医影在线

标题: CT24778:肺部病变 [打印本页]

作者: kbzyycm    时间: 2010-2-28 20:48
标题: CT24778:肺部病变
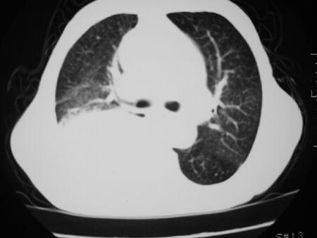
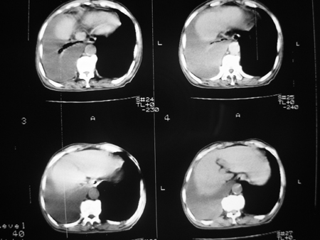
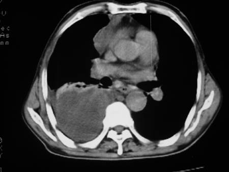
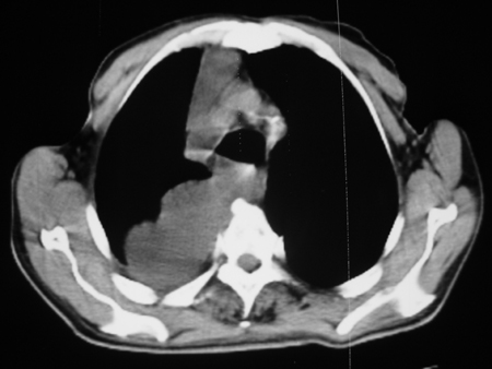
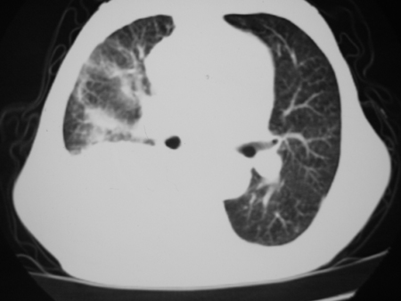
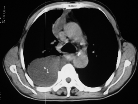
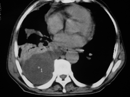
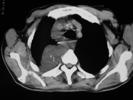
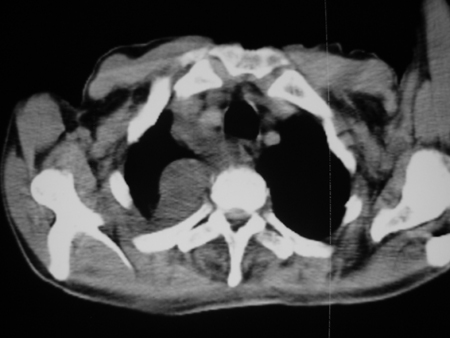
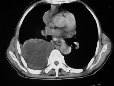
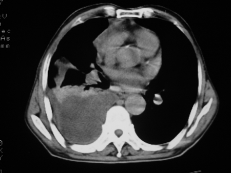
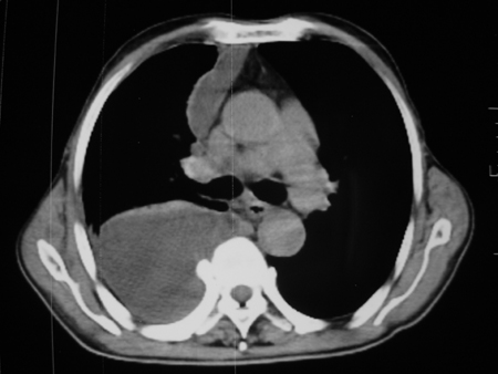
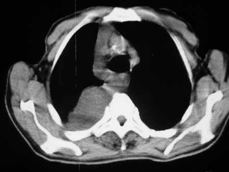
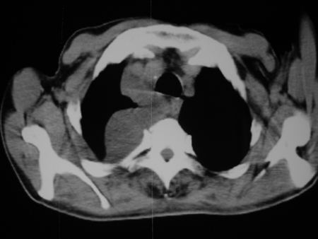
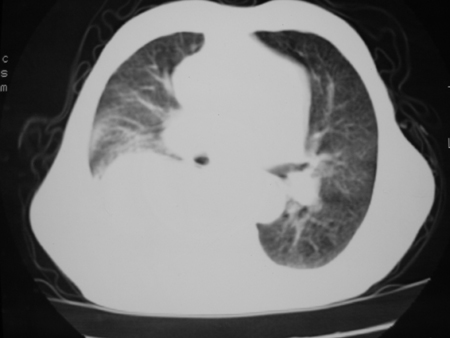
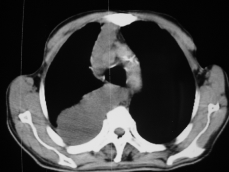
男77岁,胸痛就诊




































[本贴已被 jiajie 于 2010-2-28 13:04:21 修改过]

作者: 光线    时间: 2010-2-28 20:51
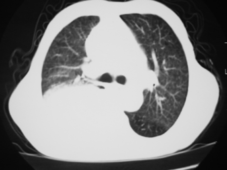
右侧胸腔积液,部分包裹,右下肺膨胀不全,右下肺感染。
作者: 深泽交通    时间: 2010-2-28 22:21
考虑右肺门占位并下叶不张 右胸包裹积液
作者: yulanhua    时间: 2010-2-28 22:32
右侧胸腔积液,部分包裹,右下肺膨胀不全
作者: 拂晓    时间: 2010-2-28 23:03
右侧胸腔积液,部分包裹,右下肺膨胀不全
作者: zbp537    时间: 2010-2-28 23:23
右肺中叶及下叶炎症并胸腔积液(部分包裹),建议抽液后复查ct除外占位。
作者: zjzjr    时间: 2010-2-28 23:37
右侧胸腔积液,部分包裹,右下肺膨胀不全
作者: 草之原    时间: 2010-2-28 23:41
支持右侧胸腔积液,部分包裹,右下肺膨胀不全。
作者: 同    时间: 2010-2-28 23:47
右侧胸腔积液,部分包裹,右下肺膨胀不全。
作者: sunbin    时间: 2010-2-28 23:50
右侧胸腔积液部分包裹伴右下肺膨胀不全。
作者: 宋糖    时间: 2010-3-1 00:24
右侧胸腔积液部分包裹伴右下肺膨胀不全。
作者: dyqct    时间: 2010-3-1 00:52
右侧胸腔积液,部分包裹,右下肺膨胀不全。支持!
作者: zxl51642    时间: 2010-3-1 03:21
支持右侧胸腔积液,部分包裹,右下肺膨胀不全。
作者: yang4132    时间: 2010-3-1 03:54
支持以上意见
作者: 37度    时间: 2010-3-1 04:49
支持大家!
作者: yangyang2000    时间: 2010-3-1 06:57
右侧胸腔积液,部分包裹,右下肺膨胀不全,右下肺感染
作者: 随光逐影    时间: 2010-3-1 16:18
支持 右侧胸腔积液(部分包裹)伴右下肺膨胀不全。
作者: 健力宝    时间: 2010-3-1 17:25
右侧胸腔积液,部分包裹,右下肺膨胀不全。支持!
作者: 黑白光影    时间: 2010-3-3 03:08
右侧胸腔积液,部分包裹,右下肺膨胀不全,右下肺感染。




欢迎光临 医影在线 (http://bbs.radida.com/bbs/) Powered by Discuz! X3.2