医影在线

标题: CT24434:70岁 女 腹胀,腹水原因待查 [打印本页]

作者: huhong1111111    时间: 2010-2-1 21:39
标题: CT24434:70岁 女 腹胀,腹水原因待查












































































[本贴已被 翁志蓬 于 2010-2-1 18:07:36 修改过]

作者: zxl51642    时间: 2010-2-1 22:16
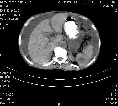
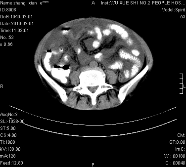
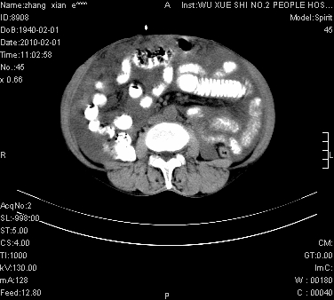
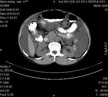
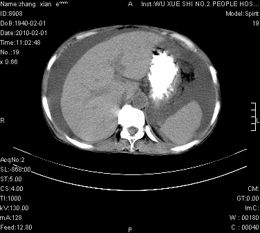
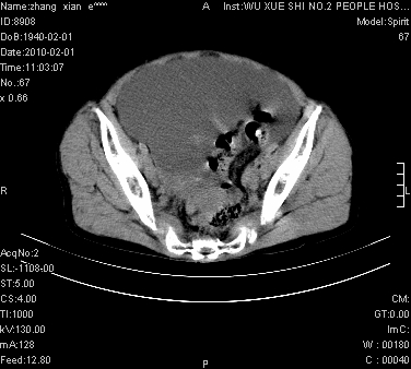
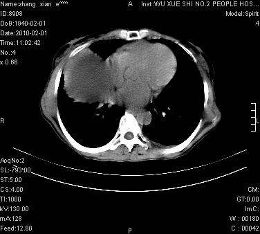
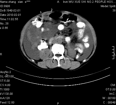
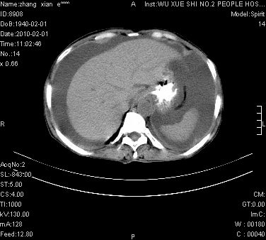
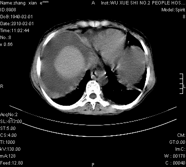
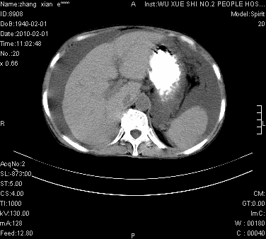
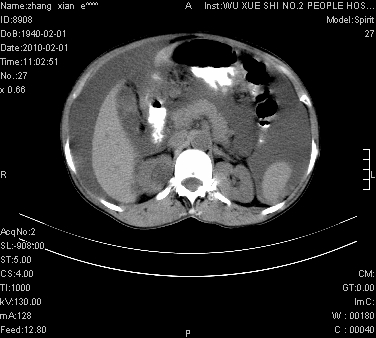
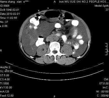
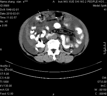
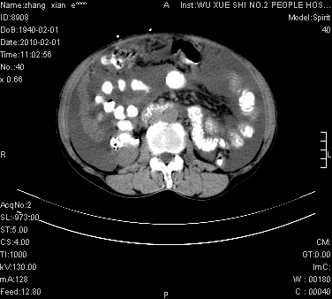
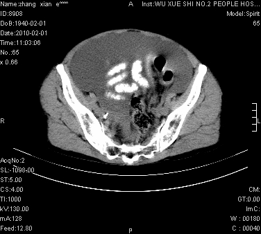
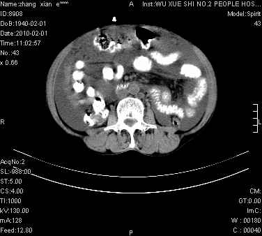
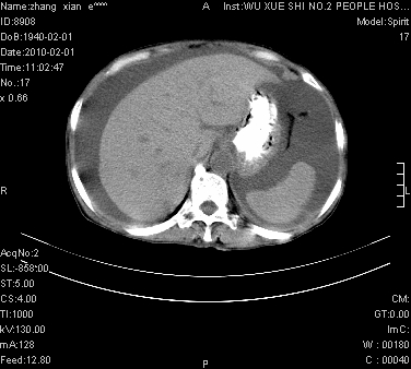
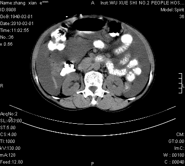
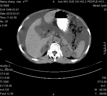
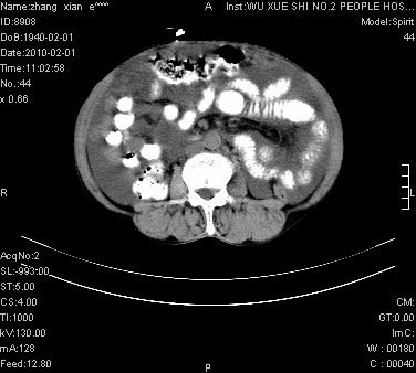
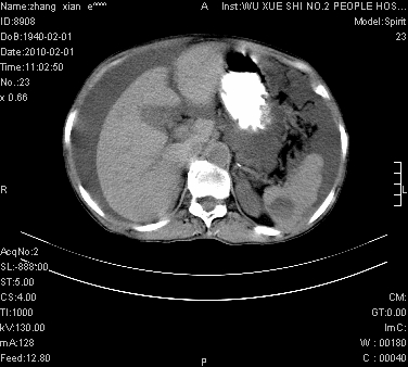
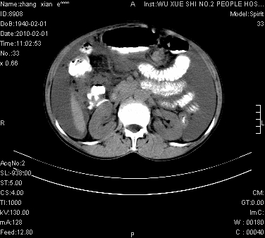
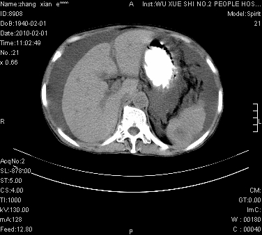
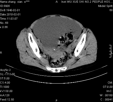
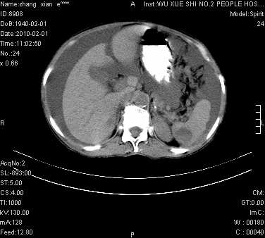
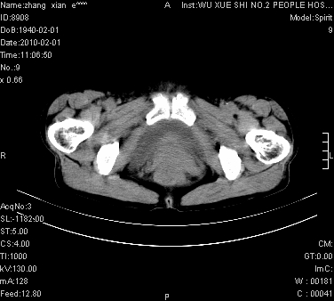
