医影在线

标题: CT24776:男 71Y 咳嗽咳痰胸痛两月,伴声音嘶哑。 [打印本页]

作者: 平安是福    时间: 2010-2-28 19:06
标题: CT24776:男 71Y 咳嗽咳痰胸痛两月,伴声音嘶哑。























































[本贴已被 jiajie 于 2010-2-28 13:00:18 修改过]

作者: 心路寻觅    时间: 2010-2-28 20:28
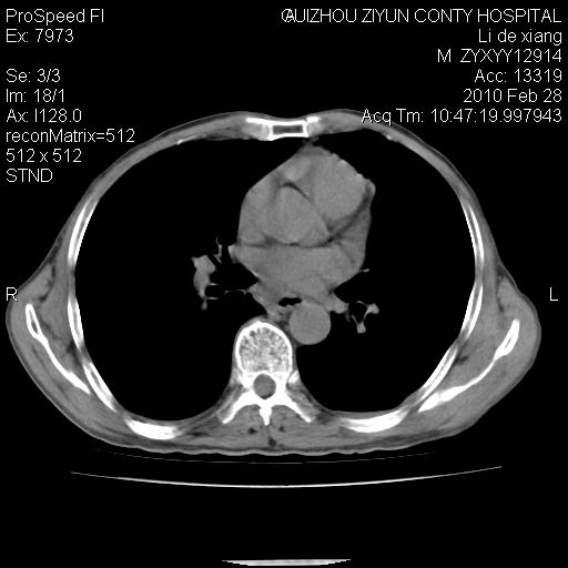
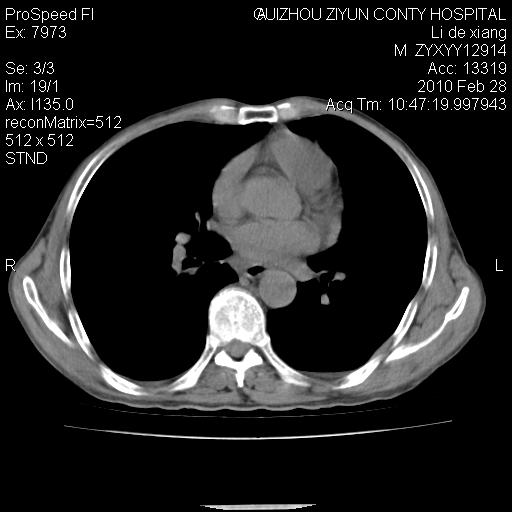
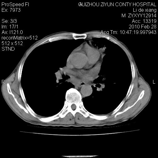
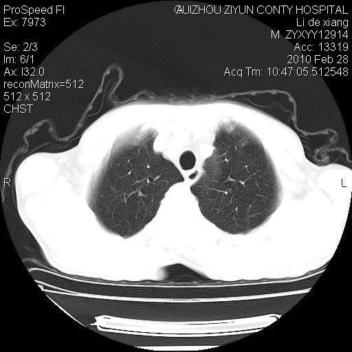
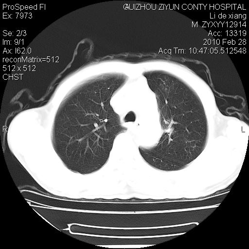
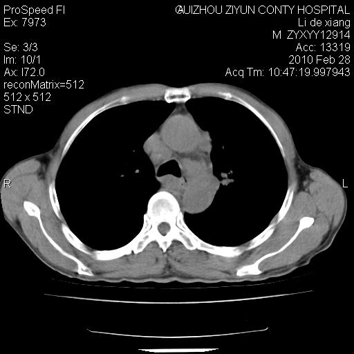
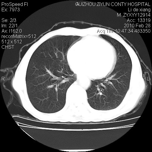
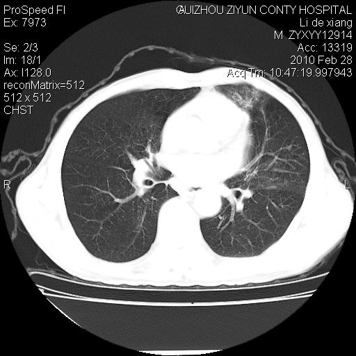
