医影在线

标题: CT24389:行CT平扫时发现胃内占位。请会诊! [打印本页]

作者: jcw123    时间: 2010-1-29 20:28
标题: CT24389:行CT平扫时发现胃内占位。请会诊!
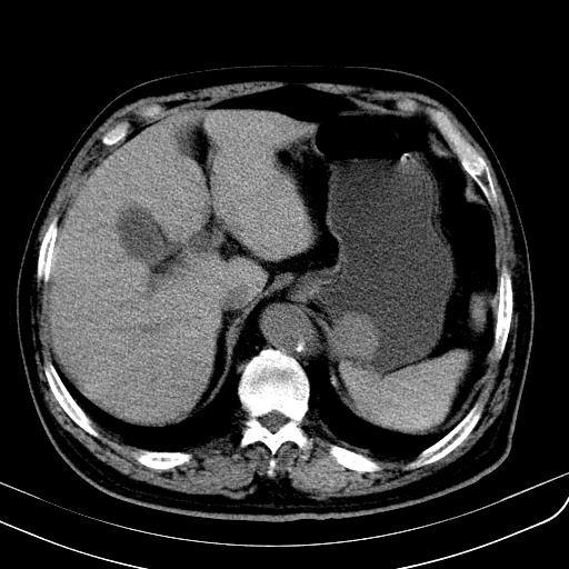
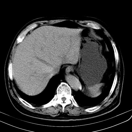
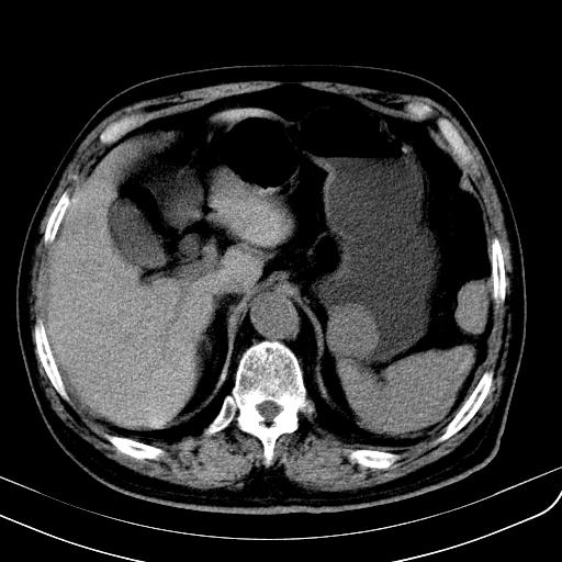
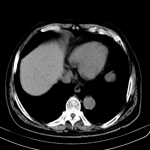
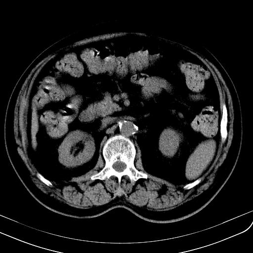
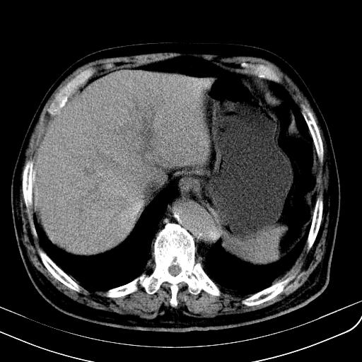
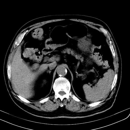
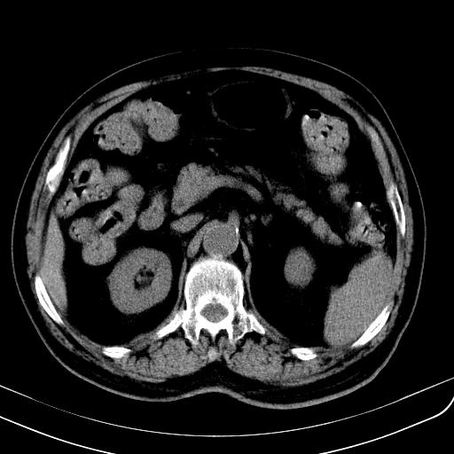
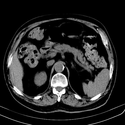
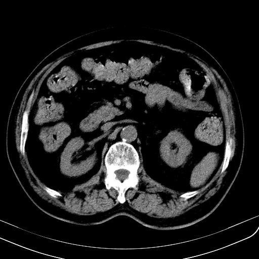
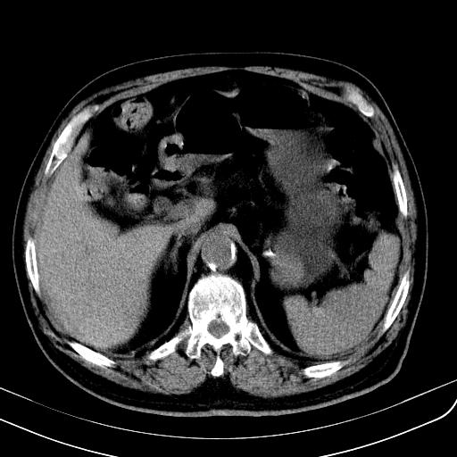
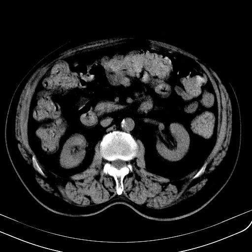
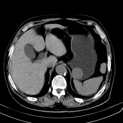
