


































































































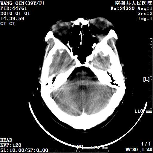
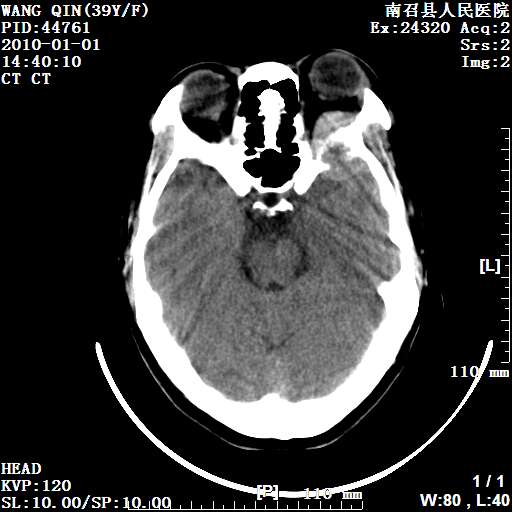
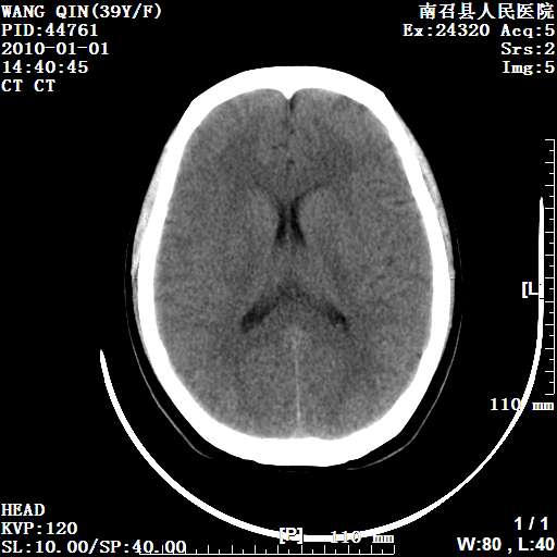
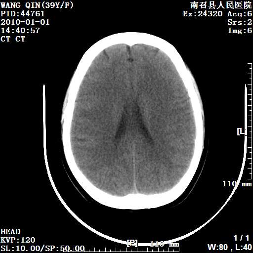
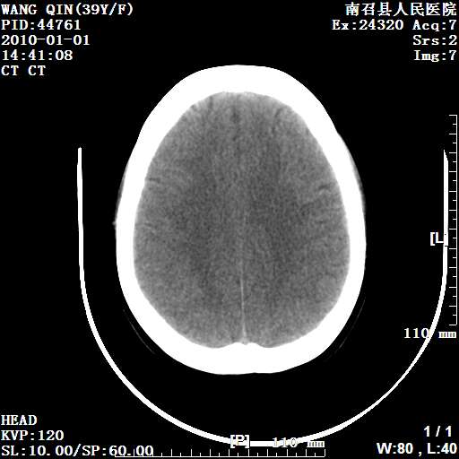
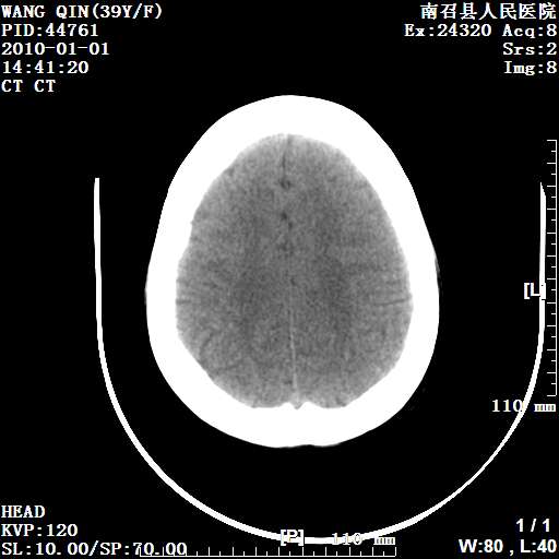
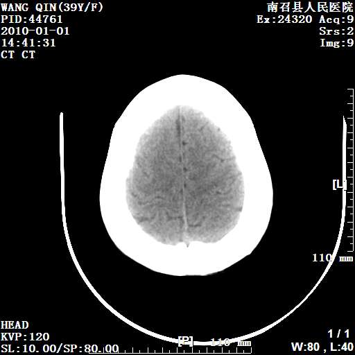
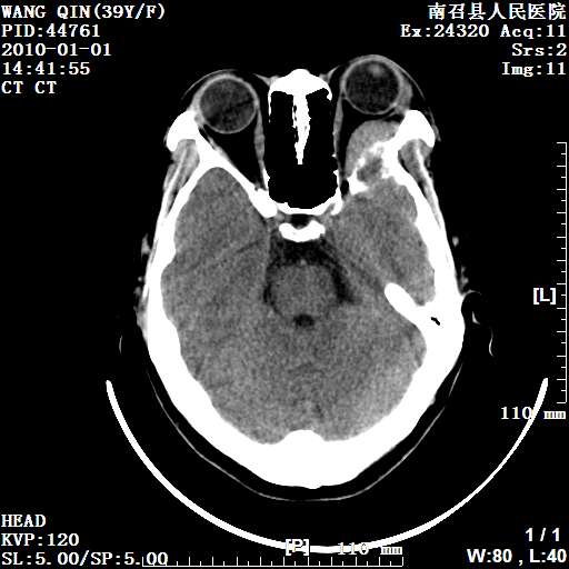
