


















































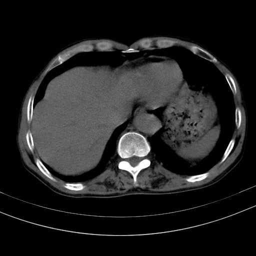
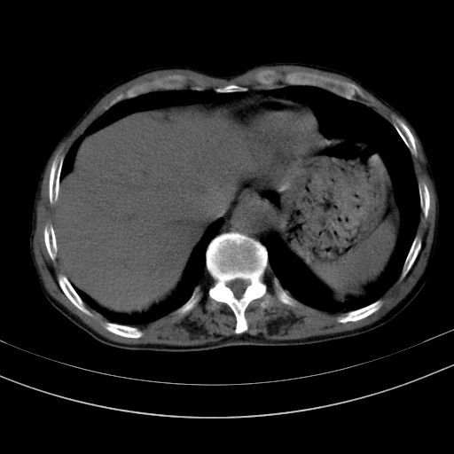
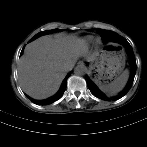
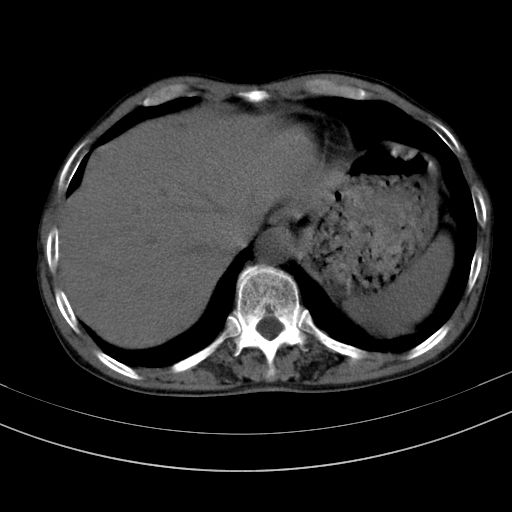
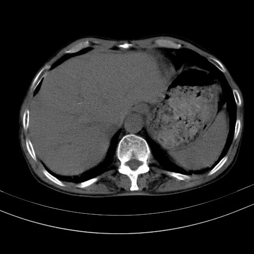
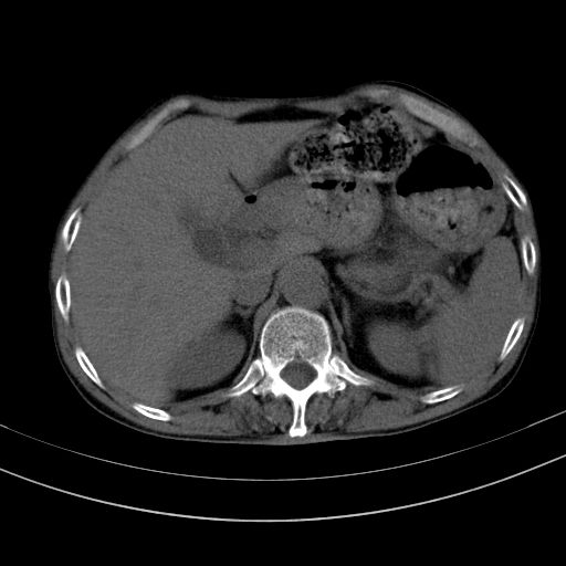
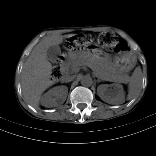
