医影在线

标题: CT24795:女性,47岁,右下腿静脉静脉曲张手术前体检,发现 [打印本页]

作者: fanshl    时间: 2010-3-1 18:18
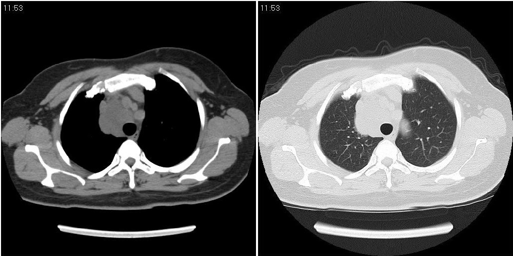
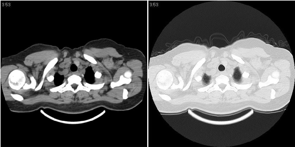
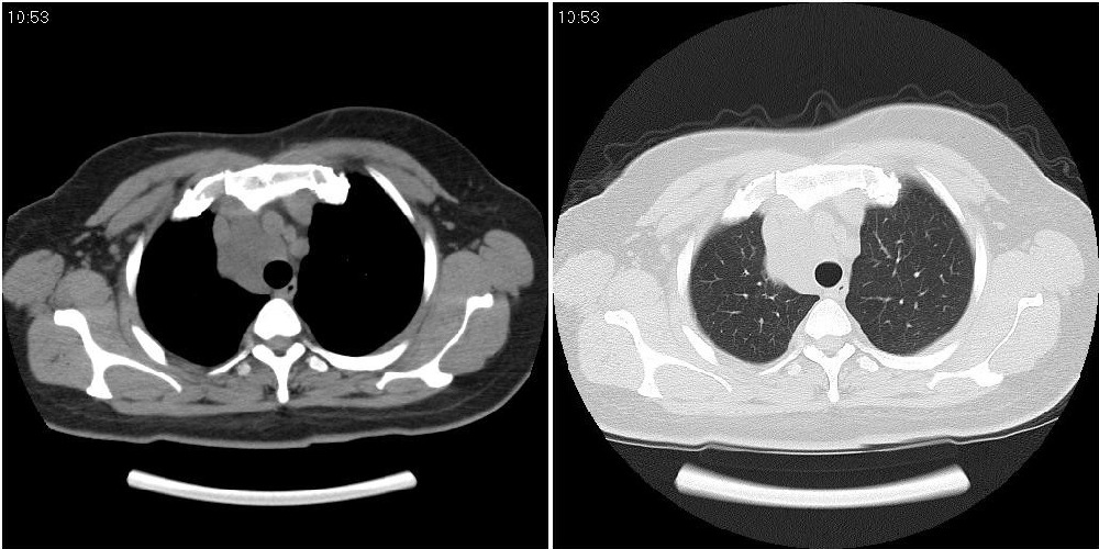
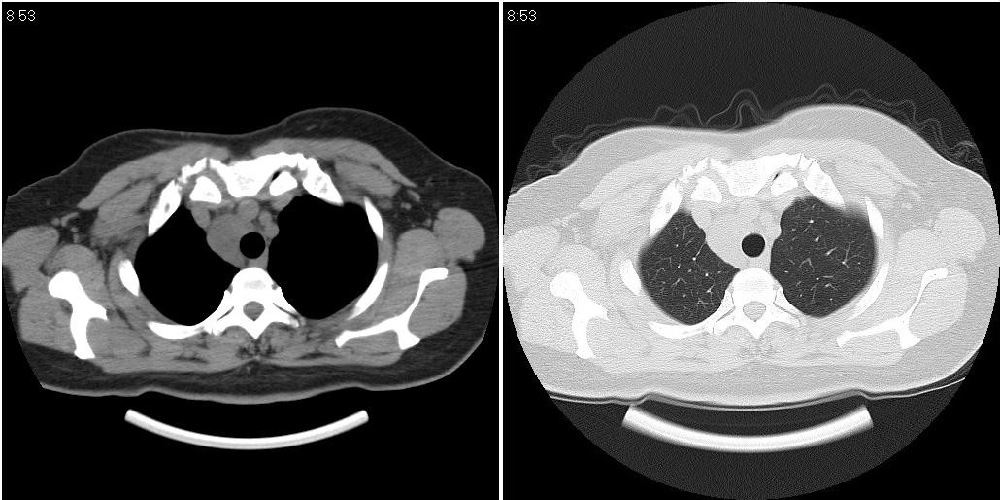
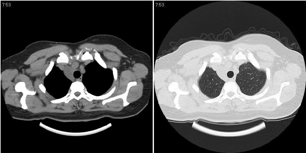
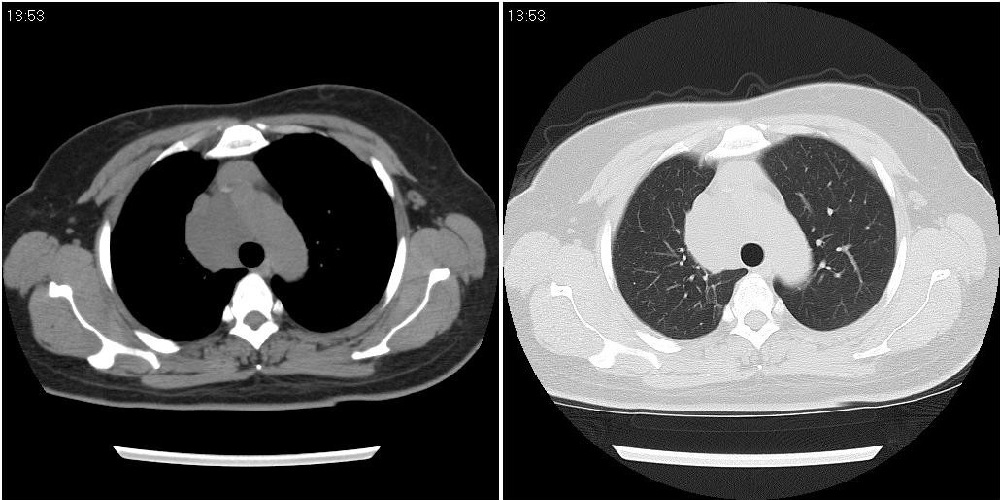
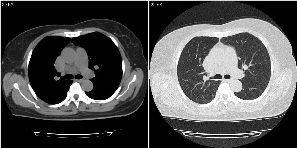
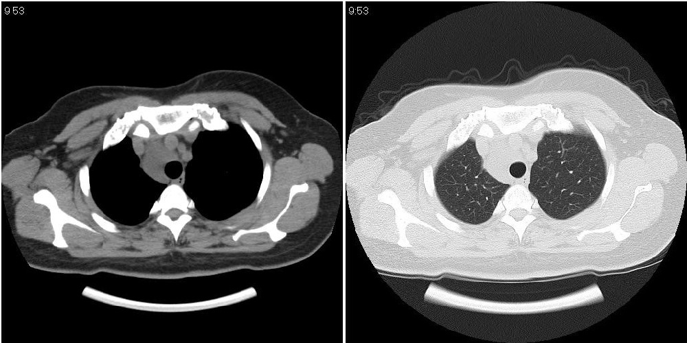
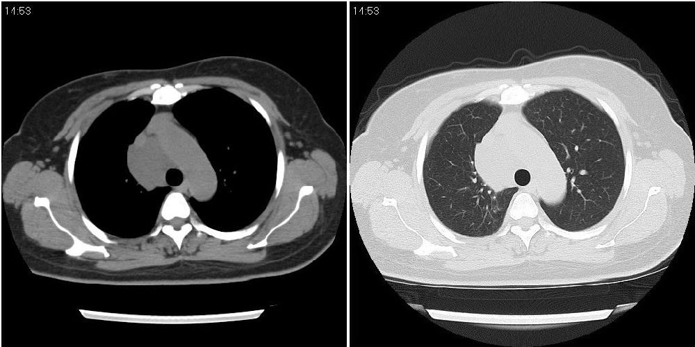
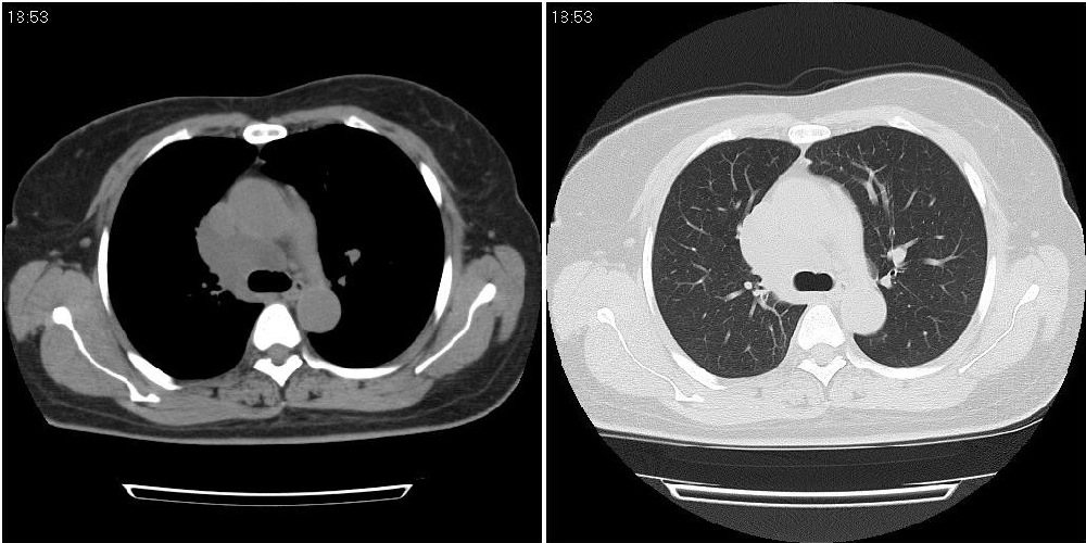
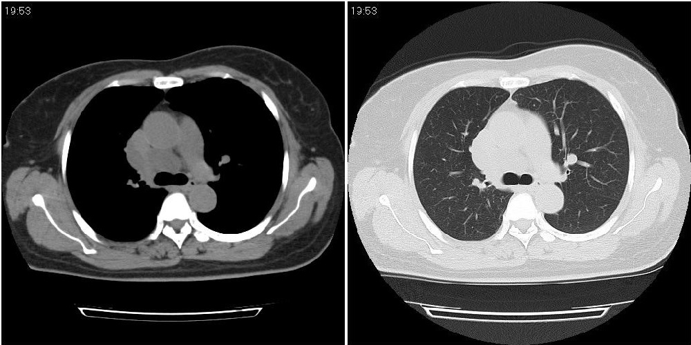