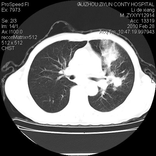
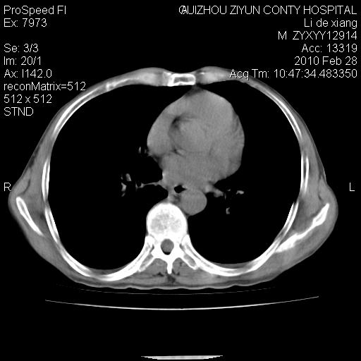
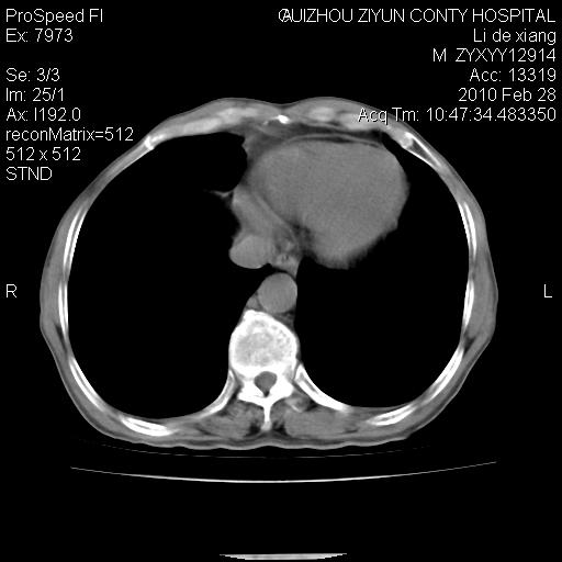
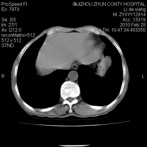
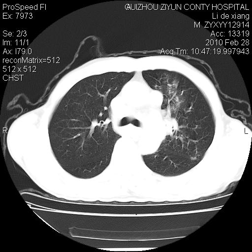
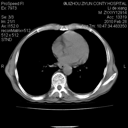
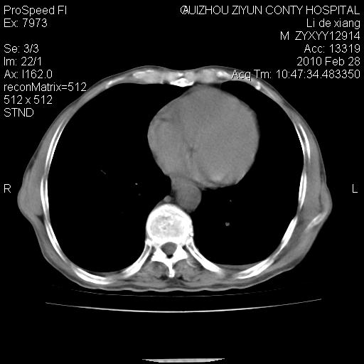
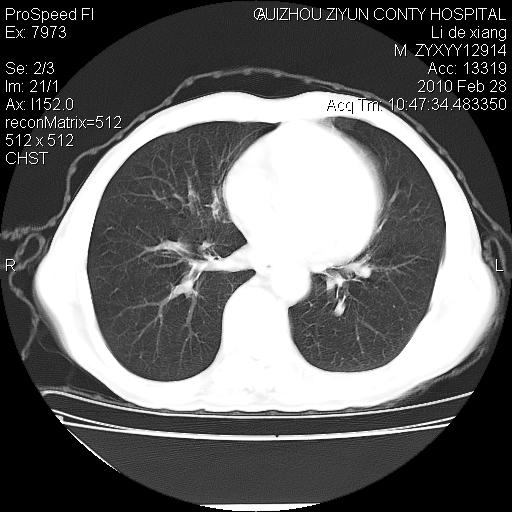
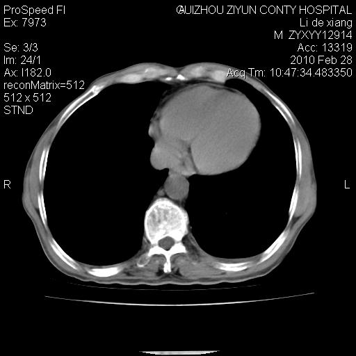
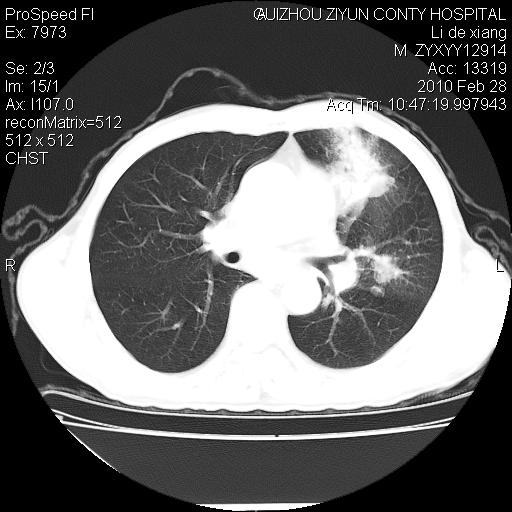
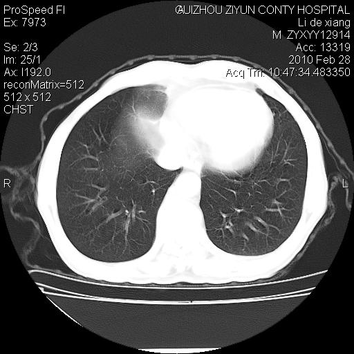
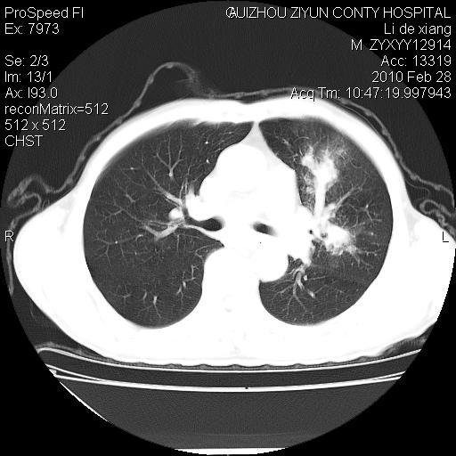
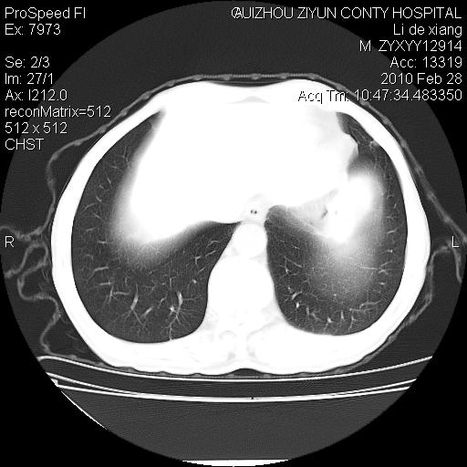