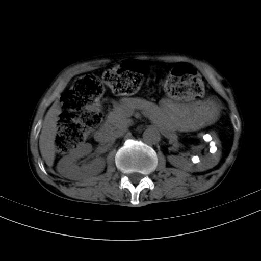
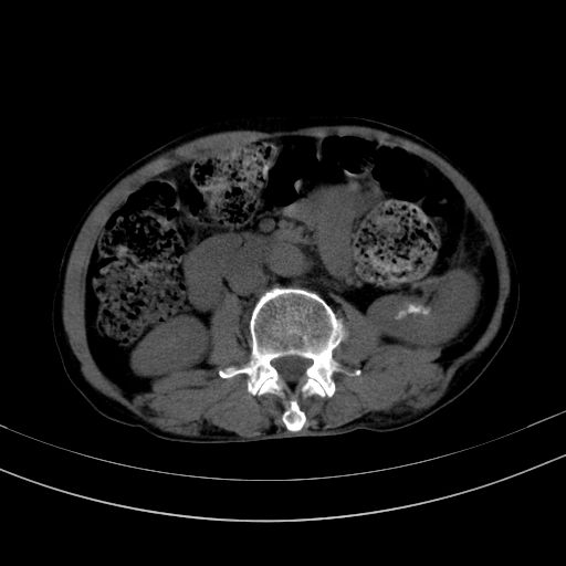
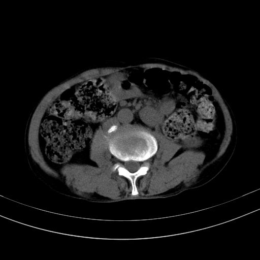
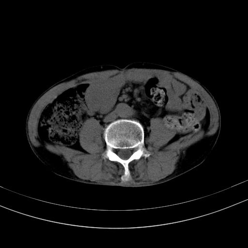
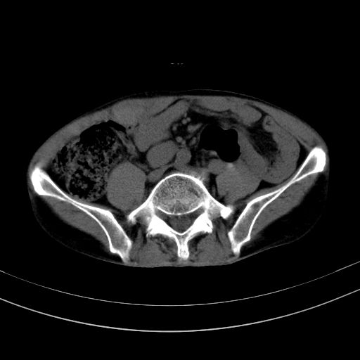
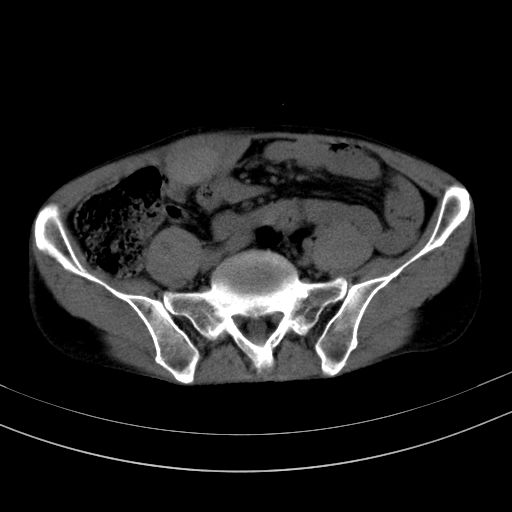
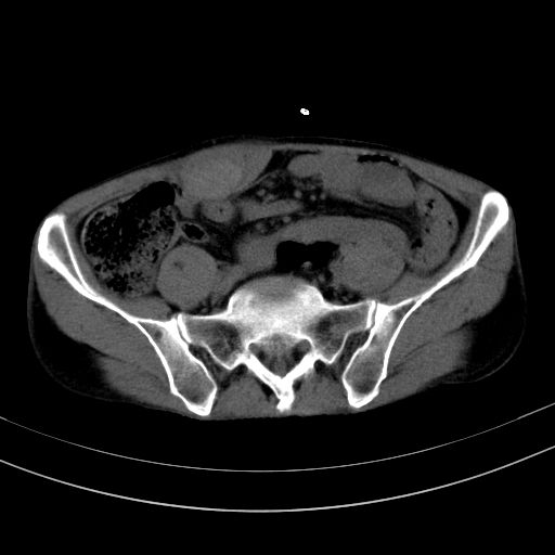
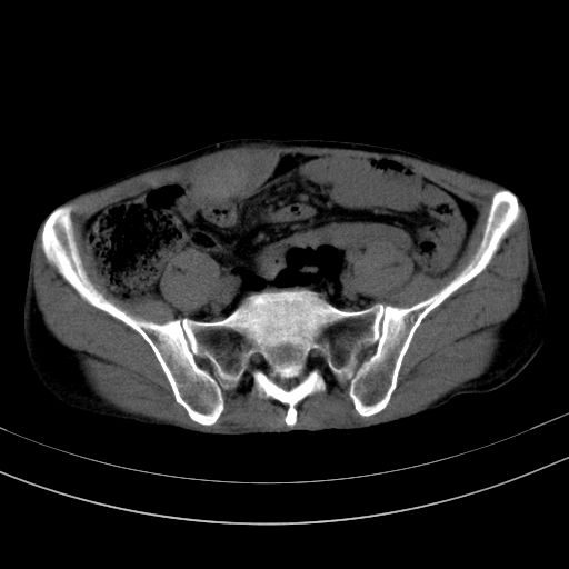
