











































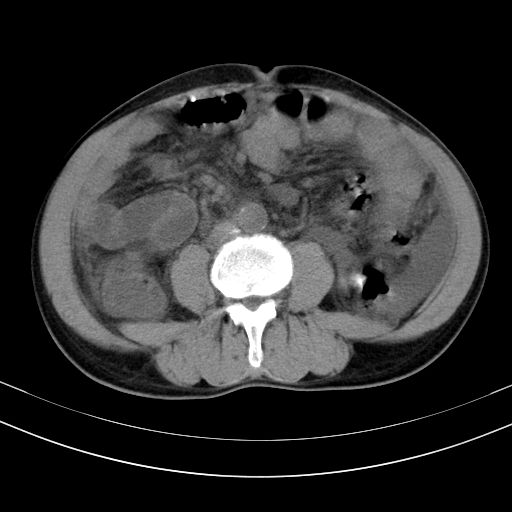
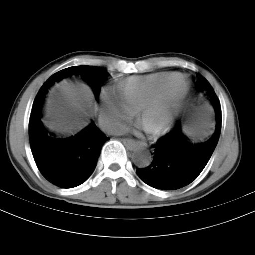
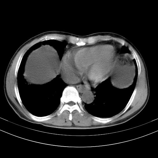
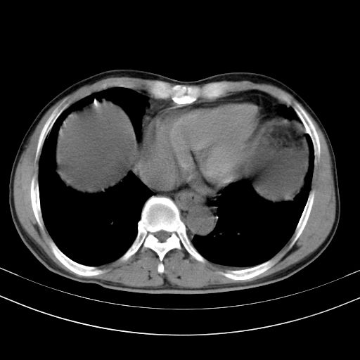
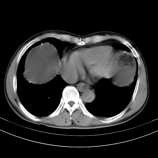
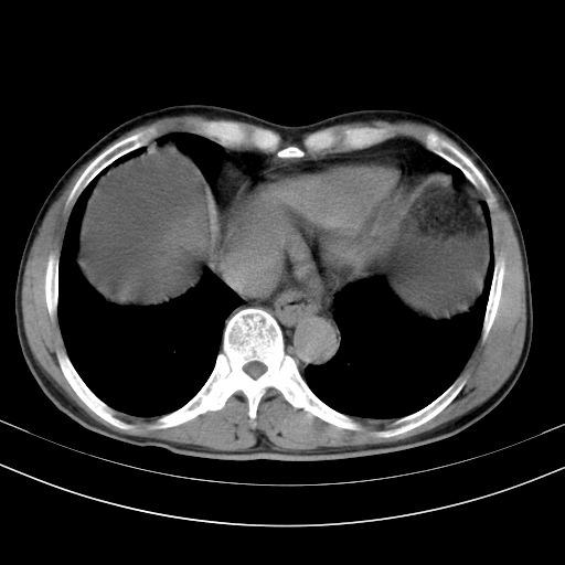
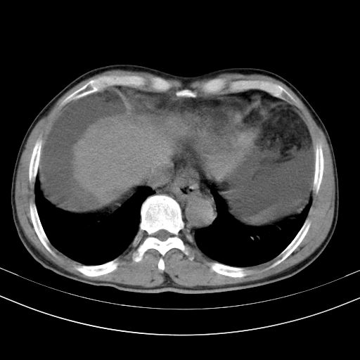
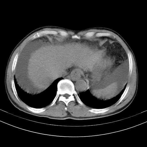
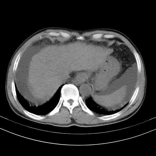
