医影在线
标题: CT24299:头颅平扫 [打印本页]
作者: xg410 时间: 2010-1-23 19:09
标题: CT24299:头颅平扫
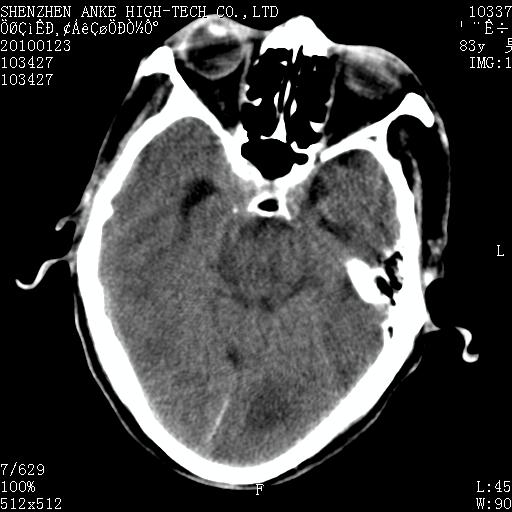
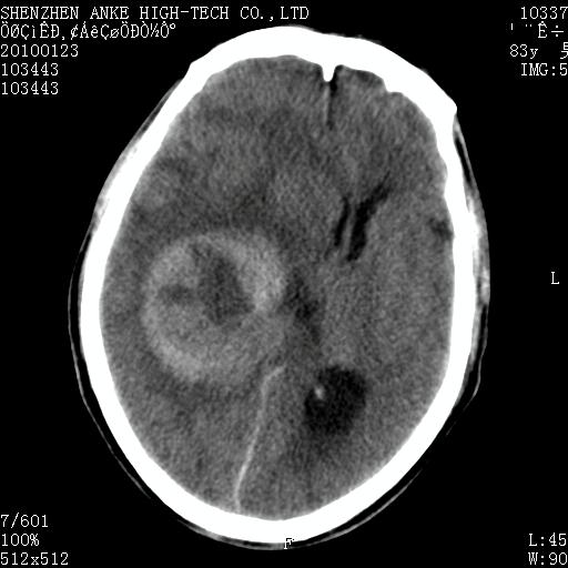
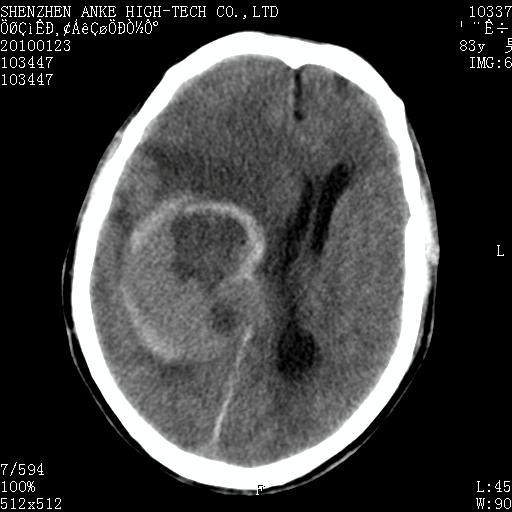
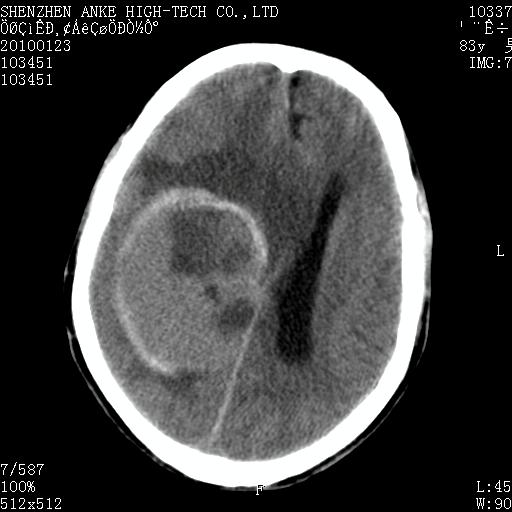
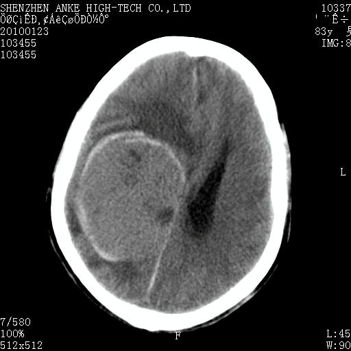
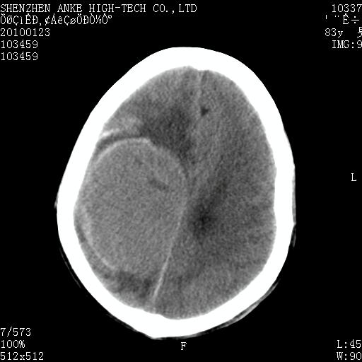
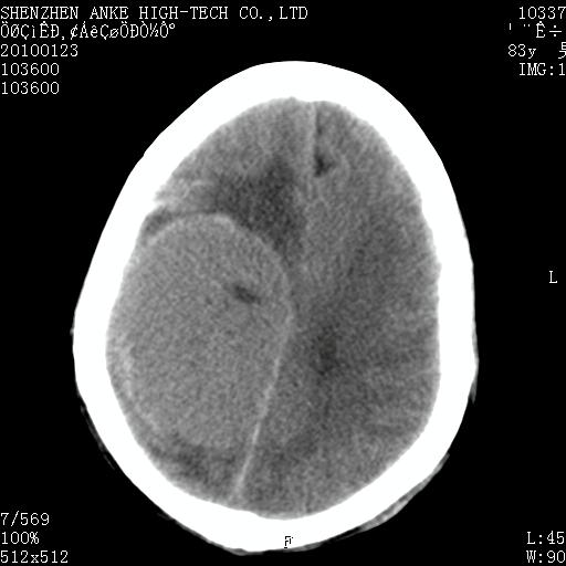
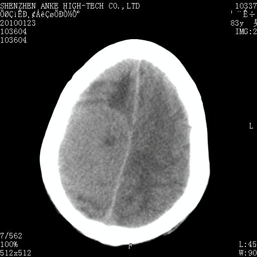
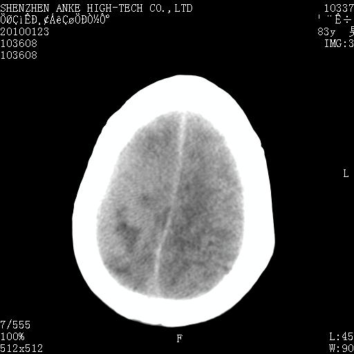
患者:男,83岁,突发意思不清2天。原有脑梗塞病史。












[本贴已被 xg410 于 2010-1-23 11:09:08 修改过]
[本贴已被 翁志蓬 于 2010-1-23 11:33:07 修改过]
作者: 影象小辈 时间: 2010-1-23 19:44
脑膜瘤间变
作者: xihan 时间: 2010-1-23 19:55
脑膜瘤
作者: zxl51642 时间: 2010-1-23 19:59
肿瘤卒中,考虑恶性,依次淋巴瘤、转移瘤、恶性脑膜瘤、胶质母等,建议mri。
作者: sdzyy 时间: 2010-1-23 20:32
