医影在线
标题: PED3104:男,7岁,反复腹痛3年,再发2天。WBC:10.8X10 9/L,粪 [打印本页]
作者: lffw 时间: 2010-2-18 18:11
标题: PED3104:男,7岁,反复腹痛3年,再发2天。WBC:10.8X10 9/L,粪































[本贴已被 lffw 于 2010-2-18 22:11:49 修改过]
[本贴已被 翁志蓬 于 2010-2-18 23:28:57 修改过]
作者: 捉水 时间: 2010-2-18 18:34
应该是个成年女性病人吧?应该是个结核吧?
作者: 老爱克斯 时间: 2010-2-18 18:38
右肺多发斑片状,点条状病灶,密度不均,边界较清晰,可见点状钙化。纵隔内见多发淋巴结钙化。应该考虑肺结核可能大。反复腹痛是否有腹腔结核或肠结核?
作者: 卜一 时间: 2010-2-18 19:29
右肺多发斑片状,点条状病灶,密度不均,边界较清晰,可见点状钙化。纵隔内见多发淋巴结钙化。应该考虑肺结核可能大。反复腹痛是否有腹腔结核或肠结核?支持!
作者: zxl51642 时间: 2010-2-18 22:29
与上例为重复病例,重新发!
作者: 深泽交通 时间: 2010-2-18 22:59