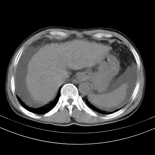
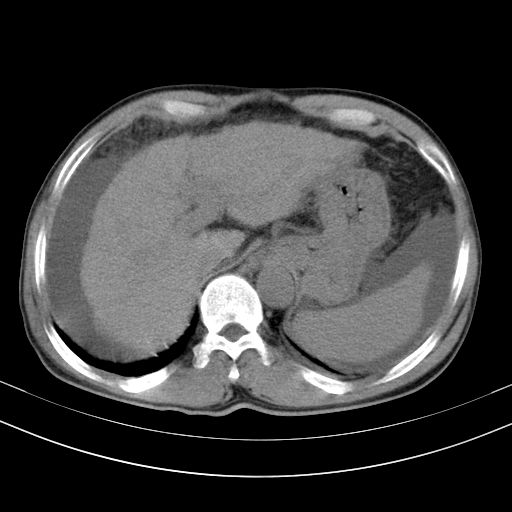
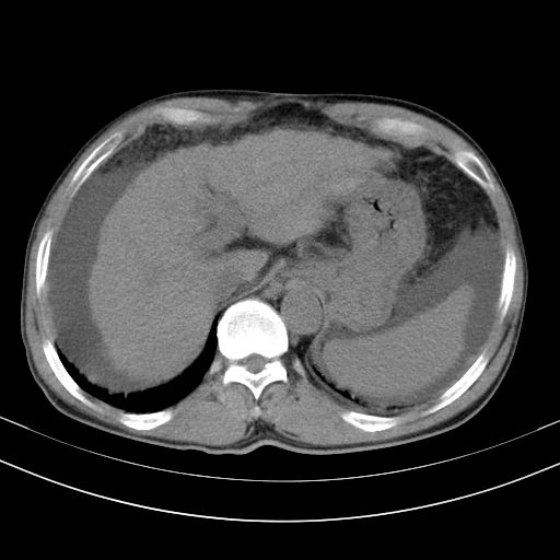
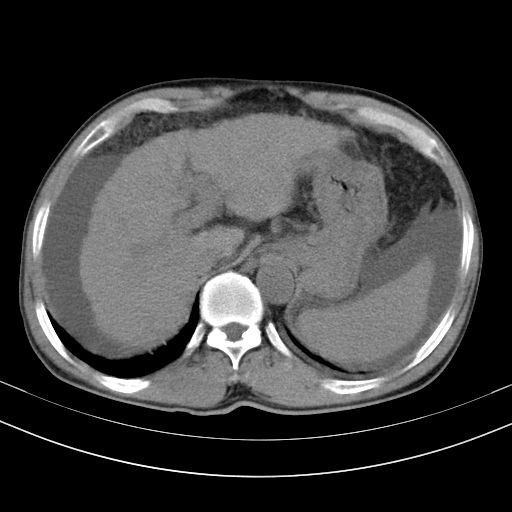
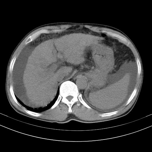
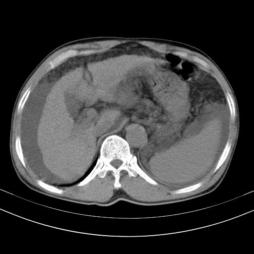
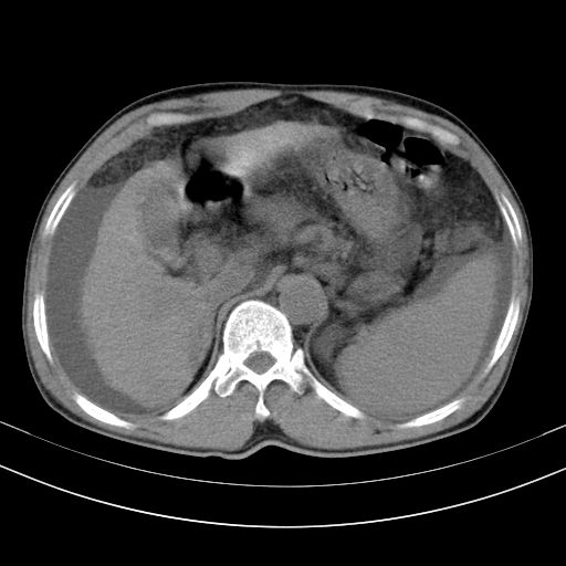
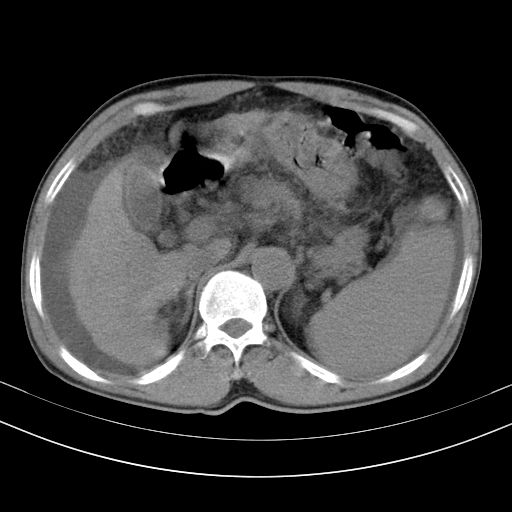
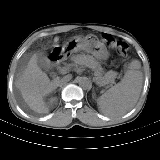
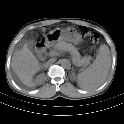
