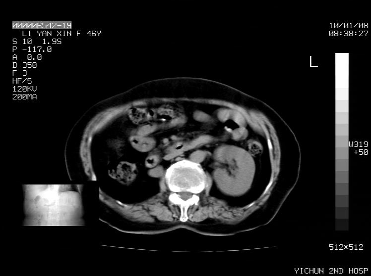
右侧膈膨升,胆囊壁厚,右侧肾脏缺如。病史?
作者: 2008boyBOY    时间: 2010-1-8 18:46
右侧膈膨升,右肾脏切除术后
作者: 深泽交通    时间: 2010-1-8 19:00
胆囊正常 肝脏正常变异
作者: zxl51642    时间: 2010-1-8 19:17
右侧膈膨升,肝内钙化灶,胆囊壁厚,右侧肾脏缺如。病史?
作者: sunbin    时间: 2010-1-8 20:13
右膈膨出,肝脏变异,肝内钙化,右肾缺如,脾大。
作者: 37度    时间: 2010-1-8 20:40
标题: 回复:请会诊,女70岁,彩超考虑胆囊结石
以下是引用zxl51642在2010-1-8 11:17:00的发言:[br]右侧膈膨升,肝内钙化灶,胆囊壁厚,右侧肾脏缺如。病史?

作者: 吴医师    时间: 2010-1-8 21:13
右侧膈膨升,肝内胆管结石?
右侧肾脏缺如。病史?
作者: 513ytb    时间: 2010-1-8 21:29
右侧膈膨升,胆囊壁厚,右侧肾脏缺如,增强,腔静脉旁是否是移位肾
作者: zjzjr    时间: 2010-1-8 21:38
肝脏变异致膈升高,肝左叶肝内胆管结石.右肾萎缩,左肾代偿肥大.
作者: LIAOQIANG    时间: 2010-1-8 22:39
胆囊ct未见确切异常,请结合b超。右侧肾窝未见确切肾脏影,右肾萎缩?异位?
作者: yangyudong333    时间: 2010-1-8 22:44
右侧膈膨升,肝内胆管结石?
右侧肾脏缺如。病史?
作者: 卜一    时间: 2010-1-8 23:47
以下是引用zxl51642在2010-1-8 11:17:00的发言:
右侧膈膨升,肝内钙化灶,胆囊壁厚,右侧肾脏缺如。病史?
支持!
作者: 同    时间: 2010-1-9 00:10
标题: 回复:请会诊,女70岁,彩超考虑胆囊结石
以下是引用zxl51642在2010-1-8 11:17:00的发言:[br]右侧膈膨升,肝内钙化灶,胆囊壁厚,右侧肾脏缺如。病史?

作者: 随光逐影    时间: 2010-1-9 00:14
右侧膈膨升,肝内钙化灶,胆囊壁厚,右肾萎缩或发育不良。
作者: wansheng    时间: 2010-1-9 04:16
右侧膈膨升,胆囊壁厚,右侧肾脏缺如。病史?
作者: zsl6918    时间: 2010-1-9 04:47
标题: 回复:请会诊,女70岁,彩超考虑胆囊结石
右侧膈膨升,肝内钙化灶,胆囊壁厚,右侧肾脏缺如。病史?
作者: 黑白光影    时间: 2010-1-9 05:30
右侧膈膨升,肝内钙化灶,胆囊壁厚,右侧肾脏缺如。病史?
支持!




欢迎光临 医影在线 (http://bbs.radida.com/bbs/) Powered by Discuz! X3.2