医影在线
标题: CT24768:双侧脑室内囊性病变,主各位站友会诊。 [打印本页]
作者: zrs 时间: 2010-2-27 22:52
标题: CT24768:双侧脑室内囊性病变,主各位站友会诊。
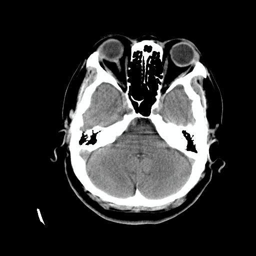
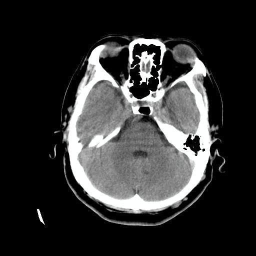
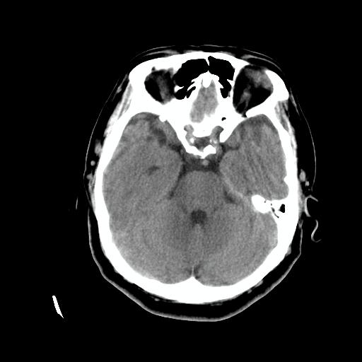
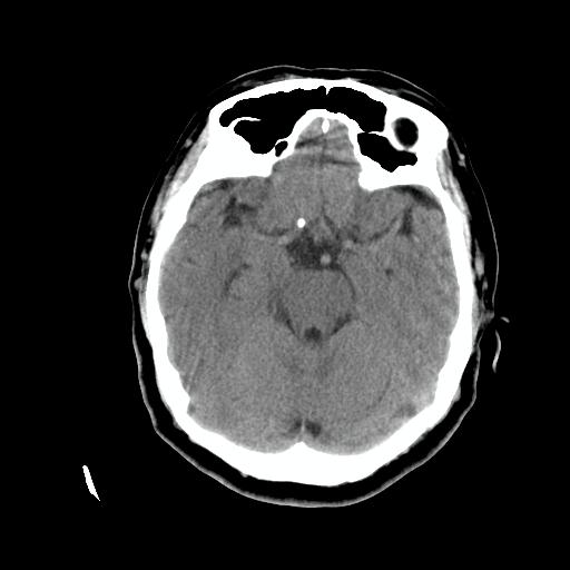
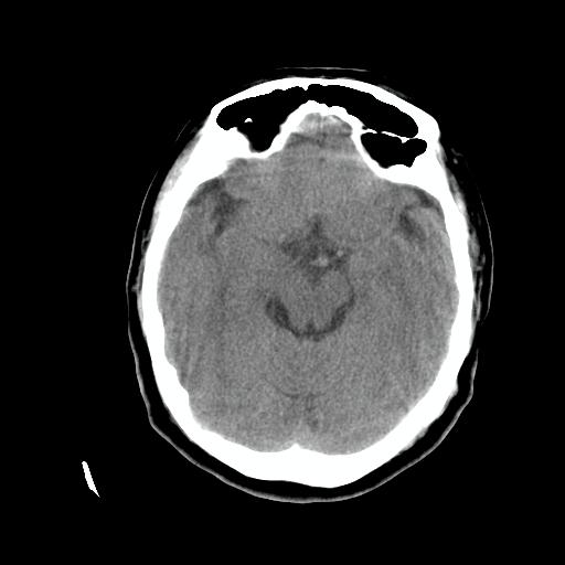
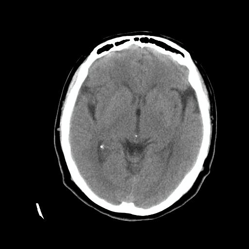
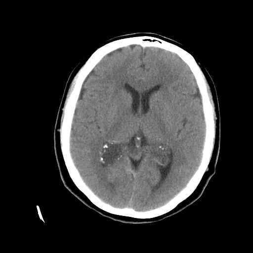
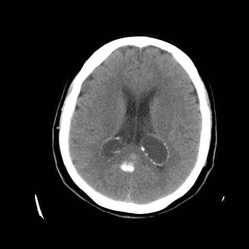
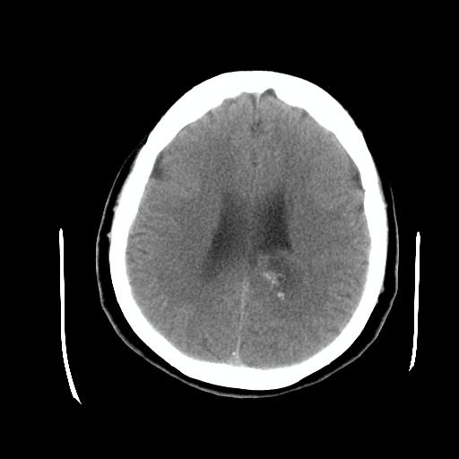
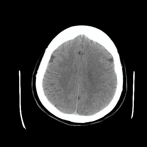
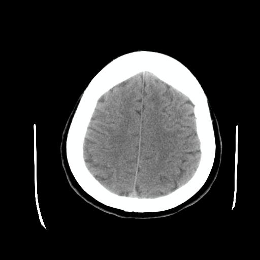
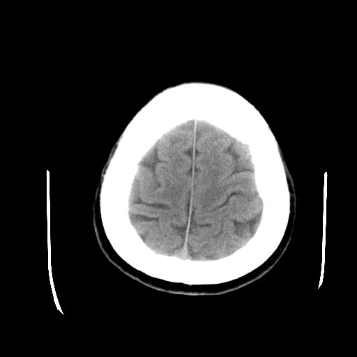
患者女,62岁,临床提供头痛、头晕数月,无恶心及呕吐,近日加重。请各位站友看看,能否定为双侧脑室脉络丛囊肿,如果不能,应考虑什么?谢谢!












