医影在线

标题: PED3082:肺部感染?? [打印本页]

作者: 流云    时间: 2010-1-26 21:32
标题: PED3082:肺部感染??
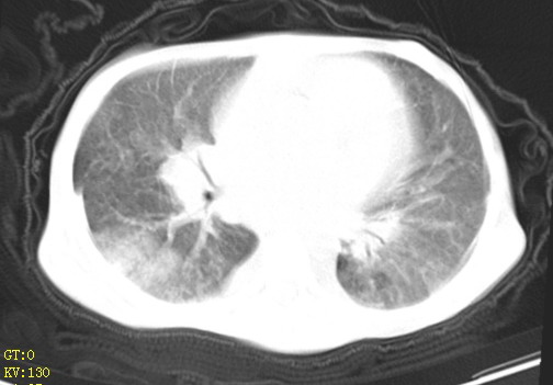
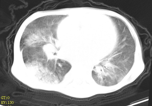
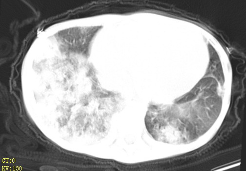
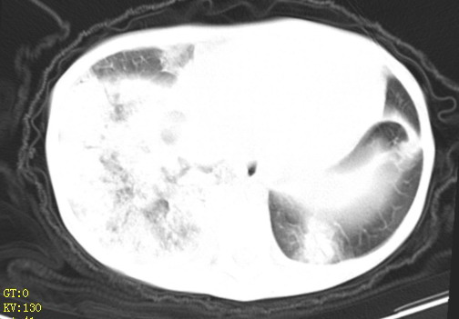
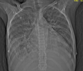
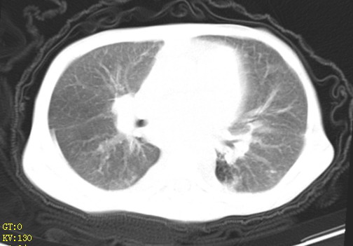
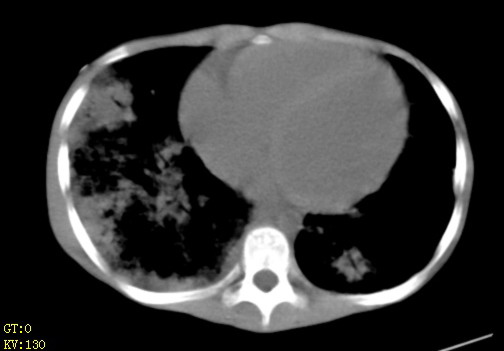
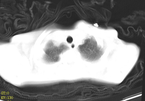
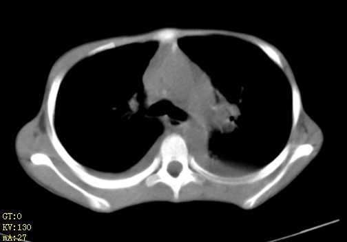
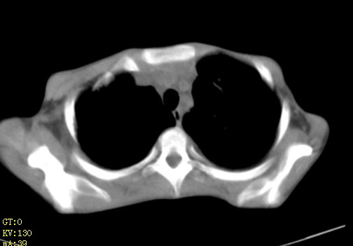
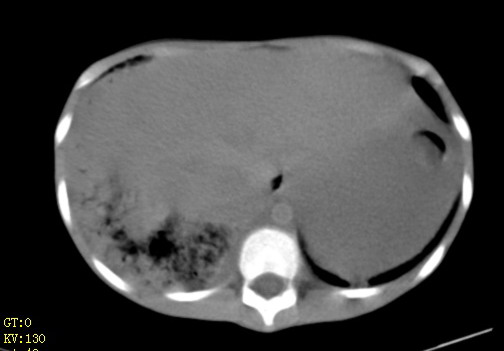
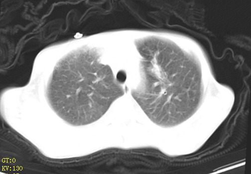
