医影在线

标题: PED3088:小儿颅脑,请各位老师指教!! [打印本页]

作者: 枫叶情    时间: 2010-1-31 00:51
标题: PED3088:小儿颅脑,请各位老师指教!!
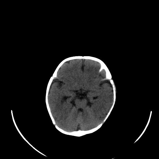
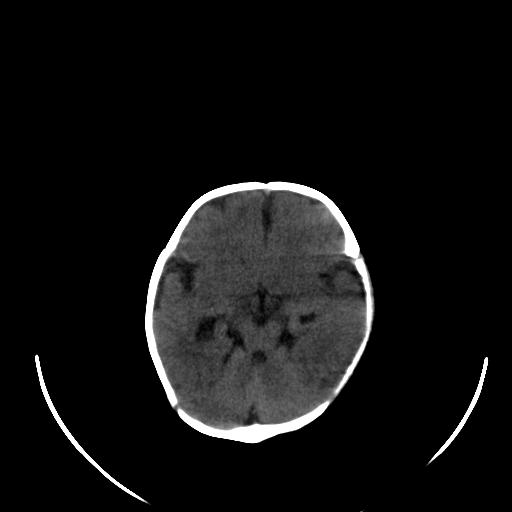
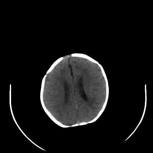
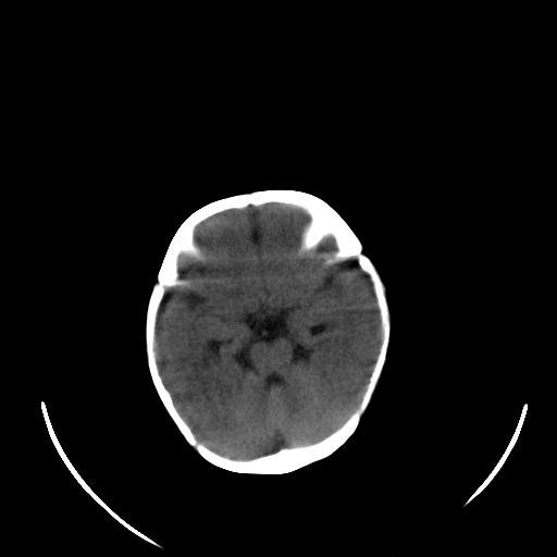
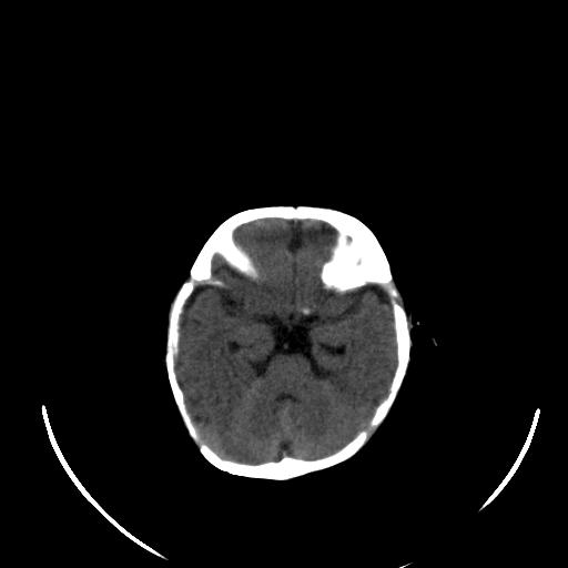
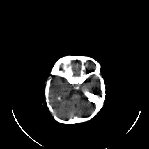
患儿 女性 1个月  今天发现阵发性抽搐  双眼上翻、凝视,嘴唇及面色青紫





















[本贴已被 翁志蓬 于 2010-1-31 1:26:06 修改过]

作者: dyqct    时间: 2010-1-31 01:28
考虑双侧脉络膜裂囊肿。
作者: klxz    时间: 2010-1-31 02:18
双侧颞枕叶片状低密度影,考虑新生儿却血缺氧性脑病可能
作者: yulanhua    时间: 2010-1-31 03:10
无明显异常
作者: zxl51642    时间: 2010-1-31 03:10
建议mri排除先天性髓鞘发育
作者: 泪洒红尘    时间: 2010-1-31 04:02
未见明显异常
作者: ct诊断高手    时间: 2010-1-31 04:17
未见明显异常
作者: pysylhj    时间: 2010-1-31 04:20
建议mri检查后再下结论。
作者: 狙击手    时间: 2010-1-31 05:13
左侧额叶见班片样低密度灶,症状像癫痫,可能与之有关。
作者: 卜一    时间: 2010-1-31 05:35
新生儿却血缺氧性脑病不排除!
作者: 影像的学    时间: 2010-1-31 05:49
未见明显异常!核磁吧
作者: 37度    时间: 2010-1-31 09:11
左侧额叶见班片样低密度灶,建议mr
作者: 拾荒者    时间: 2010-2-1 06:02
未见明显异常。
作者: 随光逐影    时间: 2010-2-1 08:41
考虑hie。
作者: sunbin    时间: 2010-2-2 00:40
考虑hie。
作者: zjzjr    时间: 2010-2-2 01:10
未见明显异常。
作者: yangyudong333    时间: 2010-2-3 14:46
未见明显异常
作者: 同    时间: 2010-2-5 04:59
考虑新生儿hie。
作者: 黑白光影    时间: 2010-2-8 01:09
考虑hie。




欢迎光临 医影在线 (http://bbs.radida.com/bbs/) Powered by Discuz! X3.2