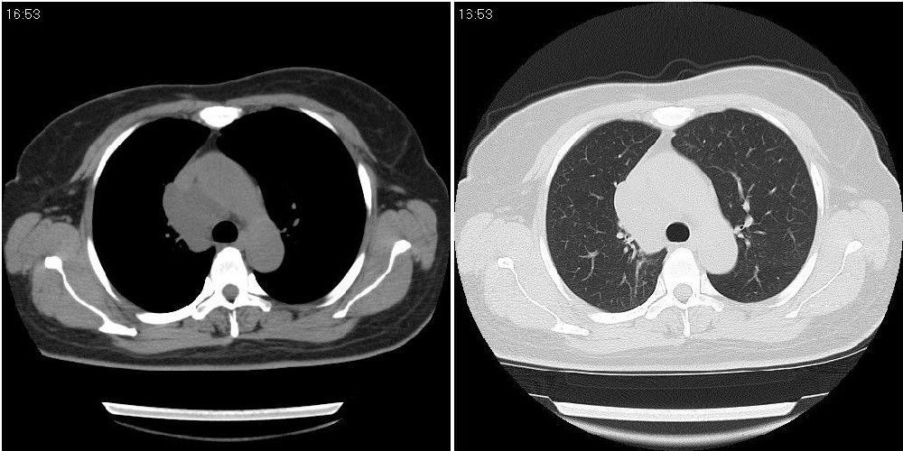
标题: CT24795:女性,47岁,右下腿静脉静脉曲张手术前体检,发现






















[本贴已被 翁志蓬 于 2010-3-2 0:21:29 修改过]

作者: 联众之王    时间: 2010-3-1 19:20
囊性无明显占位效应:1淋巴管囊肿2畸胎瘤(其上部见小钙化)3前肠囊肿
作者: gbt751105    时间: 2010-3-2 02:04
气管囊肿
作者: hhhhhh6    时间: 2010-3-2 02:39
标题: 回复:女性,47岁,右下腿静脉静脉曲张手术前体检,发现
那要是水密度就先考虑淋巴管囊肿(见过别的地方的没见过这地方的)要不考虑支气管囊肿(没见过长这样的)http://baike.baidu.com/view/1804035.htm?fr=ala0_1
淋巴管囊肿也称为囊性淋巴管瘤,是一种先天性良性错沟瘤。
  临床上并不多见.可发生任何年龄,小儿多见,可见于颈部、纵隔、膈下等.由胎胚发育迷走的残余淋巴组织形成,也可发生于手术后淋巴组织受损。
