医影在线

标题: CT24043:胸部增强:男性,60岁 [打印本页]

作者: 网事随风    时间: 2010-1-9 01:12
标题: CT24043:胸部增强:男性,60岁
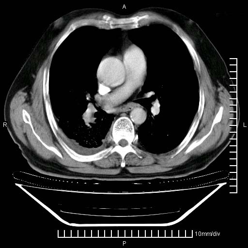
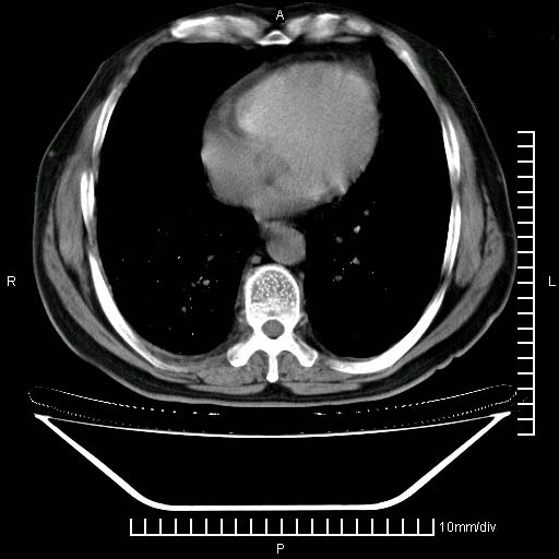
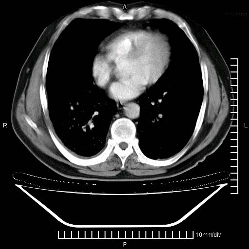
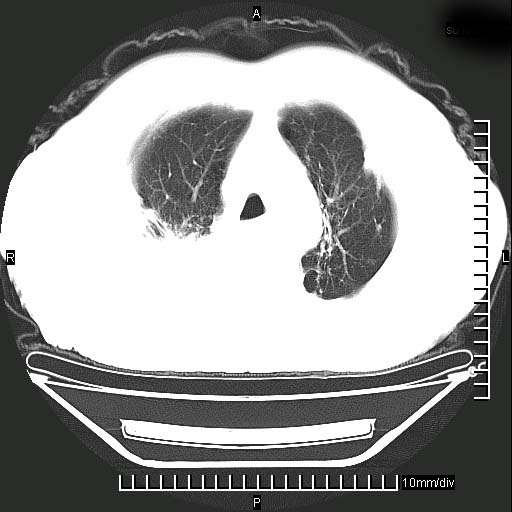
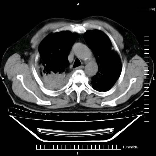
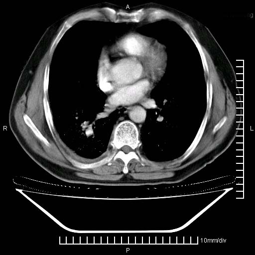
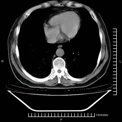
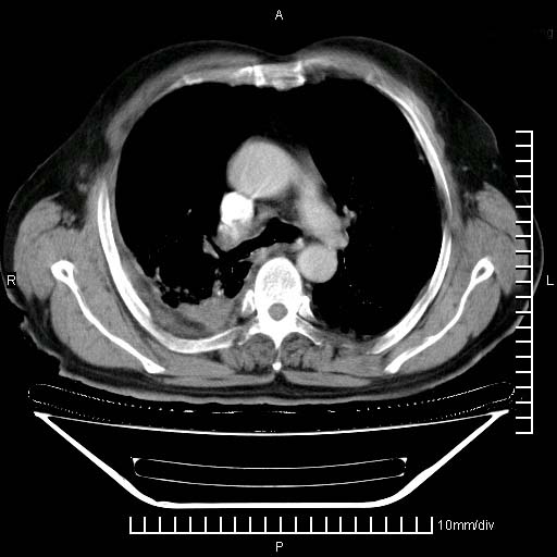
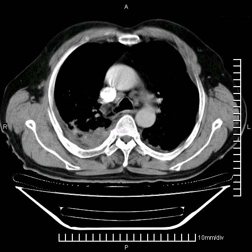
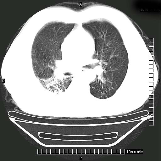
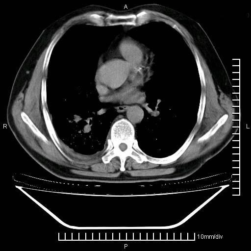
