医影在线

标题: CT24387:看看这例脑部改变!! [打印本页]

作者: 新竹平易    时间: 2010-1-29 18:55
标题: CT24387:看看这例脑部改变!!
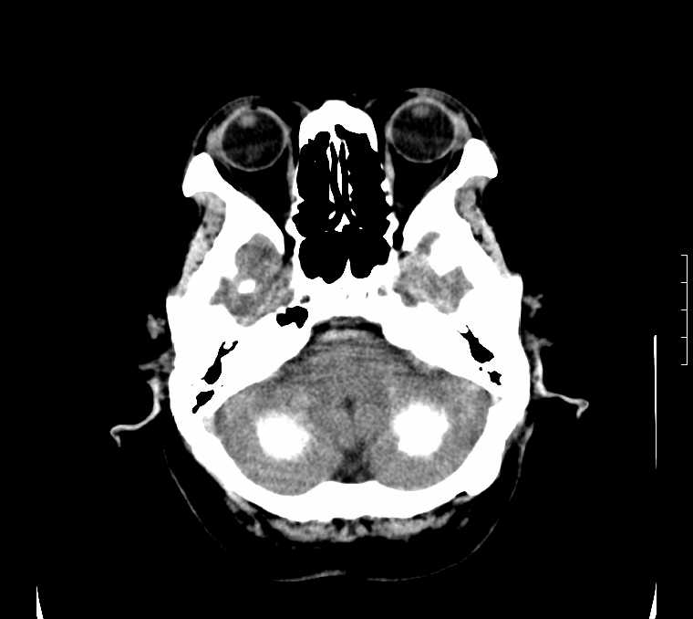
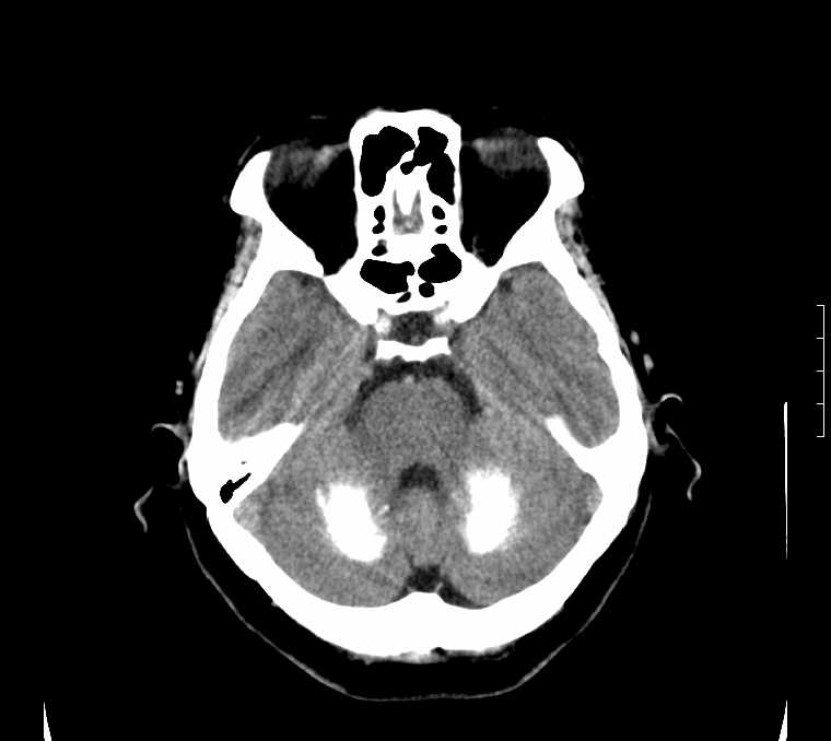
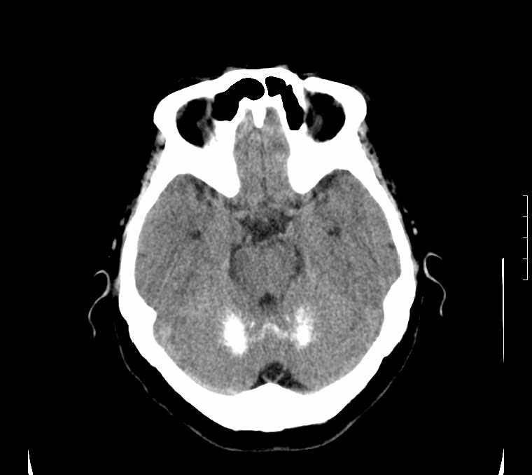
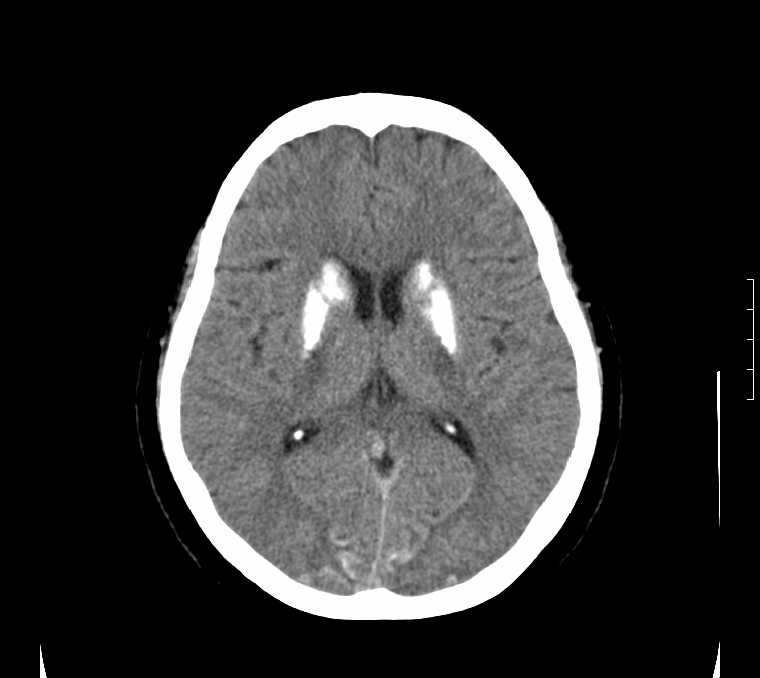
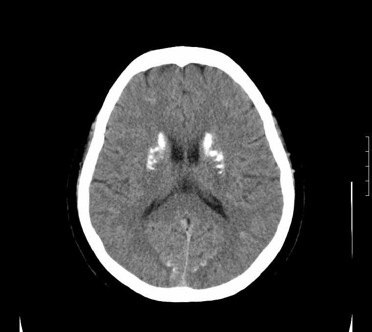
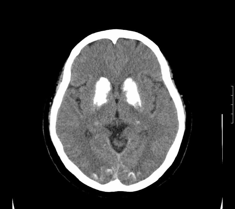
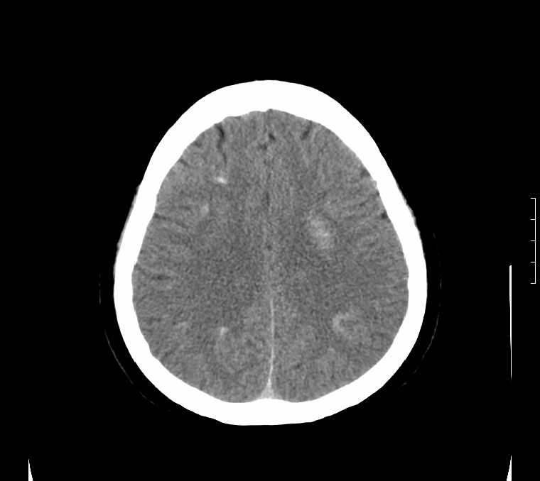
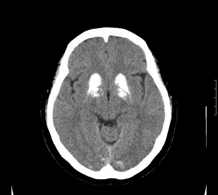
老年女性。头晕。



