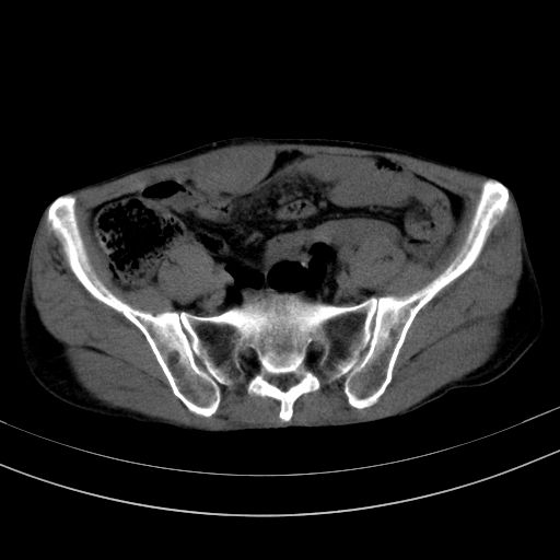
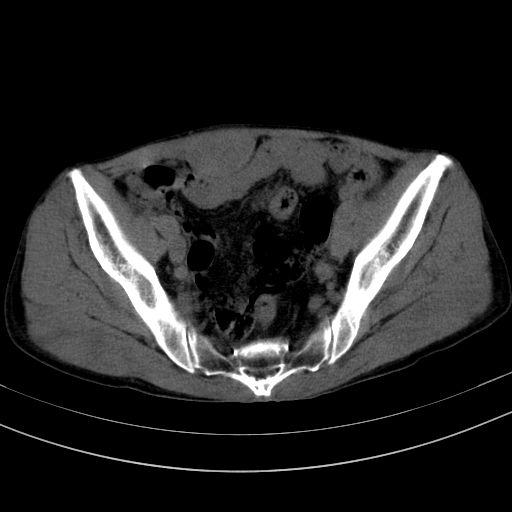
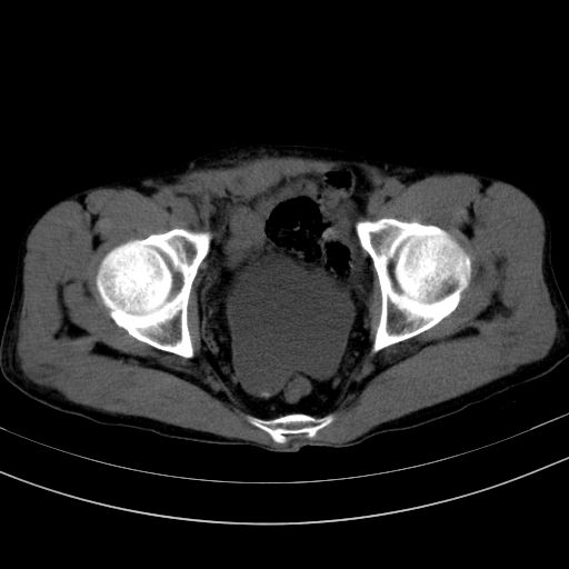
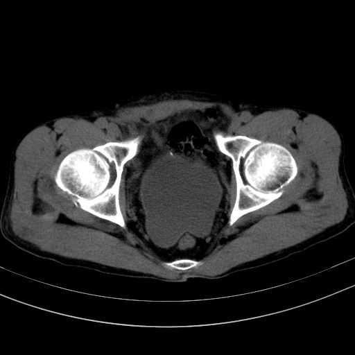
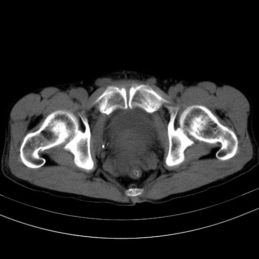
以下是引用37度在2010-1-9 14:37:00的发言:[br]1.双肾囊肿,左肾积水结石,.胆总管轻度扩张;[br]2.病灶在腹膜外,考虑纤维瘤。
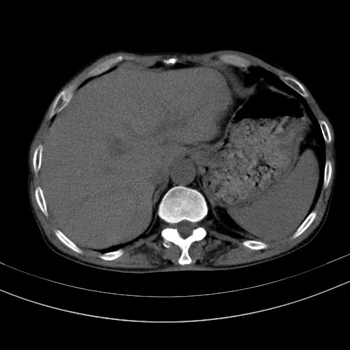
