




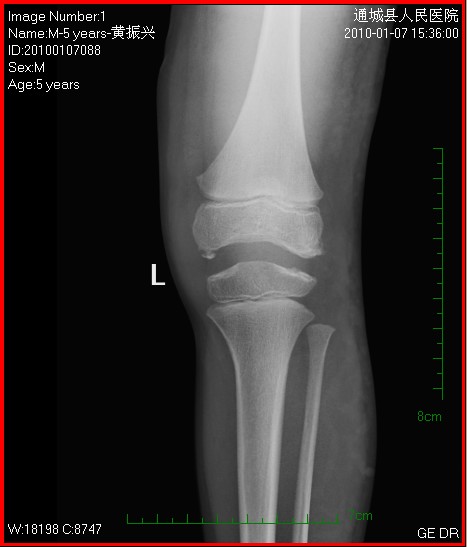
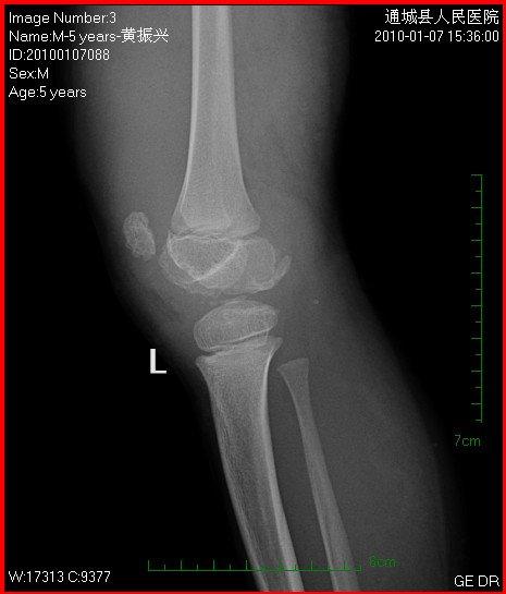
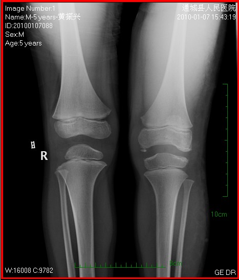
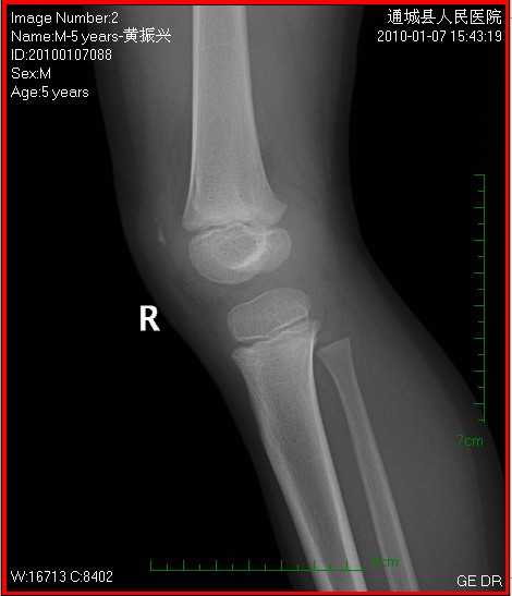
以下是引用学者~『风』在2010-1-8 21:17:00的发言:[br]先天性髌骨发育不全,骨质轻度增生
以下是引用随光逐影在2010-1-9 8:21:00的发言:[br]考虑左侧大、小腿外侧软组织内蔓状血管瘤伴左膝关节侵蚀,左侧髌骨及左侧股骨下端、胫骨上端骨骺异常发育。
以下是引用zxl51642在2010-1-9 17:29:00的发言:[br]首先要排除外敷药物等伪影,软组织血管瘤彩超没看见?[br]关节面凸凹不平,软骨及软骨下骨坏死,股骨内髁下方见碎骨片影,可能:1、首先考虑幼年型类风湿;2、股骨髁缺血性坏死,原因可能类似blount';s病机理;3、男性患儿查个尿排除尿黑酸症。
| 欢迎光临 医影在线 (http://bbs.radida.com/bbs/) | Powered by Discuz! X3.2 |