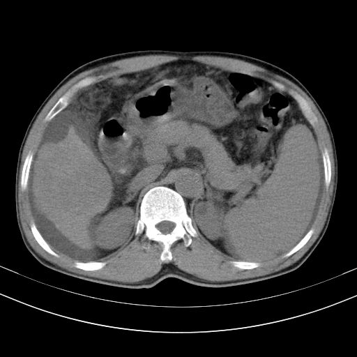
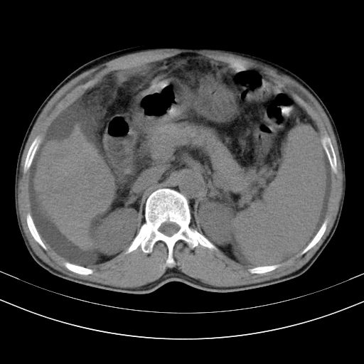
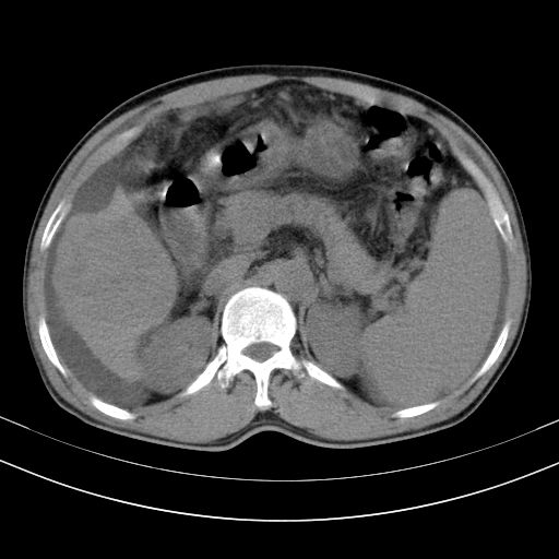
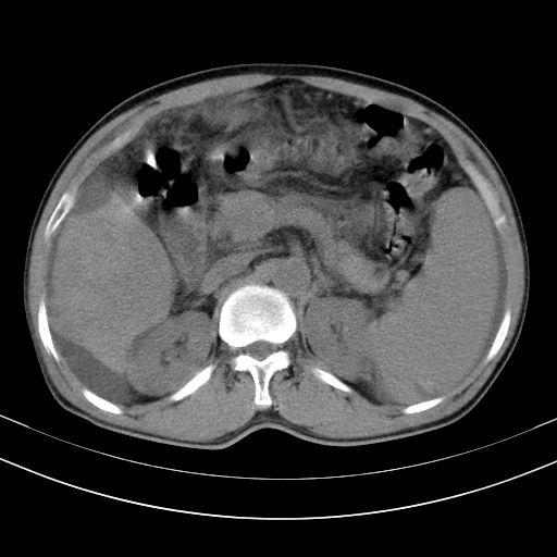
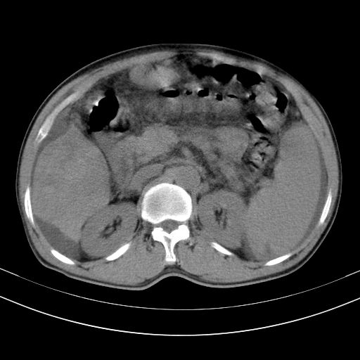
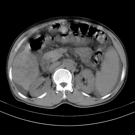
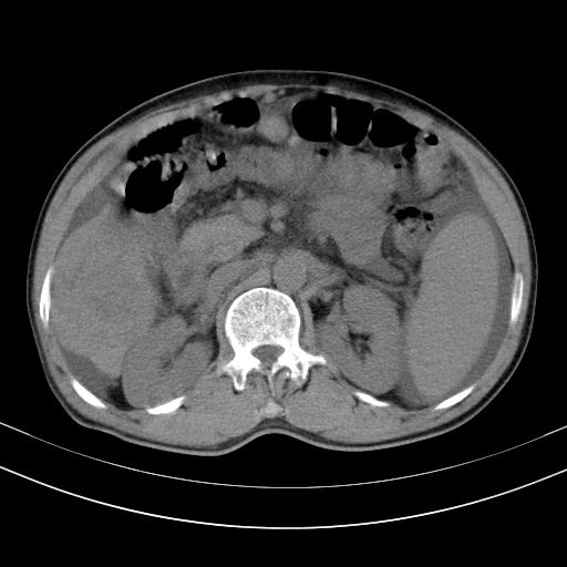
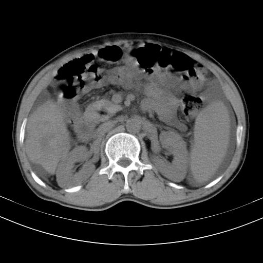
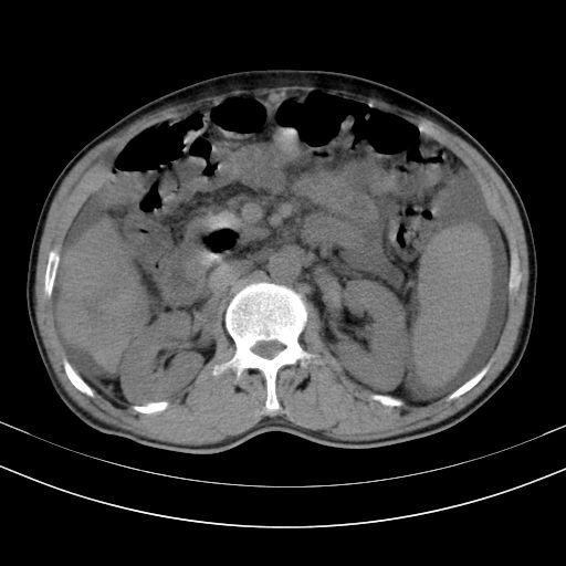
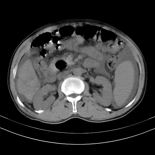
