医影在线

标题: MRI2766:请会诊。 [打印本页]

作者: 天堂鸟    时间: 2010-2-10 03:19
标题: MRI2766:请会诊。
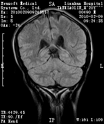
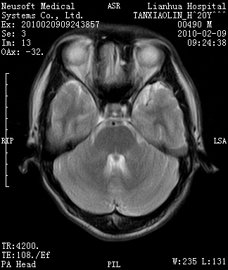
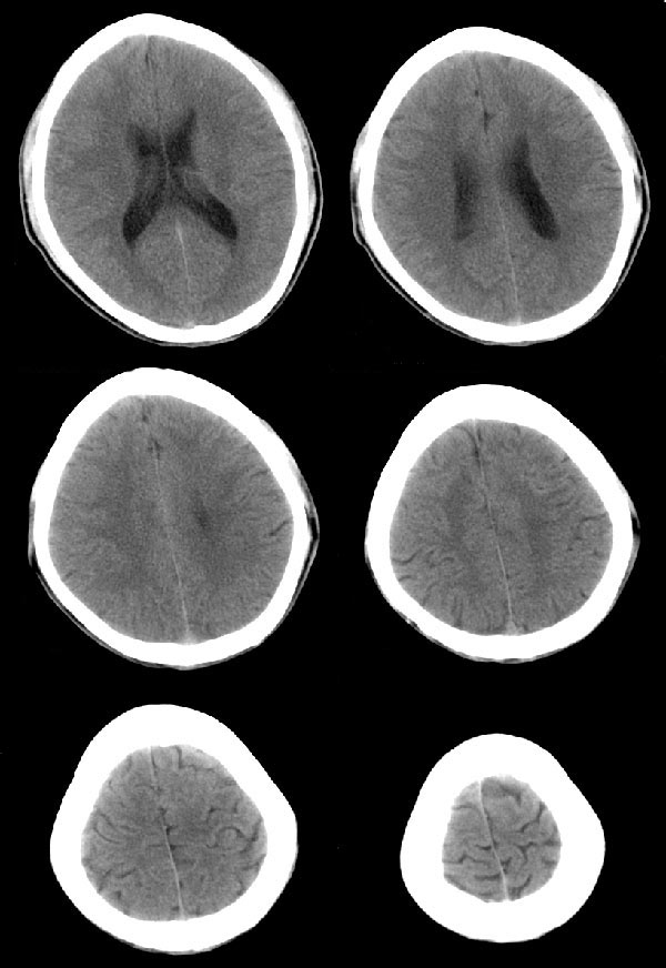
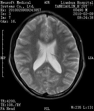
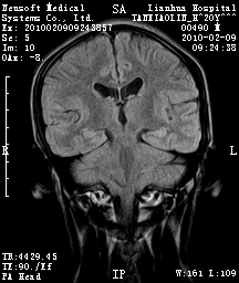
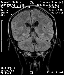
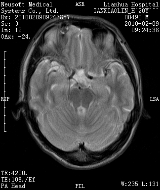
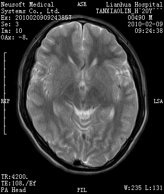
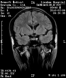
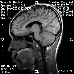
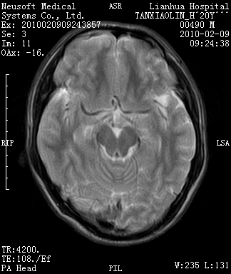
20岁男性患者,平时偶有头痛而无其他不适,现因持续头痛服药后无缓解而来院就诊。




































[本贴已被 翁志蓬 于 2010-2-19 1:20:23 修改过]

作者: maoxiaow    时间: 2010-2-10 04:17
我看了半天,没有发现异常。
作者: 天海    时间: 2010-2-10 08:37
松果体囊肿?
作者: hhhhhh6    时间: 2010-2-10 16:35
我也没看到什么,各位老师你们搞定吧
作者: 天堂鸟    时间: 2010-2-10 21:26
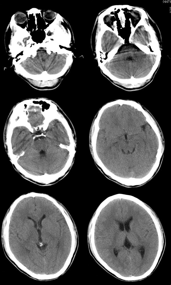
松果体区占位继发轻度脑积水?该患者有ct资料,我已发上。
作者: 随光逐影    时间: 2010-2-12 17:32
考虑松果体囊肿。
作者: 卜一    时间: 2010-2-13 02:46
松果体囊肿?
作者: 晨风    时间: 2010-2-13 19:32
标题: 回复:mri2766:请会诊。
以下是引用随光逐影在2010-2-12 9:32:00的发言:[br]考虑松果体囊肿。

作者: pujunzhi    时间: 2010-2-15 17:04
考虑松果体囊肿。




欢迎光临 医影在线 (http://bbs.radida.com/bbs/) Powered by Discuz! X3.2