医影在线
标题: CT19713B:鼻咽部肿物治疗后 [打印本页]
作者: 王靖旗 时间: 2010-2-25 01:47
标题: CT19713B:鼻咽部肿物治疗后
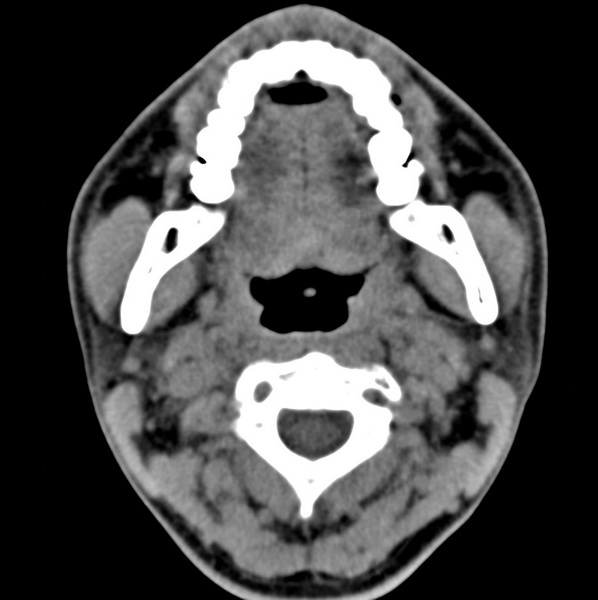
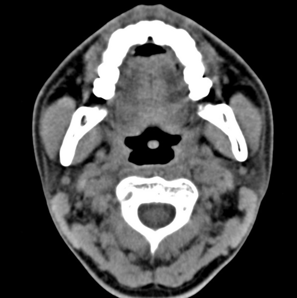
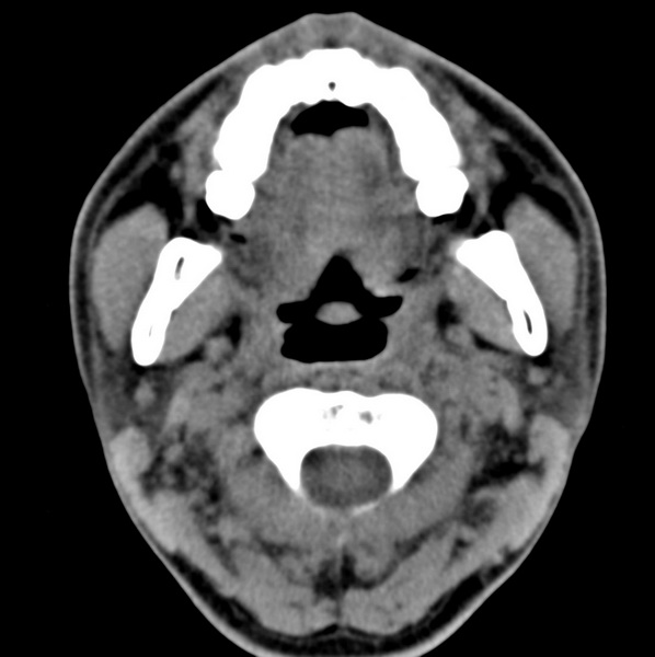
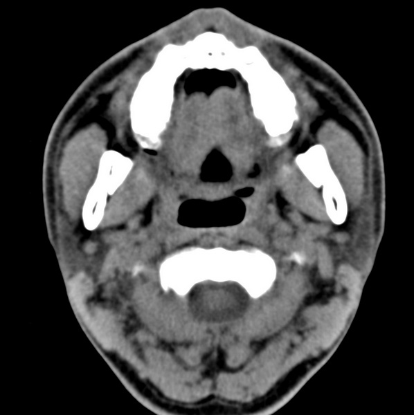
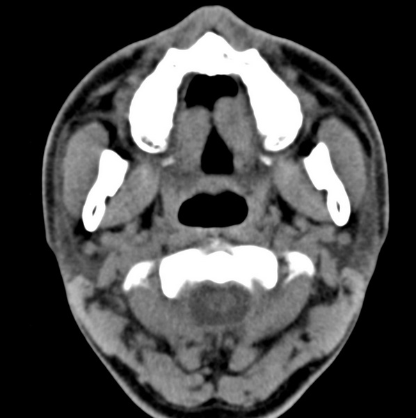
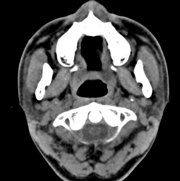
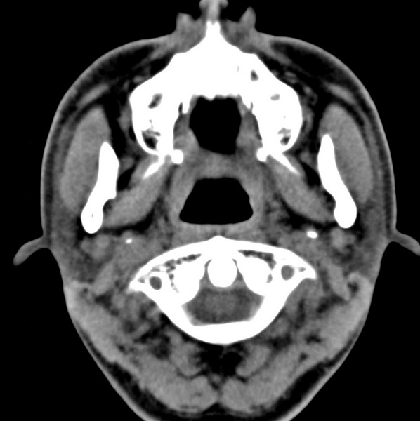
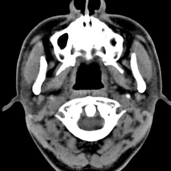