  病因病理病机在胚胎期静脉丛中的中胚层裂隙融合形成大的原始淋巴囊,引流进入中心静脉系统,以后淋巴囊逐渐退化或发展成与静脉平行的淋巴管系统。若原始淋巴囊未与静脉系统相连能,就产生淋巴管囊肿。
  治疗:1.保守治疗,如果肿瘤发展缓慢,无明显不适症状,可观察保守治疗;2.手术治疗:一般淋巴管囊肿最终均需手术治疗,目的:1)明确诊断;2).防止肿瘤进一步发展;3)解除肿瘤产生的不适症状。
作者: 卜一    时间: 2010-3-2 03:57
那要是水密度就先考虑淋巴管囊肿(见过别的地方的没见过这地方的)要不考虑支气管囊肿(没见过长这样的)http://baike.baidu.com/view/1804035.htm?fr=ala0_1
淋巴管囊肿也称为囊性淋巴管瘤,是一种先天性良性错沟瘤。
  临床上并不多见.可发生任何年龄,小儿多见,可见于颈部、纵隔、膈下等.由胎胚发育迷走的残余淋巴组织形成,也可发生于手术后淋巴组织受损。
  病因病理病机在胚胎期静脉丛中的中胚层裂隙融合形成大的原始淋巴囊,引流进入中心静脉系统,以后淋巴囊逐渐退化或发展成与静脉平行的淋巴管系统。若原始淋巴囊未与静脉系统相连能,就产生淋巴管囊肿。