肿瘤卒中,考虑恶性脑膜瘤可能性大。
作者: 当兵的 时间: 2010-1-23 21:16
肿瘤卒中,考虑恶性脑膜瘤可能性大
作者: 深泽交通 时间: 2010-1-23 22:40
支持脑膜瘤
作者: zjzjr 时间: 2010-1-23 23:06
考虑脑膜瘤出血.
作者: 黑白光影 时间: 2010-1-24 00:14
支持脑膜瘤。
作者: yulanhua 时间: 2010-1-24 00:21
考虑胶质母细胞瘤
作者: 随光逐影 时间: 2010-1-24 01:18
考虑脑膜瘤卒中可能。
作者: 李晓阳 时间: 2010-1-24 01:28
脑膜瘤多见于老年女性,与雌激素水平有关。本例虽为老年男性,但是本例还是考虑脑膜瘤的可能性大。
作者: 学海无崖59 时间: 2010-1-24 01:43
镰旁脑膜瘤卒中
作者: 37度 时间: 2010-1-24 03:44
脑膜瘤。
作者: hhhhhh6 时间: 2010-1-24 04:13
标题: 回复:ct24299:头颅平扫
以下是引用zxl51642在2010-1-23 11:59:00的发言:[br]肿瘤卒中,考虑恶性,依次淋巴瘤、转移瘤、恶性脑膜瘤、胶质母等,建议mri。
作者: ydx_74 时间: 2010-1-24 04:41
转移瘤
作者: panyishengct 时间: 2010-1-24 04:53
肿瘤卒中,考虑恶性脑膜瘤可能性大。
作者: dr.yang 时间: 2013-4-5 19:26
肿瘤卒中,考虑恶性脑膜瘤可能性大--支持
| 欢迎光临 医影在线 (http://bbs.radida.com/bbs/) |
Powered by Discuz! X3.2 |