医影在线

标题: CT24783:m71,既往肺心病史3年,现咳嗽,憋喘。 [打印本页]

作者: 当兵的    时间: 2010-3-1 04:03
标题: CT24783:m71,既往肺心病史3年,现咳嗽,憋喘。













































[本贴已被 翁志蓬 于 2010-3-1 0:29:41 修改过]

作者: 37度    时间: 2010-3-1 04:10
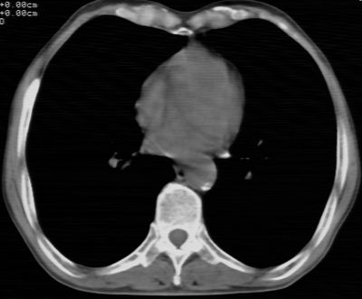
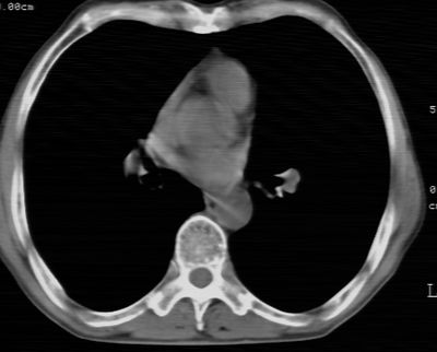
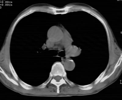
左上周围型肺癌可能性比其它大。
作者: dyqct    时间: 2010-3-1 05:03
左上周围型肺癌可能性大,建议活检、查肿瘤标记物。
作者: 心路寻觅    时间: 2010-3-1 05:19
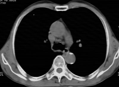
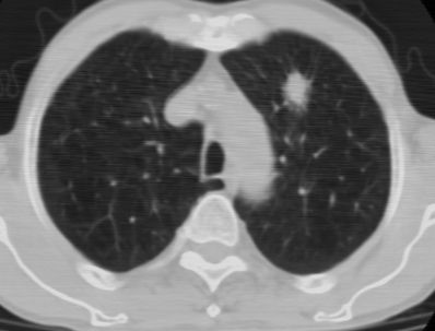
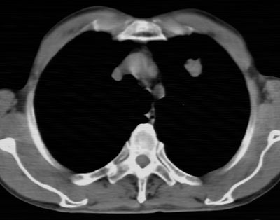
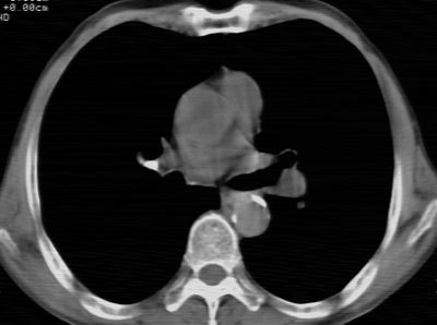
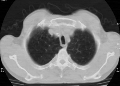
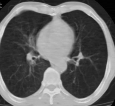
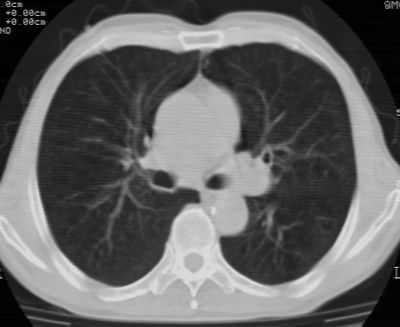
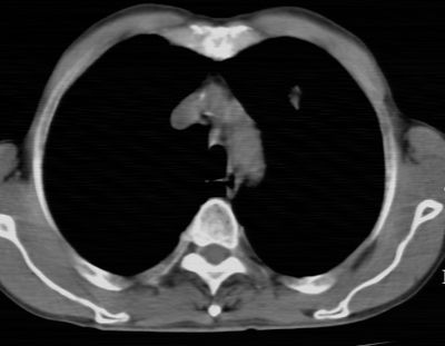
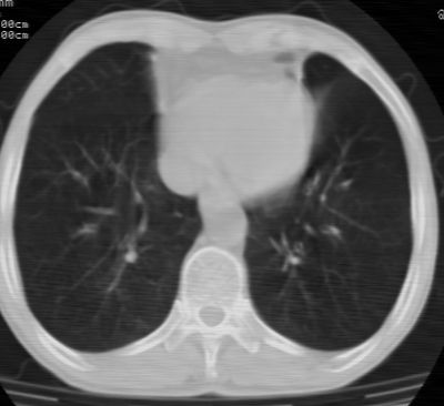
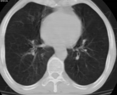
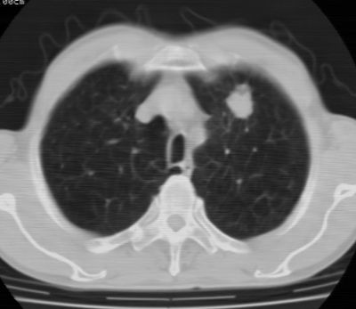
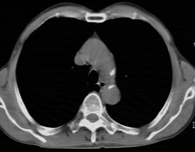
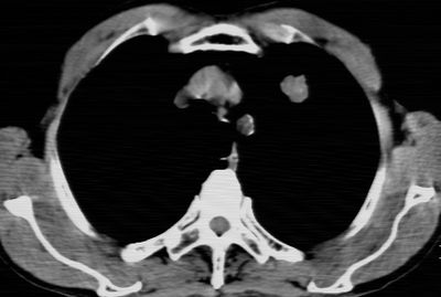
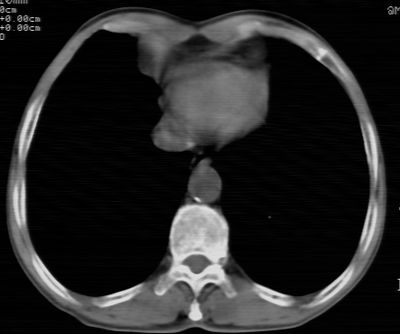
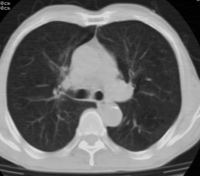
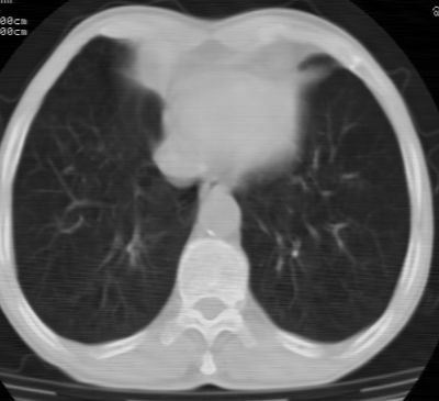
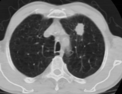
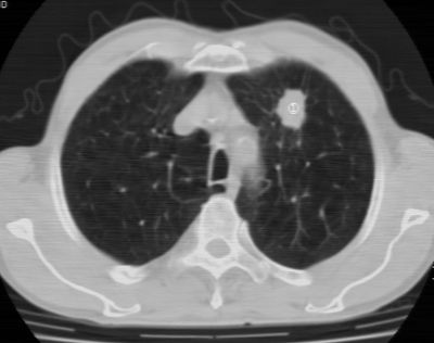
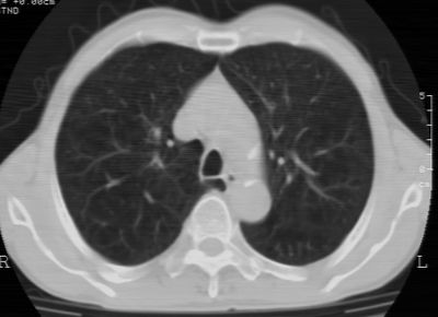
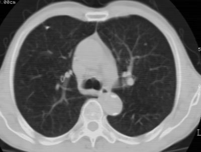