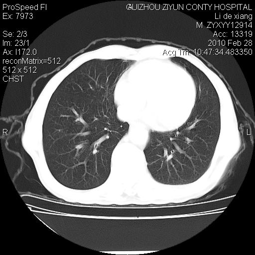
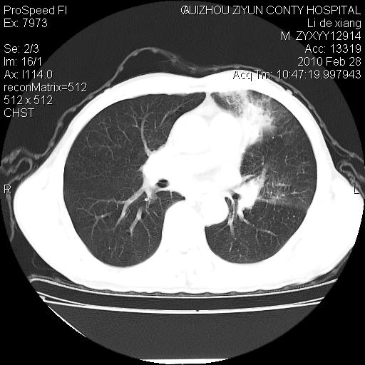
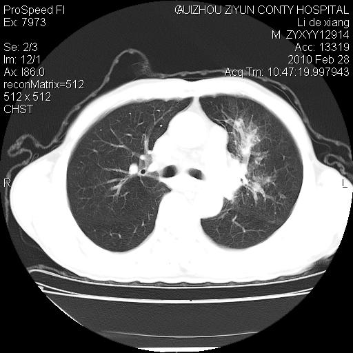
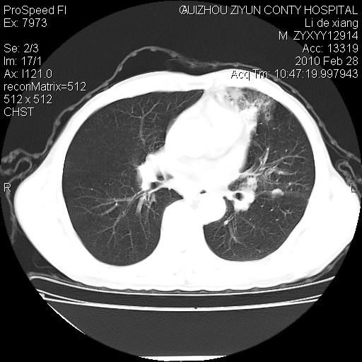
左侧中央型肺癌伴左肺上叶阻塞性肺炎及节段性不张可能性大,建议纤支镜检查!
作者: sliucun01    时间: 2010-2-28 20:50
象支气管囊肿合并感染
作者: 深泽交通    时间: 2010-2-28 22:28
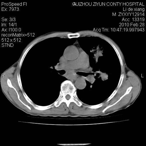
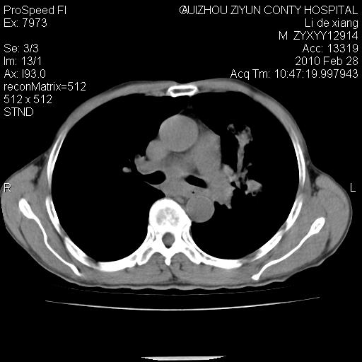
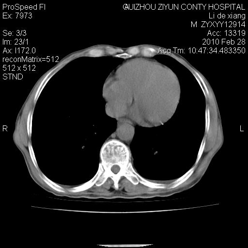
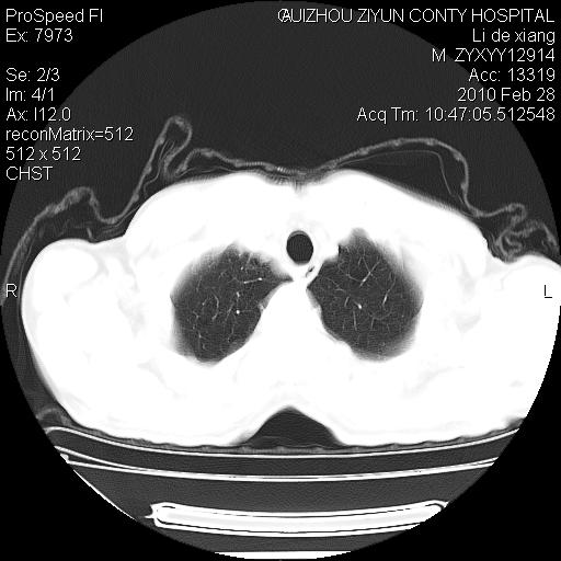
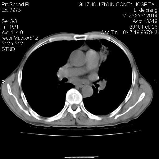
纵膈淋巴结肿大 不除外占位性阻塞
作者: zjzjr    时间: 2010-2-28 23:33
左侧中央型肺癌伴左肺上叶阻塞性肺炎及节段性不张可能性大,建议纤支镜检查!纵隔淋巴结转移.