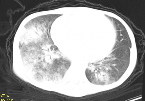
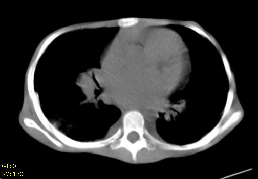
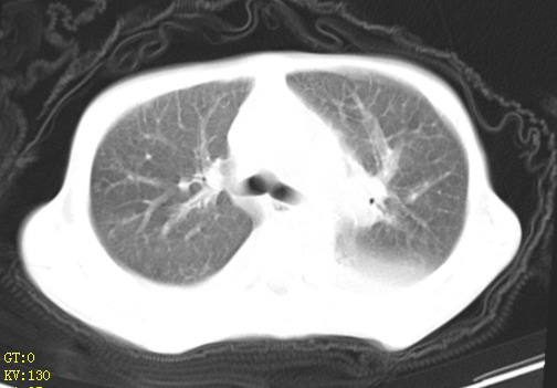
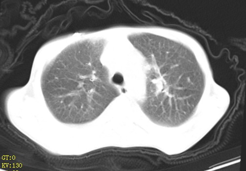
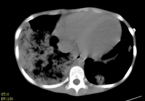
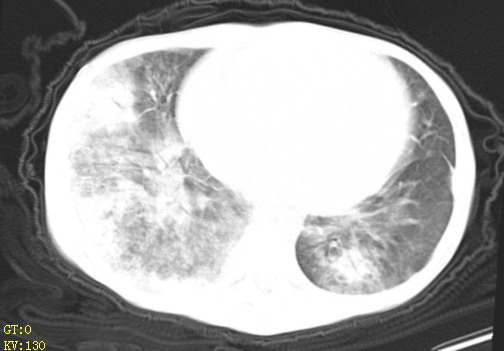
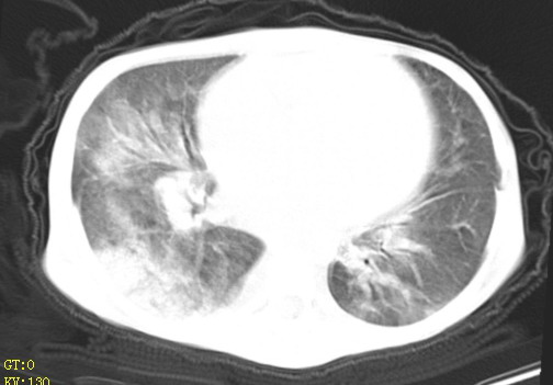
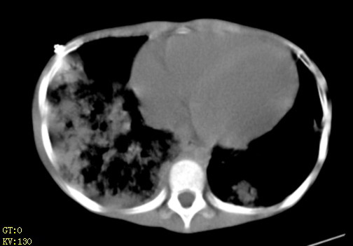
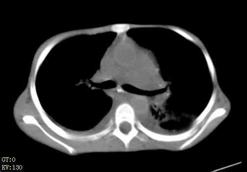
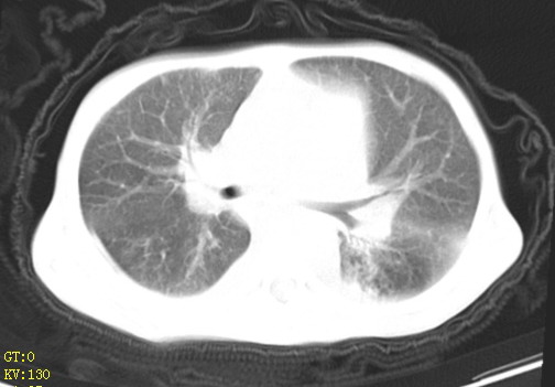
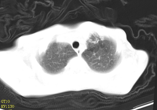
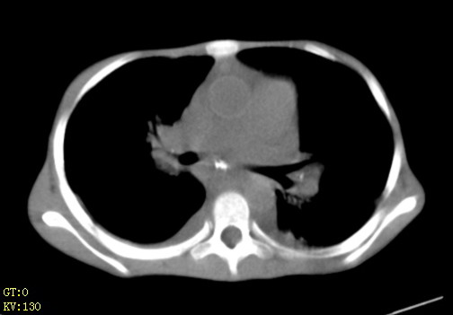
女,12岁,气促、咳嗽2天,3个月前查胸片示:两肺感染,急诊入院查ct,血常规等未检查。








































