医影在线

标题: CT24042:子宫右上方囊性包块,性质???? [打印本页]

作者: 地球上的    时间: 2010-1-8 20:53
标题: CT24042:子宫右上方囊性包块,性质????
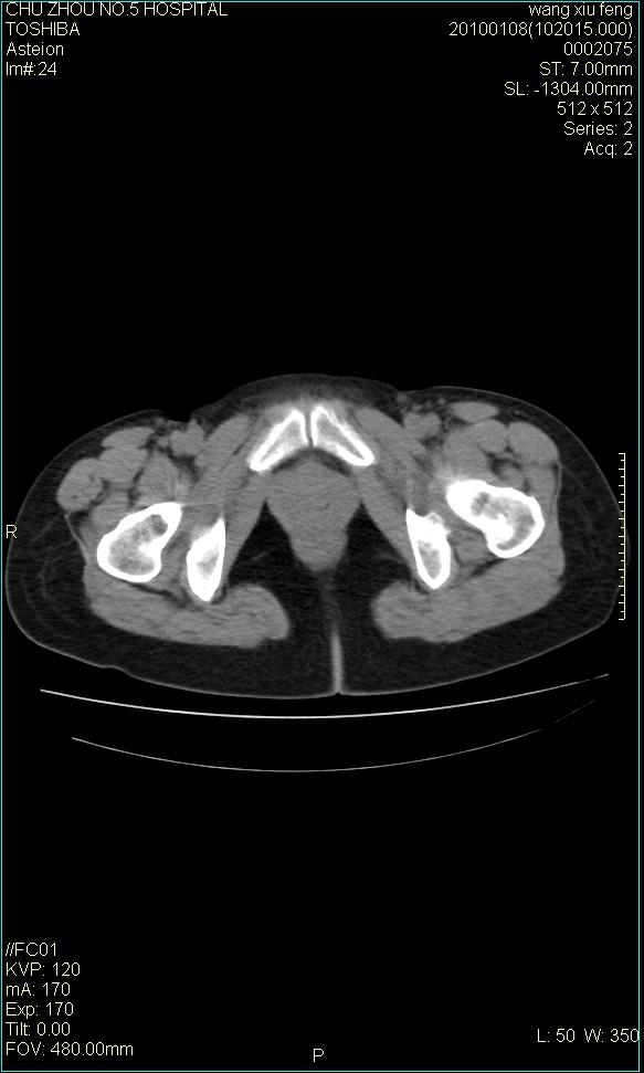
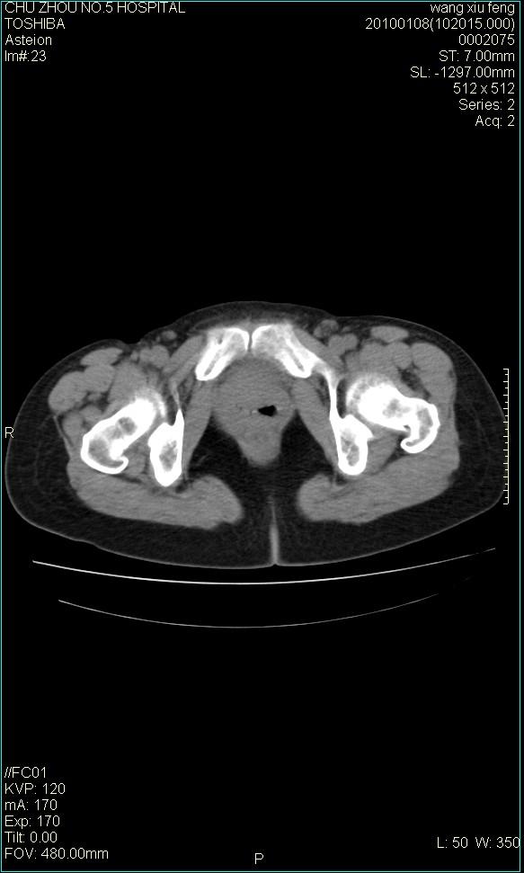
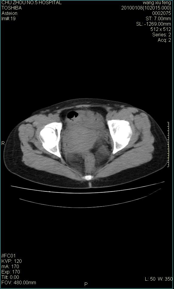
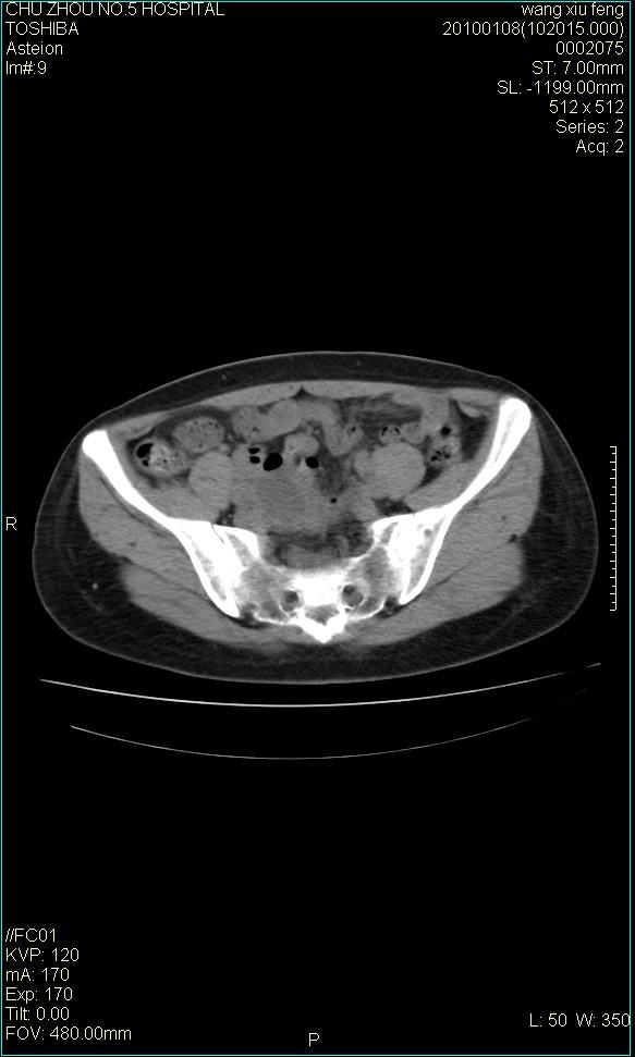
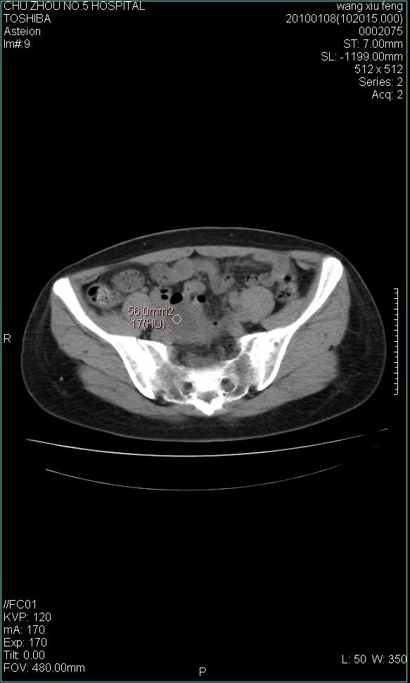
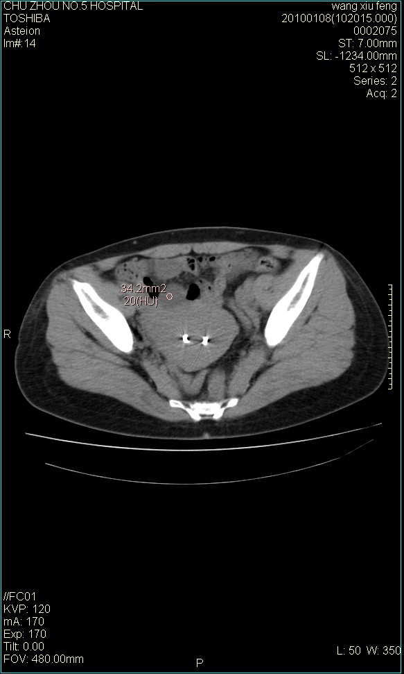
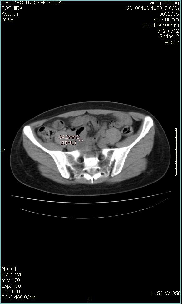
