医影在线

标题: PED3073: 6个月,男儿。 [打印本页]

作者: 黄奕    时间: 2010-1-17 01:16
标题: PED3073: 6个月,男儿。
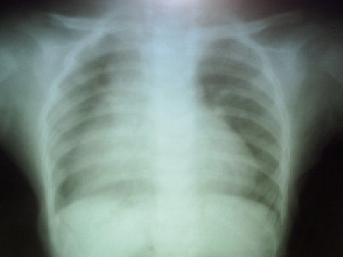
气紧,咳,无发热等异常,其他情况较好。



[本贴已被 jiajie 于 2010-1-17 9:27:58 修改过]

作者: 拾荒者    时间: 2010-1-17 04:42
纵膈影增宽,右侧较平直,建议进一步检查除外纵膈或心血管病变。
作者: 天堂鸟    时间: 2010-1-17 05:10
卧位胸片纵膈影可增宽的,它包括胸腺及心脏影。本病例两肺门影无增大、增浓,可能是正常的。建议结合临床,必要时进一步检查。
作者: yuhongjun    时间: 2010-1-17 14:32
纵膈影增宽,右侧较平直,建议进一步检查除外纵膈或心血管病变。  

支持。
作者: 随光逐影    时间: 2010-1-17 16:55
支持2楼意见。
作者: shibing    时间: 2010-1-17 18:42
建议结合临床,必要时进一步检查。
作者: zxl51642    时间: 2010-1-18 02:46
体位因素,左右不对称,暂无明显异常,复查吧。
作者: 道哥    时间: 2010-1-18 03:01
考虑胸腺影,必要时ct检查
作者: sunbin    时间: 2010-1-19 04:58
右侧纵膈影增宽,建议ct检查。
作者: 深泽交通    时间: 2010-1-19 20:55
查个心脏彩超
作者: dyqct    时间: 2010-1-21 06:49
考虑胸腺影,必要时ct检查。支持!
作者: zjzjr    时间: 2010-1-23 00:13
体位因素,左右不对称,暂无明显异常,复查吧。
作者: 胡宇    时间: 2010-1-23 07:20
卧位胸片纵膈影可增宽的,它包括胸腺及心脏影。本病例两肺门影无增大、增浓,可能是正常的。建议结合临床,必要时进一步检查。
作者: xihan    时间: 2010-1-24 01:28
体位因素,左右不对称,暂无明显异常
作者: hhhhhh6    时间: 2010-1-24 05:44
标题: 回复:ped3073: 6个月,男儿。
以下是引用dyqct在2010-1-20 22:49:00的发言:[br]考虑胸腺影,必要时ct检查。支持!






欢迎光临 医影在线 (http://bbs.radida.com/bbs/) Powered by Discuz! X3.2