医影在线

标题: PED3084:外伤发现,颅内病灶 [打印本页]

作者: niedajun    时间: 2010-1-29 16:22
标题: PED3084:外伤发现,颅内病灶
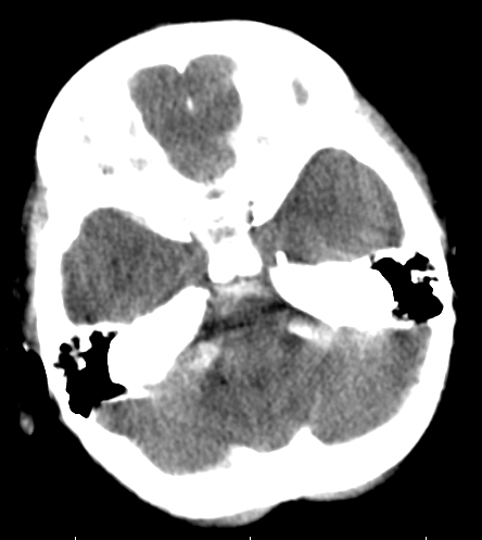
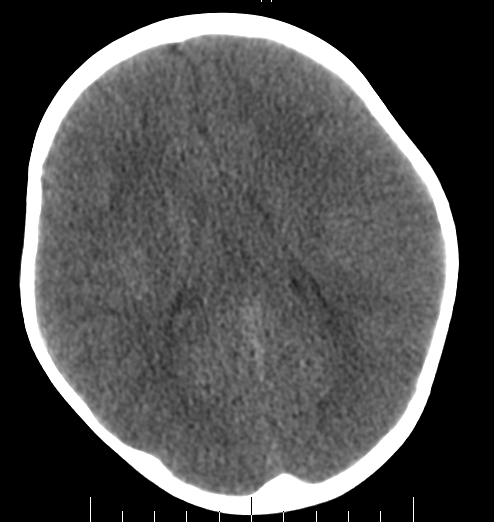
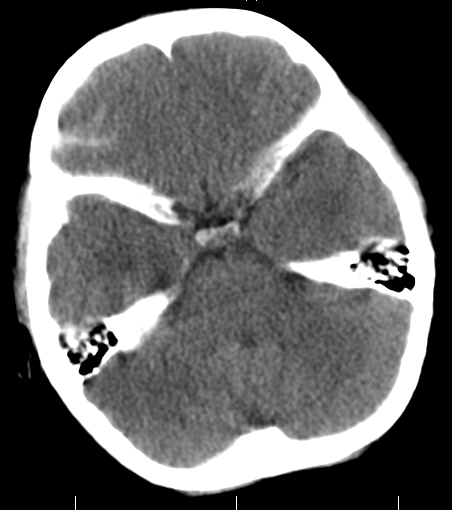
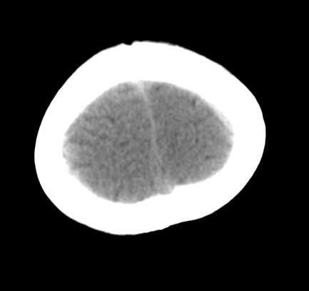
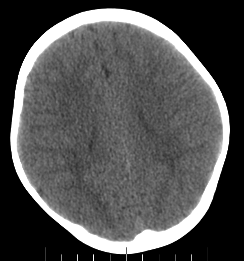
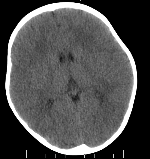
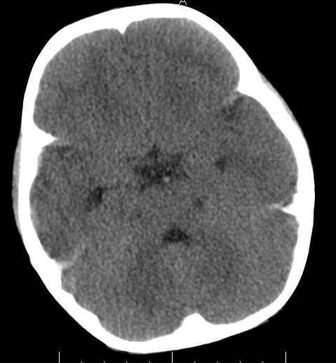
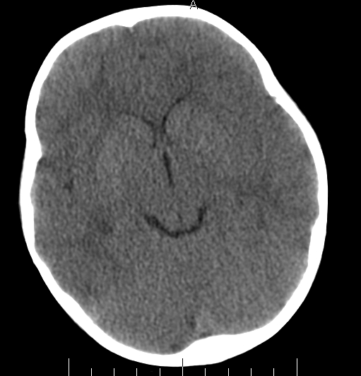
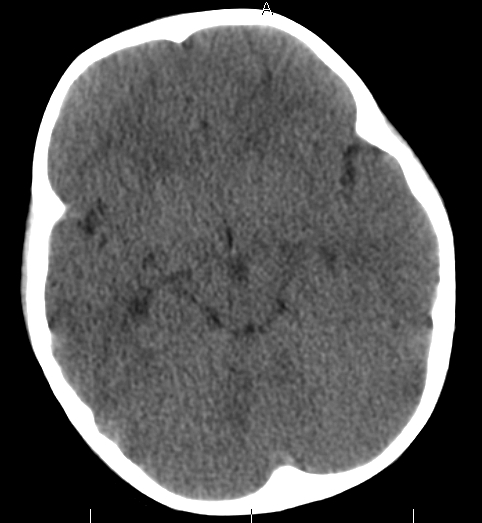
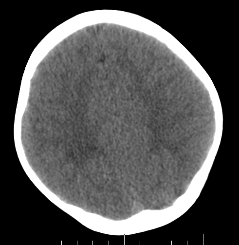
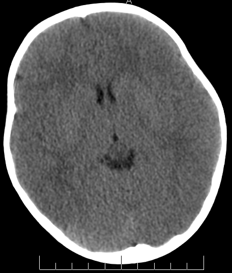
女,3岁,头部外伤一小时。半卵圆中心低密度是什么意思,病灶?侧脑室?请指教。
