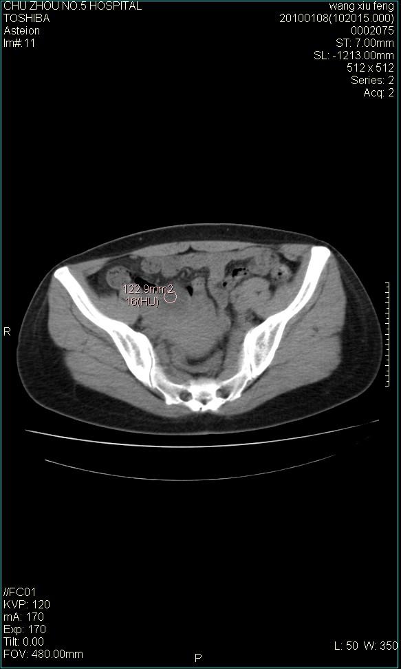
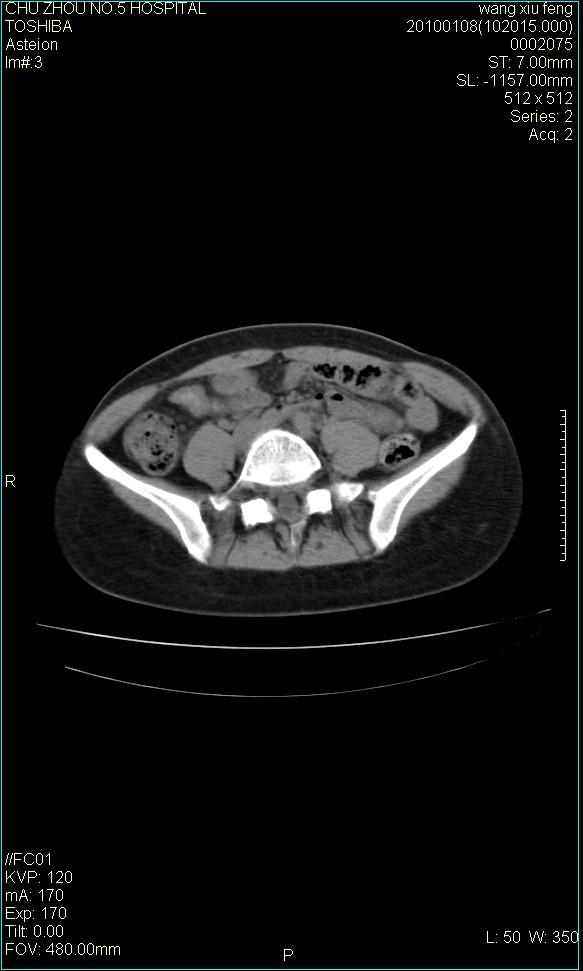
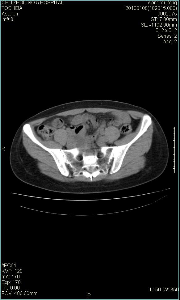
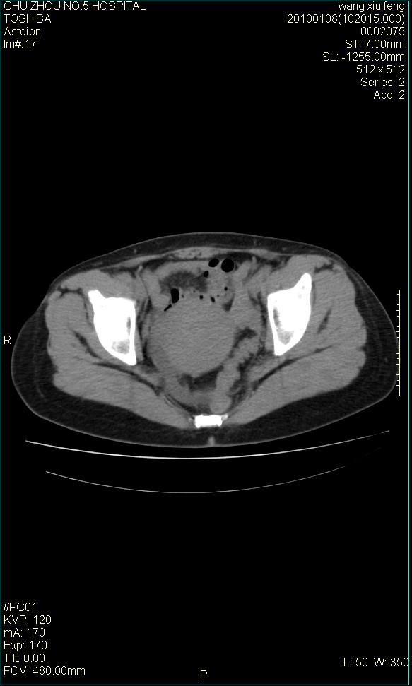
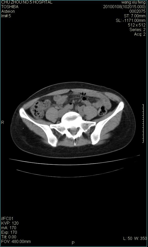
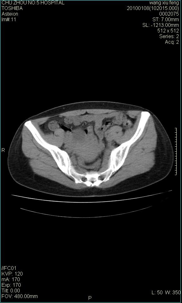
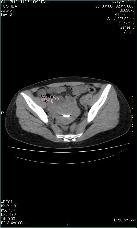
f-41,左乳腺ca术后4年,b超示:子宫右上方囊性包块约5.5*3.4cm,前日行胸部ct平扫未见明显异常。



