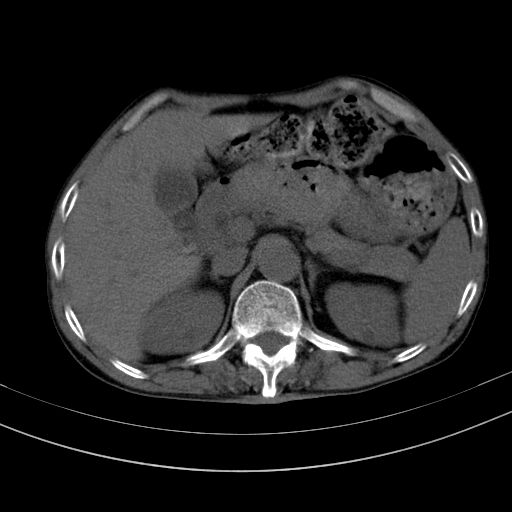
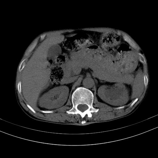
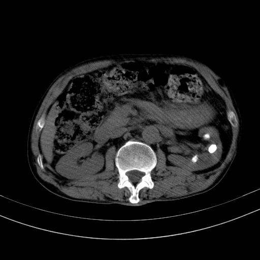
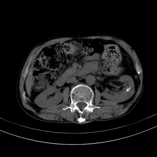
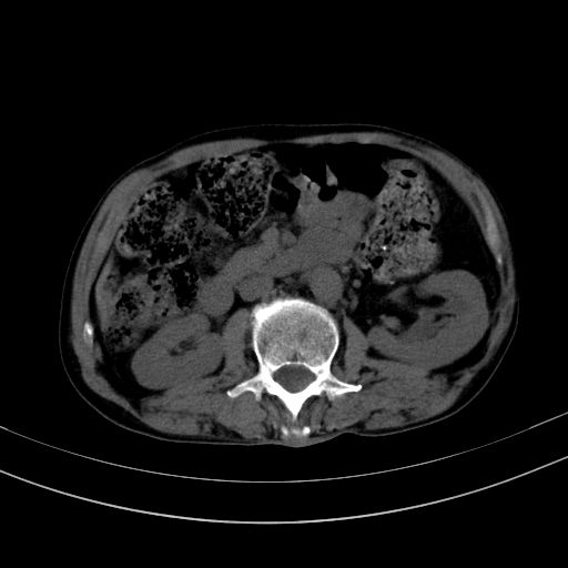
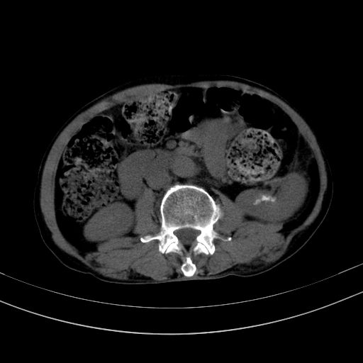
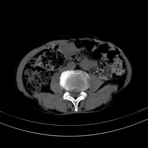
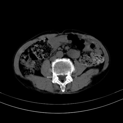
