医影在线

标题: CT24555:82岁女性,因为反复胸腹部积液进行CT检查,结果如下 [打印本页]

作者: fanshl    时间: 2010-2-10 09:38
标题: CT24555:82岁女性,因为反复胸腹部积液进行CT检查,结果如下
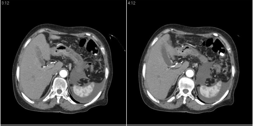
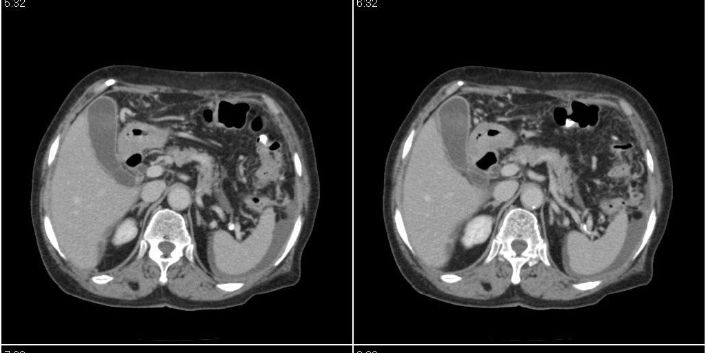
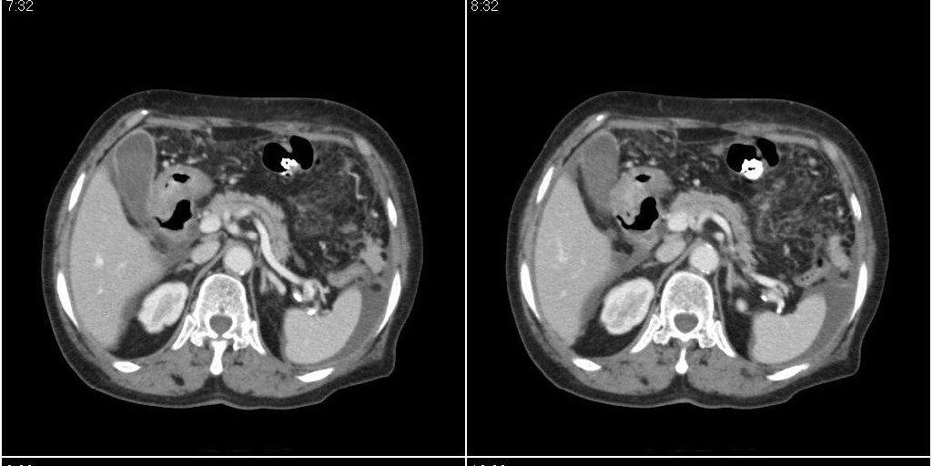
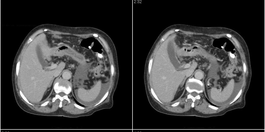
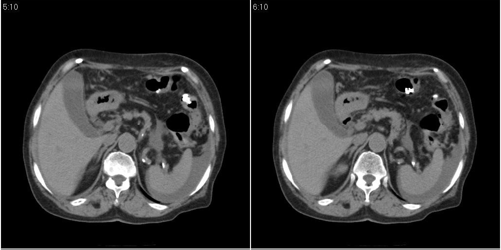
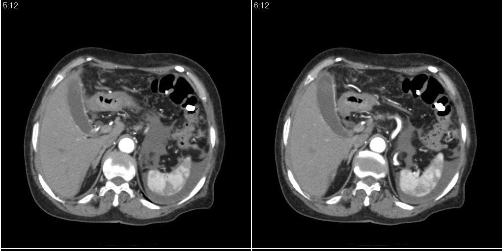
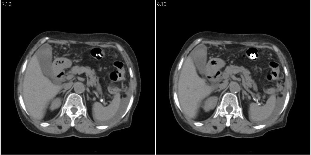
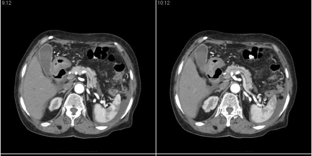
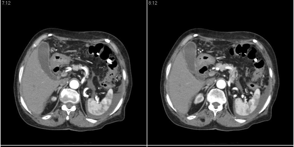
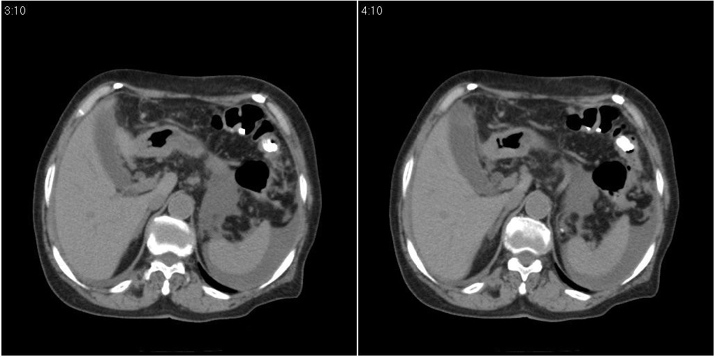
胆囊有问题么,是结石么?胆囊内异常密度平扫30hu左右,增强各期无变化。























[本贴已被 jiajie 于 2010-2-10 9:19:43 修改过]

作者: 卜一    时间: 2010-2-10 14:52
不排除泥沙样胆固醇结石!
作者: cefcmj    时间: 2010-2-10 15:13
胆囊内异常密度影增强各期无变化,考虑泥沙样结石。
作者: hhhhhh6    时间: 2010-2-10 15:38
标题: 回复:82岁女性,因为反复胸腹部积液进行ct检查,结果如
以下是引用cefcmj在2010-2-10 7:13:00的发言:[br]胆囊内异常密度影增强各期无变化,考虑泥沙样结石。[br]