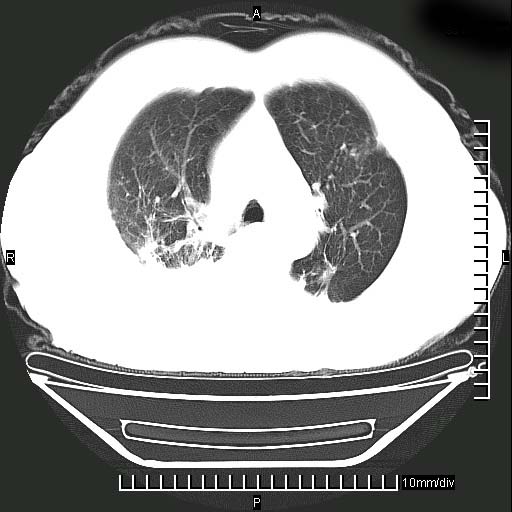
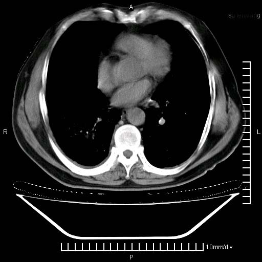
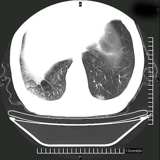
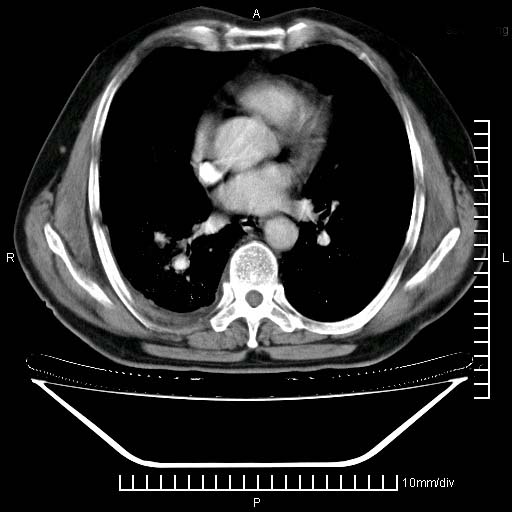
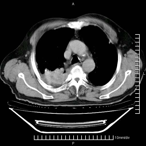
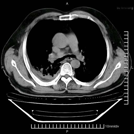
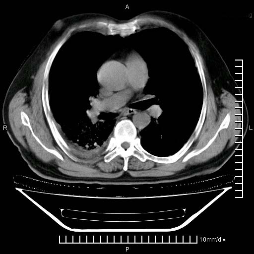
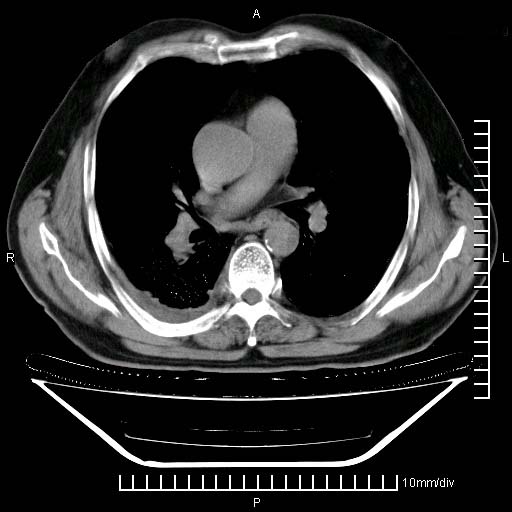
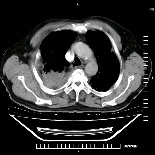
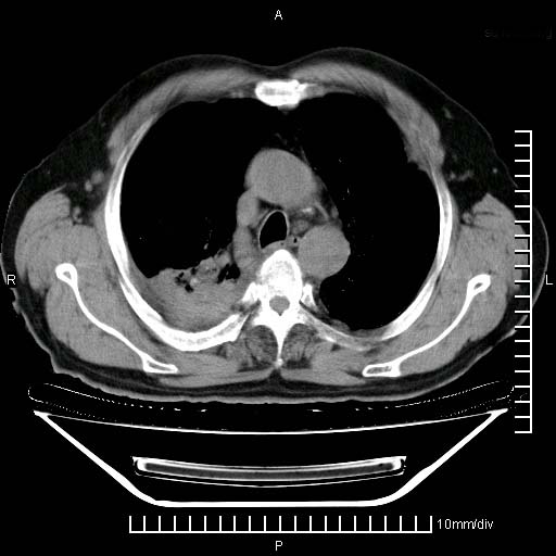
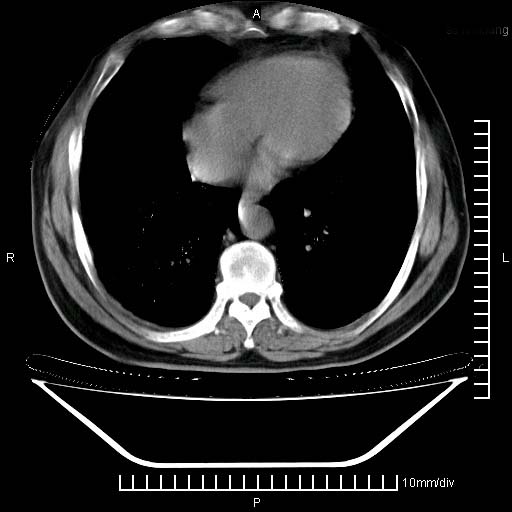
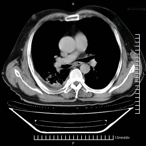
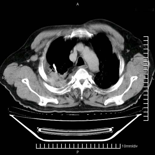
