医影在线

标题: CT24682:F60Y 腹痛 其它不详 [打印本页]

作者: 37度    时间: 2010-2-22 23:34
标题: CT24682:F60Y 腹痛 其它不详






































[本贴已被 jiajie 于 2010-2-22 21:17:27 修改过]

作者: 卜一    时间: 2010-2-23 00:08
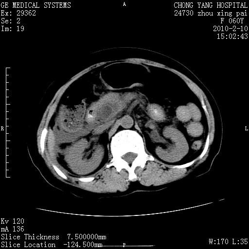
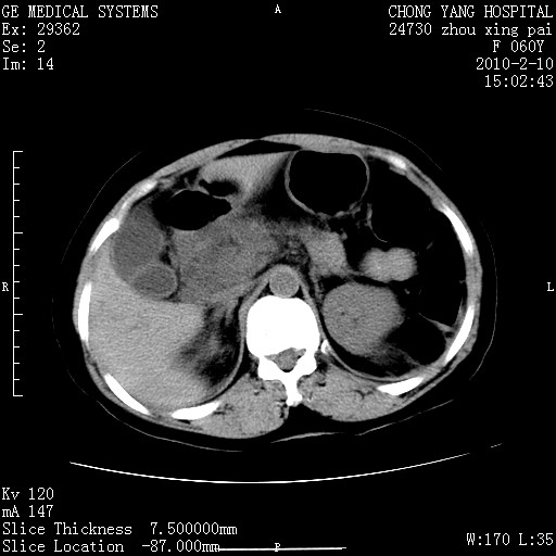
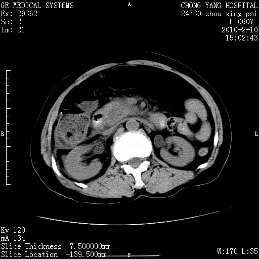
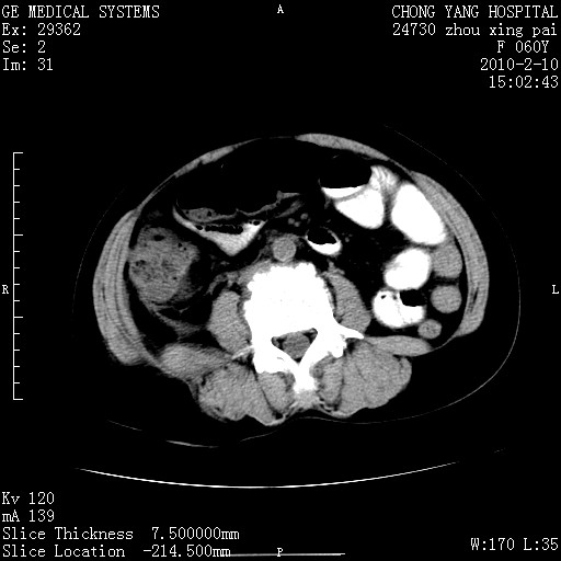
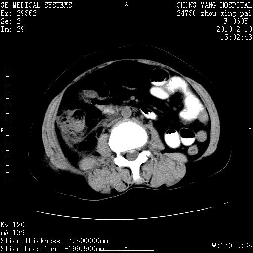
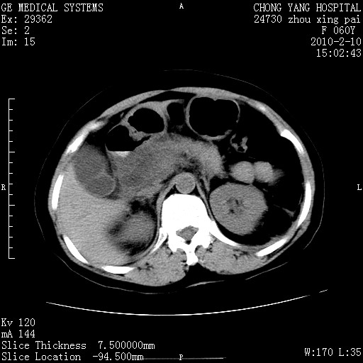
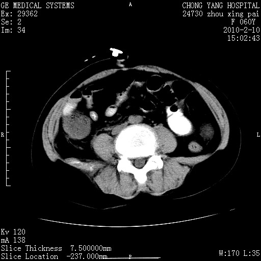
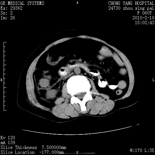
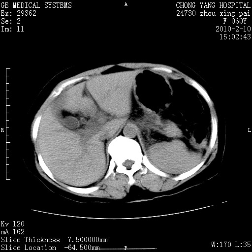
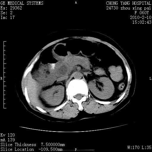
胆总管末端梗阻!结石?肿瘤?建议增强!必要时行ercp!
作者: 心路寻觅    时间: 2010-2-23 00:23
标题: 回复:f60y 腹痛 其它不详
以下是引用卜一在2010-2-22 16:08:00的发言:[br]胆总管末端梗阻!结石?肿瘤?建议增强!必要时行ercp!