支持肺结核
作者: revenger 时间: 2010-2-19 01:18
胸部明显是成年女性,定位象上双侧补过牙齿。轴位像上双侧乳腺退化。可以认定胸部与腹部不是一个人。
作者: 湘江一滴 时间: 2010-2-19 01:26
标题: 回复:男,7岁,反复腹痛3年,再发2天。wbc:10.8x10 9/l,粪
以下是引用老爱克斯新网客在2010-2-18 10:38:00的发言:[br]右肺多发斑片状,点条状病灶,密度不均,边界较清晰,可见点状钙化。纵隔内见多发淋巴结钙化。应该考虑肺结核可能大。反复腹痛是否有腹腔结核或肠结核?
支持
作者: 随光逐影 时间: 2010-2-19 02:42
1)右肺继发性肺结核并右肺上叶节段性肺不张,支气管扩张。2)纵隔内多发淋巴结钙化。
作者: 地球上的 时间: 2010-2-19 02:55
可以认定胸部与腹部不是一个人。
作者: lffw 时间: 2010-2-19 06:17
对不起,被各位前辈看出来了错误,是我修改时搞错了,发重了,在此,小生在这向各位赔礼道歉,浪费各位宝贵的时间,还希望各位前辈不惜赐教。
作者: dyqct 时间: 2010-2-19 16:36
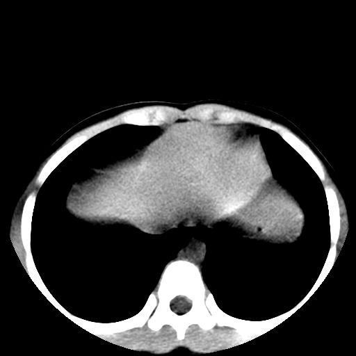