[本贴已被 jiajie 于 2010-1-29 22:15:21 修改过]

作者: cfililiu    时间: 2010-1-29 16:44
正常表现
作者: 深泽交通    时间: 2010-1-29 16:47
脑白质
作者: 影像的学    时间: 2010-1-29 16:49
考虑为低密度病灶!建议增强或核磁!
作者: wansheng    时间: 2010-1-29 16:59
未见明显异常,必要时mr
作者: ct诊断高手    时间: 2010-1-29 17:20
未见明显异常,必要时mr
作者: zxl51642    时间: 2010-1-29 17:22
幼儿正常脑白质表现,长期观察,必要时mr
作者: 狙击手    时间: 2010-1-29 17:32
从层面看不是侧脑室,考虑低密度变,建议mri。
作者: 拂晓    时间: 2010-1-29 17:53
建议mr
作者: 杀毒软件    时间: 2010-1-29 18:19
标题: 回复:外伤发现,颅内病灶
以下是引用影像的学习者在2010-1-29 8:49:00的发言:[br]考虑为低密度病灶!建议增强或核磁!

支持
作者: zjzjr    时间: 2010-1-29 19:00
未见异常
作者: shibing    时间: 2010-1-29 19:51
未见明显异常,必要时mr
作者: 红玉    时间: 2010-1-29 20:10
不是侧脑室,考虑正常脑白质。为慎重,建议mr!
作者: arven    时间: 2010-1-29 20:39
支持正常改变
作者: yulanhua    时间: 2010-1-29 21:48
标题: 回复:外伤发现,颅内病灶
以下是引用arven在2010-1-29 12:39:00的发言:[br]支持正常改变

作者: pysylhj    时间: 2010-1-29 22:42
未见明显异常,必要时mri检查。
作者: 心愿    时间: 2010-1-29 22:50
未见明显异常,必要时复查或mr
作者: 随光逐影    时间: 2010-1-30 00:50
考虑低密度病灶;建议行mri检查。
作者: guo430726    时间: 2010-1-30 02:19
考虑低密度病灶;建议行mri检查。
作者: 黑白光影    时间: 2010-1-30 04:38
考虑为低密度病灶!建议增强或核磁
作者: 37度    时间: 2010-1-30 20:31
考虑为低密度病灶!建议增强或核磁
作者: sunbin    时间: 2010-1-30 23:53
未见明显异常,随访。
作者: hsl    时间: 2010-1-31 07:27
未见明显异常 .
作者: 胡宇    时间: 2010-2-1 05:18
幼儿正常脑白质表现,长期观察,必要时mr




欢迎光临 医影在线 (http://bbs.radida.com/bbs/) Powered by Discuz! X3.2