医影在线

标题: CT24041:肝脏占位,请会诊! [打印本页]

作者: 心愿    时间: 2010-1-8 23:14
标题: CT24041:肝脏占位,请会诊!
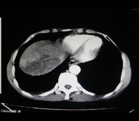
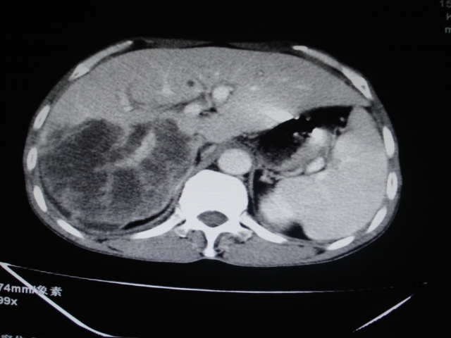
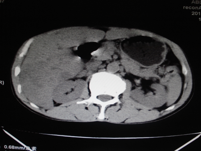
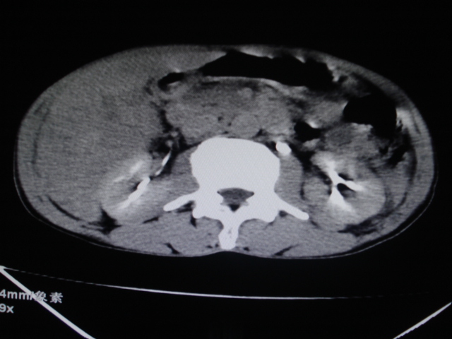
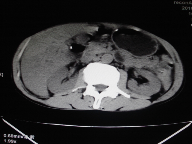
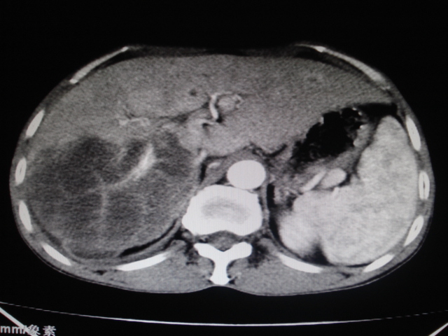
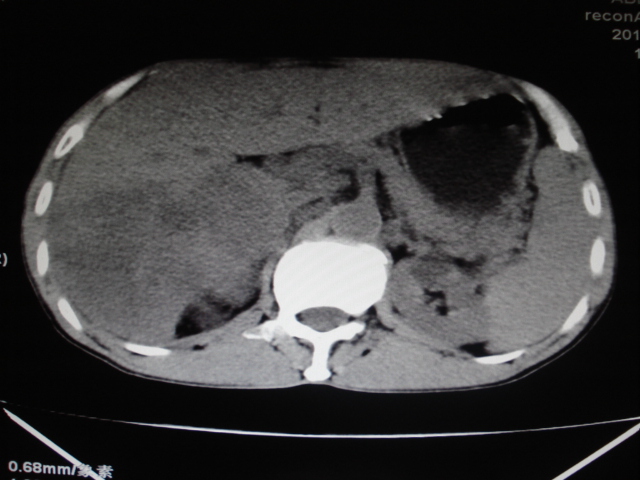
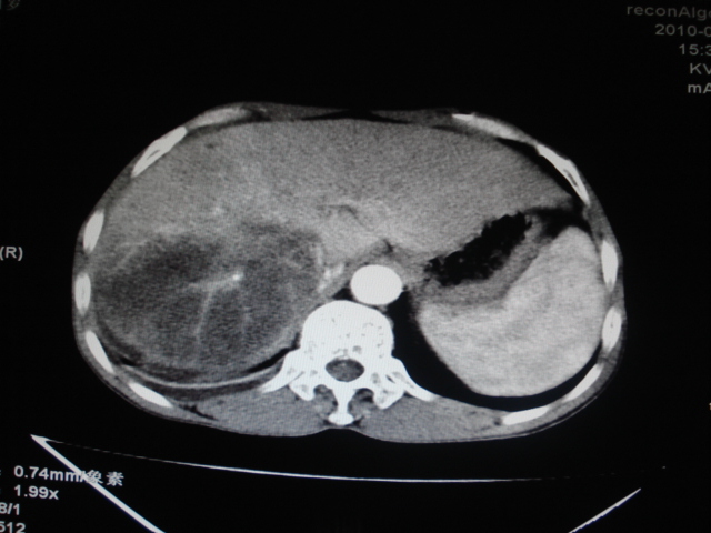
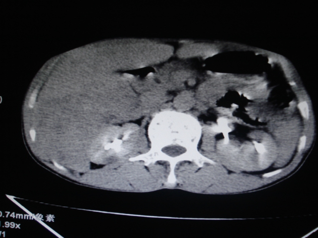
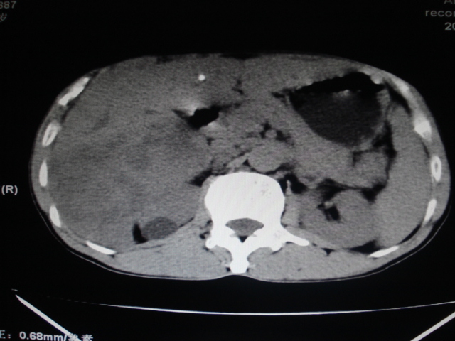
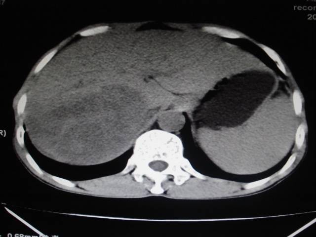
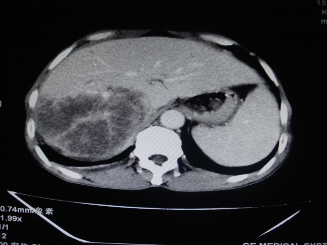
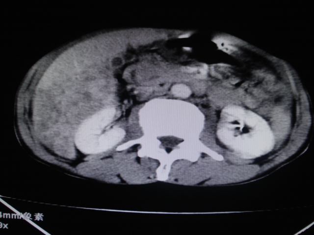
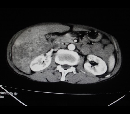
