医影在线
标题: CT24544:本院职工家属,大家帮忙看看 [打印本页]
作者: 西风 时间: 2010-2-9 22:41
标题: CT24544:本院职工家属,大家帮忙看看
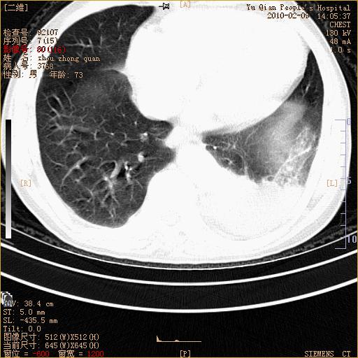
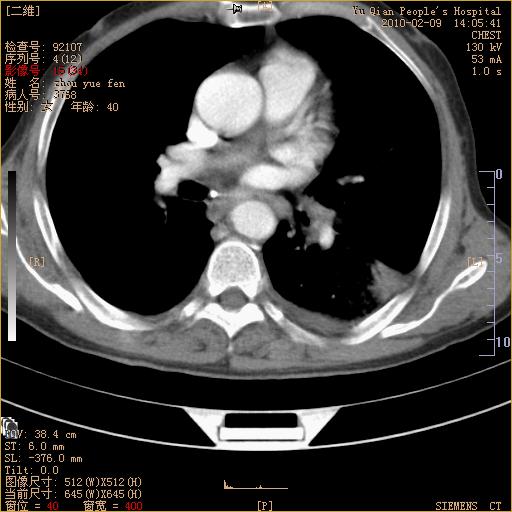
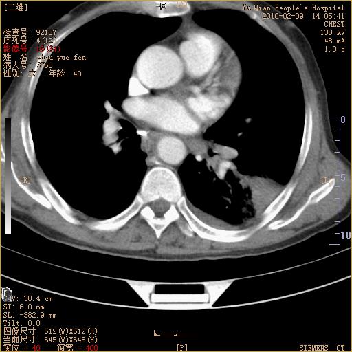
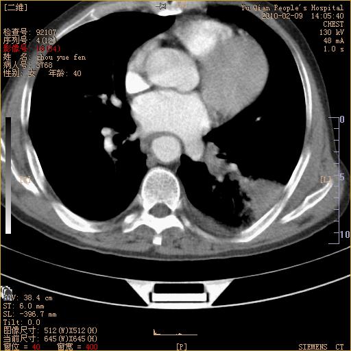
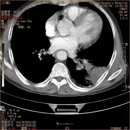
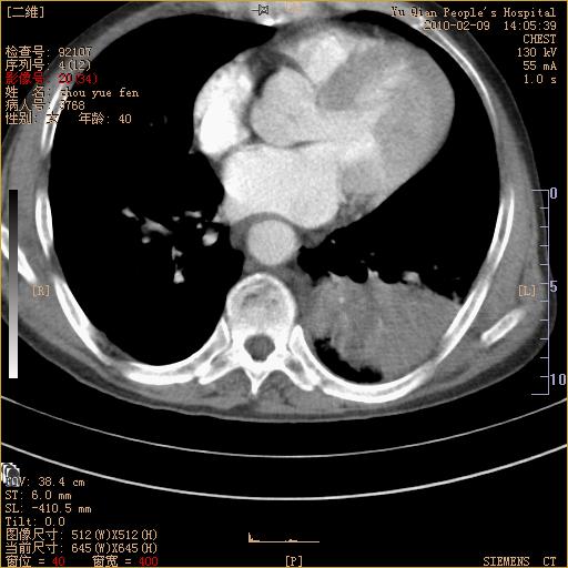
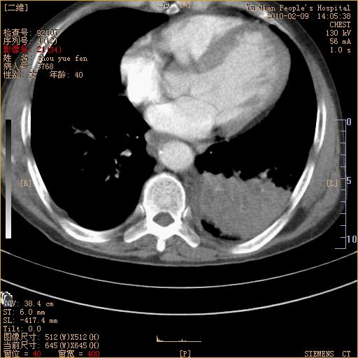
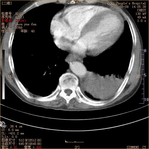
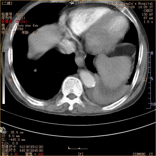
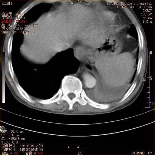
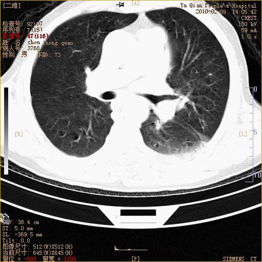
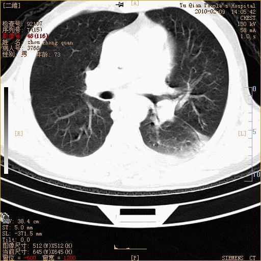
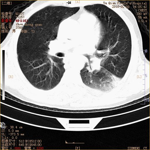
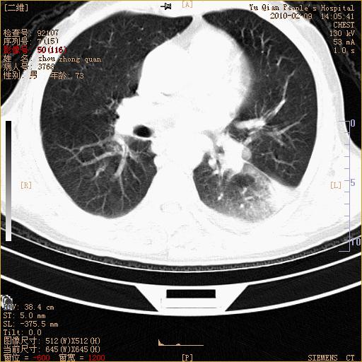
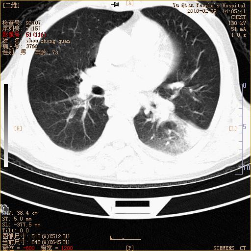
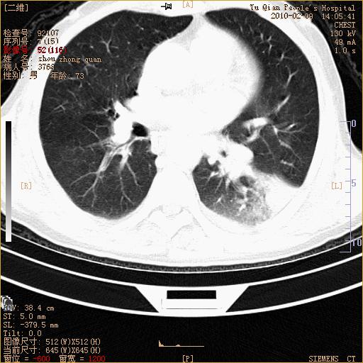
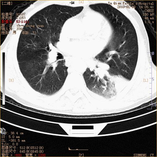
