医影在线
标题: PED3106:男,2岁,腹胀1月。 [打印本页]
作者: zlh 时间: 2010-2-20 18:40
标题: PED3106:男,2岁,腹胀1月。

































[本贴已被 zlh 于 2010-2-20 10:53:17 修改过]
[本贴已被 zlh 于 2010-2-20 10:55:09 修改过]
[本贴已被 jiajie 于 2010-2-20 11:12:50 修改过]
作者: zxl51642 时间: 2010-2-20 23:05
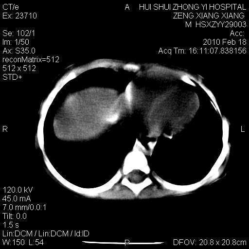
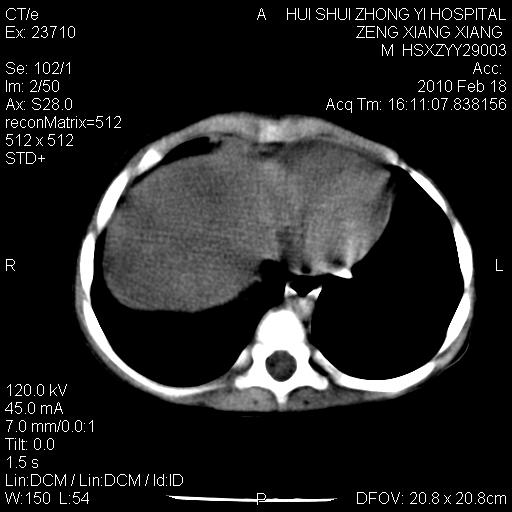
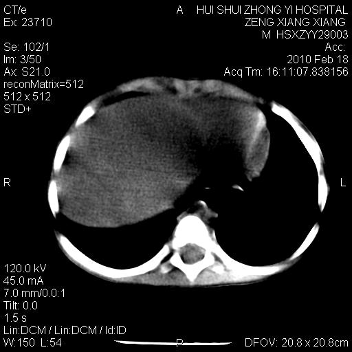
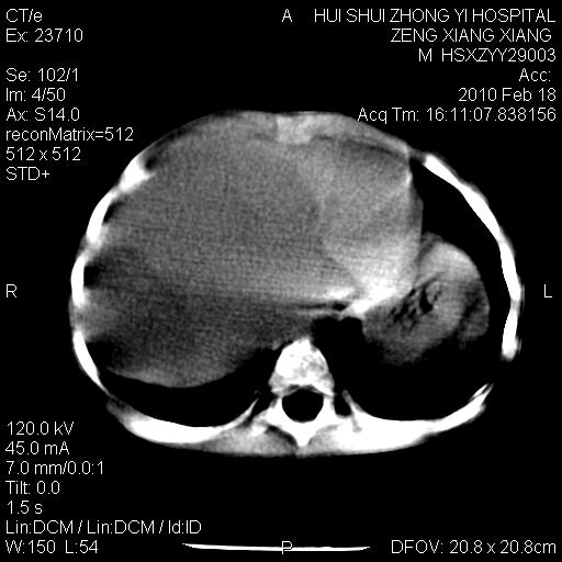
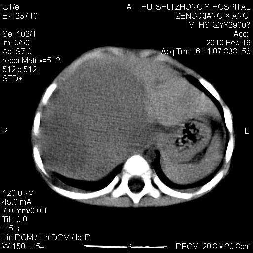
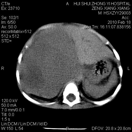
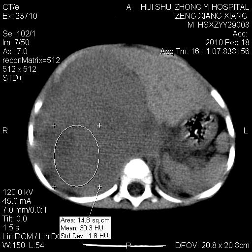
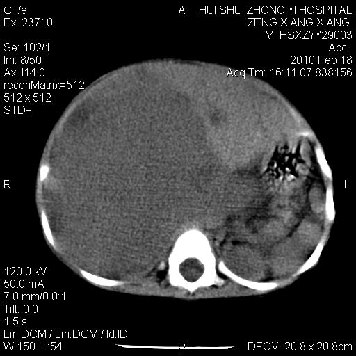
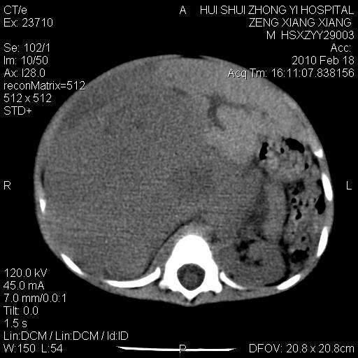
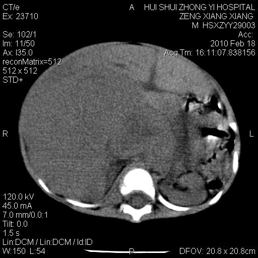
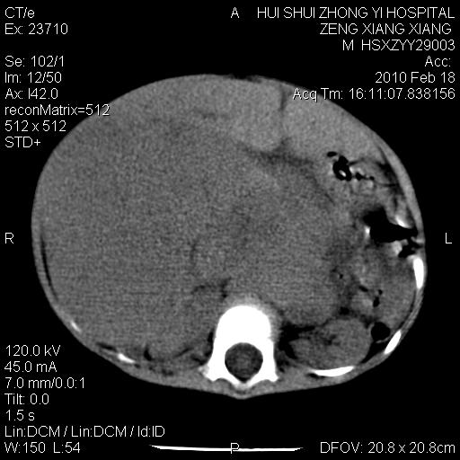