支持!!!
作者: yulanhua    时间: 2010-2-23 01:17
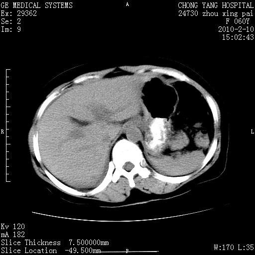
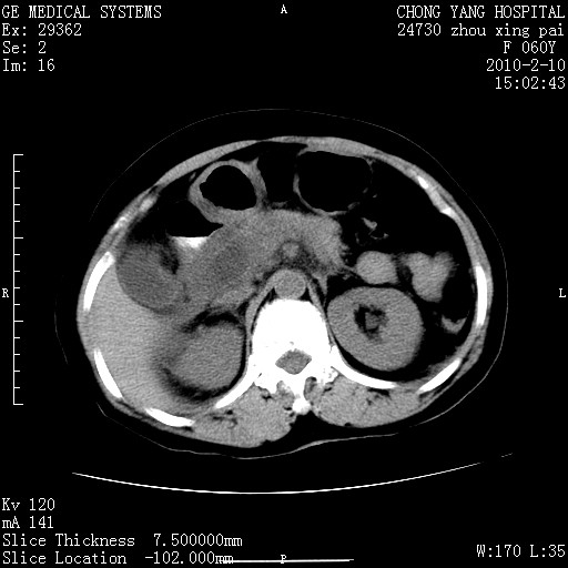
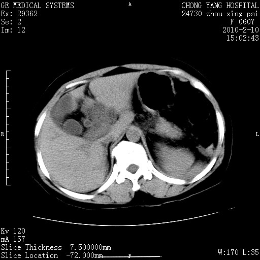
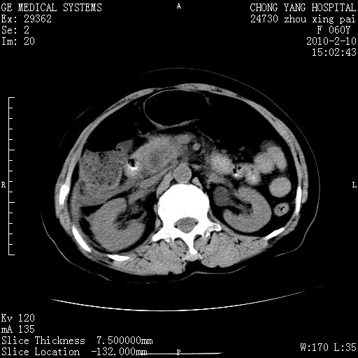
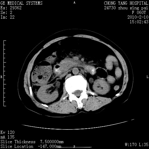
胆总管末端梗阻!结石?胰腺影增粗,以胰腺头部为著,胰周看见渗出影,双侧胸腔积液,(胸膜反应)考虑胰腺炎。
作者: 随光逐影    时间: 2010-2-23 03:32
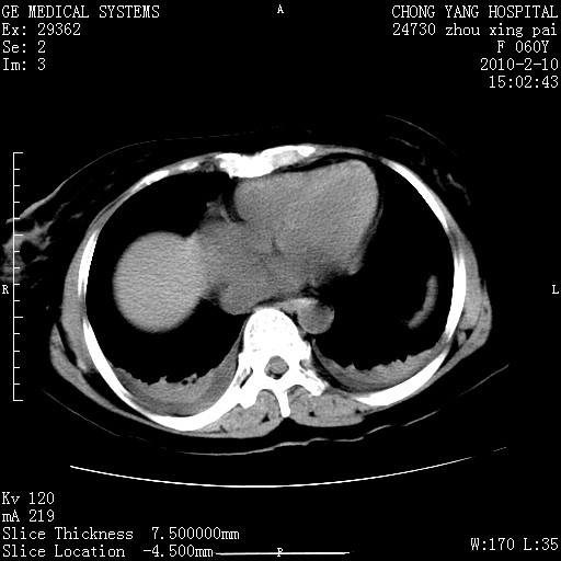
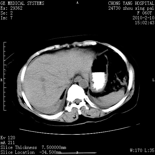
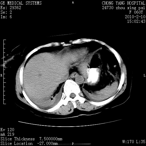
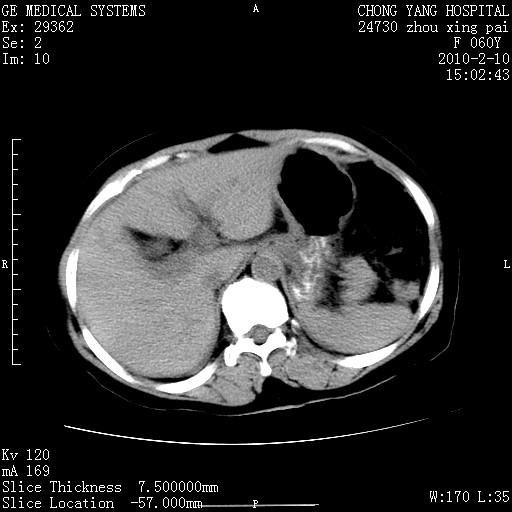
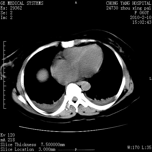
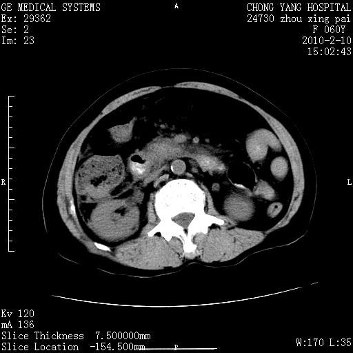
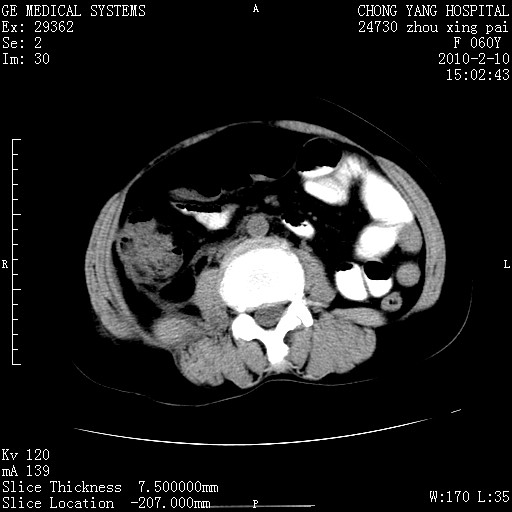
1)胆总管末端梗阻,不排除结石所致可能。2)胰腺炎。3)慢性胆囊炎可能。4)左侧输尿管上段扩张。5)少量腹水。6)双侧少量胸腔积液,伴两下肺部分肺萎陷。
作者: chenqiong    时间: 2010-2-23 04:43
1)胆囊炎。2)胆源性胰腺炎。3)右肾周筋膜增厚,肾旁前间隙积液。4)左侧输尿管上段扩张。5)少量腹水。6)双侧少量胸腔积液,伴两下肺部分肺膨胀不全。
作者: yangyang2000    时间: 2010-2-23 05:29
以下是引用卜一在2010-2-22 16:08:00的发言:
胆总管末端梗阻!结石?肿瘤?建议增强!必要时行ercp!