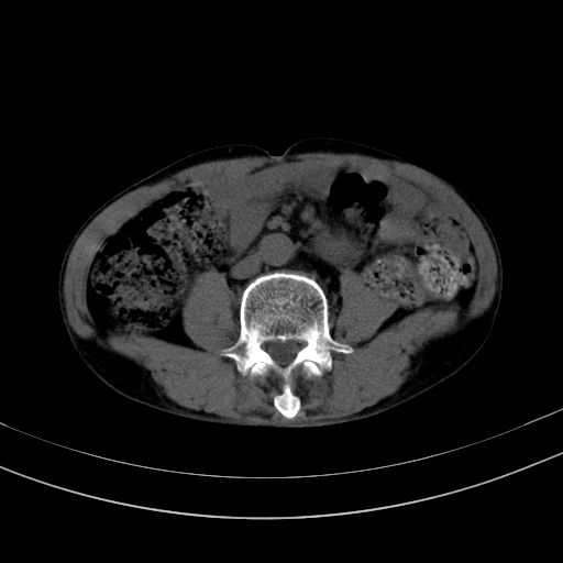
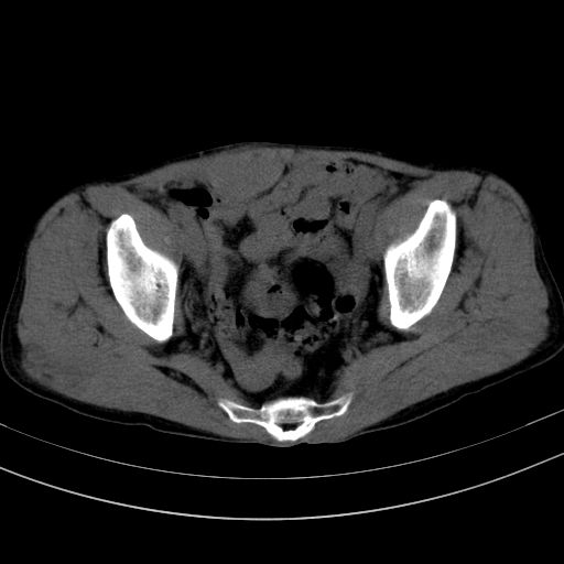
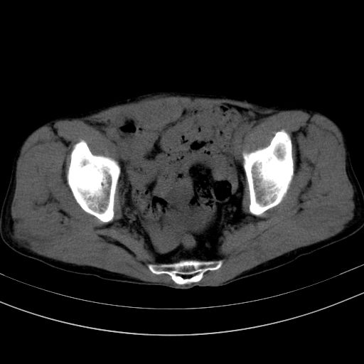
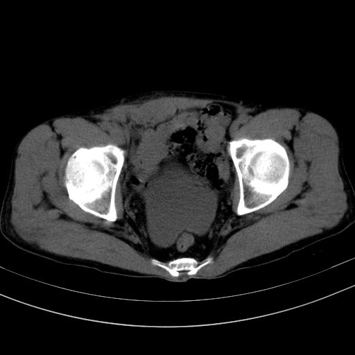
以下是引用dyqct在2010-1-9 17:56:00的发言:[br]考虑:1.双肾囊肿,左肾积水结石、旋转不良。[br] 2.右侧腹直肌血肿或纤维瘤。[br]肠道准备不好。做个增强。
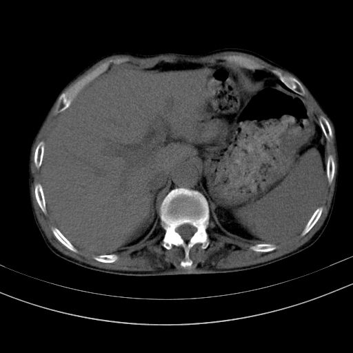
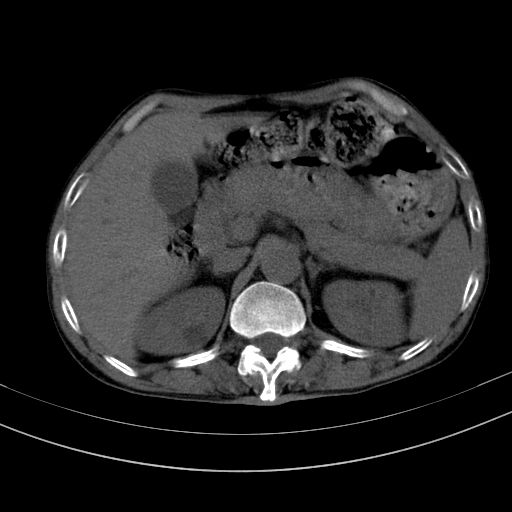
