医影在线

标题: PED3080:女,6岁,头痛、呕吐一天。 [打印本页]

作者: wpf    时间: 2010-1-26 06:23
标题: PED3080:女,6岁,头痛、呕吐一天。
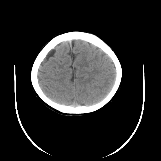
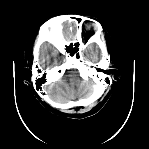
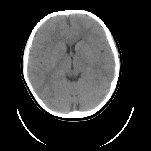
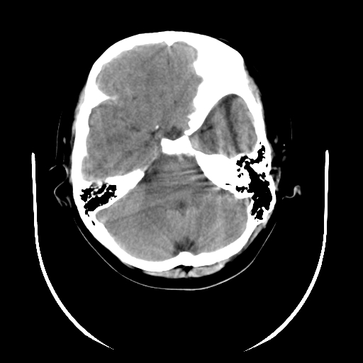
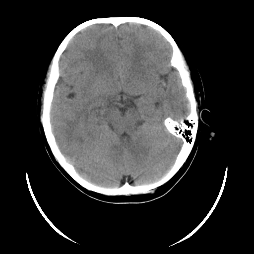
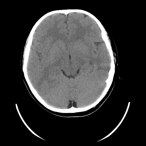
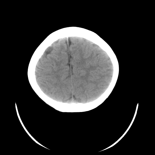
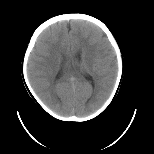
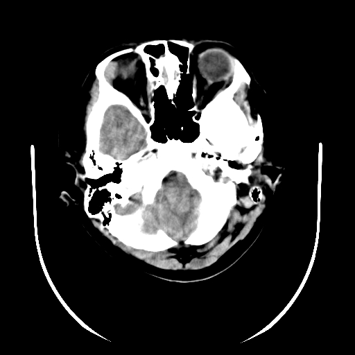
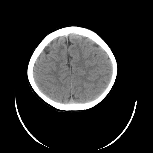
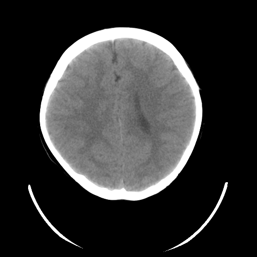
女,6岁,头痛、呕吐一天。

















[本贴已被 jiajie 于 2010-1-26 22:16:25 修改过]

作者: linyiming    时间: 2010-1-26 09:25
未见异常
作者: yuhongjun    时间: 2010-1-26 14:39
未见异常
作者: zxl51642    时间: 2010-1-26 17:15
未见明确异常。
作者: yulanhua    时间: 2010-1-26 17:49
无明显异常
作者: 杀毒软件    时间: 2010-1-26 22:42
未见明确异常
作者: 37度    时间: 2010-1-26 23:53
未见明确异常
作者: zjzjr    时间: 2010-1-27 00:59
未见明确异常
作者: 拾荒者    时间: 2010-1-27 03:20
未见明显异常。
作者: dyqct    时间: 2010-1-27 04:43
颅脑ct平扫未见明显异常。
作者: 黑白光影    时间: 2010-1-27 05:28
未见明显异常。
作者: 胡宇    时间: 2010-1-27 06:54
无明显异常
作者: yangyudong333    时间: 2010-1-27 22:02
未见明确异常
作者: sunbin    时间: 2010-1-28 04:18
头颅ct平扫未见明确异常,随诊复查。
作者: cap_208    时间: 2010-1-28 18:45
未见异常,可查有无鼻窦炎
作者: zfj567    时间: 2010-1-28 22:09
颅脑ct平扫未见明显异常。
作者: imageSS    时间: 2010-2-2 06:22
颅脑ct平扫未见明显异常




欢迎光临 医影在线 (http://bbs.radida.com/bbs/) Powered by Discuz! X3.2