














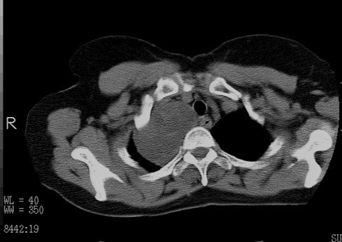
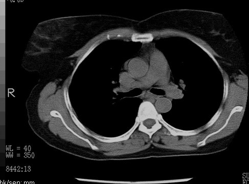
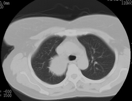
以下是引用随光逐影在2010-3-1 8:36:00的发言:[br]右上纵隔囊性占位性病变,考虑支气管囊肿,不排除神经源性肿瘤。
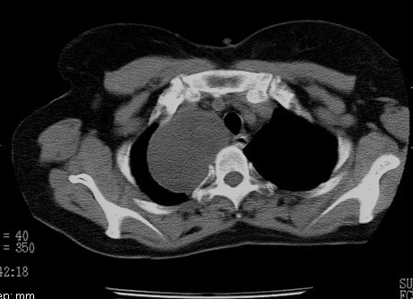
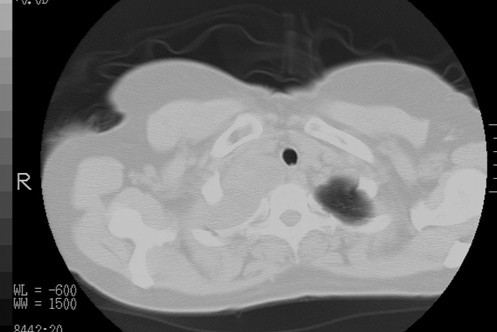
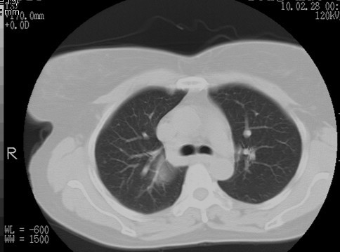
以下是引用随光逐影在2010-3-1 8:36:00的发言:[br]右上纵隔囊性占位性病变,考虑支气管囊肿,不排除神经源性肿瘤。
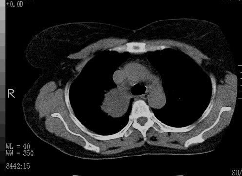
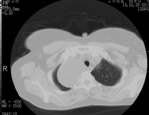
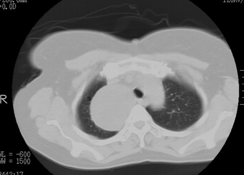
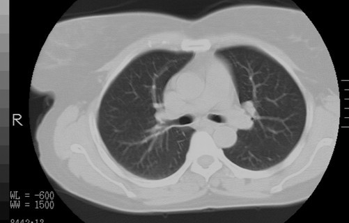
以下是引用随光逐影在2010-3-1 8:36:00的发言:[br]右上纵隔囊性占位性病变,考虑支气管囊肿,不排除神经源性肿瘤。
| 欢迎光临 医影在线 (http://bbs.radida.com/bbs/) | Powered by Discuz! X3.2 |