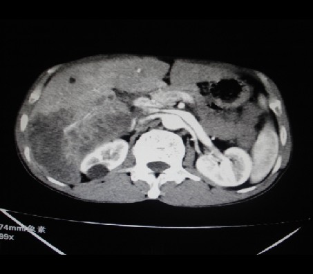
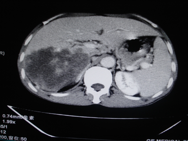
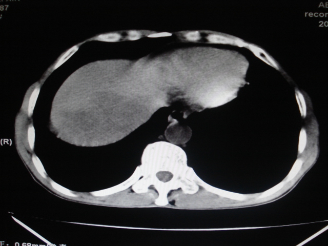
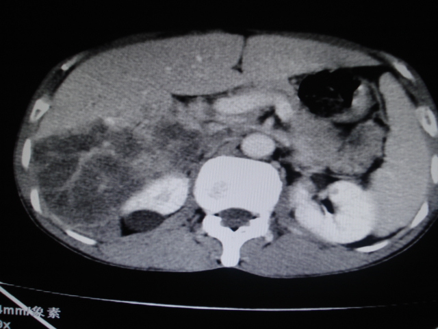
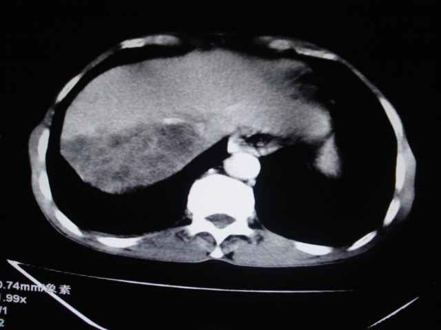
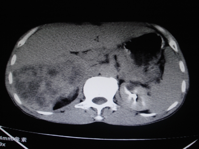
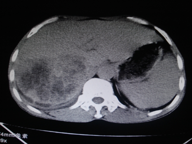
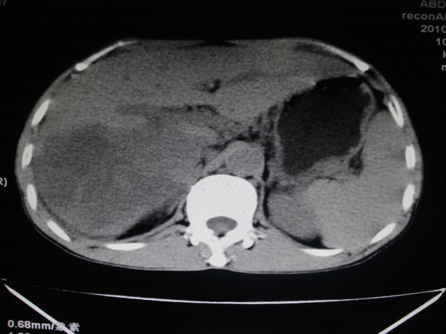
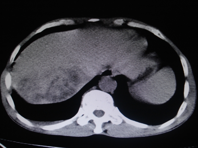
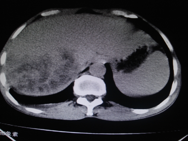
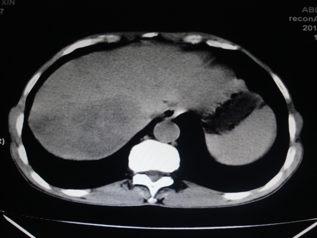
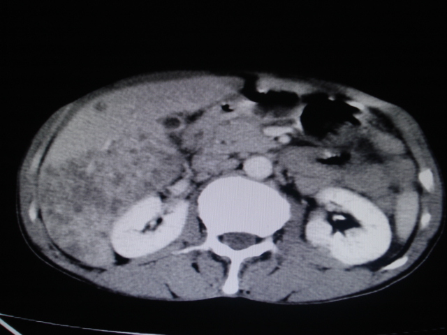
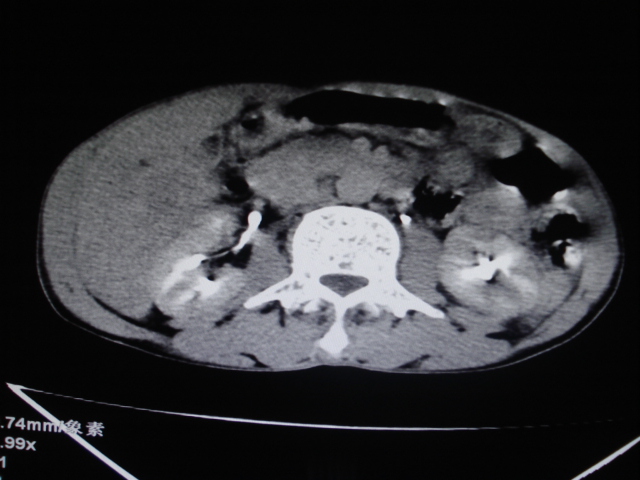
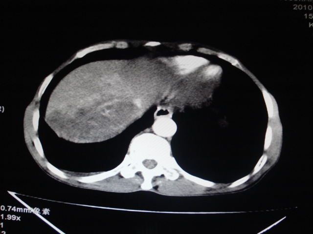
男性,62岁。肝右叶占位,平扫及增强如下,延迟期为15分钟扫描。








