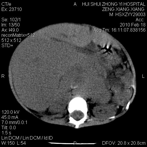
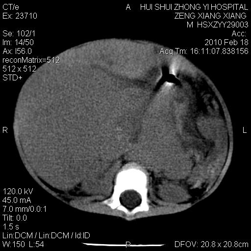
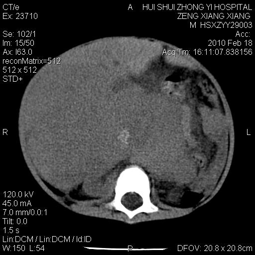
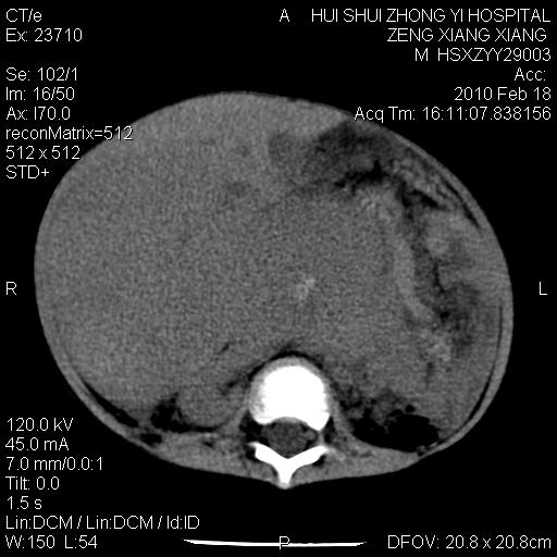
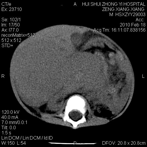
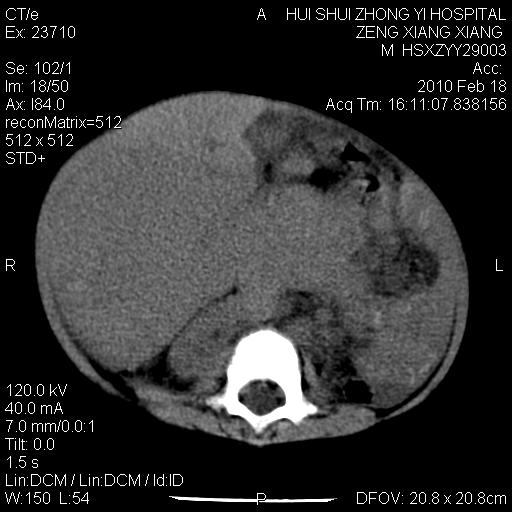
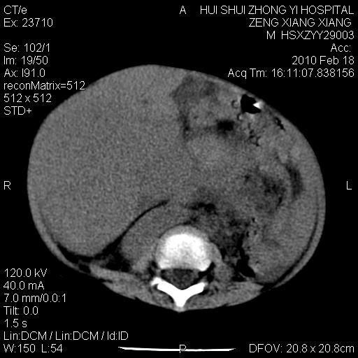
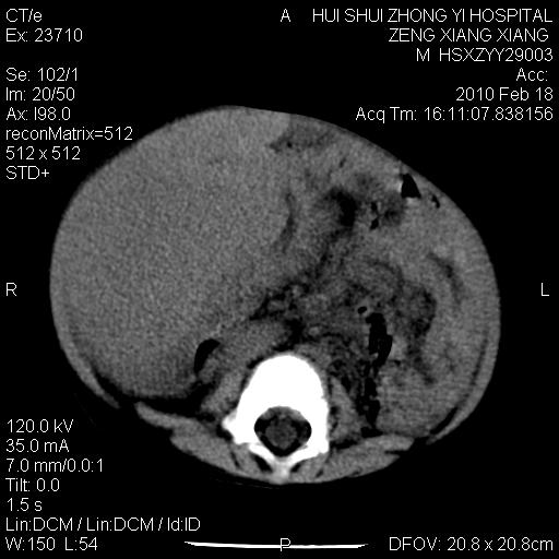
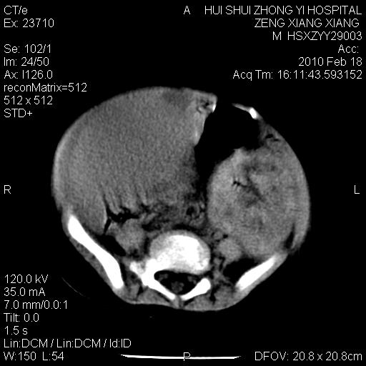
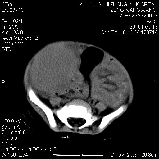
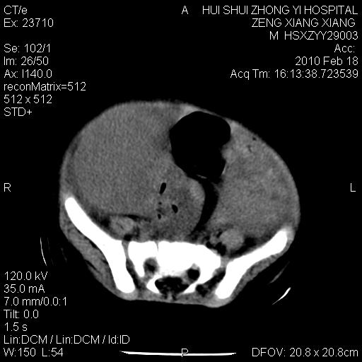
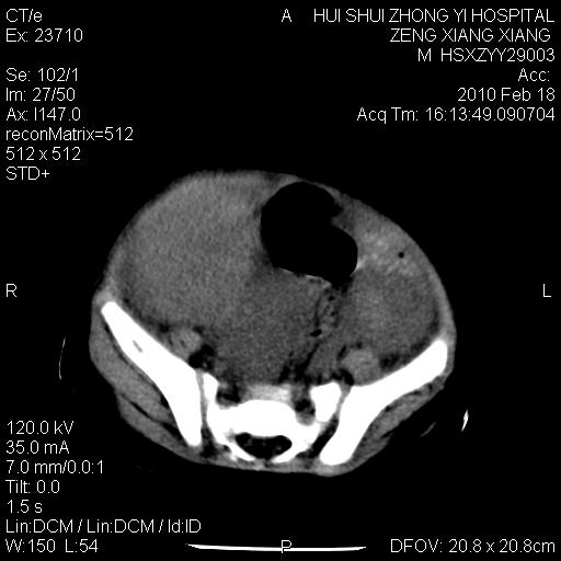
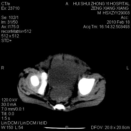
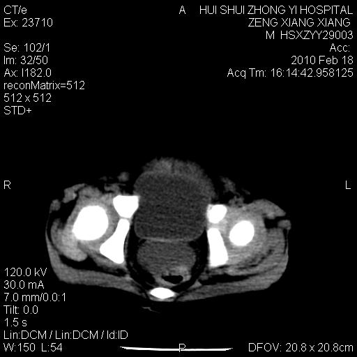
定位腹膜后,肾上腺来源;
定性:恶性神经源性,肾上腺神经节母细胞瘤可能性大。
鉴别:肝母、肾母、肝脏中胚层错构瘤。
依据:年龄、有钙化,肾脏及肝脏受压移位。
作者: dyqct 时间: 2010-2-21 03:19
支持楼上意见。惨了,应该没多大希望!求上帝保佑吧!
作者: yuhongjun 时间: 2010-2-21 15:20