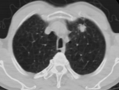
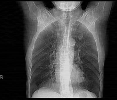
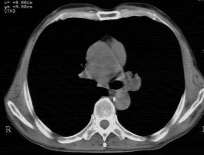
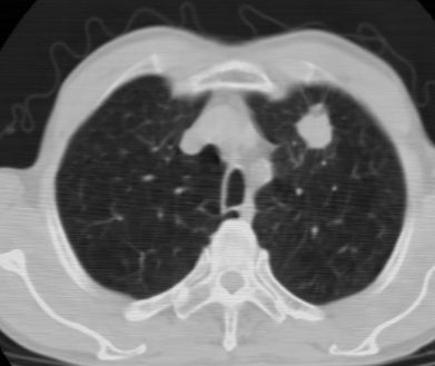
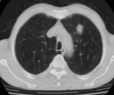
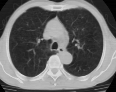
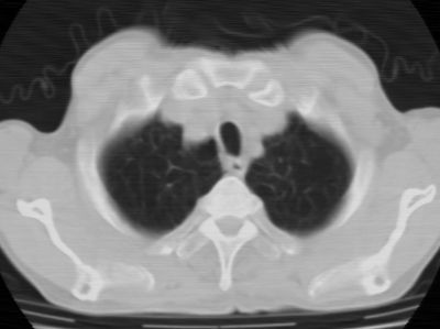
1、左肺上叶spn,毛刺+分叶+血管集束征,考虑周围型肺癌可能性大   
2、全小叶性肺气肿。
作者: yangyudong333    时间: 2010-3-1 06:04
左上周围型肺癌可能性大,建议活检、查肿瘤标记物。
作者: yangyang2000    时间: 2010-3-1 06:55
左上周围型肺癌
作者: 513ytb    时间: 2010-3-1 06:55
左上周围型肺癌可能性大,建议活检.
作者: 拂晓    时间: 2010-3-1 06:56
支持大家意见
作者: 随光逐影    时间: 2010-3-1 16:32
1)左肺上叶周围型肺癌可能。2)两肺全小叶型肺气肿。
作者: wansheng    时间: 2010-3-1 16:45
左上周围型肺癌可能性比其它大。
作者: zjzjr    时间: 2010-3-1 16:51
左上周围型肺癌,全小叶型肺气肿。
作者: 健力宝    时间: 2010-3-1 17:04
标题: 回复:ct24783:m71,既往肺心病史3年,现咳嗽,憋喘。
以下是引用37度在2010-2-28 20:10:00的发言:[br]左上周围型肺癌可能性比其它大。

作者: 深泽交通    时间: 2010-3-1 17:55
支持周围型肺癌
作者: whmy    时间: 2010-3-1 18:03
左上周围型肺癌可能性大,建议活检.
作者: zxl51642    时间: 2010-3-1 18:22
左上周围型肺癌可能性大,建议活检.
作者: yuhongjun    时间: 2010-3-1 18:41
左上周围型肺癌可能性大,建议活检、查肿瘤标记物。
作者: 边生丽    时间: 2010-3-1 19:26
左上周围型肺癌
作者: 奥特之父    时间: 2010-3-1 21:24
考虑 左上叶周围型肺癌。
作者: jiahui7z    时间: 2010-3-1 23:14
左上周围型肺癌可能性大.
作者: 黑白光影    时间: 2010-3-3 03:17
支持大家




欢迎光临 医影在线 (http://bbs.radida.com/bbs/) Powered by Discuz! X3.2