医影在线

标题: CT24051:双肺多发斑片状阴影 [打印本页]

作者: frzh    时间: 2010-1-9 04:49
标题: CT24051:双肺多发斑片状阴影
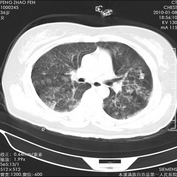
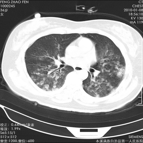
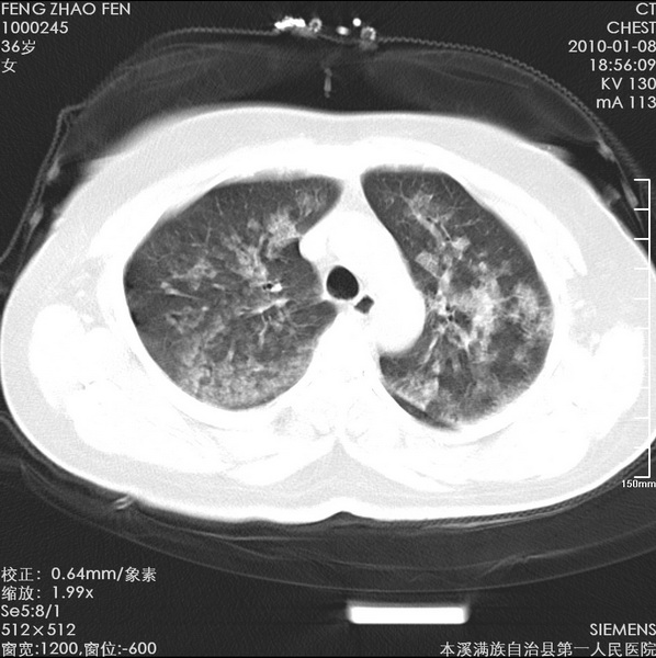
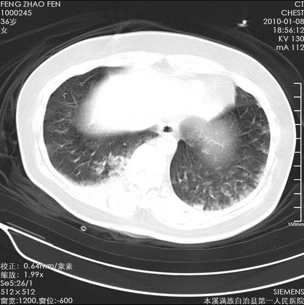
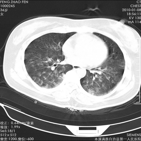
女、36、咳嗽、咯血,余不详。








[本贴已被 翁志蓬 于 2010-1-9 12:05:02 修改过]

作者: zsl6918    时间: 2010-1-9 04:52
建议详查病史,考虑机遇性感染。主要鉴别结核。
作者: shuiyuan    时间: 2010-1-9 04:56
不典型肺结核可能性大,建议查痰
作者: yangyudong333    时间: 2010-1-9 04:57
考虑霉菌感染  建议结合临床及其它检查
作者: xihan    时间: 2010-1-9 04:59
肺结核[ 比较典型的结节病灶】
作者: 学者~『风    时间: 2010-1-9 05:05
支持机遇性感染
作者: 卜一    时间: 2010-1-9 05:45
继发性肺结核!
作者: liangshusheng    时间: 2010-1-9 05:54
过敏性肺炎,机遇性肺炎,肺结核,肺泡癌,建议痰检
作者: 37度    时间: 2010-1-9 06:38
感染包括很多,建议结合实验室检查。
作者: 影像新手    时间: 2010-1-9 07:07
肺结核可能性大
作者: 随光逐影    时间: 2010-1-9 16:48
考虑两肺感染性病变(机遇感染?)。
作者: muzi888    时间: 2010-1-9 16:48
过敏性肺炎,机遇性肺炎,肺结核,肺泡癌,都有可能,建议痰检,复查。
作者: zjzjr    时间: 2010-1-9 17:07
继发型肺结核
作者: 深泽交通    时间: 2010-1-9 17:53
随机性 霉菌性 过敏性 吸入性可能
作者: yuhongjun    时间: 2010-1-9 18:30
建议实验室检查,除外甲流
作者: 帅河马    时间: 2010-1-9 21:03
机遇性肺炎,肺结核,肺泡癌,建议痰检
作者: 天劫    时间: 2010-1-10 00:14
考虑肺结核可能性大
作者: yangyang2000    时间: 2010-1-10 03:30
继发型肺结核
作者: zxl51642    时间: 2010-1-10 04:50
标题: 回复:ct24051:双肺多发斑片状阴影
以下是引用liangshusheng在2010-1-8 21:54:00的发言:[br]过敏性肺炎,机遇性肺炎,肺结核,肺泡癌,建议痰检

作者: 黑白光影    时间: 2010-1-10 20:52
标题: 回复:ct24051:双肺多发斑片状阴影
以下是引用zsl6918在2010-1-8 20:52:00的发言:[br]建议详查病史,考虑机遇性感染。主要鉴别结核。

作者: dr.yang    时间: 2013-4-2 17:00
感染性病变,机遇性感染?结核?建议结合临床及实验室检查。




欢迎光临 医影在线 (http://bbs.radida.com/bbs/) Powered by Discuz! X3.2