医影在线

标题: CT24393:出血?伪影? [打印本页]

作者: zbp537    时间: 2010-1-29 20:41
标题: CT24393:出血?伪影?
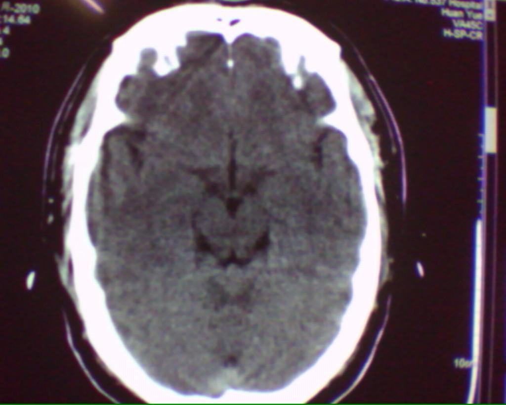
男性52岁,头部外伤,左侧眼睑及颧骨部软组织肿胀,ct发现左侧额部颅骨同板下有条状高密度影,我仔细看了一下,还是考虑伪影,主要原因是 该条状高密度影与颅骨内板有低密度影相隔,如是硬膜下或硬膜外出血,不可能出现该低密度间隔,请大家把这个病例讨论一下,谢谢。








[本贴已被 jiajie 于 2010-1-29 22:07:33 修改过]

作者: w_jianhua    时间: 2010-1-29 21:22
复查或薄层扫描
作者: zjzjr    时间: 2010-1-29 21:43
硬膜下血肿.
作者: yulanhua    时间: 2010-1-29 21:46
应该是伪影,颅骨是圆形弧状的,层面较厚是常出现此种伪影的,薄层扫描就不会出现此种伪影
作者: 心愿    时间: 2010-1-29 22:41
考虑伪影!
作者: shibing    时间: 2010-1-29 23:04
应该是伪影
作者: zxl51642    时间: 2010-1-29 23:21
不像,建议复查或薄层扫描
作者: 深泽交通    时间: 2010-1-29 23:29
支持伪影
作者: yangyudong333    时间: 2010-1-29 23:43
复查或薄层扫描
作者: 狙击手    时间: 2010-1-30 00:12
结合自己平时遇到的病例考虑了一下,觉得还是考虑硬膜外小血肿更合适一些:首先此病人头白的位置较对称,对侧没有发现,其次受伤的部位正是此处,再次所谓的间隙如果血肿较小恐怕未必。前不久本人就遇到类似的情况,经薄层重建及随访证实确是血肿,所以建议楼主还是薄层或随访复查为上策。
作者: 卜一    时间: 2010-1-30 01:09
应该是伪影!
作者: guo430726    时间: 2010-1-30 01:41
我认为还是应该考虑为硬膜外薄层血肿,比较合适,放大的图像我觉得更像一些。
作者: 37度    时间: 2010-1-30 02:00
到处有,伪影。
作者: 道哥    时间: 2010-1-30 02:46
支持伪影,16层的机器也有。
作者: 随光逐影    时间: 2010-1-30 02:59
不排除左侧额部硬膜下血肿可能;建议必要时复查(薄层扫描检查)。
作者: 科室第一人    时间: 2010-1-30 03:04
硬模下血肿
作者: liangshusheng    时间: 2010-1-30 03:30
伪影
作者: xihan    时间: 2010-1-30 03:30
硬膜下血肿可能,内侧见水肿。
作者: 黄毛小子    时间: 2010-1-30 04:15
支持伪影
作者: ydx_74    时间: 2010-1-30 05:02
伪影,常见。为弧顶部分容积效应,虽然跟小血肿似乎难鉴别,但是小血肿那么大边界没有那么清楚,
作者: 黑白光影    时间: 2010-1-30 05:37
考虑硬膜外小血肿可能,复查或薄层扫描。
作者: 二陆一十二    时间: 2010-1-30 06:13
考虑伪影
作者: 影像孺子牛    时间: 2010-1-30 07:06
支持伪影。建议复查或薄层扫描 。
作者: 598098702    时间: 2010-1-30 07:49
随访复查吧。
作者: ct诊断高手    时间: 2010-1-30 11:36
不排除左侧额部硬膜下血肿可能;建议必要时复查(薄层扫描检查)。
作者: yuhongjun    时间: 2010-1-30 15:06
不排除左侧额部硬膜下血肿可能;建议必要时复查(薄层扫描检查)。




欢迎光临 医影在线 (http://bbs.radida.com/bbs/) Powered by Discuz! X3.2