医影在线

标题: CT24785:女,62岁,发现下腹部肿物半年。 [打印本页]

作者: ldm1993    时间: 2010-3-1 07:18
标题: CT24785:女,62岁,发现下腹部肿物半年。
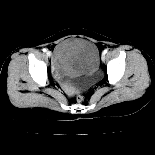
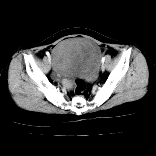
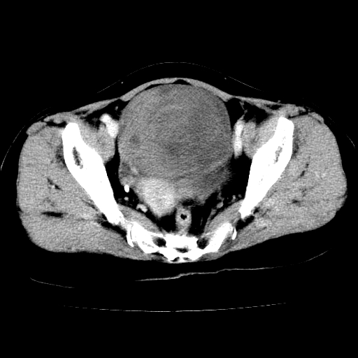
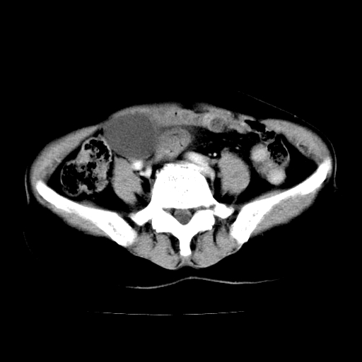
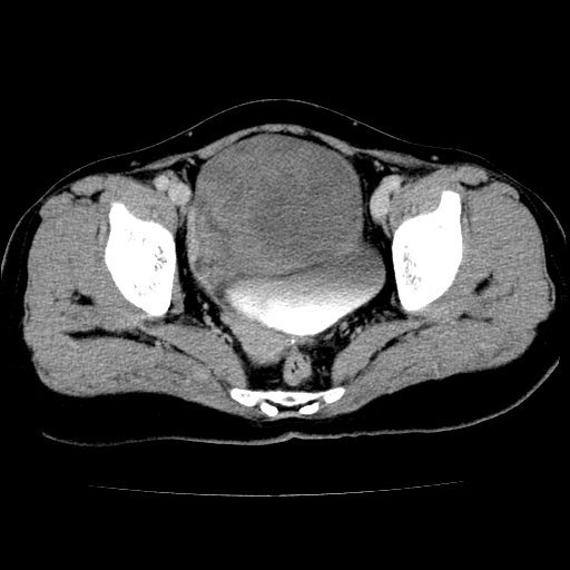
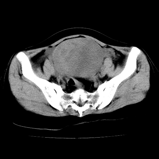
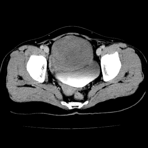
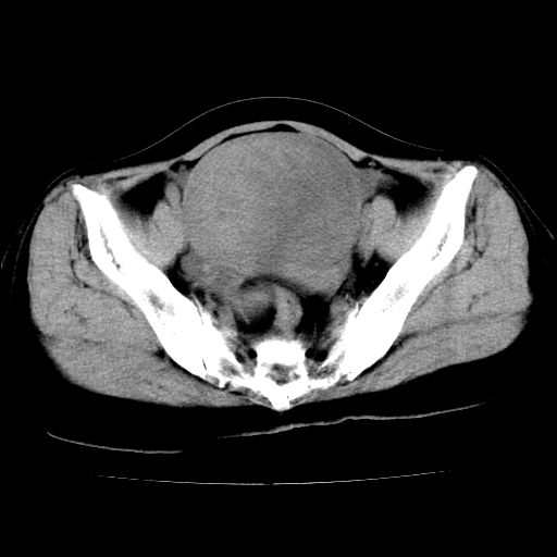
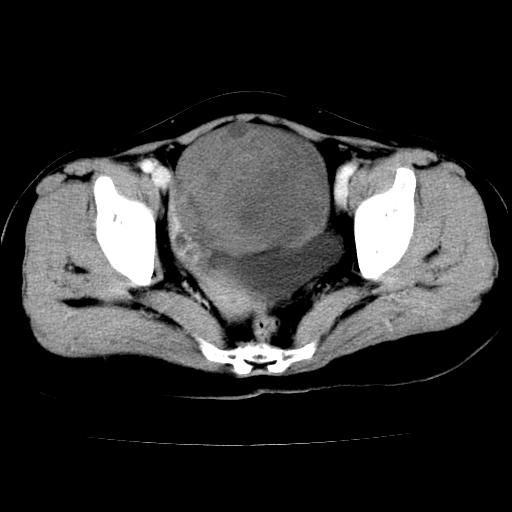
