医影在线
标题: CT24780:女 41岁 右肾多发低密度占位性病灶 [打印本页]
作者: 阿敏 时间: 2010-2-28 21:08
标题: CT24780:女 41岁 右肾多发低密度
(结果公布:http://www.radida.com/bbs/forum.php?mod=viewthread&tid=64308)
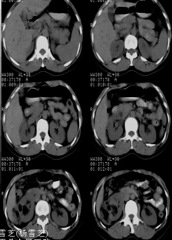
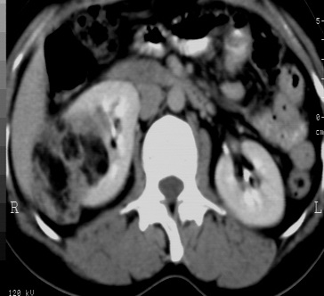
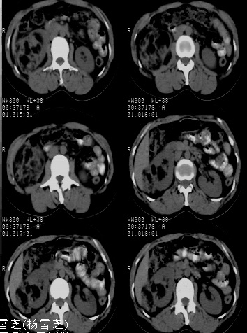
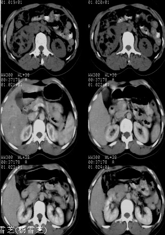
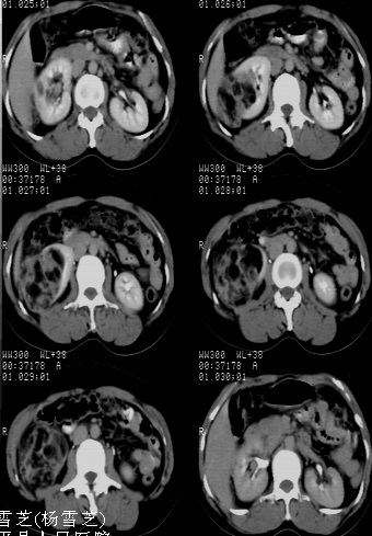
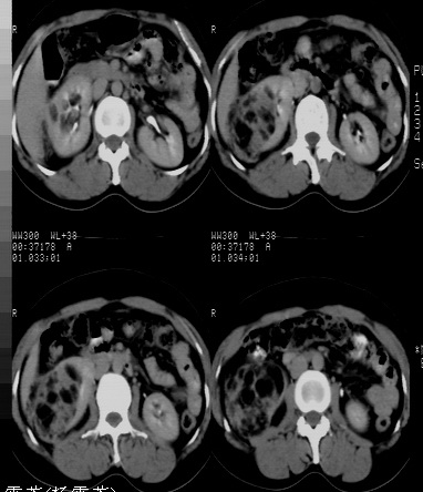
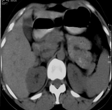
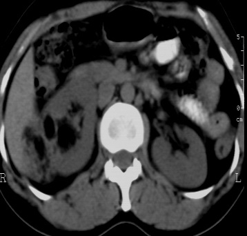
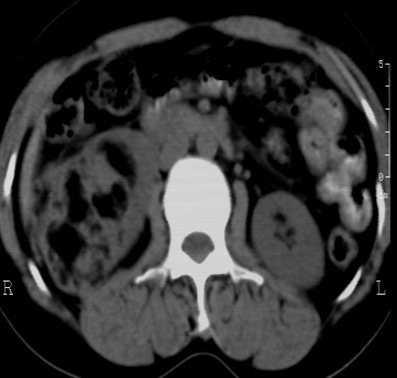
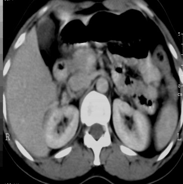
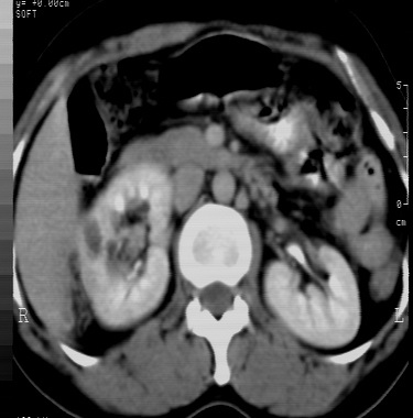
女 41岁 超声检查:右肾多发实质性包块,性质待查(提示:错构瘤或其它病变),临床病史不详。












[本贴已被 翁志蓬 于 2010-3-1 0:25:59 修改过]
[本贴已被 jiajie 于 2010-3-30 20:34:06 修改过]
作者: 深泽交通 时间: 2010-2-28 22:13
kaolv 血管平滑肌脂肪瘤
作者: 37度 时间: 2010-2-28 22:38
首选血管平滑肌脂肪瘤.