[本贴已被 jiajie 于 2010-1-26 22:17:01 修改过]

作者: 雨歌    时间: 2010-1-26 21:43
两肺感染肺结核?
作者: 37度    时间: 2010-1-26 22:17
感染性病变,结合实验室检查。
作者: 流星1234    时间: 2010-1-26 22:20
支持双肺炎性感染,
作者: zhangjixiang    时间: 2010-1-26 22:26
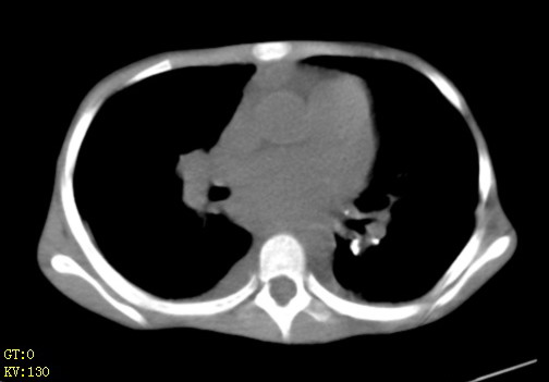
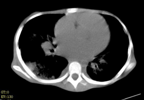
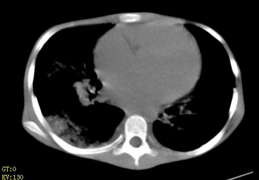
先心(室缺?)、左室大,心功能不全;肺部感染
作者: 水过无痕    时间: 2010-1-26 22:27
tb可能性大,不排除炎症;建议抗炎一周后复查。
作者: sdzyy    时间: 2010-1-26 22:30
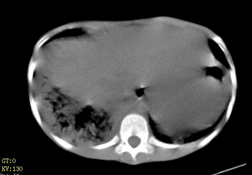
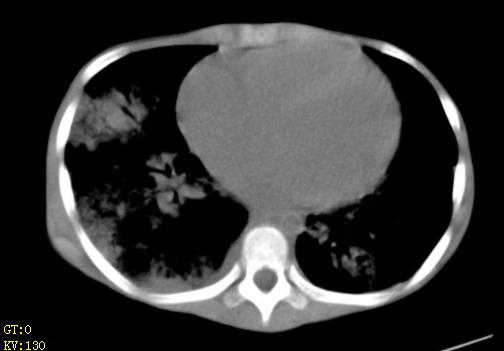
两肺炎症,少量胸水;建议抗炎治疗后复查。
作者: shibing    时间: 2010-1-26 22:43
h1n1合并心功能不全
作者: 深泽交通    时间: 2010-1-26 22:48
心衰 肺水肿
作者: 杀毒软件    时间: 2010-1-26 22:49
左肺上叶改变考虑继发性肺结核,余双肺重症肺炎不排除h1n1。双侧胸腔少量积液。
作者: aleillc    时间: 2010-1-26 22:57
两肺感染,双侧少量胸腔积液;肺淤血及心脏改变,考虑心功能不全改变。学习了,望能反馈随访结果。
作者: zjzjr    时间: 2010-1-26 23:58
两肺感染,不除外甲流
作者: zxl51642    时间: 2010-1-27 00:17
非常时期先排除甲流,再考虑tb。
作者: 随光逐影    时间: 2010-1-27 01:05
1)考虑两肺感染性病变;建议抗炎治疗后复查。2)双侧少量胸腔积液。
作者: shuiyuan    时间: 2010-1-27 03:59
1、左心房、左心室增大,考虑左心衰, 2、肺水肿合并感染 3、双侧胸腔积液
作者: 黑白光影    时间: 2010-1-27 05:13
1)考虑两肺感染性病变;建议抗炎治疗后复查。2)双侧少量胸腔积液。
作者: linyiming    时间: 2010-1-27 08:31
考虑双肺结核并感染
作者: yangyudong333    时间: 2010-1-27 21:56
h1n1合并心功能不全  支持!
作者: dyqct    时间: 2010-1-28 03:50
标题: 回复:ped3082:肺部感染??
以下是引用随光逐影在2010-1-26 17:05:00的发言:[br]1)考虑两肺感染性病变;建议抗炎治疗后复查。2)双侧少量胸腔积液。

支持!
作者: 拾荒者    时间: 2010-1-28 04:20
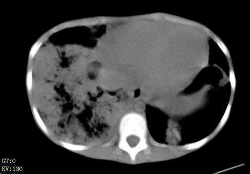
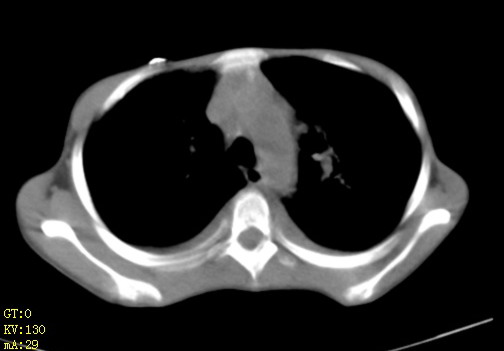
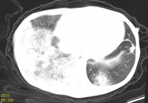
双肺中下野不规则片絮状阴影,中外带明显,双侧胸腔少量积液,心影增大,心腔密度减低,隆突下及左侧气管旁见钙化淋巴结影,考虑双肺感染、心衰;建议结合临床除外h1n1并急性心衰,先心不能排除。
作者: sunbin    时间: 2010-1-28 04:26
两肺多发片絮状模糊影,以下肺外带居多,内见支气管气像,纵膈窗未减影,两侧胸腔积液,心影增大,结合心超,支持重症肺炎,非常时期,甲型h1n1流感不排除。
作者: cap_208    时间: 2010-1-28 18:31
心衰 双肺霉菌感染,左上肺继发结核。
作者: cap_208    时间: 2010-1-28 18:36
标题: 回复:ped3082:肺部感染??
临床感染三月
作者: 胡宇    时间: 2010-2-1 05:21
两肺炎症,少量胸水;建议抗炎治疗后复查。




欢迎光临 医影在线 (http://bbs.radida.com/bbs/) Powered by Discuz! X3.2