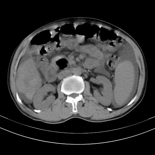
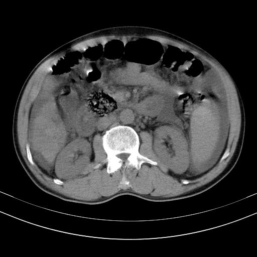
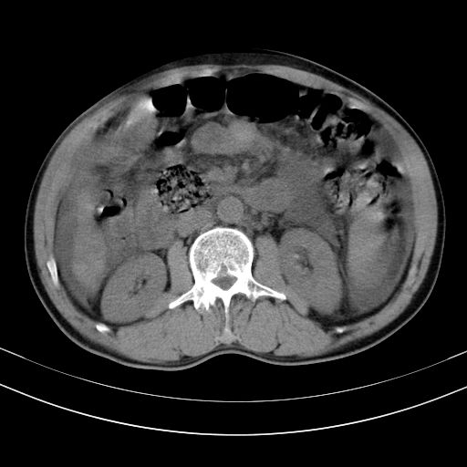
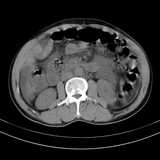
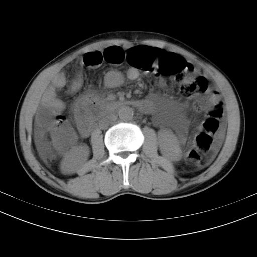
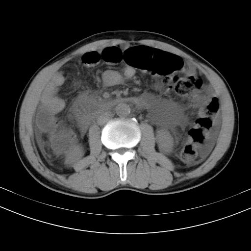
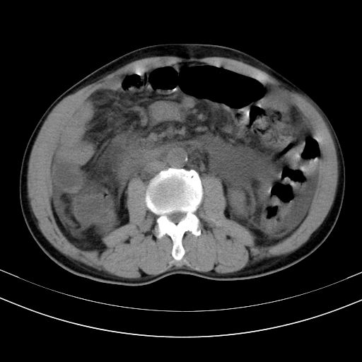
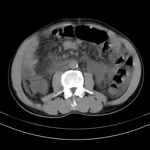
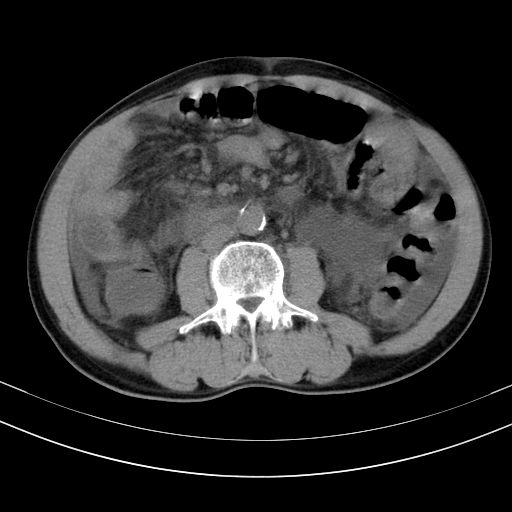