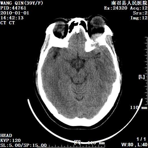
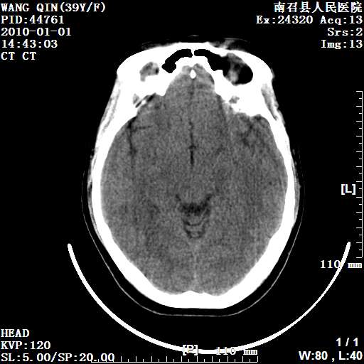
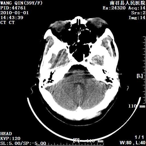
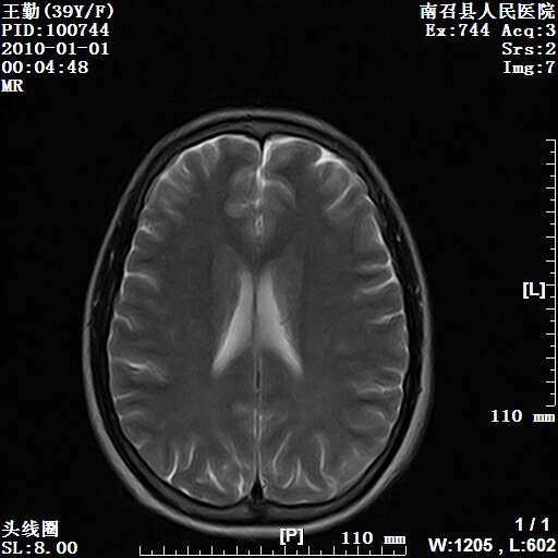
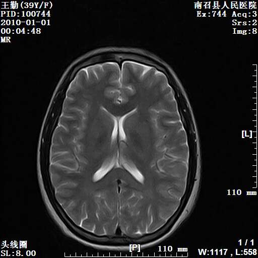
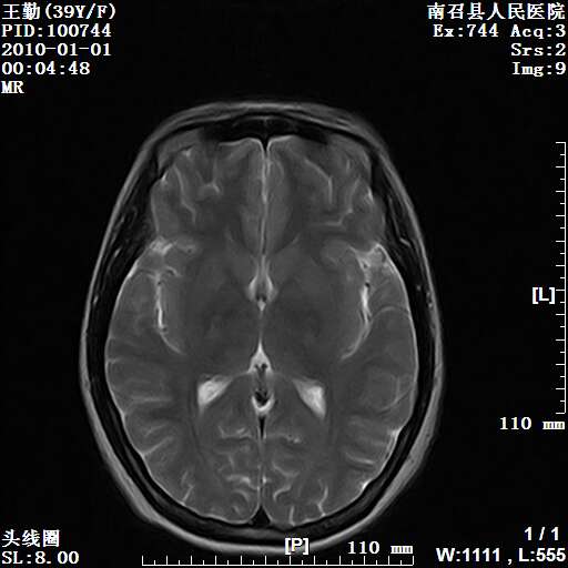
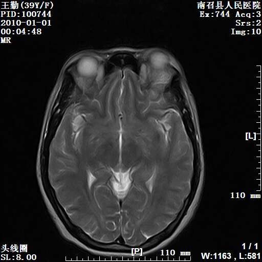
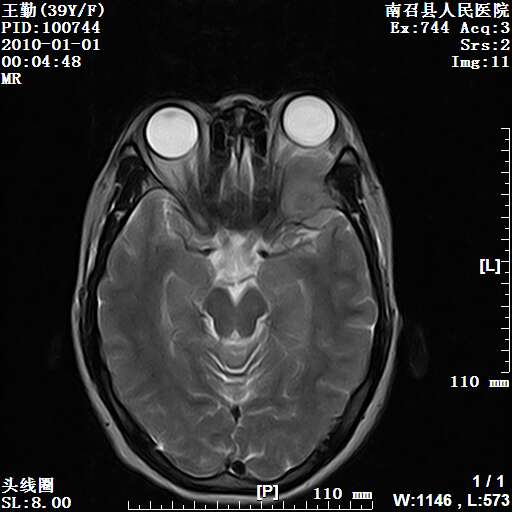
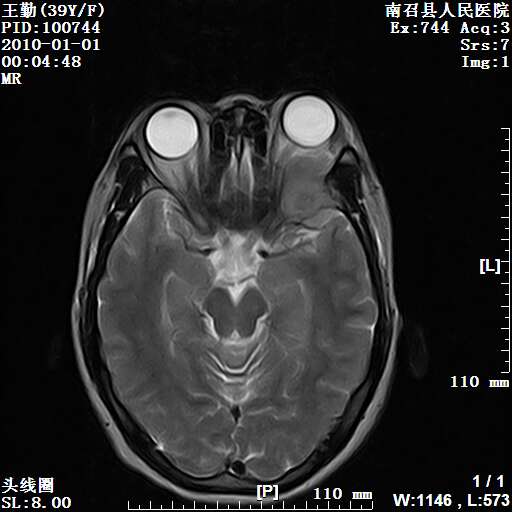
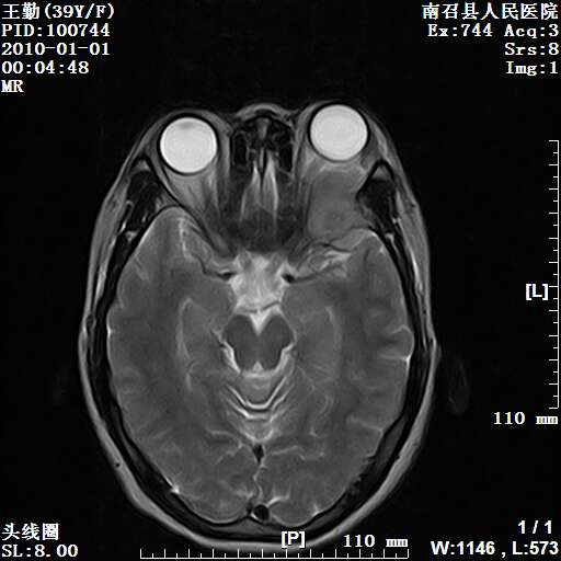