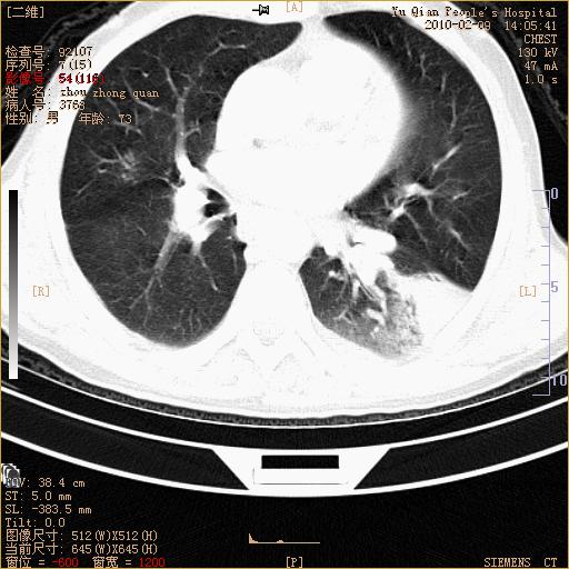
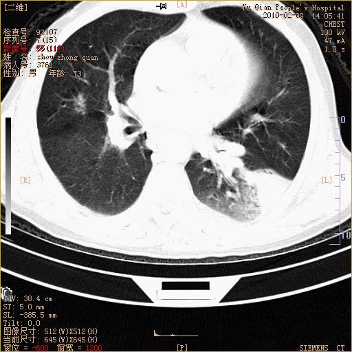
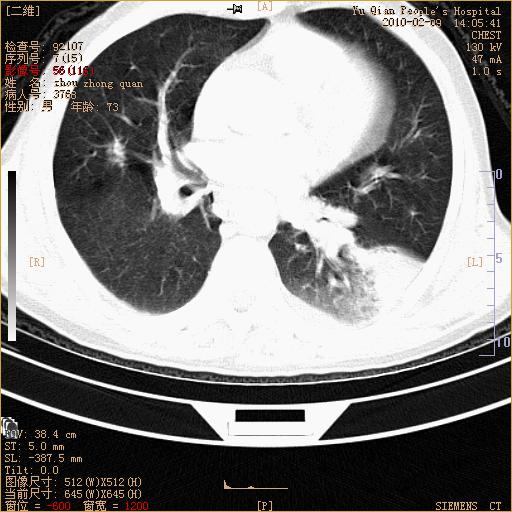
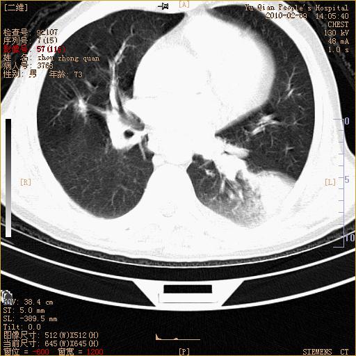
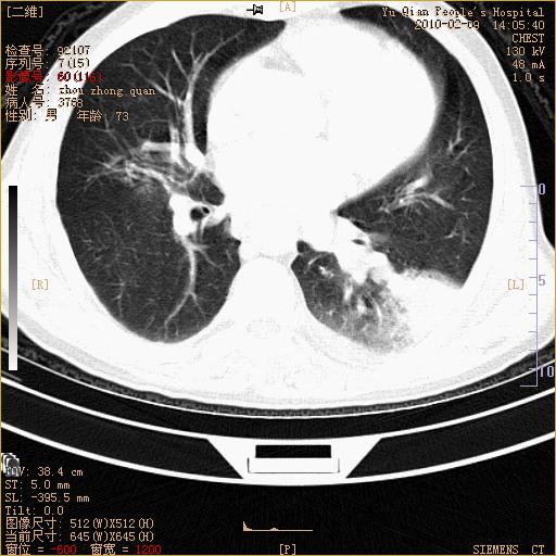
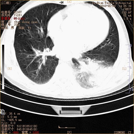
男性,73岁,咳嗽咳血数天,诊为肺ca伴左肺下叶后段阻塞性炎症、肺不张妥否?






































[本贴已被 jiajie 于 2010-2-9 20:36:04 修改过]
作者: 西风 时间: 2010-2-9 22:44
标题: 去
右下肺有转移?
[本贴已被 西风 于 2010-2-9 15:51:47 修改过]
作者: 深泽交通 时间: 2010-2-10 00:01
段性肺不张 还是查个支气管镜
作者: 道哥 时间: 2010-2-10 00:17
段性肺不张,周围有阻塞性炎症、胸水, 还是查个支气管镜。
作者: 杀毒软件 时间: 2010-2-10 00:31
做气管镜明确是否为占位所致改变,余赞同楼主意见。
作者: zxl51642 时间: 2010-2-10 01:07
支持楼主意见
作者: 随光逐影 时间: 2010-2-10 01:14
支持楼主意见。
作者: GUZHONGLIANGDDD 时间: 2010-2-10 01:29
支持楼主的诊断意见
左下肺中央型肺癌伴结段形肺不张,左侧胸腔积液,纵隔内见部分增大淋巴结(反应性增生或转移)