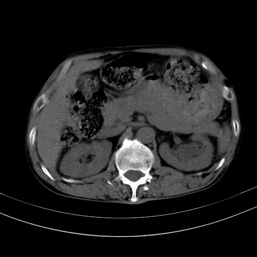
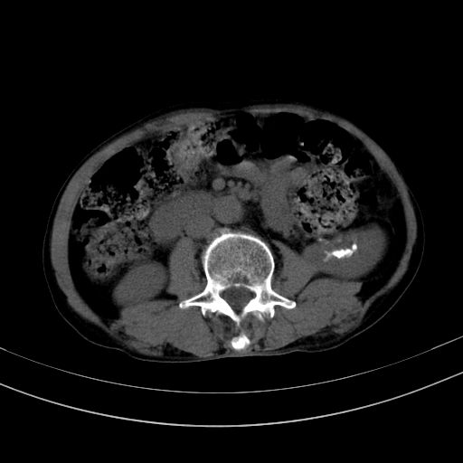
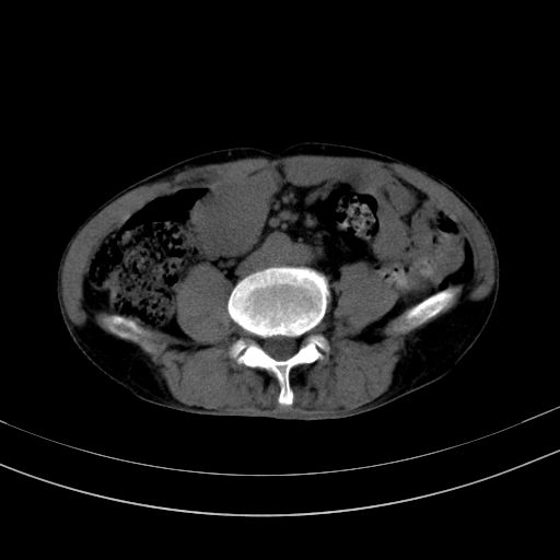
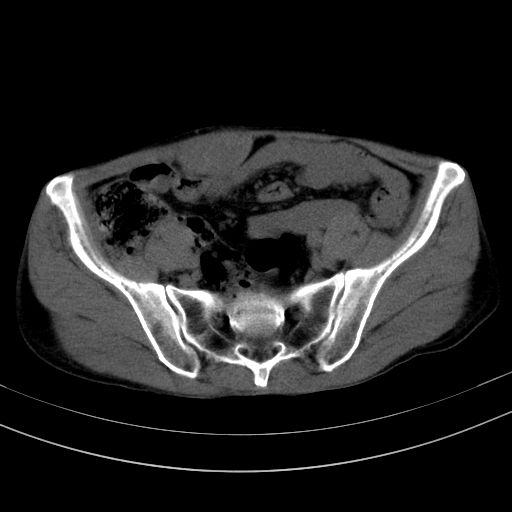
以下是引用dyqct在2010-1-9 17:56:00的发言:[br]考虑:1.双肾囊肿,左肾积水结石、旋转不良。[br] 2.右侧腹直肌血肿或纤维瘤。[br]肠道准备不好。做个增强。
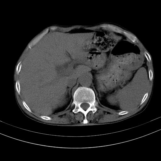
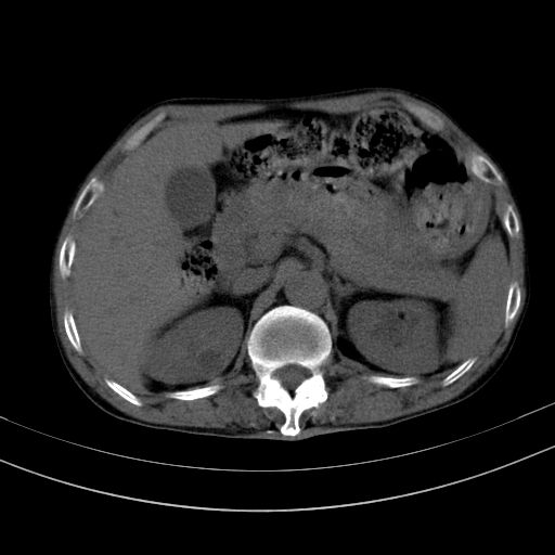