作者: zgb5618    时间: 2010-2-10 16:05
考虑泥沙样结石
作者: 杀毒软件    时间: 2010-2-10 16:17
支持
作者: 心路寻觅    时间: 2010-2-10 16:29
标题: 回复:82岁女性,因为反复胸腹部积液进行ct检查,结果如
以下是引用cefcmj在2010-2-10 7:13:00的发言:[br]胆囊内异常密度影增强各期无变化,考虑泥沙样结石。[br]

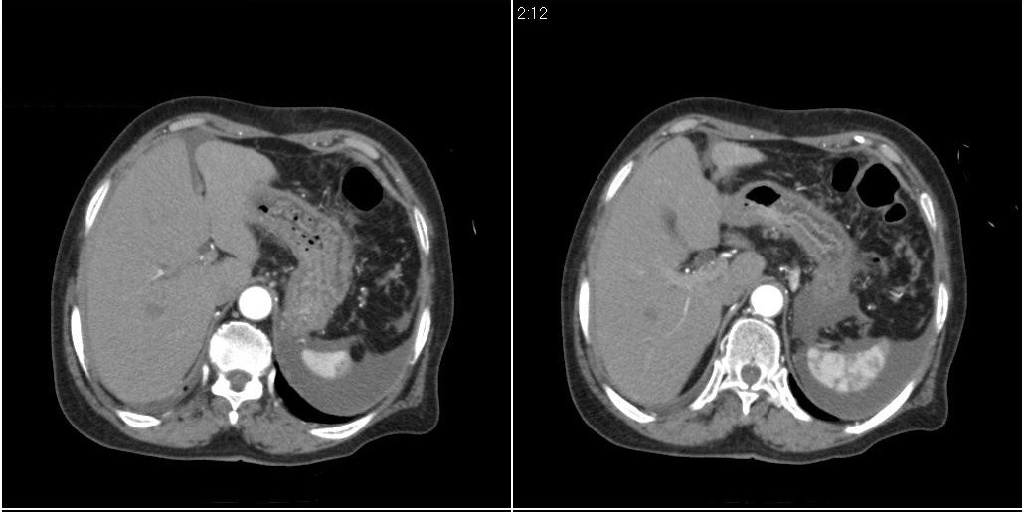
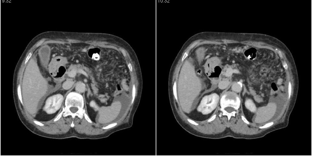
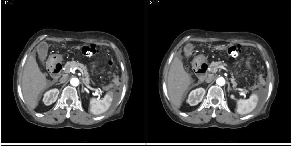
支持!另腹腔少量积液。
作者: 云翔    时间: 2010-2-10 16:39
要查妇科
作者: zxl51642    时间: 2010-2-10 17:02
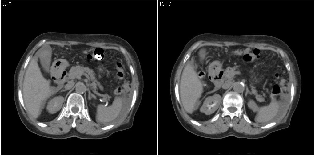
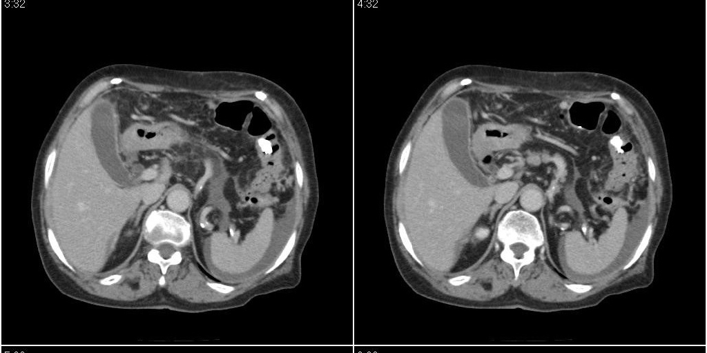
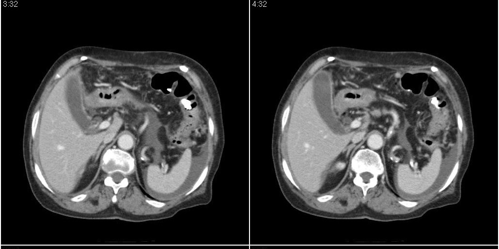
胆囊炎,胆结石,胆囊窝积液,胸腹水。
作者: 深泽交通    时间: 2010-2-10 17:02
支持结石
作者: LIAOQIANG    时间: 2010-2-10 17:42
支持考虑泥沙样结石。
作者: sunbin    时间: 2010-2-10 19:12
胆囊内稍高密度影,无强化,胆囊壁增厚,周围见低密度影,右侧膈肌角及脾周水样密度,支持胆囊泥沙样结石,胆囊炎、胆囊窝积液,胸腹水。
作者: shuiyuan    时间: 2010-2-10 23:20
支持胆囊泥沙样结石,做个b超对结石更有特异性。
作者: 随光逐影    时间: 2010-2-11 00:53
1)胆囊炎,胆结石;胆囊新生物待排。2)胆囊窝积液。3)腹水。4)右侧少量胸腔积液。
作者: 黑白光影    时间: 2010-2-11 05:10
1)胆囊炎,胆结石;胆囊新生物待排。2)胆囊窝积液。3)腹水。4)右侧少量胸腔积液。
作者: yangyudong333    时间: 2010-2-11 15:48
胆囊炎,胆结石,胆囊窝积液,胸腹水。
作者: mlfx123321    时间: 2010-2-11 16:55
不排除泥沙样胆固醇结石!




欢迎光临 医影在线 (http://bbs.radida.com/bbs/) Powered by Discuz! X3.2