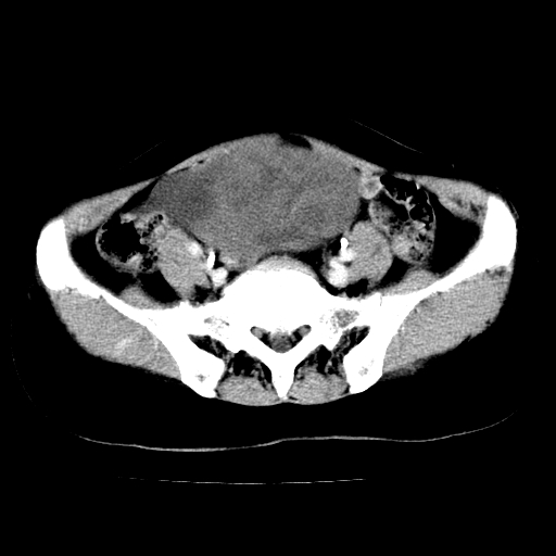
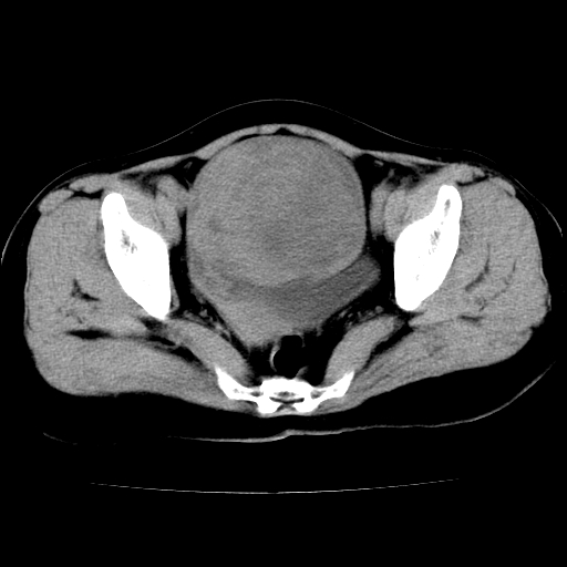
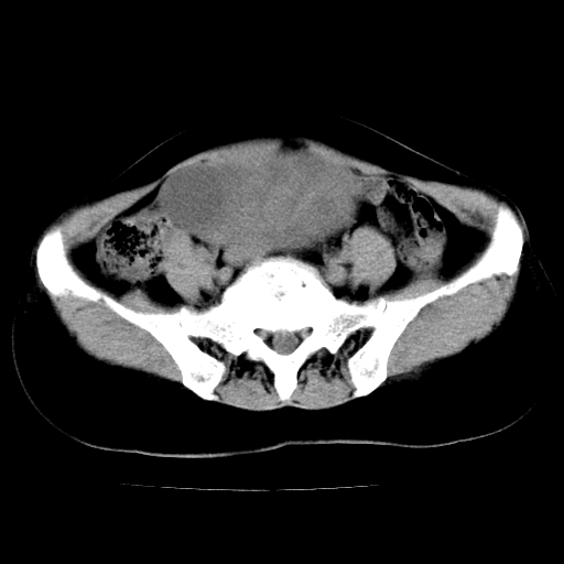
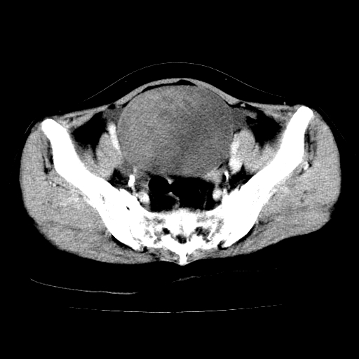
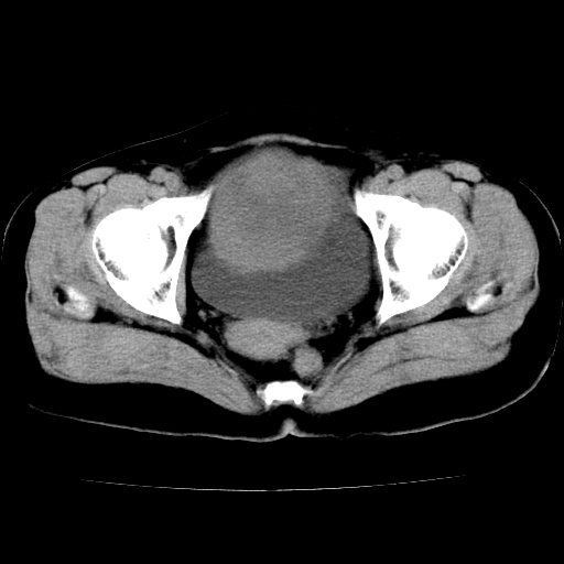
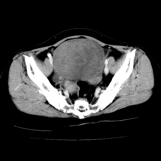
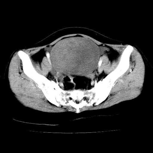
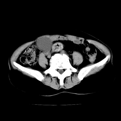
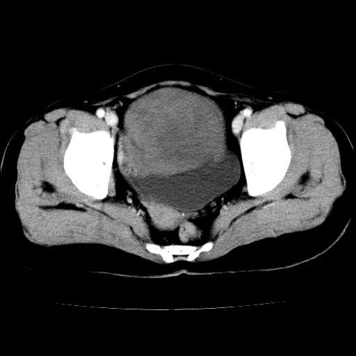
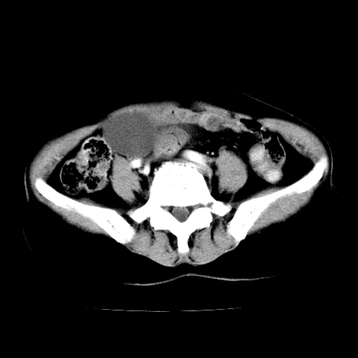
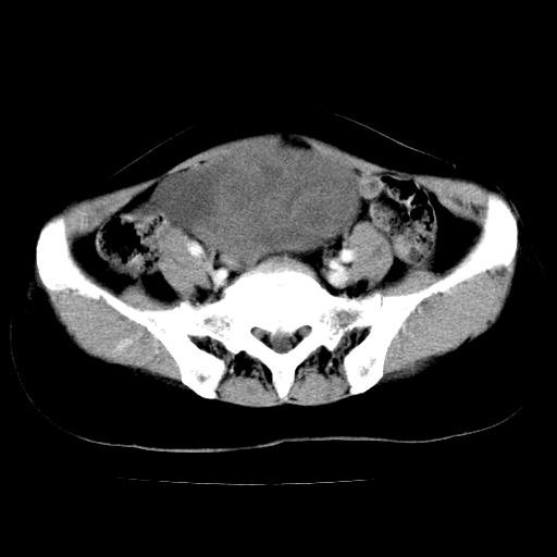
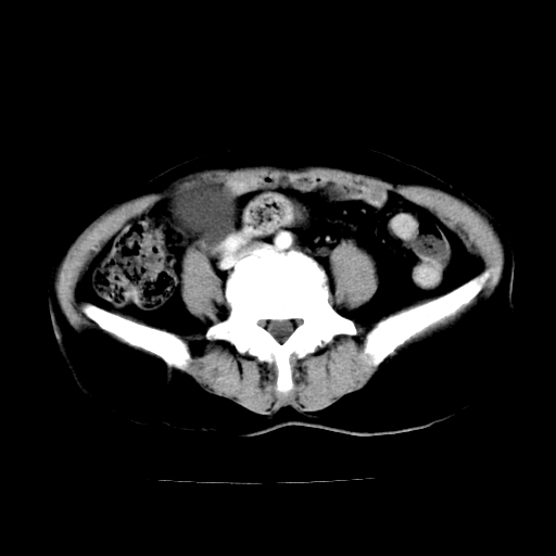