  治疗:1.保守治疗,如果肿瘤发展缓慢,无明显不适症状,可观察保守治疗;2.手术治疗:一般淋巴管囊肿最终均需手术治疗,目的:1)明确诊断;2).防止肿瘤进一步发展;3)解除肿瘤产生的不适症状。
支持!
作者: pujunzhi    时间: 2010-3-2 05:14
考虑淋巴管囊肿。
作者: 随光逐影    时间: 2010-3-2 16:13
右上纵隔囊性占位性病变;考虑淋巴管囊肿,不排除支气管囊肿。
作者: zxl51642    时间: 2010-3-2 17:23
支气管囊肿、囊性畸胎瘤、肠源性囊肿均有可能。
作者: yuhongjun    时间: 2010-3-2 17:36
右上纵隔囊性占位性病变;考虑淋巴管囊肿,不排除支气管囊肿。
作者: shuiyuan    时间: 2010-3-2 18:48
右上纵隔囊性占位性病变;考虑淋巴管囊肿,不排除支气管囊肿。 建议增强。
作者: 张辉9999    时间: 2010-3-2 19:02
考虑淋巴管囊肿,不排除前肠囊肿。
作者: 黑白光影    时间: 2010-3-3 03:31
右上纵隔囊性占位性病变;考虑淋巴管囊肿,不排除支气管囊肿。




欢迎光临 医影在线 (http://bbs.radida.com/bbs/) Powered by Discuz! X3.2