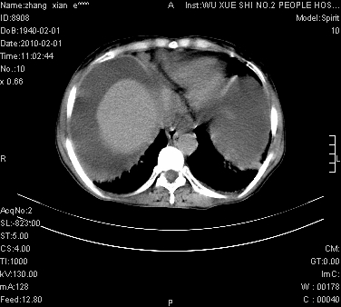
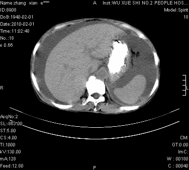
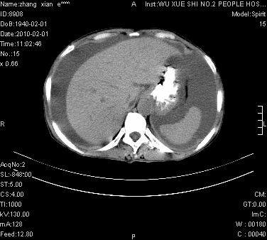
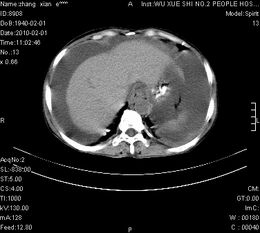
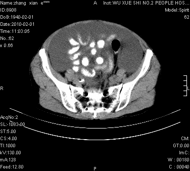
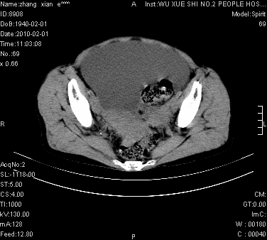
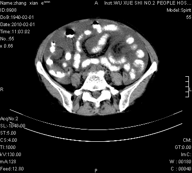
大量腹水,脾脏囊性占位,子宫颈占位,右侧腹股沟淋巴结肿大,建议+c,先查妇科。
作者: yuhongjun    时间: 2010-2-1 22:47
支持 2楼 。
作者: zjzjr    时间: 2010-2-2 00:02
大量腹水,脾囊肿可能性大,建议增强
作者: sunbin    时间: 2010-2-2 00:26
腹盆腔大量积液,子宫增大,子宫颈增大外形不规则,内见低密度影,膀胱后壁显示不清,右腹股沟肿大淋巴结,脾脏囊性占位,子宫颈占位,子宫颈癌?建议增强。
作者: 深泽交通    时间: 2010-2-2 00:42
考虑子宫癌并腹水 脾囊肿
作者: 狙击手    时间: 2010-2-2 00:47
子宫、宫颈占位?转移性腹水?肝性腹水?脾脏囊性占位,囊肿?血管瘤?淋巴瘤?
作者: 黄玉龙    时间: 2010-2-2 04:09
腹盆腔大量积液,子宫增大,子宫颈增大外形不规则,内见低密度影,膀胱后壁显示不清,右腹股沟肿大淋巴结,脾脏囊性占位,子宫颈占位,子宫颈癌?建议增强。
作者: 随光逐影    时间: 2010-2-2 04:16
支持2楼见解。
作者: dyqct    时间: 2010-2-2 05:52
考虑:1、腹膜转移,大量腹水;
      2、脾占位性病变;
      3、左侧卵巢占位性病变,建议增强进一步检查。
作者: 卜一    时间: 2010-2-2 06:26
腹盆腔大量积液,子宫增大,子宫颈增大外形不规则,内见低密度影,膀胱后壁显示不清,右腹股沟肿大淋巴结,脾脏囊性占位,子宫颈占位,子宫颈癌?建议增强。支持!
作者: 二陆一十二    时间: 2010-2-2 06:40
支持10楼
作者: 513ytb    时间: 2010-2-2 07:31
大量腹水,脾囊肿可能性大,建议增强
作者: 影像之路    时间: 2010-2-2 08:40
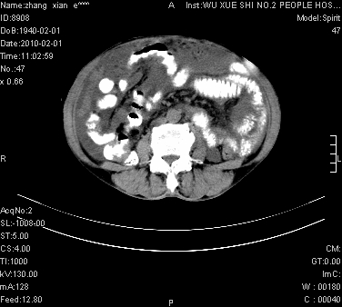
大量腹水,右肾、脾囊肿可能性大          考虑左侧附件区占位,建议增强
作者: 黑白光影    时间: 2010-2-4 04:42
考虑:1、腹膜转移,大量腹水;2、脾占位性病变;3、左侧卵巢占位性病变,建议增强进一步检查。支持




欢迎光临 医影在线 (http://bbs.radida.com/bbs/) Powered by Discuz! X3.2