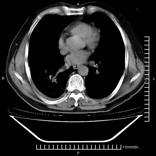
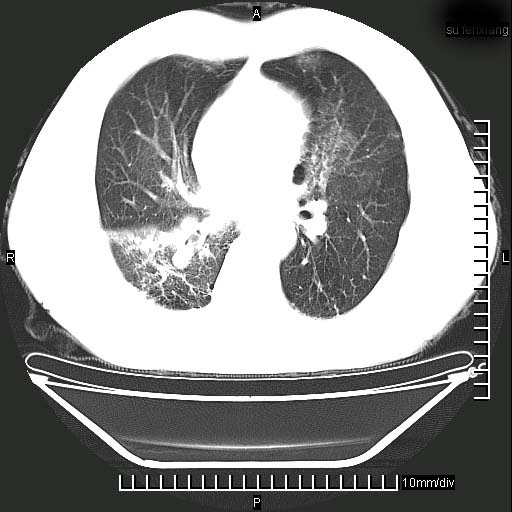
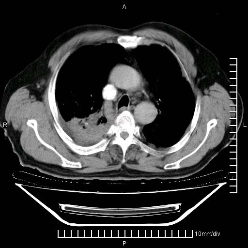
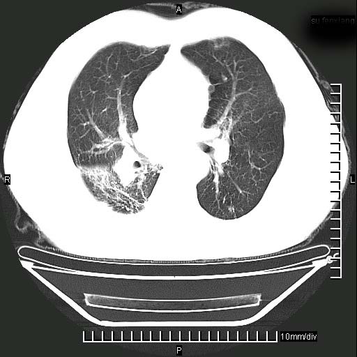
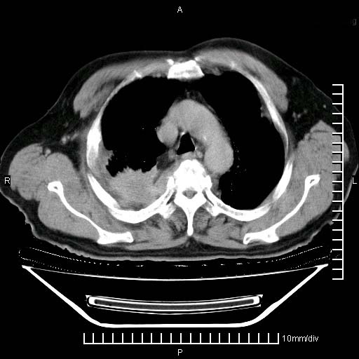
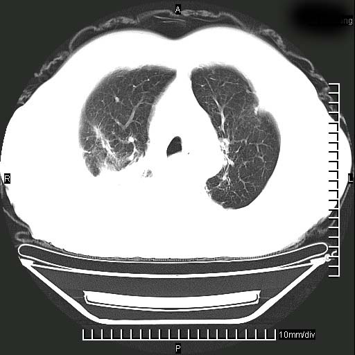
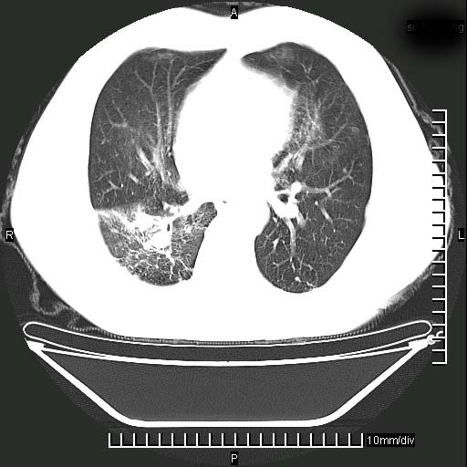
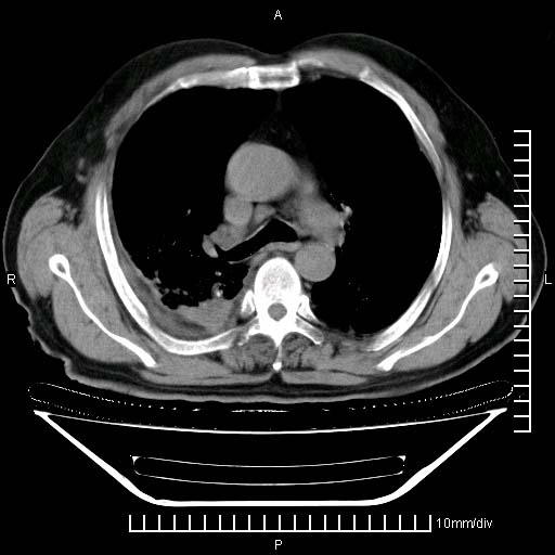
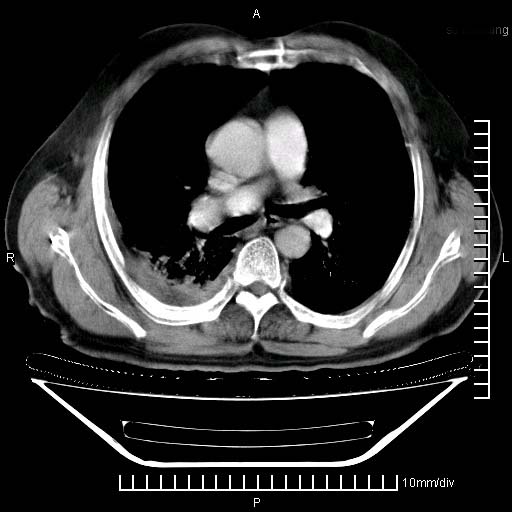
既往肺结核,近10几天,咳嗽,咳痰,右侧胸痛,疼痛较明显,右上肺斑块考虑结核灶胸膜粘连,增强,可惜动脉期没有定好,未见强化,可延迟4分后又见较明显强化,中心见低密度影,如果说结核是边缘强化,可这个灶强化的面积挺大的,让人很挠头。





































