医影在线

标题: CT24061:女86岁 头痛、呕吐1天 [打印本页]

作者: wmsyy    时间: 2010-1-9 22:07
标题: CT24061:女86岁 头痛、呕吐1天
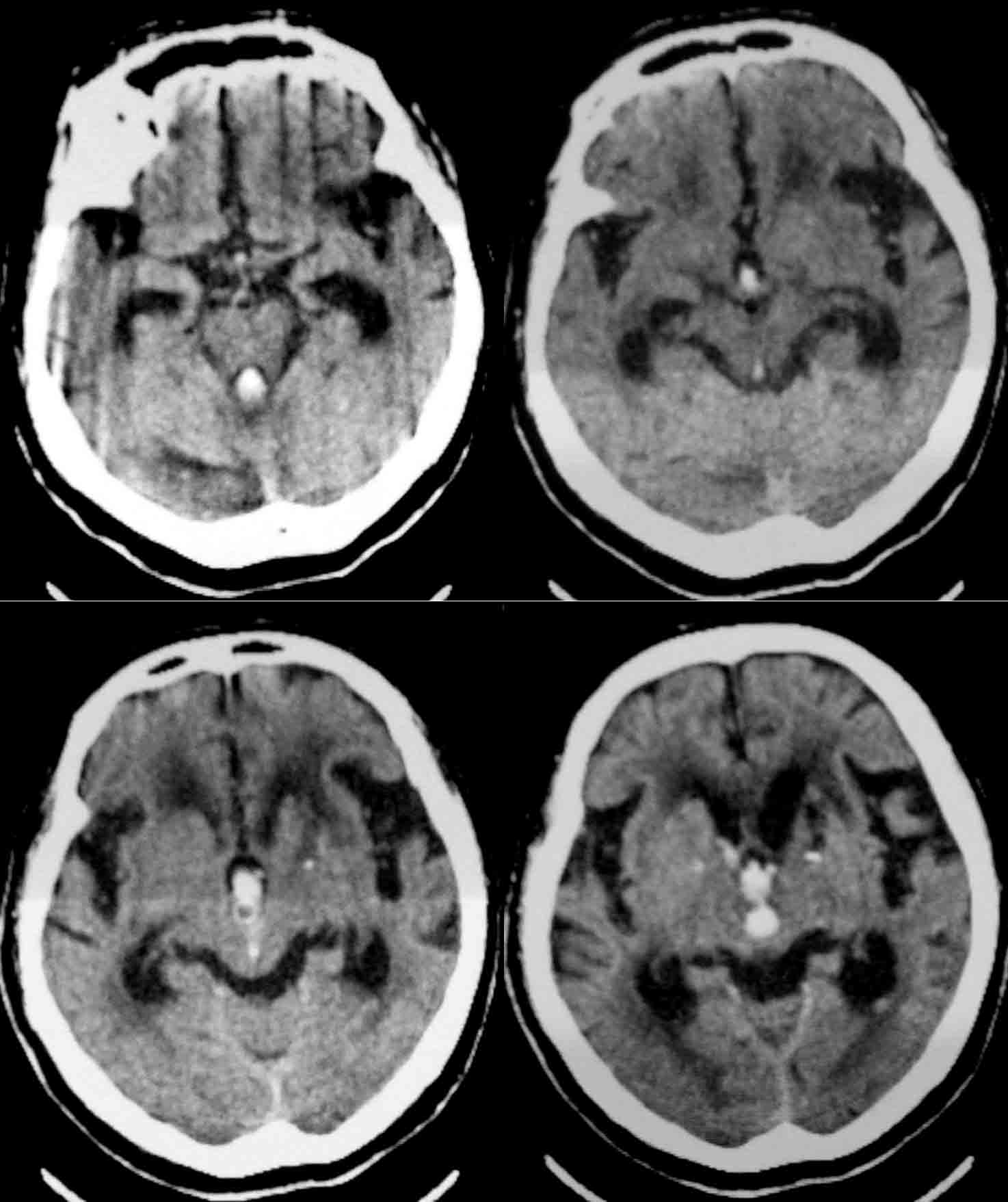
女86岁 头痛、呕吐1天 请老师们看看,出血的位置是第三、四脑室出血吗?





[本贴已被 jiajie 于 2010-1-9 14:52:40 修改过]

作者: yuhongjun    时间: 2010-1-9 22:12
应该是左侧小脑出血,破入脑室形成铸型。
作者: 37度    时间: 2010-1-9 22:25
1.左小脑齿状核出血破入脑室;
2.皮脑。
作者: 深泽交通    时间: 2010-1-9 22:42
标题: 回复:女86岁 头痛、呕吐1天
以下是引用yuhongjun在2010-1-9 14:12:00的发言:[br]应该是左侧小脑出血,破入脑室形成铸型。

作者: 求知若渴    时间: 2010-1-9 23:42
左小脑齿状核出血破入脑室
作者: xihan    时间: 2010-1-9 23:45
左侧小脑出血,破入脑室
作者: 天劫    时间: 2010-1-10 00:02
同意楼上,确实是小脑出血
作者: 卜一    时间: 2010-1-10 00:14
左小脑齿状核出血破入脑室!
作者: zjzjr    时间: 2010-1-10 01:57
应该是左侧小脑出血,破入脑室形成铸型。
作者: dyqct    时间: 2010-1-10 02:01
考虑:1.左小脑齿状核出血破入脑室;
      2.脑白质稀疏症伴多发脑软化灶。
作者: yangyudong333    时间: 2010-1-10 02:39
左小脑齿状核出血破入脑室!
作者: zsl6918    时间: 2010-1-10 03:16
考虑脑室出血
作者: 影象小辈    时间: 2010-1-10 03:19
左小脑齿状核出血破入脑室
作者: yangyang2000    时间: 2010-1-10 03:19
左小脑齿状核出血破入脑室
作者: 破釜沉舟    时间: 2010-1-10 03:37
左小脑出血并破入脑室。
作者: zxl51642    时间: 2010-1-10 04:32
标题: 回复:ct24061:女86岁 头痛、呕吐1天
以下是引用dyqct在2010-1-9 18:01:00的发言:[br]考虑:1.左小脑齿状核出血破入脑室;[br]      2.脑白质稀疏症伴多发脑软化灶。

作者: 同    时间: 2010-1-10 04:59
左侧小脑出血破入脑室。
作者: 影像孺子牛    时间: 2010-1-10 06:15
考虑:1.左小脑齿状核出血破入脑室;
      2.脑白质稀疏症伴多发脑软化灶。  
  
支持!
作者: 513ytb    时间: 2010-1-10 06:24
应该是左侧小脑出血,破入脑室形成铸型.皮层动脉硬化性脑病。
作者: 582914319    时间: 2010-1-10 06:26
考虑:1.左小脑齿状核出血破入脑室;
      2.脑白质稀疏症伴多发脑软化灶
作者: 黑白光影    时间: 2010-1-10 21:16
考虑:1.左小脑齿状核出血破入脑室;2.脑白质稀疏症伴多发脑软化灶。
作者: LIAOQIANG    时间: 2010-1-10 23:54
左侧小脑出血破入脑室
作者: zbp537    时间: 2010-1-11 00:01
1、脑室内出血。
2、皮层下动脉硬化性脑病。
作者: 随光逐影    时间: 2010-1-11 21:48
1)左侧小脑出血破入脑室系统。2)多发性腔隙性脑梗塞。3)脑白质病。4)脑萎缩。




欢迎光临 医影在线 (http://bbs.radida.com/bbs/) Powered by Discuz! X3.2