医影在线

标题: MRI2765:桥小脑角区占位 [打印本页]

作者: 网易博    时间: 2010-2-9 01:27
标题: MRI2765:桥小脑角区占位
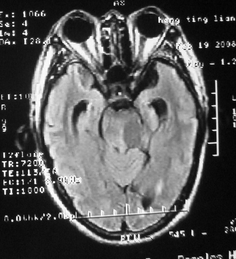
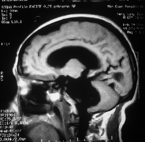
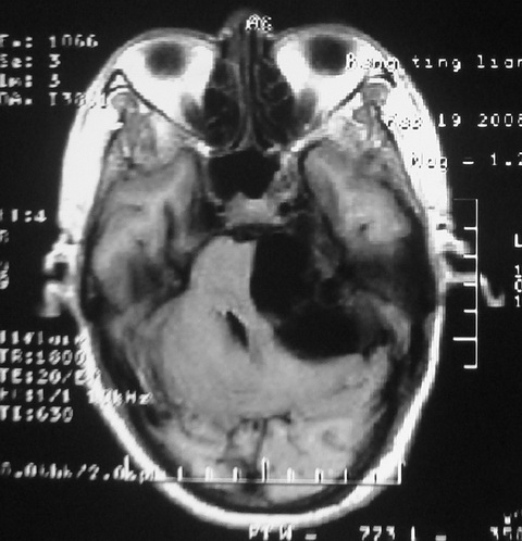
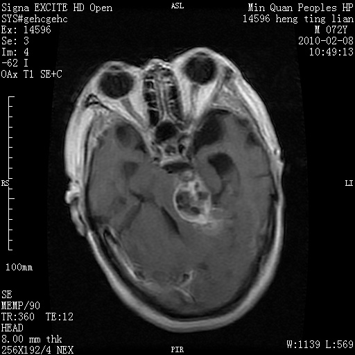
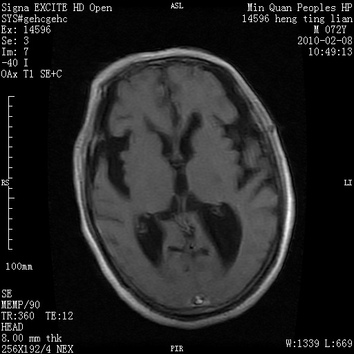
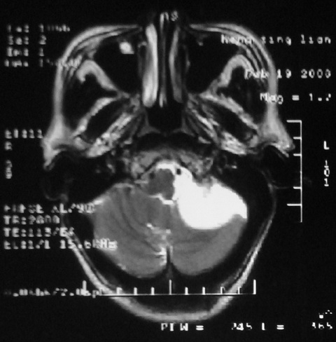
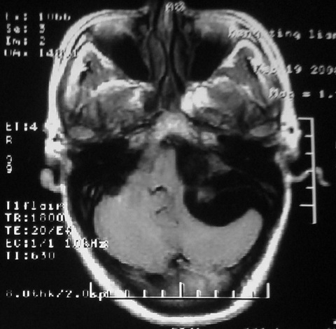
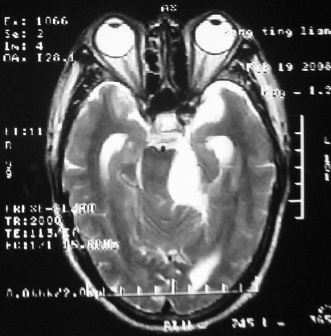
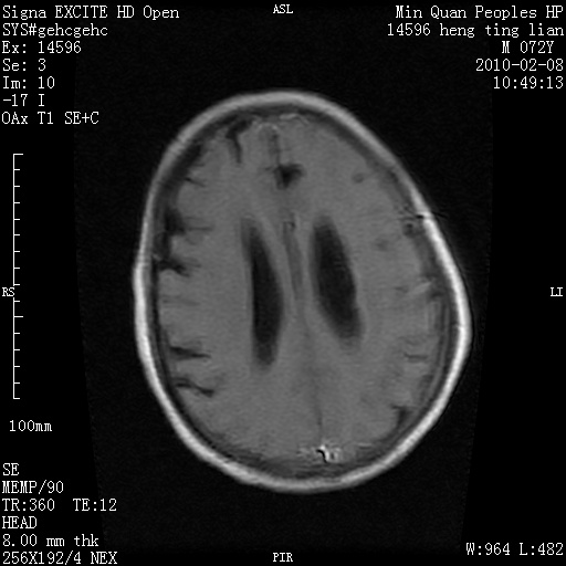
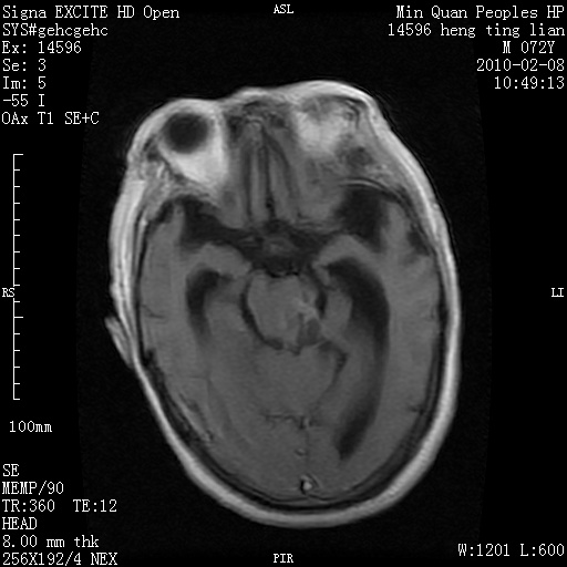
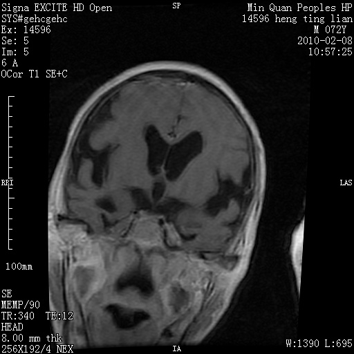
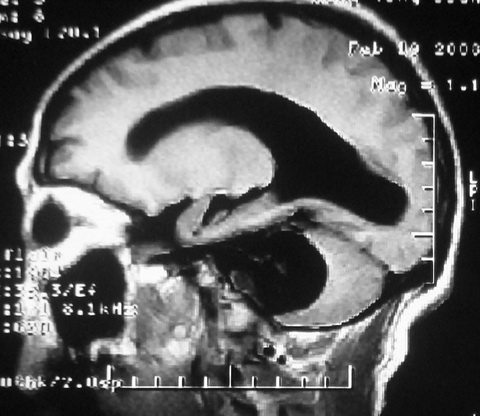
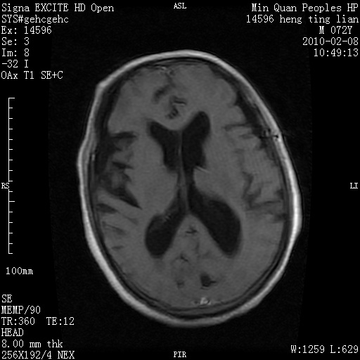
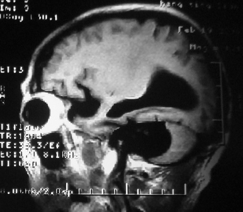
