医影在线
标题: CT24297:患者,男,左手抽搐致摔倒,平时无不适。 [打印本页]
作者: ffxxzzzxf 时间: 2010-1-23 18:57
标题: CT24297:患者,男,左手抽搐致摔倒,平时无不适。



[本贴已被 翁志蓬 于 2010-1-23 11:26:37 修改过]

[本贴已被 ffxxzzzxf 于 2010-1-23 11:41:43 修改过]
作者: zxl51642 时间: 2010-1-23 19:53
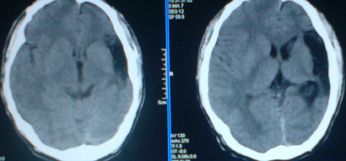
外侧裂池蛛网膜囊肿或神经上皮囊肿,左侧颞顶叶脑萎缩。
作者: xihan 时间: 2010-1-23 20:11
上皮囊肿,左侧颞顶叶脑萎.
作者: 随光逐影 时间: 2010-1-23 20:19
1)左侧颞顶叶脑萎缩。2)左侧外侧裂池蛛网膜囊肿?
作者: 深泽交通 时间: 2010-1-23 22:44
考虑先天性左脑发育不良
作者: zjzjr 时间: 2010-1-23 23:00
脑软化灶 脑萎缩.
作者: 黑白光影 时间: 2010-1-24 00:16
外侧裂池蛛网膜囊肿,左侧颞顶叶脑萎缩。
作者: yulanhua 时间: 2010-1-24 00:19
1.左侧顶叶脑软化并脑脑穿通畸形,左侧大脑半球萎缩。2.左侧外侧裂蛛网膜囊肿。
作者: 李晓阳 时间: 2010-1-24 01:35
标题: 回复:ct24297:患者,男,左手抽搐致摔倒,平时无不适。
以下是引用yulanhua在2010-1-23 16:19:00的发言:[br]1.左侧顶叶脑软化并脑脑穿通畸形,左侧大脑半球萎缩。2.左侧外侧裂蛛网膜囊肿。
作者: 学海无崖59 时间: 2010-1-24 02:29
神经上皮囊肿,左侧颞顶叶脑萎缩
作者: dsl555 时间: 2010-1-24 03:05
标题: 回复:ct24297:患者,男,左手抽搐致摔倒,平时无不适。
以下是引用yulanhua在2010-1-23 16:19:00的发言:[br]1.左侧顶叶脑软化并脑脑穿通畸形,左侧大脑半球萎缩。2.左侧外侧裂蛛网膜囊肿。
作者: guo430726 时间: 2010-1-24 03:06
1、左侧颞顶叶脑软化灶。2、左侧大脑半球萎缩。没有其他病史吗?
作者: 37度 时间: 2010-1-24 03:30
萎缩改变,原因待查,病史?不会是囊肿。
作者: imageSS 时间: 2010-1-30 04:24
左颞顶叶脑萎缩,左外侧裂蛛网膜囊肿。
作者: 月下寂影 时间: 2010-1-30 04:49
先天性发育不良
作者: yaoyuan 时间: 2010-1-30 06:00
颜面血管瘤? 胼胝体发育不全。
| 欢迎光临 医影在线 (http://bbs.radida.com/bbs/) |
Powered by Discuz! X3.2 |