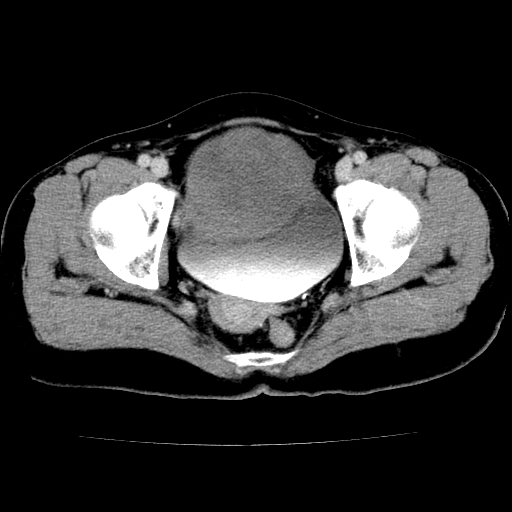
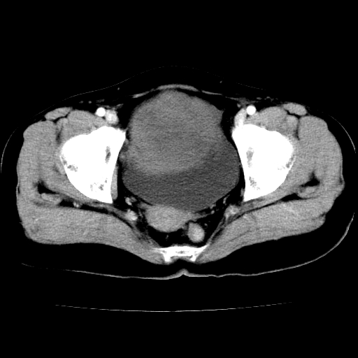
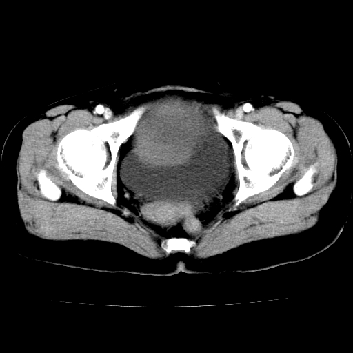
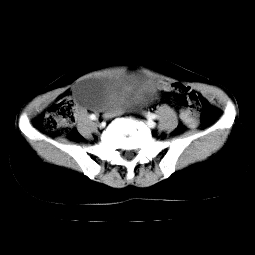
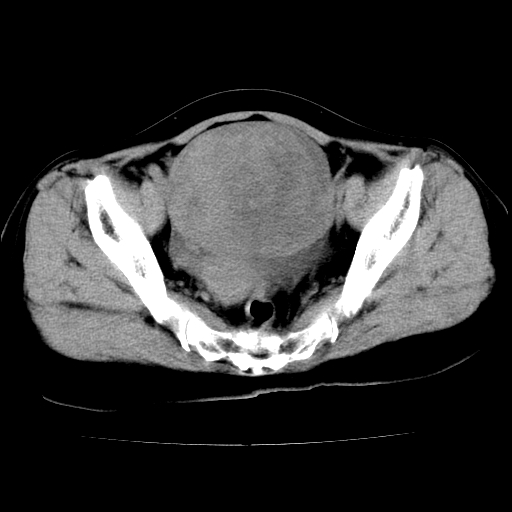
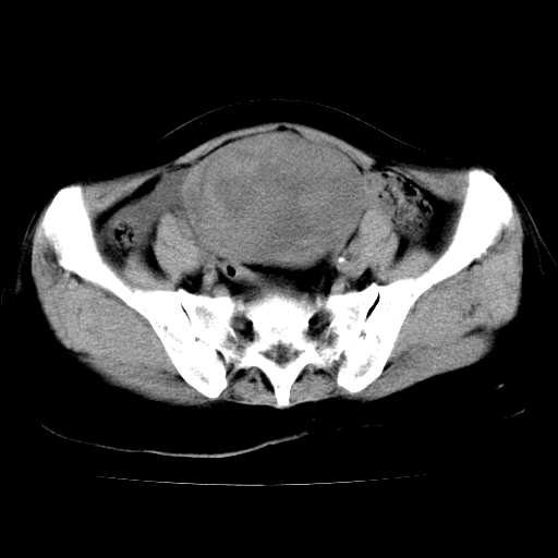
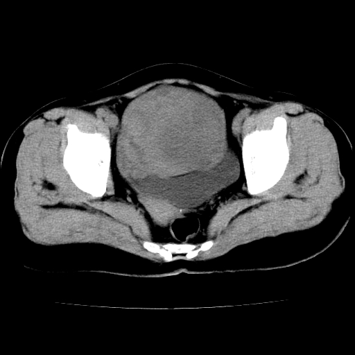
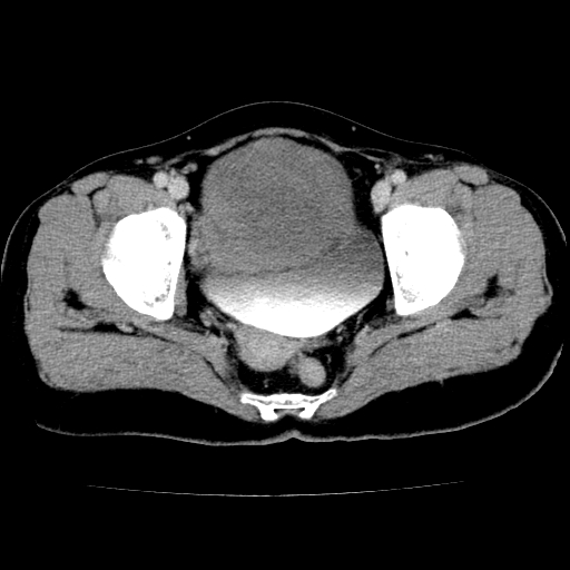
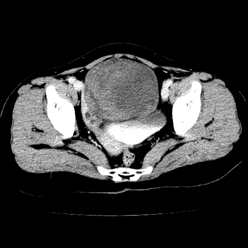
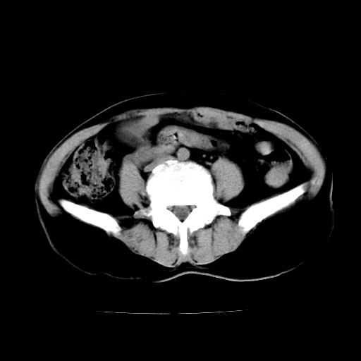
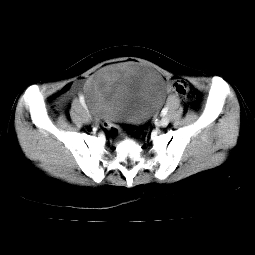