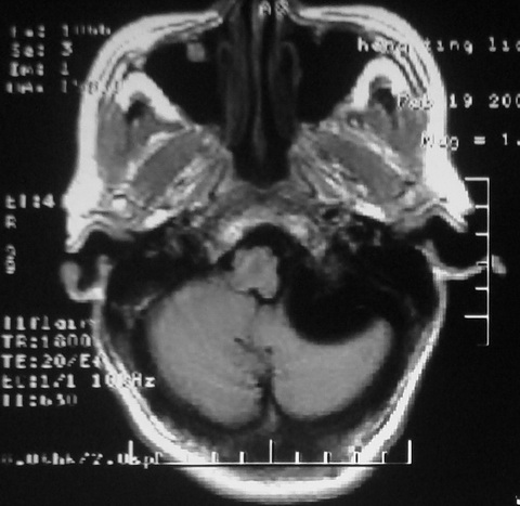
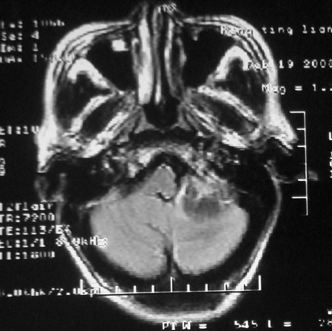
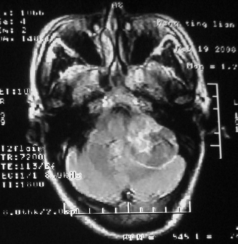
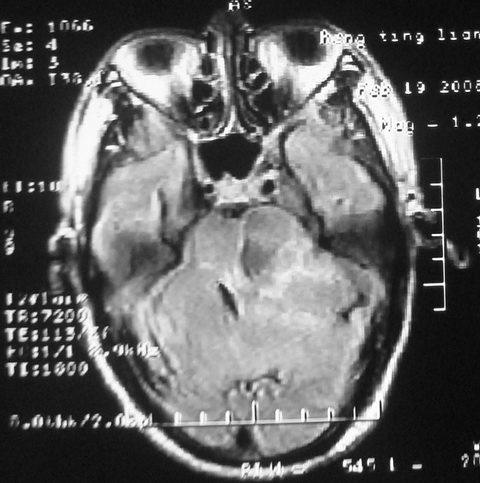
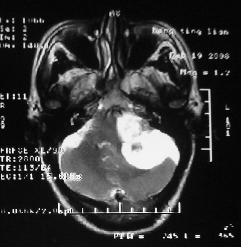
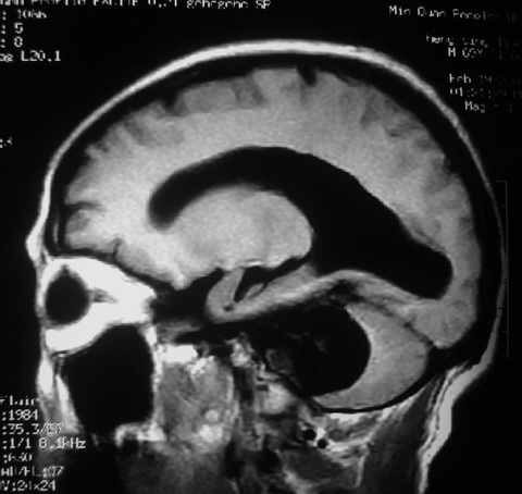
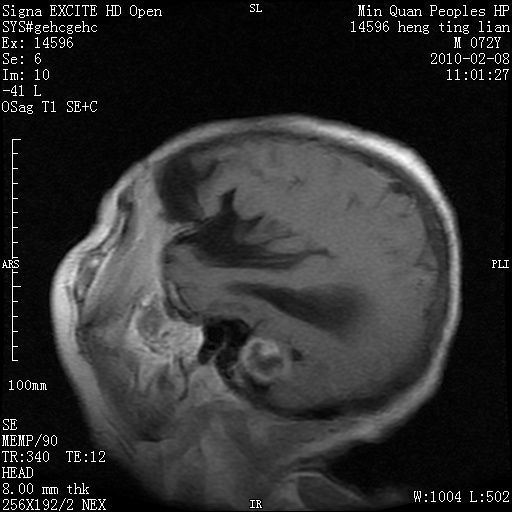
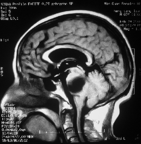
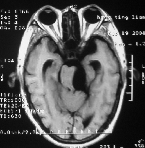
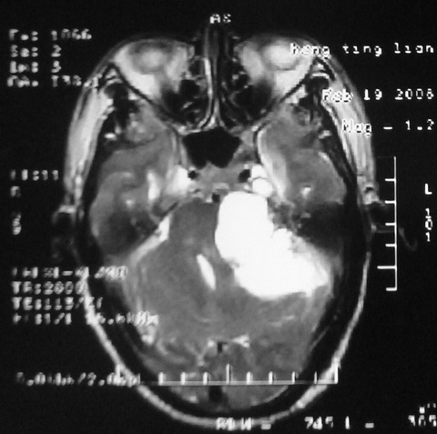
m,72,头疼,头晕两年,伴视力模糊三月,饮食呛咳两天。pe:颈部抵抗,左眼突出,左眼瞳孔约3mm,对光反射消失,双眼失明,伸舌困难,双肺呼吸音粗,心率110次/分,左上肢肌力i级,左下肢屈曲,肌张力高。现有08年2月19mri平扫及10年2月8日mri增强请会诊。ct病灶呈低密度伴散在点、片状等密度区,无明确钙化(无ct片资料可供上传)。[












