作者: 同    时间: 2010-2-28 23:42
左侧中央型肺癌伴左肺上叶阻塞性肺炎及纵隔淋巴结转移。
作者: sunbin    时间: 2010-2-28 23:44
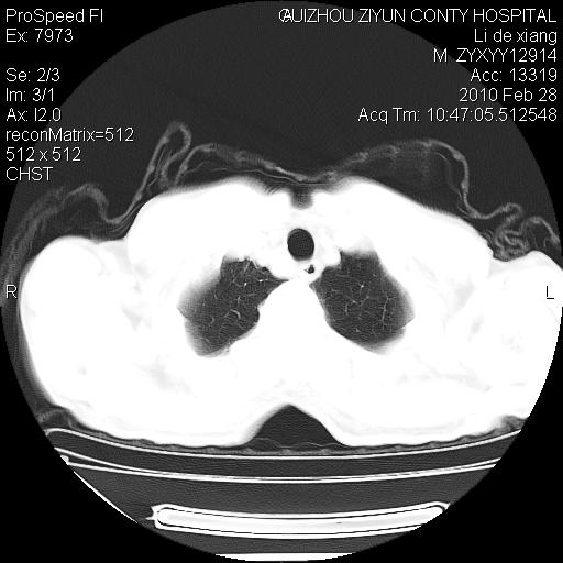
左肺门部肿块,伴左上肺斑块影,周边模糊,支持左肺中央型肺癌伴节段性不张及阻塞性肺炎,结合支气管镜检查。
作者: wgh407    时间: 2010-2-28 23:59
左侧中央型肺癌伴左肺上叶阻塞性肺炎及纵隔淋巴结转移。
作者: dyqct    时间: 2010-3-1 00:47
标题: 回复:ct24776:男 71y 咳嗽咳痰胸痛两月,伴声音嘶哑。
以下是引用zjzjr在2010-2-28 15:33:00的发言:[br]左侧中央型肺癌伴左肺上叶阻塞性肺炎及节段性不张可能性大,建议纤支镜检查!纵隔淋巴结转移.

支持!
作者: 曼一拍    时间: 2010-3-1 00:50
患者有声音嘶哑,若时间长了,没改变,喉镜检查无异常,可考虑左侧喉返神经受累,因为:左侧喉返神经绕主动脉弓或肺动脉韧带的主动脉端,沿气管与食管之间的沟上行至颈部.
支持肺癌.
作者: panyishengct    时间: 2010-3-1 01:17
以下是引用zjzjr在2010-2-28 15:33:00的发言:
左侧中央型肺癌伴左肺上叶阻塞性肺炎及节段性不张可能性大,建议纤支镜检查!纵隔淋巴结转移.
作者: 太空射线    时间: 2010-3-1 02:17
左上叶支气管狭窄,阻塞性病变,肺门肿块,纵隔及肺门淋巴结增大,中央性肺癌
作者: zxl51642    时间: 2010-3-1 03:18
以下是引用zjzjr在2010-2-28 15:33:00的发言:
左侧中央型肺癌伴左肺上叶阻塞性肺炎及节段性不张可能性大,建议纤支镜检查!纵隔淋巴结转移.
作者: yang4132    时间: 2010-3-1 04:02
左肺中央型肺癌并阻塞性改变、纵膈 淋巴结转移
作者: 泪洒红尘    时间: 2010-3-1 04:17
学习中。
作者: yangyang2000    时间: 2010-3-1 07:00
左侧中央型肺癌伴左肺上叶阻塞性肺炎及纵隔淋巴结转移
作者: yangyudong333    时间: 2010-3-1 14:15
左侧中央型肺癌伴左肺上叶阻塞性肺炎及节段性不张可能性大,建议纤支镜检查!纵隔淋巴结转移.
作者: 随光逐影    时间: 2010-3-1 16:15
支持 左肺中央型肺癌伴左肺上叶阻塞性肺炎,纵隔淋巴结转移。
作者: 黑白光影    时间: 2010-3-3 03:04
支持 左肺中央型肺癌伴左肺上叶阻塞性肺炎,纵隔淋巴结转移。




欢迎光临 医影在线 (http://bbs.radida.com/bbs/) Powered by Discuz! X3.2