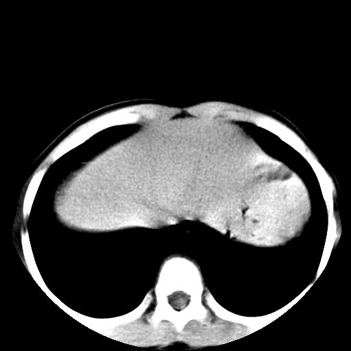
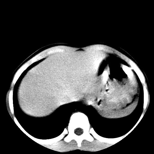
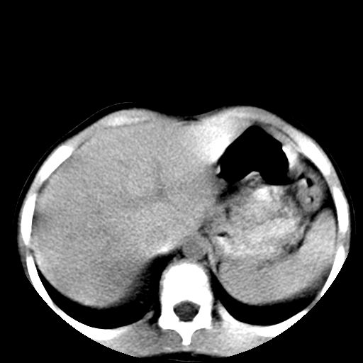
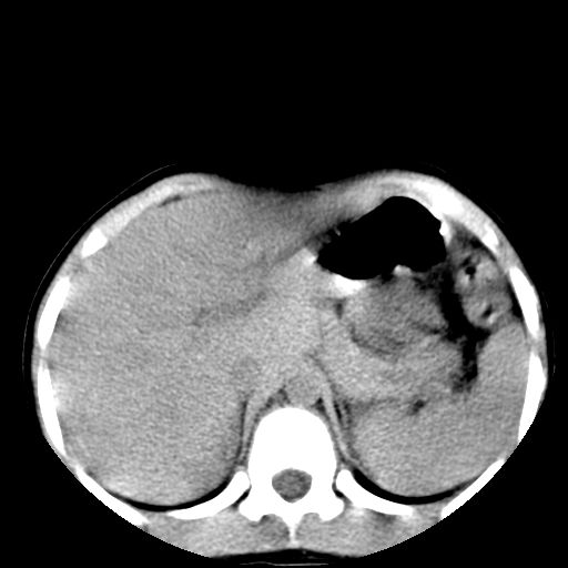
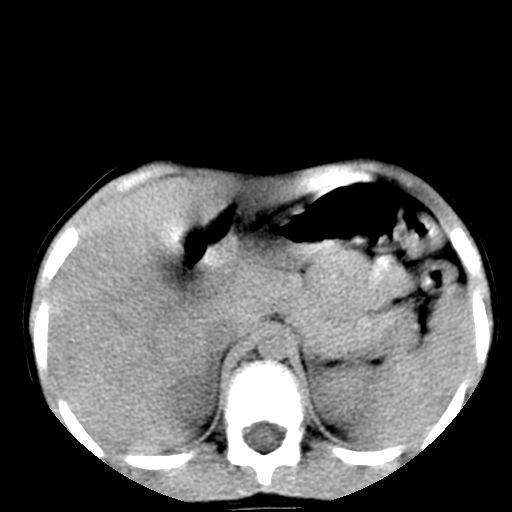
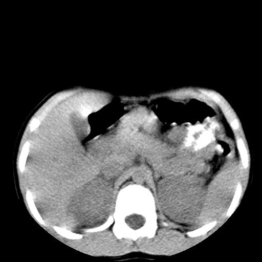
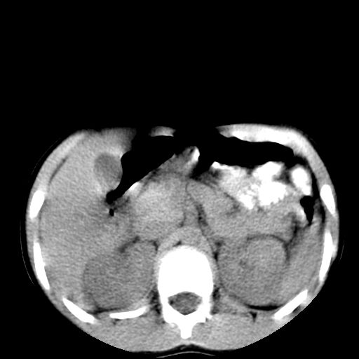
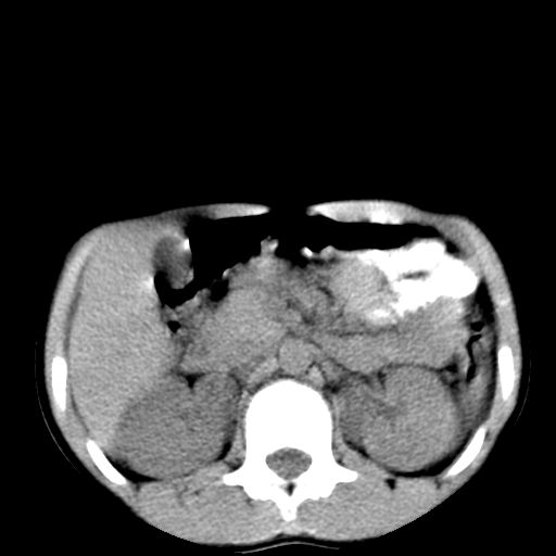
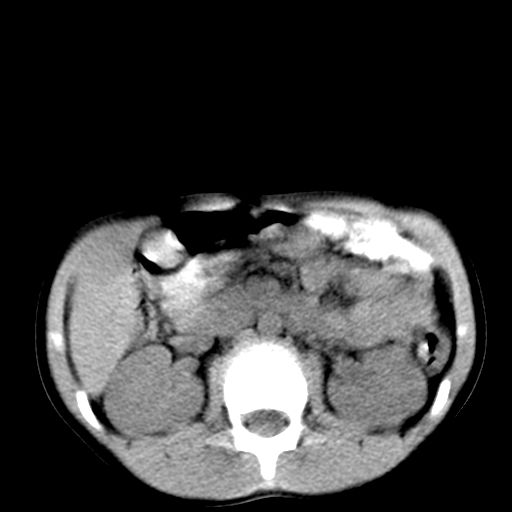
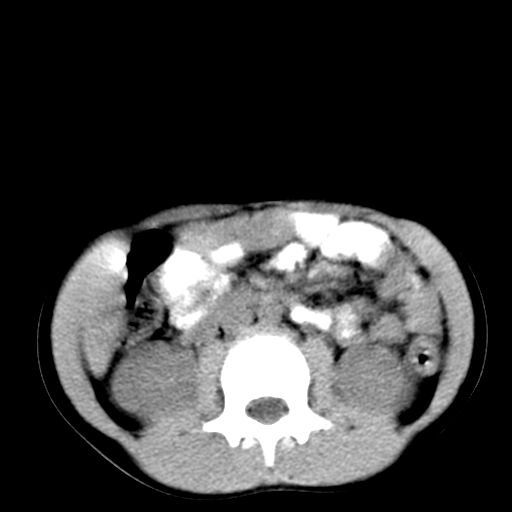
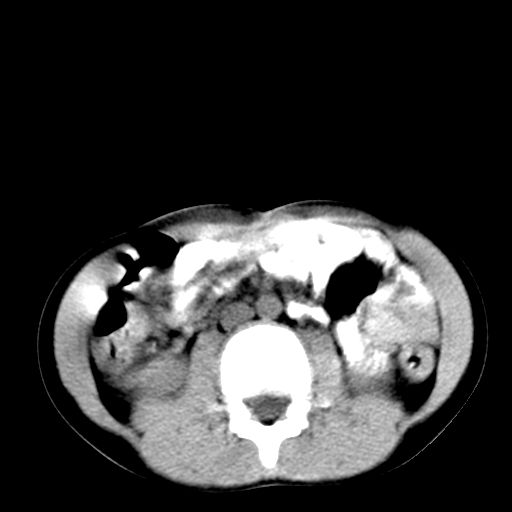
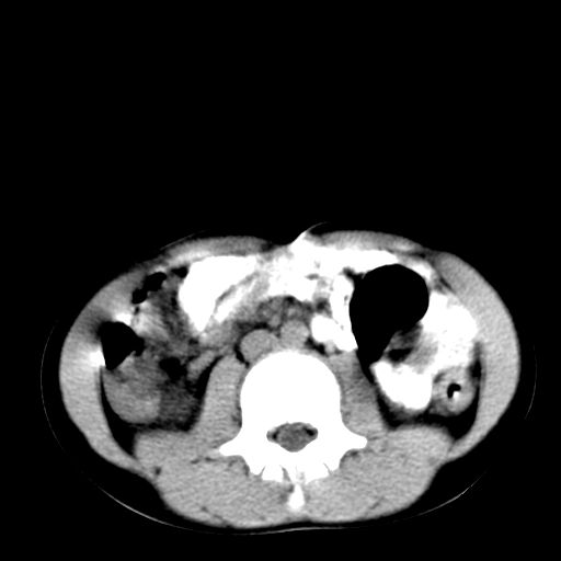
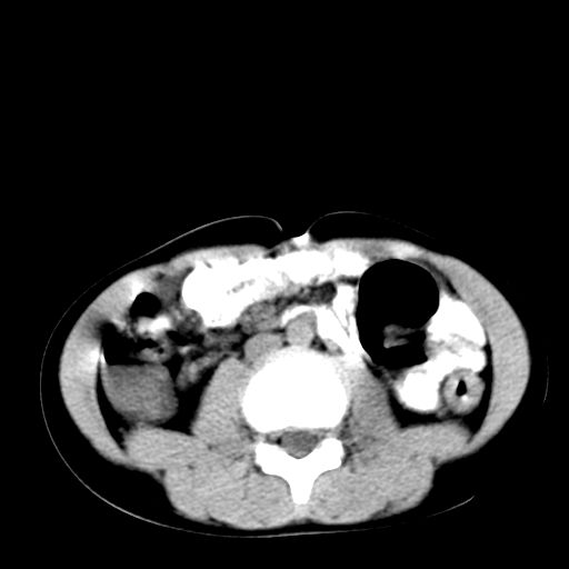
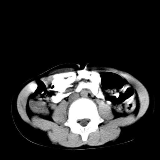