[本贴已被 翁志蓬 于 2010-1-9 11:32:53 修改过]

作者: 513ytb    时间: 2010-1-8 21:21
囊腺瘤,转移瘤不排除。
作者: zjzjr    时间: 2010-1-8 21:46
囊肿或脓肿,建议增强
作者: LIAOQIANG    时间: 2010-1-8 22:11
考虑右侧卵巢囊腺瘤?
作者: zxl51642    时间: 2010-1-8 22:26
右侧卵巢囊肿或小囊腺瘤。
作者: yangyudong333    时间: 2010-1-8 22:36
考虑肠系膜囊肿可能性大
作者: 龙在野    时间: 2010-1-8 23:06
囊肿?囊腺瘤?
作者: 卜一    时间: 2010-1-8 23:54
考虑右侧卵巢囊腺瘤?建议增强!
作者: 同    时间: 2010-1-9 00:18
考虑右侧卵巢囊腺瘤。
作者: 随光逐影    时间: 2010-1-9 00:23
考虑右侧卵巢囊性占位性病变(囊肿?囊腺瘤?)。
作者: 37度    时间: 2010-1-9 03:08
考虑右侧卵巢囊性占位性病变(囊肿?囊腺瘤?)。
作者: yxwsd    时间: 2010-1-9 03:46
标题: 回复:子宫右上方囊性包块,性质????
以下是引用37度在2010-1-8 19:08:00的发言:[br]考虑右侧卵巢囊性占位性病变(囊肿?囊腺瘤?)。
支持!
作者: zsl6918    时间: 2010-1-9 04:51
良性囊性改变
作者: 黑白光影    时间: 2010-1-9 05:40
右侧卵巢囊肿或小囊腺瘤。




欢迎光临 医影在线 (http://bbs.radida.com/bbs/) Powered by Discuz! X3.2