左下基底干支气管明显变窄。
作者: 科室第一人 时间: 2010-2-10 01:40
考虑为肺癌
作者: 卜一 时间: 2010-2-10 02:11
支持楼主意见
作者: 狙击手 时间: 2010-2-10 02:13
只能说可能,易纤维支气管镜进检。
作者: sliucun01 时间: 2010-2-10 02:59
楼主的意见应该是正确
做气管镜可以证实
作者: 老爱克斯 时间: 2010-2-10 03:00
左肺下叶基底段支气管狭窄,左肺门增大,左肺下叶团片状病灶。中心型肺癌伴柱塞性炎症可能大,建议支气管镜检查。
作者: 513ytb 时间: 2010-2-10 03:10
段性肺不张,周围有阻塞性炎症、胸水, 还是查个支气管镜.
作者: 王显瑞 时间: 2010-2-10 03:28
隔离肺也要考虑
作者: 天堂鸟 时间: 2010-2-10 03:40
支持楼主的诊断意见
左下肺中央型肺癌伴节段性肺不张,左侧胸腔积液,纵隔内见肿大淋巴结
左下基底段支气管变窄。建议进一步纤支镜检查。
作者: shuiyuan 时间: 2010-2-10 05:52
1、左肺下叶后基地段肺癌伴阻塞性炎症,左下肺门淋巴结转移。2、左侧胸腔积液。
作者: pujunzhi 时间: 2010-2-10 07:06
支持楼主意见。
作者: LIAOQIANG 时间: 2010-2-10 18:49
支持楼主意见。
作者: 黑白光影 时间: 2010-2-11 04:41
支持楼主意见。
作者: mlfx123321 时间: 2010-2-11 16:44
段性肺不张,周围有阻塞性炎症、胸水, 还是查个支气管镜
| 欢迎光临 医影在线 (http://bbs.radida.com/bbs/) |
Powered by Discuz! X3.2 |