[本贴已被 zrs 于 2010-2-27 14:53:27 修改过]
[本贴已被 jiajie 于 2010-2-27 21:37:48 修改过]
作者: 深泽交通 时间: 2010-2-27 23:32
室管膜钙化 脑内多发钙化灶 可考虑寄生虫 结核等颅内感染
作者: 杀毒软件 时间: 2010-2-28 00:08
首选考虑---脑囊虫病。
作者: hhcckk 时间: 2010-2-28 00:09
支持脉络丛囊肿,建议mr检查
脉络丛囊肿属神经上皮性囊肿.好发于双侧脉络膜球,通常于影像检查或活检时偶然发现.患者无症状,病灶较小,双侧对称性,脑室膨胀轻.多数病灶在信号上与室管膜囊肿有所不同.在dwi上呈部分高信号,t2 flair上呈不均匀高信号.增强后呈结节状或环形增强
作者: hhcckk 时间: 2010-2-28 00:14
标题: 回复:双侧脑室内囊性病变,主各位站友会诊。
比较下

作者: dyqct 时间: 2010-2-28 00:48
支持脉络丛囊肿,建议mr检查.
作者: 随光逐影 时间: 2010-2-28 02:04
支持 双侧侧脑室脉络丛囊肿;建议行mr检查。
作者: 科室第一人 时间: 2010-2-28 02:42
考虑为脑囊虫病
作者: 小小医 时间: 2010-2-28 02:47
期待结果
作者: zjzjr 时间: 2010-2-28 02:53
支持脉络丛囊肿,建议mr检查
作者: 阿敏 时间: 2010-2-28 03:43
支持脉络丛囊肿,建议mr检查
作者: 龙在野 时间: 2010-2-28 04:16
脉络从囊肿
作者: 卜一 时间: 2010-2-28 04:31
支持脉络丛囊肿,建议mr检查
脉络丛囊肿属神经上皮性囊肿.好发于双侧脉络膜球,通常于影像检查或活检时偶然发现.患者无症状,病灶较小,双侧对称性,脑室膨胀轻.多数病灶在信号上与室管膜囊肿有所不同.在dwi上呈部分高信号,t2 flair上呈不均匀高信号.增强后呈结节状或环形增强!支持!
作者: xiongneo 时间: 2010-2-28 07:55
支持脉络丛囊肿,建议mr检查
作者: 513ytb 时间: 2010-2-28 08:28
支持脉络丛囊肿
作者: yangyudong333 时间: 2010-2-28 14:22
支持 双侧侧脑室脉络丛囊肿;建议行mr检查。
作者: yuhongjun 时间: 2010-2-28 17:52
支持脉络丛囊肿
作者: 平安是福 时间: 2010-2-28 18:16
支持脉络丛囊肿。
作者: 孤独医生1 时间: 2010-2-28 20:04
支持脉络丛囊肿。
作者: 黑白光影 时间: 2010-2-28 21:38
支持大家。
作者: zbp537 时间: 2010-2-28 23:52
除了脉络膜丛囊肿外,枕叶内的片状钙化密度影,其周围无水肿,可能还要考虑血管畸形吧,建议增强扫描以明确诊断。
作者: panyishengct 时间: 2010-3-1 00:14
支持脉络丛囊肿,建议mr检查
作者: shuiyuan 时间: 2010-3-1 01:46
支持脉络丛囊肿,建议mr检查
作者: 小小医 时间: 2010-3-1 06:32
期待结果,好病例!
作者: zxl51642 时间: 2010-3-1 18:36
支持脉络丛囊肿,建议mr检查
作者: shuiyuan 时间: 2010-3-2 18:12
询问病史考虑脑囊虫病
作者: 张辉9999 时间: 2010-3-2 18:54
考虑脑囊虫病
作者: ct诊断高手 时间: 2010-3-9 09:17
期待结果
| 欢迎光临 医影在线 (http://bbs.radida.com/bbs/) |
Powered by Discuz! X3.2 |