[本贴已被 翁志蓬 于 2010-1-9 11:38:18 修改过]

作者: zxl51642    时间: 2010-1-8 23:46
给病史及实验室检查!多考虑胆管细胞癌;右肾囊肿。
作者: 卜一    时间: 2010-1-8 23:56
支持:胆管细胞癌!
作者: dtw211    时间: 2010-1-8 23:58
局限性脂肪浸润。
作者: 同    时间: 2010-1-9 00:19
考虑胆管细胞癌可能性大。
作者: 随光逐影    时间: 2010-1-9 00:36
1)不均匀性脂肪肝。2)肝硬化。3)肝右叶肝癌不排除。4)右肾囊肿。
作者: 小青    时间: 2010-1-9 01:10
支持局限性脂肪肝的诊断
作者: zjzjr    时间: 2010-1-9 02:17
支持局限性脂肪肝,右肾囊肿.
作者: 影象小辈    时间: 2010-1-9 02:42
延迟期怎么进去了   血管瘤?
作者: 沉默是金    时间: 2010-1-9 02:43
标题: 回复:肝脏占位,请会诊!
以下是引用随光逐影在2010-1-8 16:36:00的发言:[br]1)不均匀性脂肪肝。2)肝硬化。3)肝右叶肝癌不排除。4)右肾囊肿。

作者: yxwsd    时间: 2010-1-9 03:19
血管肉瘤可能。
作者: lizhiguang    时间: 2010-1-9 03:32
肝右叶肝癌
作者: wansheng    时间: 2010-1-9 04:52
肝右叶肝癌
作者: zsl6918    时间: 2010-1-9 04:55
考虑胆管细胞癌可能性大
作者: 黑白光影    时间: 2010-1-9 05:44
标题: 回复:肝脏占位,请会诊!
以下是引用随光逐影在2010-1-8 16:36:00的发言:[br]1)不均匀性脂肪肝。2)肝硬化。3)肝右叶肝癌不排除。4)右肾囊肿。





欢迎光临 医影在线 (http://bbs.radida.com/bbs/) Powered by Discuz! X3.2