[本贴已被 jiajie 于 2010-1-29 22:02:08 修改过]

作者: 狙击手    时间: 2010-1-29 18:58
考虑:甲旁减。
作者: zxl51642    时间: 2010-1-29 19:12
可考虑甲旁减.....等,需临床及实验室检查支持!
作者: sliucun01    时间: 2010-1-29 19:39
如无其它症状,甲考虑旁减。
作者: shibing    时间: 2010-1-29 19:41
fahr病
作者: 心路寻觅    时间: 2010-1-29 19:44
支持甲减诊断!
作者: 红玉    时间: 2010-1-29 19:56
好像也只有甲旁减可以解释!
作者: imageSS    时间: 2010-1-29 20:45
支持甲减诊断!
作者: zjzjr    时间: 2010-1-29 21:13
考虑甲旁减
作者: yulanhua    时间: 2010-1-29 21:36
甲状旁腺功能低下
作者: w_jianhua    时间: 2010-1-29 21:43
如无其它症状,甲考虑旁减。
作者: ZIYOUFEIXIANG    时间: 2010-1-29 22:35
支持、甲状旁腺功能低下
作者: pysylhj    时间: 2010-1-29 22:38
支持。
作者: 心愿    时间: 2010-1-29 22:48
考虑甲旁低所致钙化。
作者: lizhiguang    时间: 2010-1-29 23:05
甲状旁腺功能低下
作者: 深泽交通    时间: 2010-1-29 23:41
标题: 回复:看看这例脑部改变!!
以下是引用狙击手在2010-1-29 10:58:00的发言:[br]考虑:甲旁减。

作者: yangyudong333    时间: 2010-1-29 23:52
甲状旁腺功能低下
作者: LIAOQIANG    时间: 2010-1-30 00:45
考虑甲状旁腺功能低下。
作者: 随光逐影    时间: 2010-1-30 01:06
鉴别于特发性家族性脑血管亚铁钙沉着症(fahr`s病)与甲状旁腺机能低下之间,请结合临床及相关实验室检查。
作者: 黑白光影    时间: 2010-1-30 05:09
考虑甲旁减
作者: 一休123    时间: 2010-1-30 05:42
甲旁低




欢迎光临 医影在线 (http://bbs.radida.com/bbs/) Powered by Discuz! X3.2