动脉期
[img][/img]












延迟4分后
[img][/img]











[本贴已被 翁志蓬 于 2010-1-9 11:40:59 修改过]

作者: hongtao    时间: 2010-1-9 02:48
肺结核、胸膜增厚。
作者: 影象小辈    时间: 2010-1-9 02:56
支持
作者: 影象小辈    时间: 2010-1-9 02:57
支持
作者: lizhiguang    时间: 2010-1-9 03:26
支持
作者: xihan    时间: 2010-1-9 03:43
支持
作者: 心路寻觅    时间: 2010-1-9 03:55
高手解答下延时强化怎么解释!
作者: 进修医生    时间: 2010-1-9 04:07
肺癌能排除吗?
作者: zxl51642    时间: 2010-1-9 04:16
支持!
作者: zsl6918    时间: 2010-1-9 04:22
强化的组织可能是膨胀不全的肺组织或炎性肉芽组织。
作者: 随光逐影    时间: 2010-1-9 16:27
1)两肺继发性肺结核。2)右侧胸膜增厚+少量胸腔积液。
作者: 黑白光影    时间: 2010-1-10 20:34
支持
作者: dr.yang    时间: 2013-4-2 16:43
1)两肺继发性肺结核。2)右侧胸膜增厚+少量胸腔积液。




欢迎光临 医影在线 (http://bbs.radida.com/bbs/) Powered by Discuz! X3.2