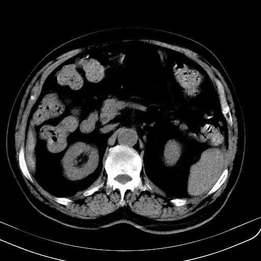
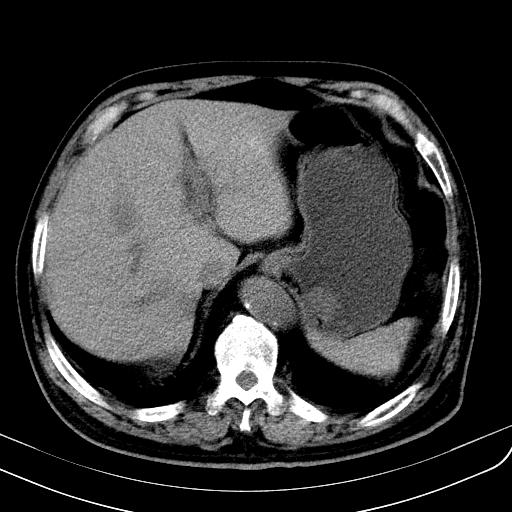
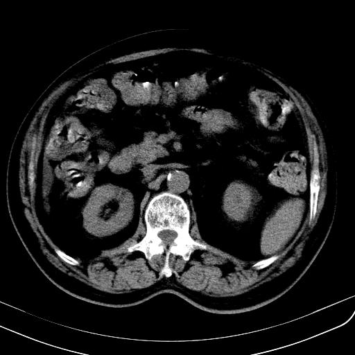
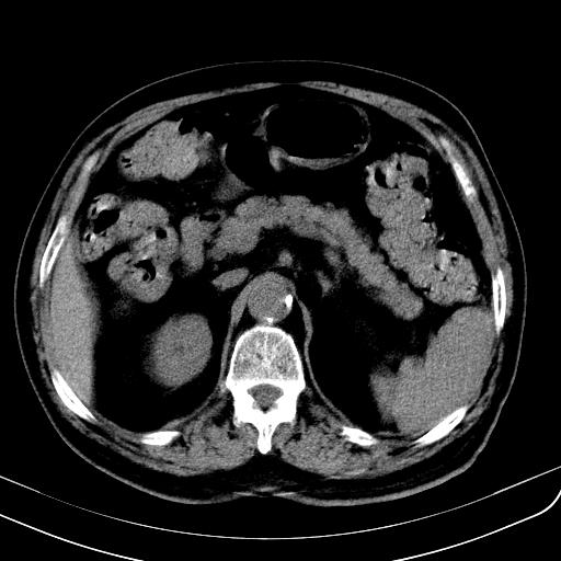
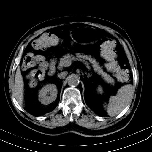
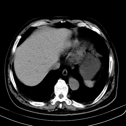
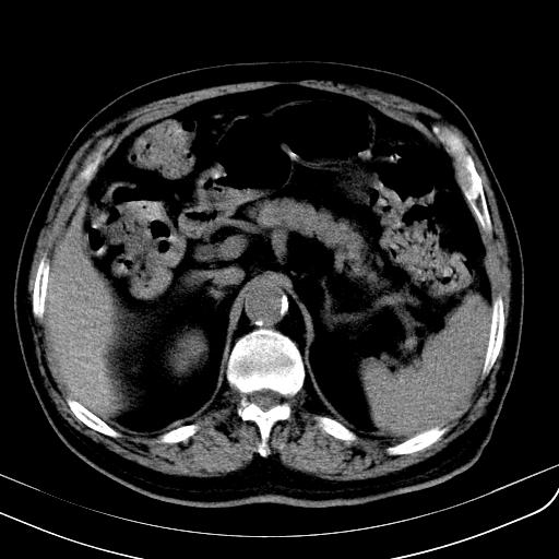
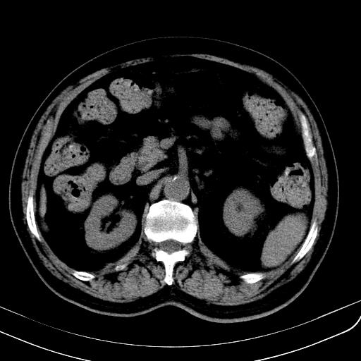
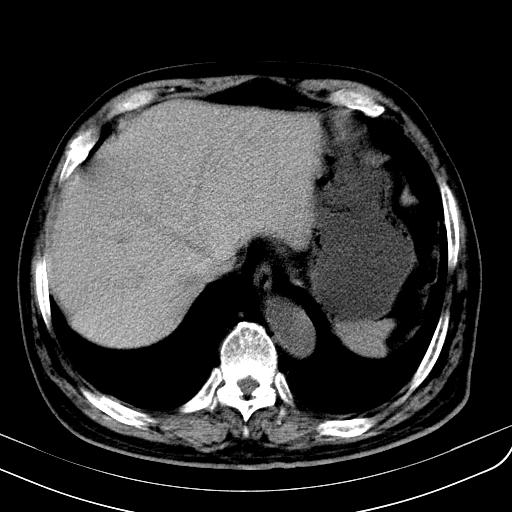
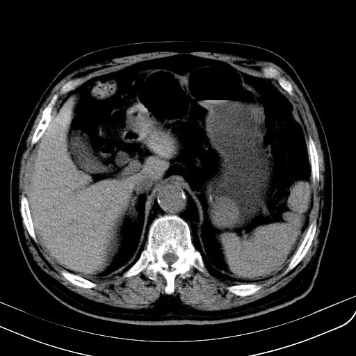
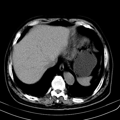
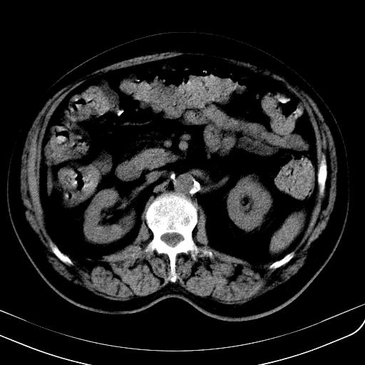
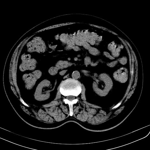
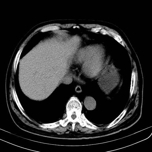
胃底靠近胃大弯处可见一圆形软组织影,直径为3.45cm,ct值约为30.1hu
请会诊!!!


