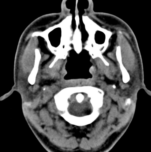
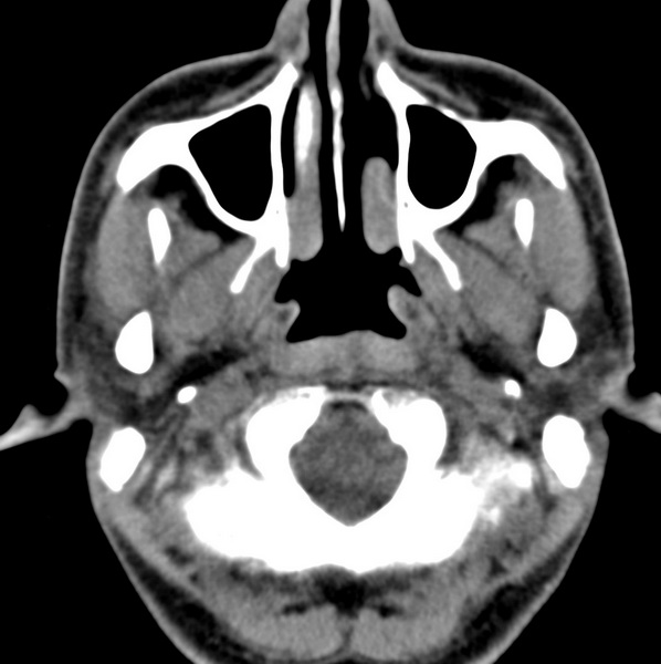
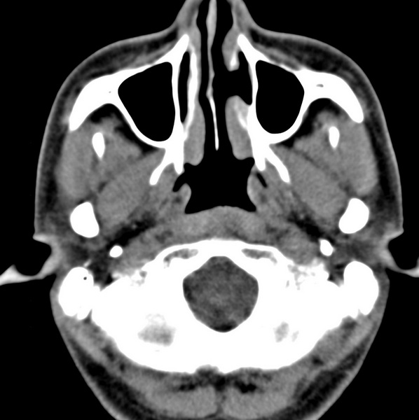
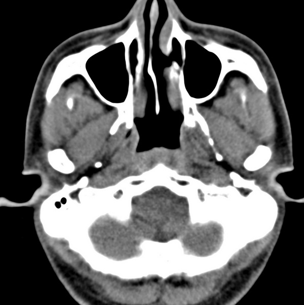
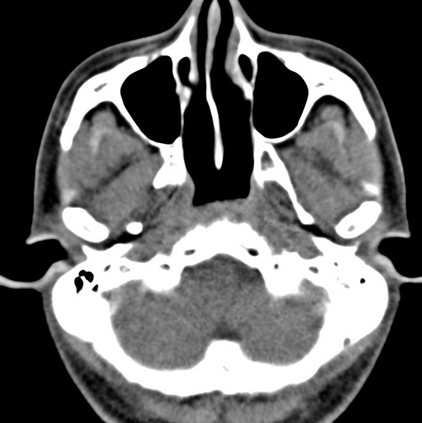
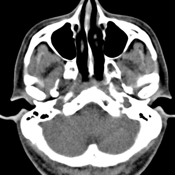
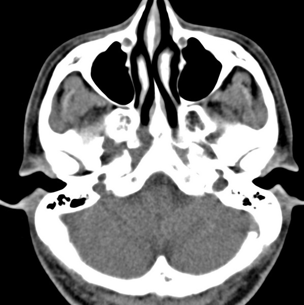
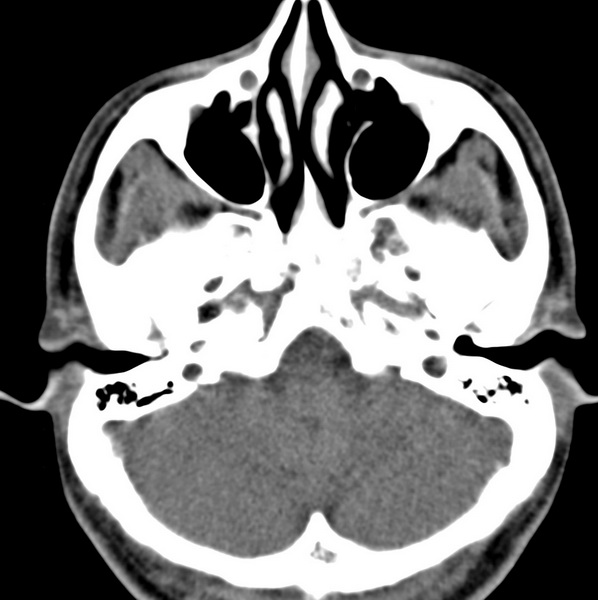
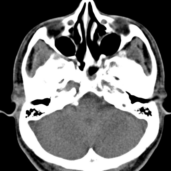
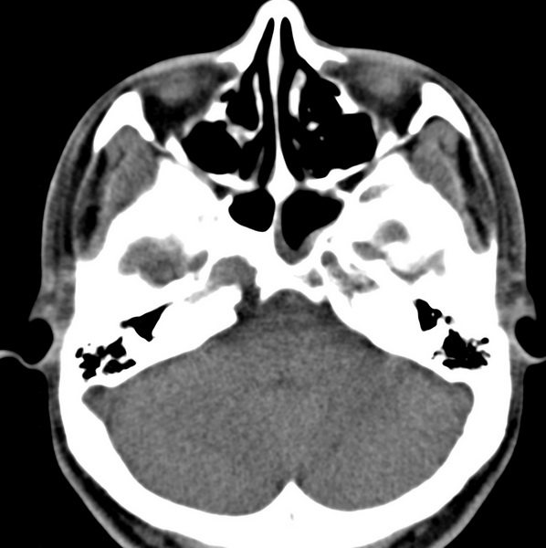
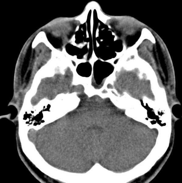
