医影在线
标题: CT24386:M 72岁农民 右侧胸痛6月余,咳嗽,无发热、咯血等 [打印本页]
作者: 星星点灯    时间: 2010-1-29 18:12
标题: CT24386:M 72岁农民 右侧胸痛6月余,咳嗽,无发热、咯血等
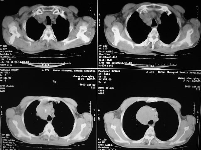
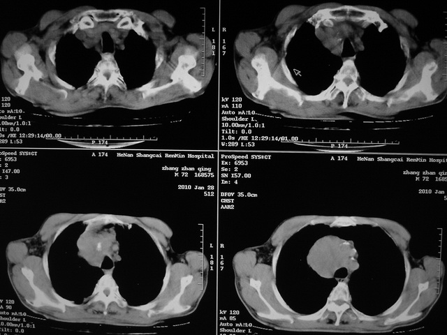
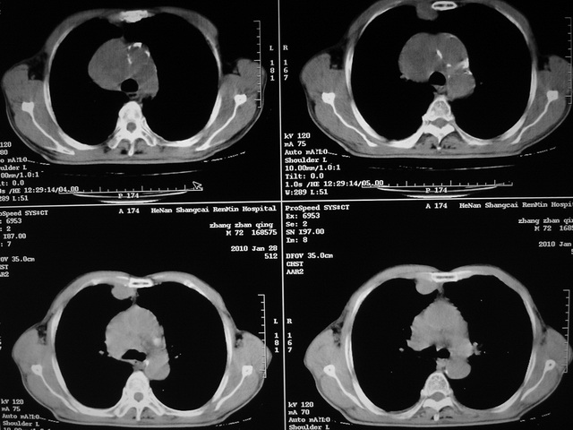
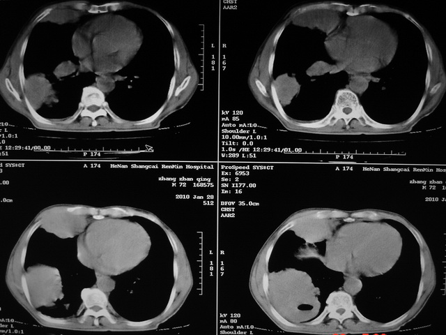
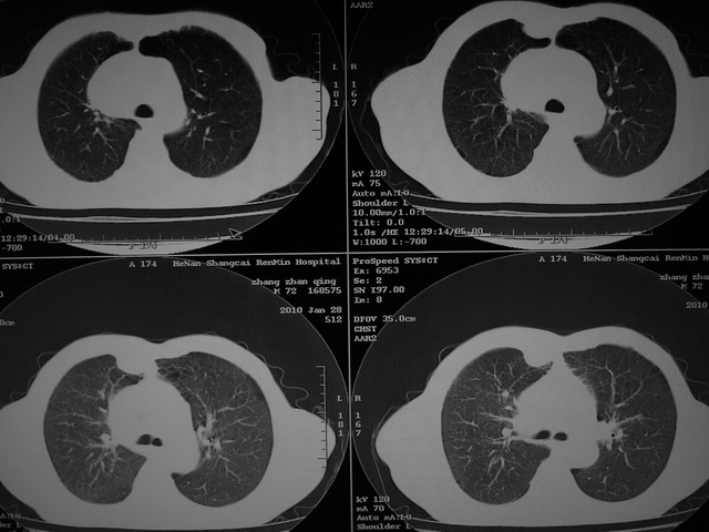
xx m 72岁农民 右侧胸痛6月余,咳嗽,无发热、咯血等










[face=宋体][/face]
[本贴已被 jiajie 于 2010-1-29 22:00:49 修改过]
作者: zxl51642    时间: 2010-1-29 18:20
标题: 2
右下周围型肺癌,并右肺门、纵膈淋巴结、内乳淋巴结转移,右胸膜转移累及前胸壁。鉴别:脓肿、tb、淋巴瘤。病理类型可能为大细胞型。
[本贴已被 zxl51642 于 2010-1-29 10:33:35 修改过]
作者: 狙击手    时间: 2010-1-29 18:27
这个病人有点复杂了,上纵隔像是占位,右肺下叶见壁光整厚壁空洞加液平,像是肺脓肿,中叶病灶牵涉到胸膜及胸壁,形态看像是炎性病变,总之不能除外恶性病变,还是穿刺或增强后再说。
作者: 北方的狼    时间: 2010-1-29 18:36
右下周围型肺癌。偏心空洞形成伴感染。
作者: zjzjr    时间: 2010-1-29 18:39
支持3楼
作者: shibing    时间: 2010-1-29 19:43
右下周围型肺癌伴转移
作者: sliucun01    时间: 2010-1-29 19:47
空洞内有液平,支持3楼意见
作者: 心路寻觅    时间: 2010-1-29 20:13
支持2搂,考虑右肺下叶周围性肺癌伴肺门及纵膈淋巴结转移!右侧前纵膈病灶,还是一元论考虑为胸壁或胸膜转移瘤。
作者: yulanhua    时间: 2010-1-29 21:56
支持楼上
作者: pysylhj    时间: 2010-1-29 22:35
右侧周围性肺癌,胸膜转移。
作者: 随光逐影    时间: 2010-1-30 01:05
支持 右肺下叶周围型肺癌并右肺门、纵膈淋巴结、内乳淋巴结转移,右胸膜转移累及前胸壁。
作者: 黑白光影    时间: 2010-1-30 05:06
支持 右肺下叶周围型肺癌并右肺门、纵膈淋巴结、内乳淋巴结转移,右胸膜转移累及前胸壁。
| 欢迎光临 医影在线 (http://bbs.radida.com/bbs/) | Powered by Discuz! X3.2 |