医影在线

标题: X6872:F,69y,胃部不适。 [打印本页]

作者: dr.yang    时间: 2010-1-27 01:51
标题: X6872:F,69y,胃部不适。

























[本贴已被 jiajie 于 2010-1-26 22:07:37 修改过]

作者: 前行    时间: 2010-1-27 02:46
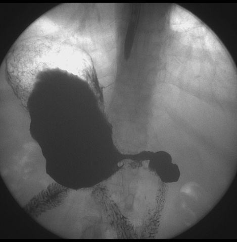
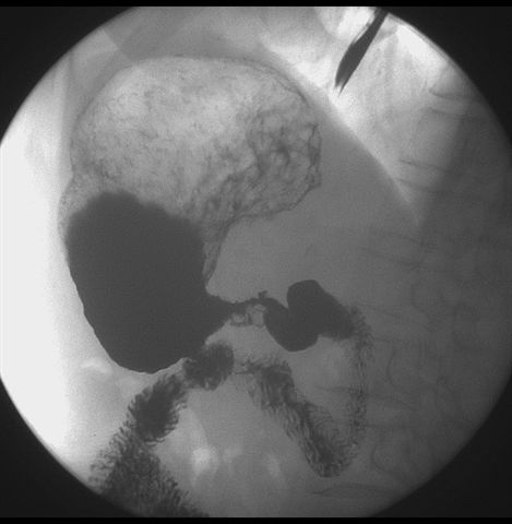
胃窦至幽门段胃壁僵硬,扩张受限,局部纠集粘破坏,呈杵状。提示溃疡癌变可能性大。
作者: zxl51642    时间: 2010-1-27 02:54
胃窦癌可能性大,建议胃镜活检。钡剂太稀,吃的有点多。
作者: hexue    时间: 2010-1-27 03:32
胃窦癌可能性大,建议胃镜活检
作者: wangyongww1977    时间: 2010-1-27 04:44
建议胃镜活检
作者: dyqct    时间: 2010-1-27 04:54
还是做胃镜除外胃窦炎或胃窦癌。
作者: 拾荒者    时间: 2010-1-27 05:20
支持考虑胃窦癌可能,胃内滞留液太多,胃窦部僵硬。
作者: 37度    时间: 2010-1-27 05:39
标题: 回复:f,69y,胃部不适。
以下是引用dyqct在2010-1-26 20:54:00的发言:[br]还是做胃镜除外胃窦炎或胃窦癌。

作者: huangxun4321    时间: 2010-1-27 05:42
还是做胃镜除外胃窦炎或胃窦癌。
作者: zhanggenliang    时间: 2010-1-27 06:02
标题: 回复:f,69y,胃部不适。
以下是引用dyqct在2010-1-26 20:54:00的发言:[br]还是做胃镜除外胃窦炎或胃窦癌。

作者: 黑白光影    时间: 2010-1-27 06:24
瀑布型胃,胃粘膜那是一个乱,窦部充盈不好,第16幅窦部粘膜反倒又很顺,先定个胃炎胃窦炎胃窦癌待排之类,建议进一步作胃镜检查。
作者: 流星1234    时间: 2010-1-27 06:38
胃窦部见钡池影,局部粘膜紊乱,纠集呈杵状改变,胃壁扩张受限,胃窦癌可能性大,建议胃镜检查.
作者: 影象小泰斗    时间: 2010-1-27 06:42
做胃镜除外胃窦炎或胃窦癌
作者: 随光逐影    时间: 2010-1-27 16:24
胃窦癌可能性大;建议胃镜活检。
作者: zjzjr    时间: 2010-1-27 17:28
做胃镜除外胃窦炎或胃窦癌
作者: 奥特之父    时间: 2010-1-27 20:40
胃窦 ca.
作者: masterle    时间: 2010-1-27 21:41
胃窦占位。大量滞留液?十二指肠球炎?
作者: 谨言慎行    时间: 2010-1-28 01:27
标题: 回复:x6872:f,69y,胃部不适。
以下是引用hexue在2010-1-26 19:32:00的发言:[br]胃窦癌可能性大,建议胃镜活检

作者: xihan    时间: 2010-1-28 04:29
胃窦炎
作者: sunbin    时间: 2010-1-28 04:42
胃窦部管腔扩张度较差,形态略有改变,胃窦粘膜显示欠佳,胃窦部占位可能性大,结合胃镜活检。
作者: 二陆一十二    时间: 2010-1-28 07:18
胃窦ca可能性大,结合活检。
作者: LIAOQIANG    时间: 2010-1-28 22:53
胃窦部狭窄、稍僵硬,考虑胃窦癌?建议胃镜检查。
作者: dr.yang    时间: 2010-1-29 07:23
北京肿瘤医院胃镜诊断皮革胃。




欢迎光临 医影在线 (http://bbs.radida.com/bbs/) Powered by Discuz! X3.2