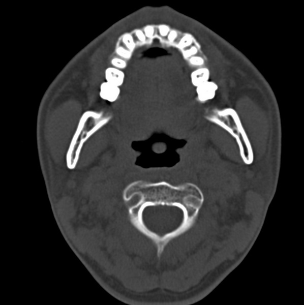
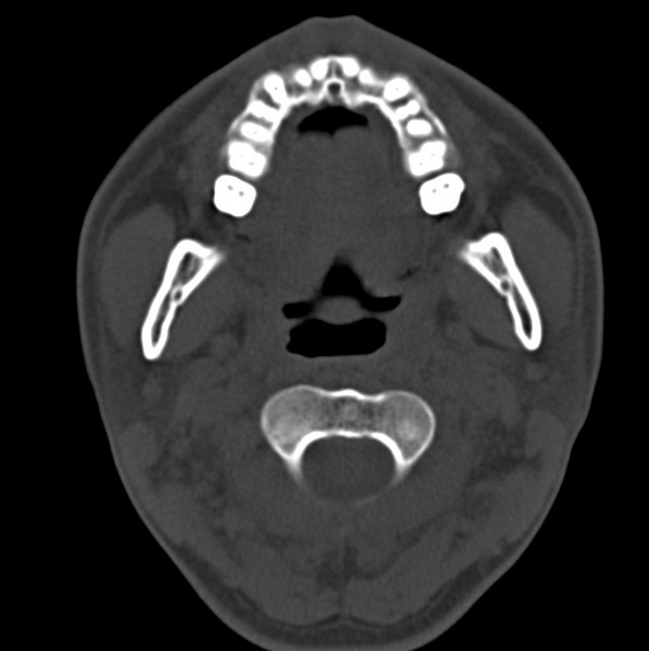
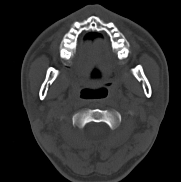
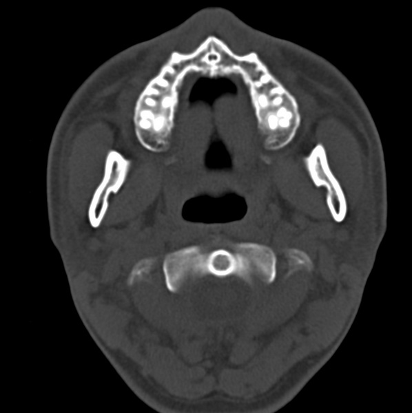
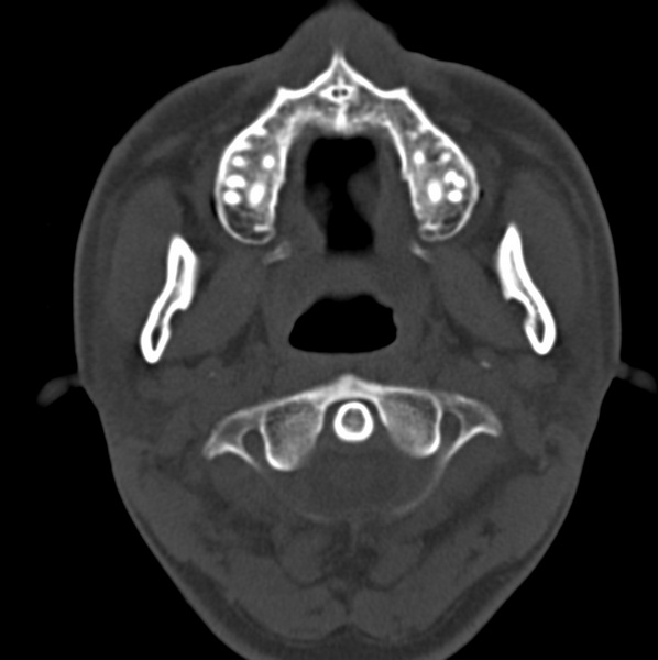
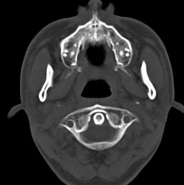
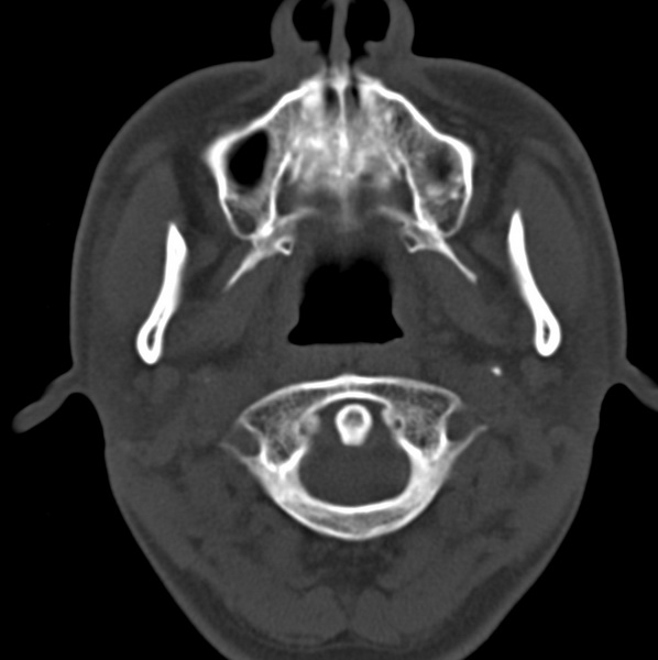
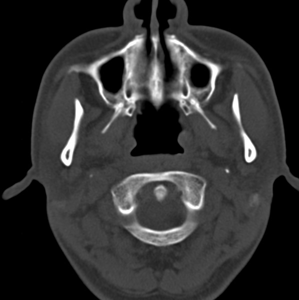
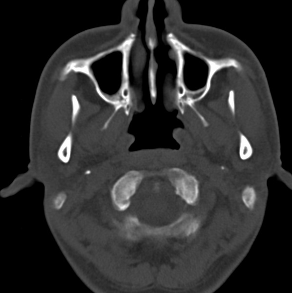
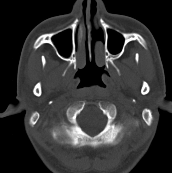
