医影在线

标题: X6883:体检 [打印本页]

作者: fgp198    时间: 2010-1-29 23:13
标题: X6883:体检

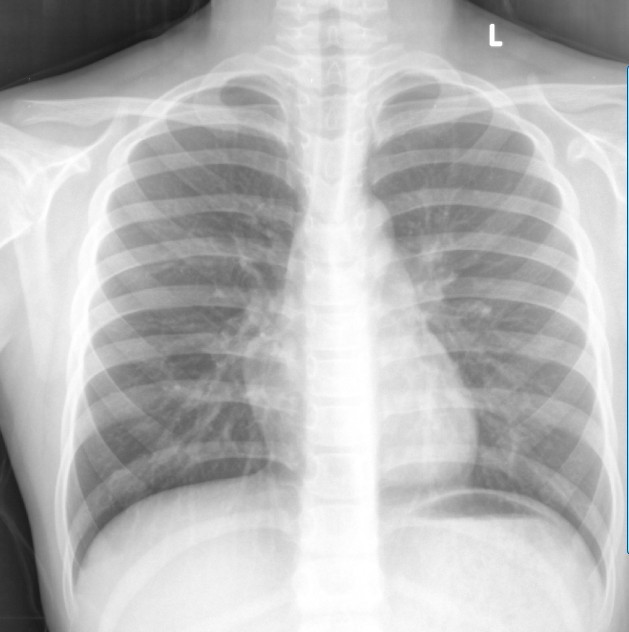
心影右侧部分稍凸起,是体位的关系吗?

[本贴已被 jiajie 于 2010-1-29 22:12:49 修改过]

作者: zxl51642    时间: 2010-1-29 23:25
正常
作者: yangyudong333    时间: 2010-1-29 23:31
还是做个心彩吧
作者: 37度    时间: 2010-1-30 01:23
必要时超声看下。
作者: xihan    时间: 2010-1-30 03:15
还是要检查
作者: 拾荒者    时间: 2010-1-30 03:54
突出的较突兀,不好说是什么病变,还是建议进一步检查吧!
作者: 黑白光影    时间: 2010-1-30 04:00
还是建议进一步检查吧!
作者: shilong    时间: 2010-1-30 05:21
建议彩超
作者: jinguoji    时间: 2010-1-30 05:46
小心点好,还是建议彩超进一步检查吧!
作者: wsmg-自在    时间: 2010-1-30 06:23
右心缘突建议彩超和ct除外心脏和纵隔病变
作者: 江广1996    时间: 2010-1-30 07:00
正常
作者: 随光逐影    时间: 2010-1-30 16:20
未见明确异常。
作者: zjzjr    时间: 2010-1-30 17:02
还是做个心彩吧
作者: sunbin    时间: 2010-1-31 00:21
未见明确异常,结合临床,必要时心超检查。
作者: dyqct    时间: 2010-1-31 00:29
胸部未见异常。
作者: 医盲    时间: 2010-1-31 01:53
建议进一步检查为妙
作者: smhk    时间: 2010-1-31 02:30
必要时超声看下。
作者: zhanggenliang    时间: 2010-1-31 05:55
建议彩超及心电图
作者: tnlk    时间: 2010-1-31 05:58
结合临床听诊必要时心彩。
作者: 不断进取    时间: 2010-1-31 07:04
先做个胸透或右侧位胸片。
作者: ct诊断高手    时间: 2010-1-31 07:06
未见明确异常,结合临床,必要时心超检查




欢迎光临 医影在线 (http://bbs.radida.com/bbs/) Powered by Discuz! X3.2