[本贴已被 jiajie 于 2010-1-29 22:03:00 修改过]

作者: zjzjr    时间: 2010-1-29 21:24
胃底间质瘤
作者: yulanhua    时间: 2010-1-29 21:51
胃底平滑肌瘤
作者: ZIYOUFEIXIANG    时间: 2010-1-29 22:28
考虑胃低平滑肌瘤?
作者: zxl51642    时间: 2010-1-29 22:36
间质瘤或神经鞘瘤。
作者: 心愿    时间: 2010-1-29 22:43
考虑为胃底间质瘤
作者: lizhiguang    时间: 2010-1-29 23:09
胃底良性肿瘤,考虑间质瘤
作者: shibing    时间: 2010-1-29 23:12
胃底平滑肌瘤
作者: 求知若渴    时间: 2010-1-29 23:39
边缘光滑,密度均匀,良性占位,首先考虑平滑肌瘤。
作者: yangyudong333    时间: 2010-1-29 23:48
考虑胃底平滑肌瘤。
作者: LIAOQIANG    时间: 2010-1-30 00:25
考虑为胃底间质瘤。
作者: 卜一    时间: 2010-1-30 01:04
胃底间质瘤!
作者: 513ytb    时间: 2010-1-30 01:07
考虑为胃底间质瘤  .
作者: 随光逐影    时间: 2010-1-30 01:12
胃底间质瘤可能性大。
作者: 道哥    时间: 2010-1-30 02:57
边缘光滑,密度均匀,良性占位,首先考虑平滑肌瘤。其实平滑肌瘤也是间质瘤的一种
作者: xihan    时间: 2010-1-30 03:21
考虑胃底平滑肌瘤。血肿不除外。
作者: 黑白光影    时间: 2010-1-30 05:12
考虑为胃底间质瘤




欢迎光临 医影在线 (http://bbs.radida.com/bbs/) Powered by Discuz! X3.2