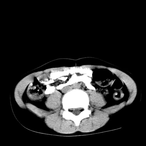
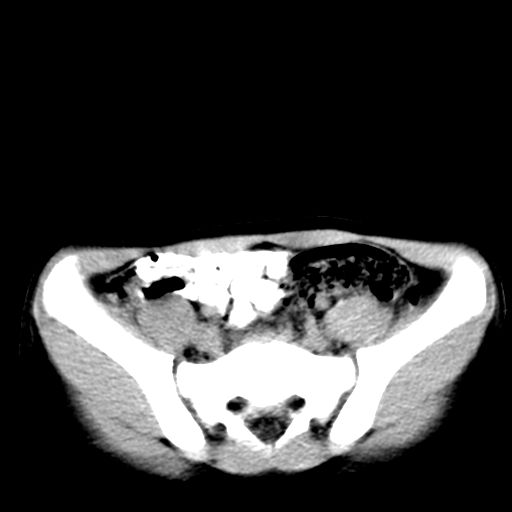
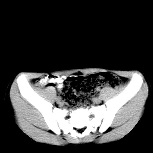
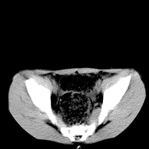
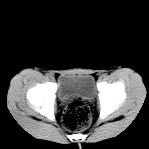
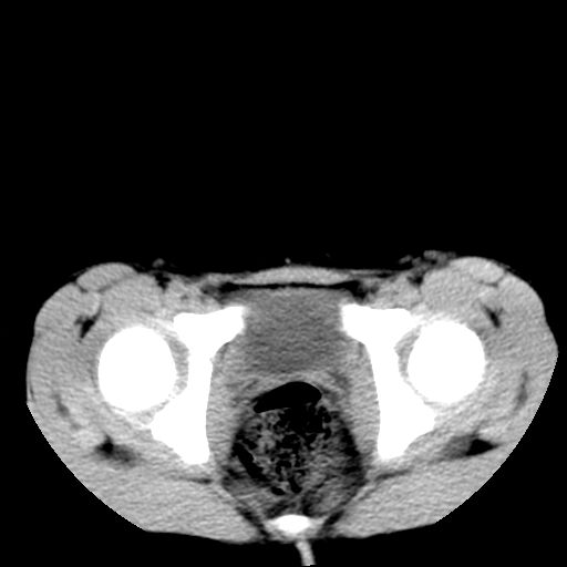
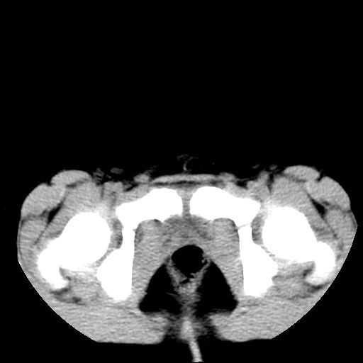
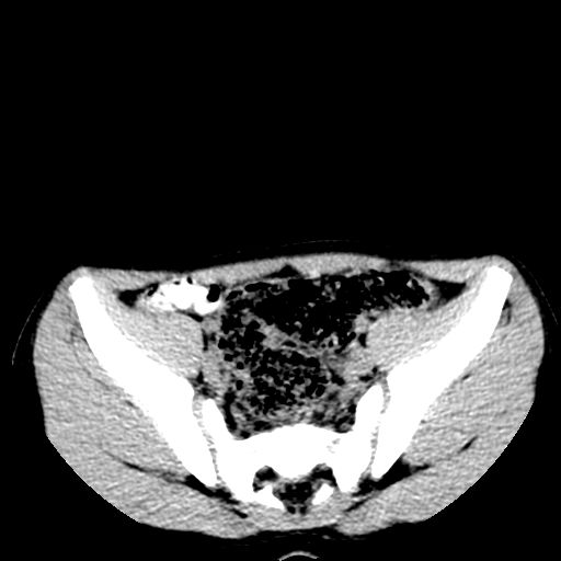
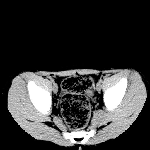
腹部好象未见异常。
作者: zxl51642 时间: 2010-2-20 22:44
腹部ct平扫未见明确异常
作者: 拾荒者 时间: 2010-2-26 05:34
腹部ct平扫不能提示哪里有病变。
作者: 黑白光影 时间: 2010-2-26 06:17
腹部ct平扫未见明确异常
| 欢迎光临 医影在线 (http://bbs.radida.com/bbs/) |
Powered by Discuz! X3.2 |