[本贴已被 jiajie 于 2010-2-8 23:30:48 修改过]

作者: aa13877358820    时间: 2010-2-9 02:52
脑外肿瘤,表皮样囊肿可能性大。
作者: panyishengct    时间: 2010-2-9 03:58
脑外肿瘤,表皮样囊肿可能性大。
作者: 小翟    时间: 2010-2-9 04:31
脑外肿瘤,囊实性,环状不规则强化,内听道扩大,考虑神经源性肿瘤
作者: 天堂鸟    时间: 2010-2-9 05:25
考虑表皮样囊肿。
作者: fxt2347    时间: 2010-2-9 05:25
脑外肿瘤,囊实性,环状不规则强化,内听道扩大,考虑神经源性肿瘤
作者: pujunzhi    时间: 2010-2-9 05:48
左侧桥小脑区占位伴梗阻性脑积水----考虑 1神经鞘瘤 2室管膜瘤。
作者: 随光逐影    时间: 2010-2-9 07:41
左侧桥小脑区神经鞘瘤伴梗阻性脑积水。
作者: 施明    时间: 2010-2-9 19:05
听神经瘤
作者: 道哥    时间: 2010-2-10 00:25
脑外肿瘤,病灶呈匍匐蔓延,表皮样囊肿可能性大。
作者: 卜一    时间: 2010-2-10 02:46
脑外肿瘤,病灶呈匍匐蔓延,表皮样囊肿可能性大。支持!
作者: lizhiguang    时间: 2010-2-10 16:16
左侧桥脑小脑角区肿瘤并脑积水,考虑听神经瘤,脑膜瘤?
作者: hhhhhh6    时间: 2010-2-10 16:39
考虑听神经瘤
作者: 朱海根    时间: 2010-2-12 03:35
左侧桥脑小脑角区肿瘤并脑积水,考虑听神经瘤,




欢迎光临 医影在线 (http://bbs.radida.com/bbs/) Powered by Discuz! X3.2