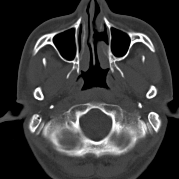
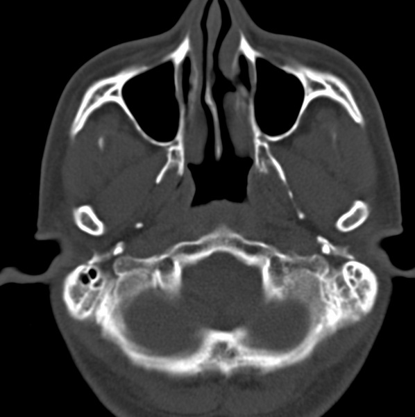
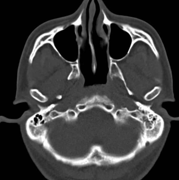
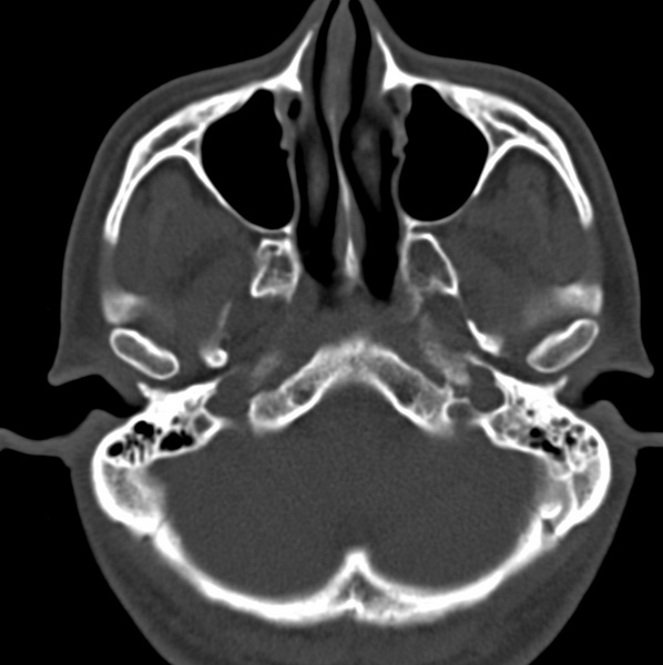
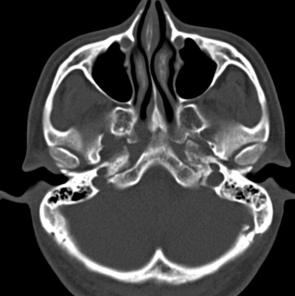
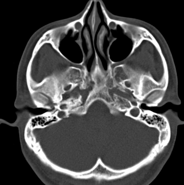
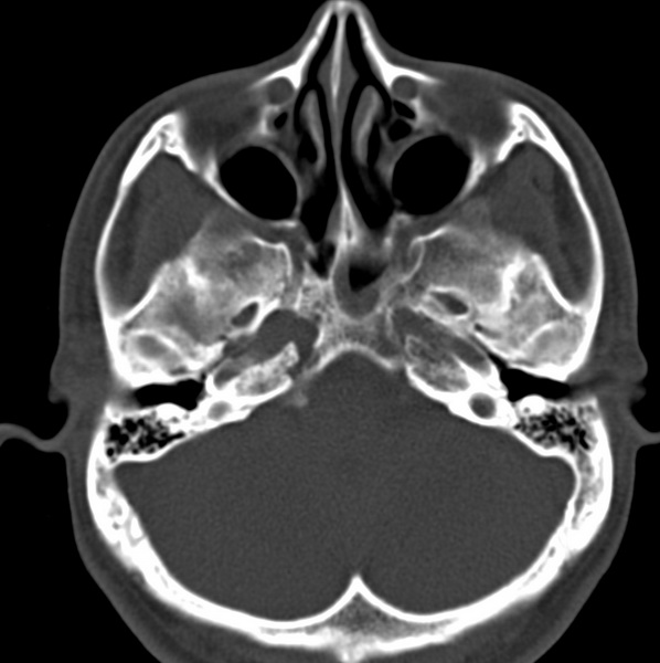
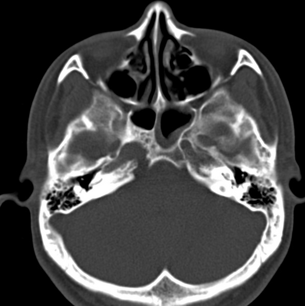
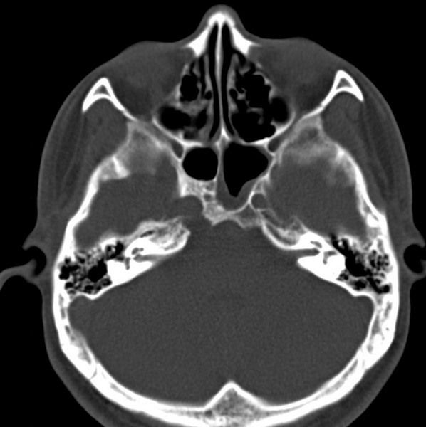
男、31、鼻咽部肿瘤放疗后请帮忙看看。
http://www.radida.com/bbs/forum.php?mod=viewthread&tid=52688








































