医影在线

标题: CT24548:男 31 咳嗽 咯血一天 行CT检查 [打印本页]

作者: gennixue    时间: 2010-2-10 03:14
标题: CT24548:男 31 咳嗽 咯血一天 行CT检查
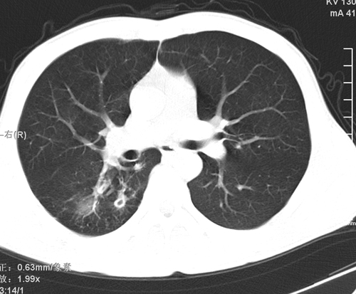
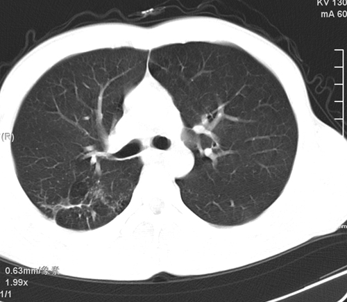
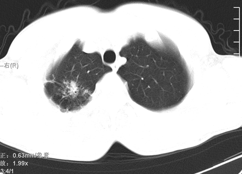
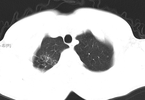
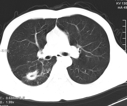
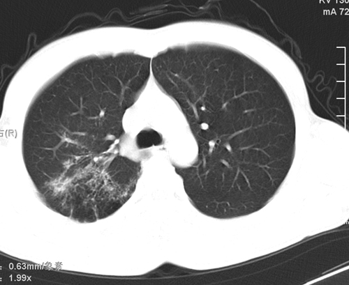
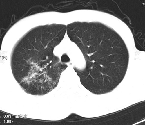
ct考虑结核 但化验结果示白细胞总数 淋巴均正常,血沉7mm/h不快,请看看结核 支扩还是其他





























[本贴已被 jiajie 于 2010-2-9 20:39:10 修改过]

作者: 王显瑞    时间: 2010-2-10 03:19
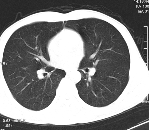
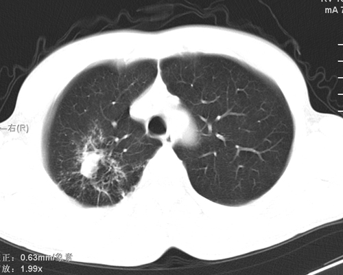
右肺上叶尖端,后段下叶背段结核伴空洞形成
作者: 天堂鸟    时间: 2010-2-10 03:22
首先还是考虑结核。
作者: zxl51642    时间: 2010-2-10 04:21
标题: 回复:男 31 咳嗽 咯血一天 行ct检查
以下是引用王显瑞在2010-2-9 19:19:00的发言:[br]右肺上叶尖端,后段下叶背段结核伴空洞形成

作者: 杀毒软件    时间: 2010-2-10 04:56
支持大家
作者: 卜一    时间: 2010-2-10 05:06
继发性肺结核伴空洞形成!
作者: 水蓝色的    时间: 2010-2-10 05:31
支持结核。
作者: shuiyuan    时间: 2010-2-10 05:43
右肺继发性肺结核伴空洞形成!
作者: 心路寻觅    时间: 2010-2-10 06:07
好发部位+多种性质病灶=典型tb
作者: pujunzhi    时间: 2010-2-10 06:54
继发性肺结核伴空洞形成!
作者: 健力宝    时间: 2010-2-10 09:09
标题: 回复:ct24548:男 31 咳嗽 咯血一天 行ct检查
以下是引用王显瑞在2010-2-9 19:19:00的发言:[br]右肺上叶尖端,后段下叶背段结核伴空洞形成

作者: LIAOQIANG    时间: 2010-2-10 18:30
考虑右肺继发性肺结核伴空洞形成。
作者: 随光逐影    时间: 2010-2-11 00:32
右肺继发性肺结核伴右肺下叶背段空洞形成。
作者: 黑白光影    时间: 2010-2-11 04:56
继发性肺结核伴空洞形成
作者: mlfx123321    时间: 2010-2-11 16:35
右肺上叶尖端,后段下叶背段结核伴空洞形成




欢迎光临 医影在线 (http://bbs.radida.com/bbs/) Powered by Discuz! X3.2