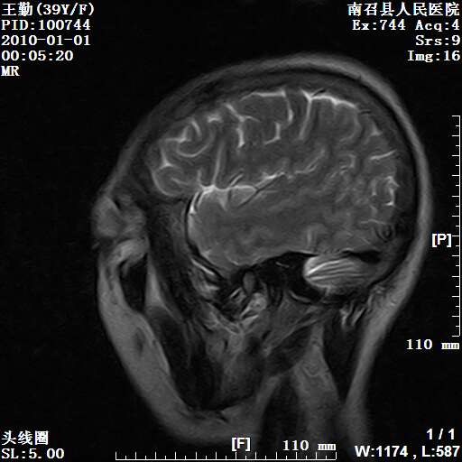
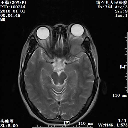
以下是引用随光逐影在2010-1-22 9:03:00的发言:[br]考虑左侧中颅窝(蝶骨翼区)脑膜瘤侵犯蝶骨翼并突入左侧眼眶。
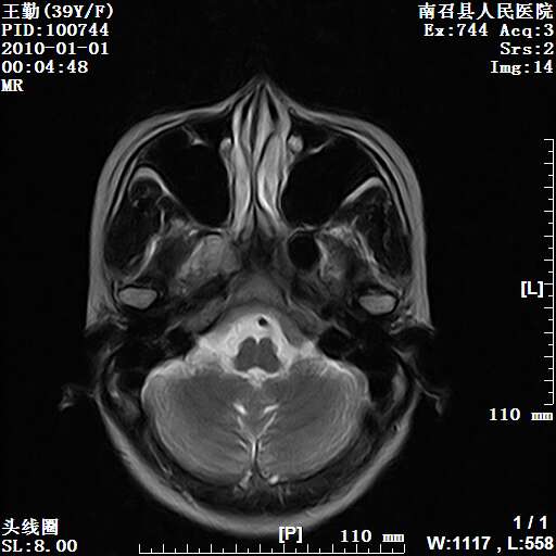
以下是引用水过无痕在2010-1-22 14:55:00的发言:[br]一、定位:颅外占位;二、定性:恶性可能性大;三、组织来源:来源于左侧眼外直肌或其他部位;考虑为:横纹肌肉瘤>转移瘤>脑膜瘤.
以下是引用随光逐影在2010-1-22 9:03:00的发言:[br]考虑左侧中颅窝(蝶骨翼区)脑膜瘤侵犯蝶骨翼并突入左侧眼眶。
| 欢迎光临 医影在线 (http://bbs.radida.com/bbs/) | Powered by Discuz! X3.2 |