标题: 回复:ped3106:男,2岁,腹胀1月。
以下是引用zxl51642在2010-2-20 15:05:00的发言:[br]定位腹膜后,肾上腺来源;[br]定性:恶性神经源性,肾上腺神经节母细胞瘤可能性大。[br]鉴别:肝母、肾母、肝脏中胚层错构瘤。[br]依据:年龄、有钙化,肾脏及肝脏受压移位。
支持,向您学习的东西真的很多。
作者: 随光逐影 时间: 2010-2-21 23:25
以下是引用zxl51642在2010-2-20 15:05:00的发言:
定位腹膜后,肾上腺来源;
定性:恶性神经源性,肾上腺神经节母细胞瘤可能性大。
鉴别:肝母、肾母、肝脏中胚层错构瘤。
依据:年龄、有钙化,肾脏及肝脏受压移位。
作者: yangyudong333 时间: 2010-2-22 14:14
以下是引用zxl51642在2010-2-20 15:05:00的发言:
定位腹膜后,肾上腺来源;
定性:恶性神经源性,肾上腺神经节母细胞瘤可能性大。
鉴别:肝母、肾母、肝脏中胚层错构瘤。
依据:年龄、有钙化,肾脏及肝脏受压移位。
作者: muzi888 时间: 2010-2-22 19:41
支持
作者: 影像之路 时间: 2010-2-24 19:52
考虑肝母细胞瘤
作者: 拾荒者 时间: 2010-2-26 05:14
肝母细胞瘤可能性大,右肾形态大体可见,不支持肾母细胞瘤,右肾移位不明显,肾上腺神经母细胞瘤可能性不大。
作者: 黑白光影 时间: 2010-2-26 06:11
支持二楼。
| 欢迎光临 医影在线 (http://bbs.radida.com/bbs/) |
Powered by Discuz! X3.2 |