医影在线

标题: CT24400:患者54岁,心前区不适进行心脏冠脉造影检查。 [打印本页]

作者: fanshl    时间: 2010-1-30 13:04
标题: CT24400:患者54岁,心前区不适进行心脏冠脉造影检查。
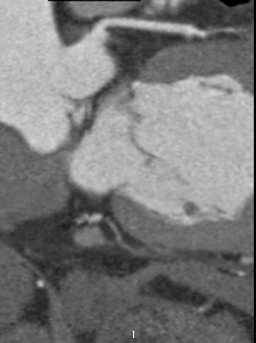
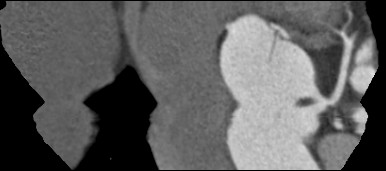
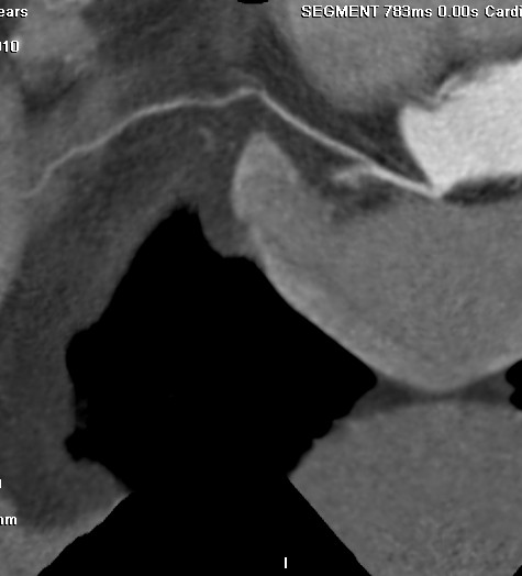
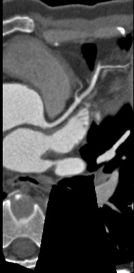
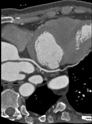
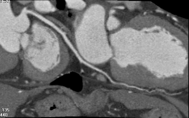
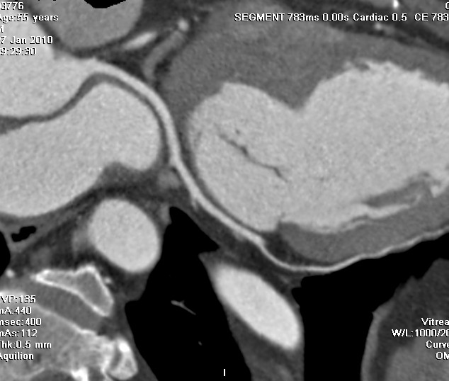
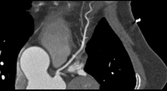
患者54岁,心前区不适进行心脏冠脉造影检查。高手看看有问题没有?
































[本贴已被 翁志蓬 于 2010-1-30 23:54:54 修改过]

作者: zjzjr    时间: 2010-1-30 17:00
图像很漂亮,好像未见异常
作者: zxl51642    时间: 2010-1-30 17:55
标题: 回复:患者54岁,心前区不适进行心脏冠脉造影检查。
以下是引用zjzjr在2010-1-30 9:00:00的发言:[br]图像很漂亮,好像未见异常

作者: 37度    时间: 2010-1-30 20:36
标题: 回复:患者54岁,心前区不适进行心脏冠脉造影检查。
以下是引用zjzjr在2010-1-30 9:00:00的发言:[br]图像很漂亮,好像未见异常

作者: 随光逐影    时间: 2010-1-30 22:18
标题: 回复:患者54岁,心前区不适进行心脏冠脉造影检查。
以下是引用zjzjr在2010-1-30 9:00:00的发言:[br]图像很漂亮,好像未见异常

作者: 黑白光影    时间: 2010-1-31 03:50
一致
作者: ct诊断高手    时间: 2010-1-31 04:15
板凳
作者: dr.yang    时间: 2013-4-7 19:14
学习了
作者: 憨哥    时间: 2015-1-15 16:45
学习
作者: luoyoyoo11    时间: 2015-1-15 18:34
什么机型做的?





欢迎光临 医影在线 (http://bbs.radida.com/bbs/) Powered by Discuz! X3.2