[本贴已被 翁志蓬 于 2010-2-25 0:34:35 修改过]
作者: ct诊断高手 时间: 2010-2-25 02:00
标题: 1
1
[本贴已被 ct诊断高手 于 2010-2-24 19:19:38 修改过]
作者: liangshusheng 时间: 2010-2-25 03:15
效果好,右侧破裂孔扩大,局部骨质缺损,为颅底骨质破坏。
作者: 随光逐影 时间: 2010-2-25 03:28
1)鼻咽部肿瘤侵犯颅底放疗术后改变。2)左侧蝶窦炎。
作者: dyqct 时间: 2010-2-25 03:57
标题: 回复:鼻咽部肿物治疗后
以下是引用随光逐影在2010-2-24 19:28:00的发言:[br]1)鼻咽部肿瘤侵犯颅底放疗术后改变。2)左侧蝶窦炎。
支持!
作者: lyb999 时间: 2010-2-25 04:14
咽后壁增厚,左侧咽鼓管隆突增大、咽鼓管咽口变浅,同侧咽旁间隙较窄。右侧颅底骨质破坏?为什么不在同一侧?
作者: yhb 时间: 2010-2-25 04:58
除了鼻窦现在也看不出什么
作者: zxl51642 时间: 2010-2-25 05:13
放疗术后改变,定期复查
作者: 513ytb 时间: 2010-2-25 07:14
鼻咽部肿瘤侵犯颅底放疗术后改变.
作者: 健力宝 时间: 2010-2-25 07:16
标题: 回复:鼻咽部肿物治疗后
以下是引用zxl51642在2010-2-24 21:13:00的发言:[br]放疗术后改变,定期复查
作者: 黑白光影 时间: 2010-2-25 07:28
支持大家。
作者: swyyy2007 时间: 2010-9-3 00:48
没有发现明显病灶
| 欢迎光临 医影在线 (http://bbs.radida.com/bbs/) |
Powered by Discuz! X3.2 |