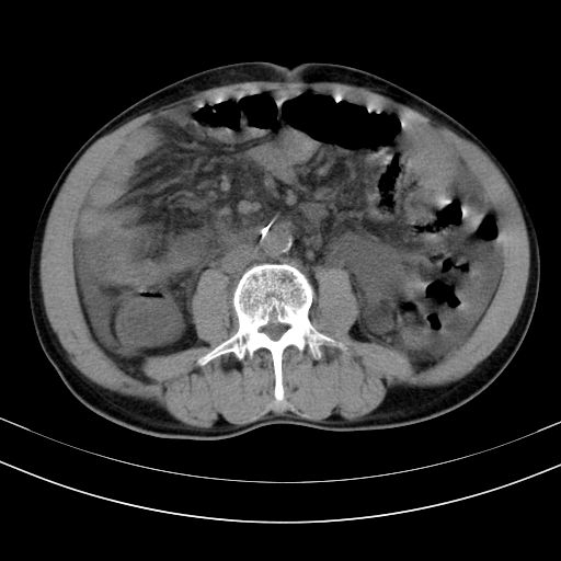
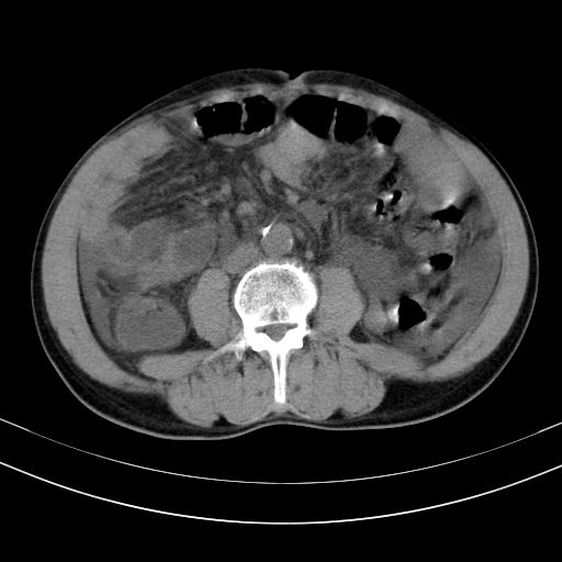
以下是引用随光逐影在2010-2-28 10:23:00的发言:[br]1)考虑肝癌;建议行ct增强扫描检查。2)肝硬化,脾大,腹水。3)慢性胆囊炎。
以下是引用dyqct在2010-2-28 16:44:00的发言:[br][quote]以下是引用随光逐影在2010-2-28 10:23:00的发言:[br]1)考虑肝癌;建议行ct增强扫描检查。2)肝硬化,脾大,腹水。3)慢性胆囊炎。
以下是引用随光逐影在2010-2-28 10:23:00的发言:[br]1)考虑肝癌;建议行ct增强扫描检查。2)肝硬化,脾大,腹水。3)慢性胆囊炎。
| 欢迎光临 医影在线 (http://bbs.radida.com/bbs/) | Powered by Discuz! X3.2 |