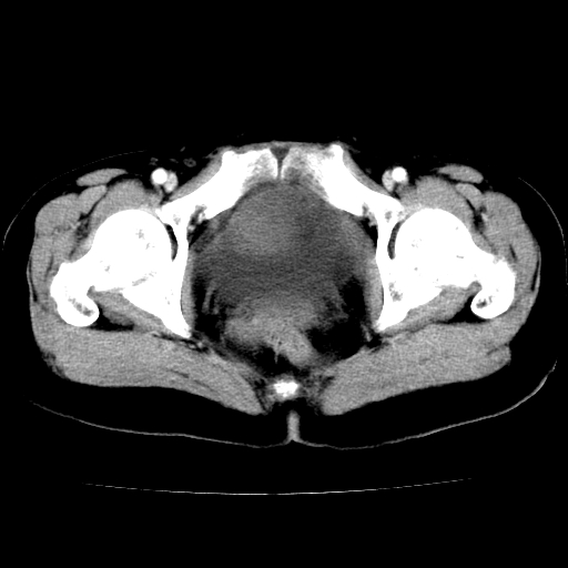
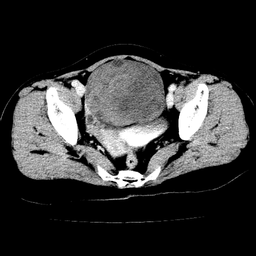
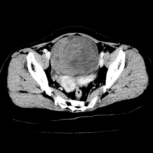
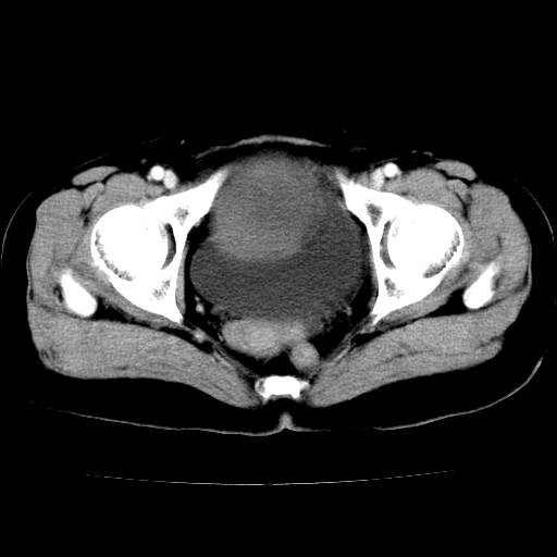
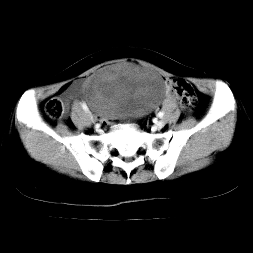
女,62岁,发现下腹部肿物半年,下腹部不适。






























































[本贴已被 翁志蓬 于 2010-3-1 0:31:57 修改过]

作者: 心路寻觅    时间: 2010-3-1 07:28
老年女性患者,盆腔囊实性占位,ct增强不均匀强化,未见壁结节,未见腹水及盆腔积液,考虑附件囊腺瘤可能性大!
作者: yangyudong333    时间: 2010-3-1 14:09
考虑肠系膜间质肉瘤或脐尿管癌可能性大。
作者: 随光逐影    时间: 2010-3-1 16:39