支持!!!
作者: imageSS    时间: 2010-2-23 05:56
急性胰腺炎所致胆总管扩张!
作者: 黑白光影    时间: 2010-2-23 06:41
1)胆总管末端梗阻。2)胰腺炎。3)慢性胆囊炎可能。4)左侧输尿管上段扩张。5)少量腹水。6)双侧少量胸腔积液,伴两下肺部分肺萎陷。
作者: yangyudong333    时间: 2010-2-23 14:29
1)胆总管末端梗阻,不排除结石所致可能。2)胰腺炎。3)慢性胆囊炎可能。4)左侧输尿管上段扩张。5)少量腹水。6)双侧少量胸腔积液,伴两下肺部分肺萎陷。
作者: 拂晓    时间: 2010-2-24 10:00
标题: 回复:ct24682:f60y 腹痛 其它不详
以下是引用随光逐影在2010-2-22 19:32:00的发言:[br]1)胆总管末端梗阻,不排除结石所致可能。2)胰腺炎。3)慢性胆囊炎可能。4)左侧输尿管上段扩张。5)少量腹水。6)双侧少量胸腔积液,伴两下肺部分肺萎陷。

作者: 张辉9999    时间: 2010-2-24 17:22
1)胆总管末端梗阻,不排除结石所致可能。2)胰腺炎。3)慢性胆囊炎可能。4)左侧输尿管上段扩张。5)少量腹水。6)双侧少量胸腔积液,伴两下肺部分肺萎陷。




欢迎光临 医影在线 (http://bbs.radida.com/bbs/) Powered by Discuz! X3.2