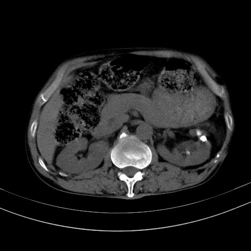
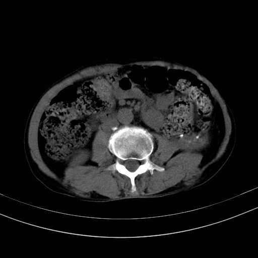
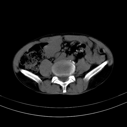
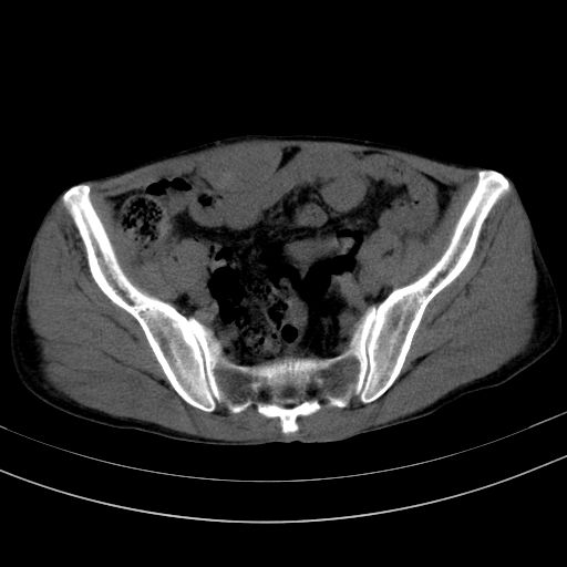
以下是引用dyqct在2010-1-9 17:56:00的发言:[br]考虑:1.双肾囊肿,左肾积水结石、旋转不良。[br] 2.右侧腹直肌血肿或纤维瘤。[br]肠道准备不好。做个增强。
| 欢迎光临 医影在线 (http://bbs.radida.com/bbs/) | Powered by Discuz! X3.2 |