考虑回肠间质瘤,不排除卵巢癌可能。
作者: zjzjr    时间: 2010-3-1 16:57
考虑附件囊腺瘤可能性大
作者: 健力宝    时间: 2010-3-1 17:26
标题: 回复:ct24785:女,62岁,发现下腹部肿物半年。
以下是引用随光逐影在2010-3-1 8:39:00的发言:[br]考虑回肠间质瘤,不排除卵巢癌可能。

作者: 深泽交通    时间: 2010-3-1 17:51
支持卵巢癌
作者: zxl51642    时间: 2010-3-1 18:27
该年龄性别首先考虑平滑肌肉瘤可能性大,其他待排除。
作者: yuhongjun    时间: 2010-3-1 18:40
支持楼上。
作者: shuiyuan    时间: 2010-3-1 19:03
考虑子宫平滑肌肉瘤可能性大。
作者: 边生丽    时间: 2010-3-1 19:22
卵巢囊腺瘤或囊腺癌,建议免疫组化实验
作者: 疯猪    时间: 2010-3-1 19:37
间质肉瘤
作者: 奥特之父    时间: 2010-3-1 21:18
卵巢囊腺瘤或囊腺癌可能。
作者: yyeszzxyy    时间: 2010-3-1 23:43
考虑附件粘液性囊腺瘤可能性大。
作者: zxl51642    时间: 2010-3-1 23:52
实性成分太多,要是囊腺瘤也要考虑恶性。
作者: 鹰    时间: 2010-3-2 00:01
同意楼上意见。
作者: jiahui7z    时间: 2010-3-2 00:32
学习了.
作者: 侠女    时间: 2010-3-2 00:49
支持楼上
作者: 侠女    时间: 2010-3-2 00:50
子宫平滑肌瘤
作者: LIAOQIANG    时间: 2010-3-2 19:14
考虑附件囊腺癌。
作者: mlfx123321    时间: 2010-3-2 21:08
考虑附件粘液性囊腺瘤可能性大
作者: 黑白光影    时间: 2010-3-3 03:25
考虑卵巢囊腺瘤或囊腺癌可能。




欢迎光临 医影在线 (http://bbs.radida.com/bbs/) Powered by Discuz! X3.2