作者: yulanhua 时间: 2010-2-28 22:52
错构瘤
作者: pinkwq 时间: 2010-2-28 23:02
右肾血管平滑肌脂肪瘤
作者: 心路寻觅 时间: 2010-2-28 23:39
支持大家意见!!
作者: 天堂鸟 时间: 2010-2-28 23:40
右肾血管平滑肌脂肪瘤,双肾旋转不良。
作者: zjzjr 时间: 2010-2-28 23:45
首选血管平滑肌脂肪瘤.
作者: sunbin 时间: 2010-3-1 00:10
右肾血管平滑肌脂肪瘤可能性大。
作者: panyishengct 时间: 2010-3-1 00:28
右肾血管平滑肌脂肪瘤可能性大。
作者: 拂晓 时间: 2010-3-1 00:32
标题: 回复:女 41岁 右肾多方低密度占位性病灶,临床病史不
以下是引用37度在2010-2-28 14:38:00的发言:[br]首选血管平滑肌脂肪瘤.
作者: dyqct 时间: 2010-3-1 00:48
右肾血管平滑肌脂肪瘤。支持!
作者: renyan222 时间: 2010-3-1 01:32
血管平滑肌脂肪瘤.
作者: 影象小辈 时间: 2010-3-1 01:42
首选血管平滑肌脂肪瘤.
作者: zxl51642 时间: 2010-3-1 03:24
血管平滑肌脂肪瘤.
作者: 草之原 时间: 2010-3-1 03:39
右肾血管平滑肌脂肪瘤可能性大。
作者: 泪洒红尘 时间: 2010-3-1 04:10
血管平滑肌脂肪瘤
作者: 当兵的 时间: 2010-3-1 05:06
平滑肌脂肪瘤
作者: yangyudong333 时间: 2010-3-1 06:14
右肾血管平滑肌脂肪瘤
作者: yangyang2000 时间: 2010-3-1 06:49
支持大家意见!!
作者: 513ytb 时间: 2010-3-1 07:01
血管平滑肌脂肪瘤.
作者: 随光逐影 时间: 2010-3-1 16:24
右肾血管平滑肌脂肪瘤。
作者: 健力宝 时间: 2010-3-1 17:15
血管平滑肌脂肪瘤
作者: whmy 时间: 2010-3-1 18:13
首选血管平滑肌脂肪瘤.
作者: 黑白光影 时间: 2010-3-3 03:11
支持大家
作者: 帅河马 时间: 2010-3-30 05:34
学习了
作者: 拾荒者 时间: 2010-3-31 03:27
结果收到---右肾细胞癌;单就影像表现是应该首先考虑血管平滑肌脂肪瘤。
作者: dyqct 时间: 2010-3-31 04:56
不附。
作者: scdlc2008 时间: 2010-4-1 02:40
病理也有可能高错
作者: zhangshanmin 时间: 2010-4-1 03:05
右肾血管平滑肌脂肪瘤
作者: 赵物学 时间: 2010-4-1 05:01
病理是有可能搞错不过可能性不大,不过这个确实不能报右肾细胞癌,真难
作者: dhlyq 时间: 2010-4-1 20:09
结果有疑问,什么级别的医院,会不会搞错了
作者: 37度 时间: 2010-4-4 01:26
结果收到---右肾细胞癌;单就影像表现是应该首先考虑血管平滑肌脂肪瘤。
作者: liuxiaoyi40 时间: 2010-4-5 22:38
该病理结果应该送高级别医院做病理会诊,否则会影响影像医师今后的判断。免疫组化结果也并未公布,结果非常可疑。应进一步证实。
作者: 吴医师 时间: 2010-5-24 19:28
标题: 回复:ct24780:女 41岁 右肾多发低密度占位性病灶,临床病
以下是引用37度在2010-4-3 17:26:00的发言:[br][br] [br] 结果收到---右肾细胞癌;单就影像表现是应该首先考虑血管平滑肌脂肪瘤。 [br] [br]
欢迎光临 医影在线 (http://bbs.radida.com/bbs/) |
Powered by Discuz! X3.2 |